My BEST Dentists Journal

All Journal Entries
Share

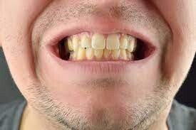
Ten Causes of Yellow Teeth and Solutions for Them

Though not as urgent as other dental conditions, yellow teeth can cost you your confidence and willingness to smile every day. Luckily, improving the color of your teeth can be as simple as changing what you eat and drink while polishing your oral care routine. You may even benefit from whitening treatment by your dentist. Here are ten common causes of this undesirable tinge:

1. Genetics

Sometimes, tooth color runs in the family. If one of your parents' teeth are yellow, it's likely that yours are a similar hue. Reddish brown, reddish yellow, grey and reddish grey are the four natural shades of otherwise white teeth, and this depth of colour varies across a spectrum from light to dark.

2. Dentin

Teeth look yellow when the enamel is thin and the dentin underneath shows through it. Dentin is a deep yellow to brownish material inside your teeth under the enamel, and it's often responsible for the yellow you see when you look in the mirror. Thick enamel covers up the dentin, but keep in mind it doesn't always block the stains that build up on the surface, another cause of yellow explained further down.

3. Wear

Teeth ultimately turn yellow as you get older, when enamel wears away from chewing and exposure to acids from food and drink. Most teeth turn yellow as this enamel thins with age, but some take on a greyish shade when mixed with a lasting food stain.

4. Smoking

Nicotine from smoking doesn't just develop an unhealthy addiction; it leaves yellowish or brownish surface stains on your teeth, too (one more reason to kick the habit).

5. Foods

A wide range of foods stain teeth. Tomatoes in pasta sauce, curry spices and berries all contain pigments that cling to tooth enamel and stain this surface. Even a healthy salad with balsamic vinegar dressing can leave an unsightly color on your teeth.

6. Drinks

Coffee and tea are two of the most common causes of yellow teeth, but red and white wine are also to blame. Other culprits include dark and light sodas and sports drinks with artificial flavoring.

7. Antibiotics

Tetracycline antibiotics stain teeth when they're developing in the gums.

According to a research study published in the Research Journal of Pharmacy and Technology, tetracycline antibiotics are used in the treatment of some common infectious diseases in children and adults. It is most recommended that pregnant and lactating women should not take tetracycline antibiotics, as they bring about discoloration of teeth in primary dentition of the developing foetus in the womb of the mother. Tetracycline and oxytetracycline cause a yellow discoloration, whereas chlortetracycline produces a grey-brown discoloration. Evidence suggests that, of all the Tetracyclines, oxytetracycline causes the least tooth discoloration. Therefore in case of intake of tetracycline antibiotics you may require an in-office bleaching treatment for your stained teeth.

8. Fluorosis

Fluoride is good for teeth, but excess fluoride can cause yellow or brownish yellow spots called fluorosis. Fluoridated water, fluoride toothpaste and prescribed fluoride tablets and treatments are your biggest sources of fluoride. Ask your dentist if you're concerned you or your child is taking too much through these means.

9. Accidents

Impact of an accident or physical trauma can crack tooth enamel and damage the tooth's interior, leading to discoloration that may indicate bleeding that needs professional attention.

10. Grinding

Tooth grinding is an unconscious habit some people have when they're stressed, especially while asleep. Also known as bruxism, it's quite harmful to tooth enamel, weakening it to the point of cracking and yellowing.

Avoiding Yellow Teeth

Brushing, professional cleaning, whitening treatments and veneers should be your go-to solutions for yellow teeth. Thoroughly brushing your teeth twice a day to prevent yellow surface stains is a must. Floss your teeth once a day, as well.

To tackle deeper intrinsic stains, visit your dental hygienist, who can gently clean away this unsightly bacteria and tartar and polish your teeth while you are in the dental chair. When it comes to stains on the enamel, however, prevention is better than the cure.

Don't smoke, and limit your consumption of foods and drinks that cause yellowing themselves. Ultimately, rinse out your mouth with water after eating or drinking them. With so many options available for whitening discolored teeth, there's no reason to feel embarrassed about their color. If you can't fix the problem at home, your dentist would be happy to provide further guidance.

(12/01/2023)
by Colgate

More Information: https://www.colgate.com/en-in/oral-health/adult-oral-care/ten-causes-of-yellow-teeth-and-how-to-avoid-them

Views: 526
Share


My BEST Dentists Journal Headlines