My BEST Dentists Journal

All Journal Entries
Share

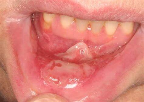
Things to Know about Mucositis

Mucositis, or mouth sores, is a common side effect of chemotherapy, radiation therapy, and bone marrow transplant. The mouth is one of the most sensitive parts of the body and is especially vulnerable to cancer treatment side effects.

Mouth sores can cause pain, poor nutrition (if it hurts too much to eat), and infections. They can affect your quality of life and can lead to limits on your chemotherapy doses. You can help prevent mouth sores and mouth swelling by eating well and having good oral hygiene.

What are some signs of mucositis?

Red, shiny, or swollen mouth and gums

Blood in the mouth

Sores in the mouth or on the gums or tongue

Soreness or pain in the mouth or throat

Difficulty swallowing or talking

Feeling of dryness, mild burning, or pain when eating food

Soft, whitish patches or pus in the mouth or on the tongue

Increased mucus or thicker saliva in the mouth

Mouth sores generally appear 5–10 days after the start of chemotherapy and last anywhere from 1–6 weeks.

What should I do if I have mucositis?

Drink at least 8 to 10 cups of liquid each day.

Rinse your mouth with a salt water solution 4 times a day (1 cup warm water, 1/8 teaspoon salt, 1/8 teaspoon baking soda). Swish and spit small amounts and then rinse your mouth with plain water before or after meals and at bedtime.

Brush your teeth 3 times a day with a SOFT toothbrush. If the toothbrush is too hard on your gums, try using swabs or gauze.

Avoid toothpaste with whitening agents.

Avoid products that irritate the mouth and gums, such as strong flavored commercial mouthwashes.

Limit use of dental floss.

If you wear dentures, remove them whenever possible.

How is mucositis treated?

Your health care team can help decide the best treatment. These may be some treatment options:

Pain medicine

Antifungal medicine

Changes in your chemotherapy or radiation treatment

In some mild cases, doctors may even recommend sucking on popsicles or ice cubes in order to numb the pain. Other products such as Tylenol, lozenges, chamomile tea, milk of magnesia, and Mylanta can also provide temporary pain relief.

What else can I do to avoid mouth pain and discomfort?

Eat foods cold or at room temperature.

Eat soft foods such as ice cream, eggs, custard, mashed potatoes, bananas, rice, and pasta.

Use liquids to soften hard foods.

Use a mouth moisturizer such as Biotene®, which you can find at many pharmacies.

Use lip balm.

Avoid things that can irritate the mouth such as alcoholic beverages, spicy or acidic foods, and tobacco products.

If you have neutropenia and you’re at risk of infection, make sure to ask your doctor or nurse about the foods that are best for you.

Registered dietitians in the Linda B. and Robert B. Wiggins Wellness and Integrative Health Center can also help you make a diet plan. Call 801-587-4585 to make an appointment or for more information.

If I have mouth sores, when should I call my doctor or nurse?

If you have difficulty breathing

Your mouth does not heal or gets worse

You have white patches on your lips, gums, or tongue

You have a fever over 100.3°F

(08/02/2024)
by U Health

More Information: https://healthcare.utah.edu/huntsmancancerinstitute/news/2021/04/six-things-know-about-mucositis-mouth-sores

Views: 365
Share


My BEST Dentists Journal Headlines