My BEST Dentists Journal

All Journal Entries
Share

Three Reasons You Should See A Dentist If You Have Gum Problems

Whilst your teeth are the most visible part of your body, keeping your gums safe is just as vital. Unhealthy gums in the rest of your body can lead to poor oral health, missing teeth and even health issues.

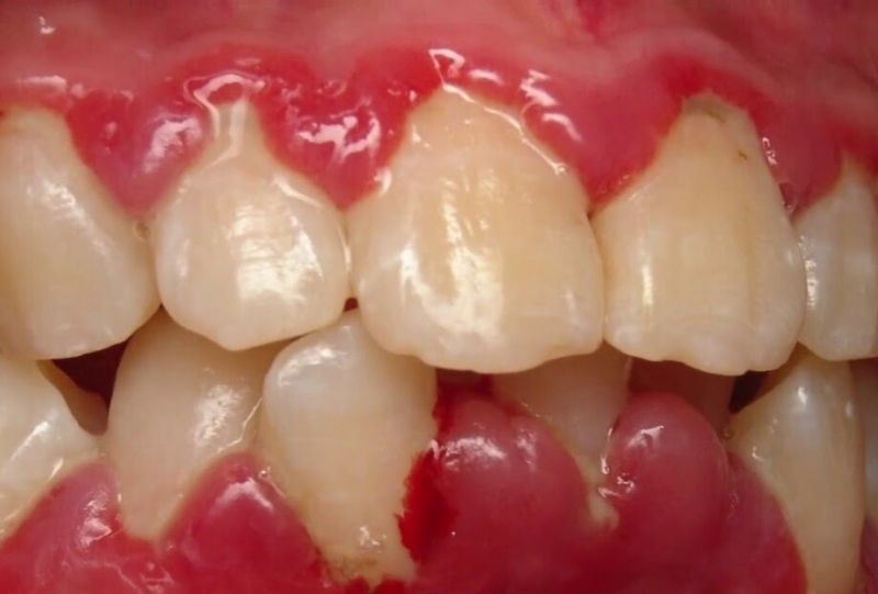
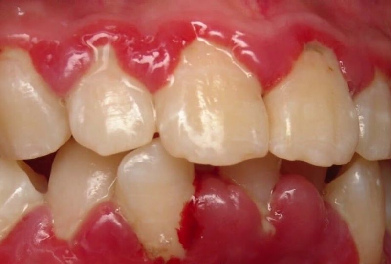
If you find problems with your gums, such as irritation, swelling, redness or irregular pockets around where the teeth enter the gumline, it is possibly time for our dentist Dr. Cueva to check into gum disease care in Allen and Frisco, TX

Catch Problems Early

Gum disease starts as gingivitis, but can progress rapidly into periodontists, which is the most severe condition. Most people don’t even know they have gum disease until it’s in the more advanced stages. To fend off any serious mouth issues, it’s a good idea to still see a periodontist to make sure the gums are in great condition and no noticeable issues are present.

Periodontal Disease Can Affect Other Health Conditions

Although experts are not entirely sure on how gum disease is associated with other diseases, it is widely accepted that it affects the rest of the body. Periodontal disease can worsen conditions such as heart disease, obesity, diabetes, and even cancer.

If left unchecked, gum disease can get out of control quickly and bacteria enters the bloodstream and has access to the rest of the body. Seeing a periodontist regularly ensures that this doesn’t happen. 

Treating Your Condition

Brushing, flossing and having routine cleanings from a professional are all vital ways of keeping your mouth clean but if the disease has gone too far, surgery might be required. A dentist will describe the best steps you will take to cure your condition and help you determine which treatment suits your life and health best.

(09/20/2021)
by Texas Implant and Periodontic Center

More Information: https://www.texasipc.com/3-reasons-you-should-see-a-dentist-if-you-have-gum-problems/

Views: 786
Share


My BEST Dentists Journal Headlines