My BEST Dentists Journal

All Journal Entries
Share

Tips to control tartar buildup

Even if you take great care of your teeth at home, you still have bacteria in your mouth. They mix with proteins and food by products to form a sticky film called dental plaque. This gunk coats your teeth, gets under your gum line, and sticks to fillings or other dental work. Plaque carries bacteria that can damage tooth enamel and lead to cavities. But if you remove plaque regularly, you can prevent permanent tooth decay and gum disease.

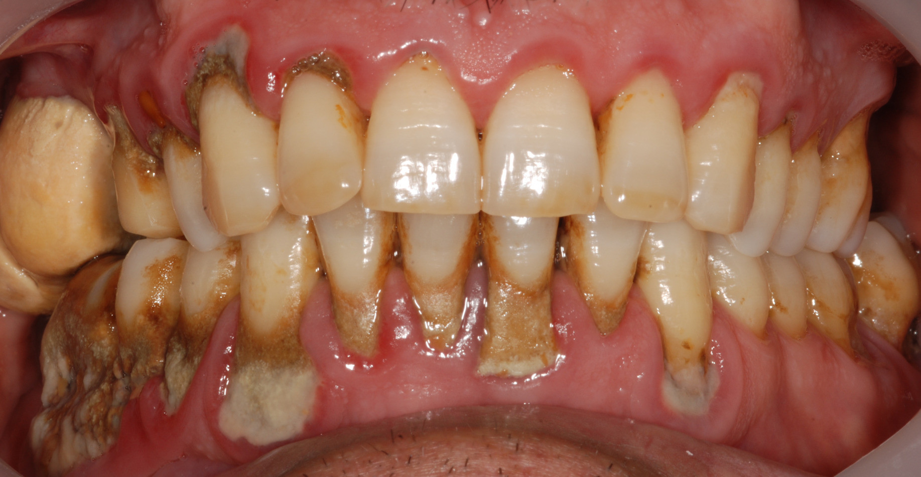
Bigger problems arise, however, if plaque stays on your teeth and hardens into tartar. 

Tartar, also called calculus, forms below and above the gum line. It is rough and porous and can lead to receding gums and gum disease. It must be removed with special tools in the dentist's office.

How Does Tartar Affect Teeth and Gums:

Tartar can make it harder to brush and floss like you should. This can lead to cavities and tooth decay.

Any tartar that forms above your gum line could be bad for you. That's because the bacteria in it can irritate and damage your gums. Over time, this might lead to progressive gum disease.

The mildest form of gum disease is called gingivitis. It can usually be stopped and reversed if you brush, floss, use an antiseptic mouthwash, and get regular cleanings from your dentist.

If not, it can get worse, to the point where pockets form between the gums and teeth and get infected by bacteria. That's called periodontitis. Your immune system sends chemicals to fight back and they mix with bacteria and the stuff it puts out. The resulting stew can damage the bones and tissues that hold your teeth in place. Also, some studies link the bacteria in gum disease to heart disease and other health problems.

Tips to Help Control Tartar:

Your best bet is not to let tartar form on your teeth. Here's how:

Brush regularly, twice a day for 2 minutes a time. A 30-second scrub twice a day won’t remove plaque or prevent tartar.

Studies have found that electronic, or powered, toothbrushes may get rid of plaque better than manual models. No matter which type you use, be sure it has the American Dental Association (ADA) seal of approval.

Choose tartar-control toothpaste with fluoride. Fluoride will help repair enamel damage.

Floss, floss, floss. No matter how good you are with a toothbrush, dental floss is the only way to remove plaque between your teeth and keep tartar out of these hard-to-reach areas.

Rinse daily. Use an antiseptic mouthwash daily to help kill bacteria that cause plaque.

Watch your diet. The bacteria in your mouth thrive on sugary and starchy foods. When they’re exposed to those foods, they release harmful acids.

Don't smoke. Studies show that people who smoke cigarettes or use other tobacco products are more likely to have tartar.

Once tartar has formed, only a dental professional will be able to remove it from your teeth. So, visit your dentist every 6 months to remove any plaque and tartar that might have formed and to prevent further problems.

(09/14/2020)
by WebMD

More Information: https://www.webmd.com/oral-health/guide/tartar-dental-calculus-overview#1

Views: 2,371
Share


My BEST Dentists Journal Headlines