My BEST Dentists Journal

All Journal Entries
Share

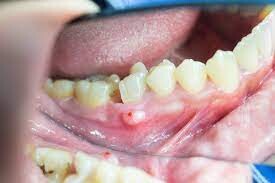
Top Three Reasons For Tooth Infections

Toothaches can range from mildly unpleasant to downright nasty. Sometimes, it’s hard to tell whether a tooth is infected or if something else is causing your tooth pain. Our team at Troy Bartels, DDS is always available to answer your questions. Today we want to share the top 3 reasons for tooth infections to help you decide whether you need to seek immediate treatment.

Reason 1: Poor Dental Hygiene

One common reason for tooth infections is bad oral hygiene. Without proper care, the acid produced by oral bacteria can cause cavities, irritate gums, and result in a tooth infection. Without quick treatment, a tooth infection can cause tooth or gum loss. It can even become life-threatening by spreading through your bloodstream to the rest of your body.

Reason 2: A High Sugar Diet

A diet high in sugar can greatly increase your risk for tooth infections. Oral bacteria feed on sugar, breaking it down into acid. Over time, acid and oral bacteria can coat your teeth in a sticky biofilm called plaque. Without proper care, plaque can harden into tartar, a substance that is notorious for causing tooth infections and irritating gums.

Reason 3: Dry Mouth

Believe it or not, your saliva plays an important role in your oral health. Not only does saliva rinse the surface of your teeth, it contains enzymes that are important in the digestive process. Because people with dry mouth do not produce enough saliva, they are at an increased risk for developing a tooth infection.

Is My Tooth Infection a Dental Emergency?

Sometimes, our patients aren’t sure whether their toothache is a dental emergency. If you’re experiencing significant pain, you may be experiencing advanced tooth infection and should treat it as an emergency. Fever, swelling, or stomach pain may also indicate that your tooth infection needs immediate treatment.

(06/16/2024)
by Troy Bartels, DDS

More Information: https://www.troybartelsdds.com/dental-blog/top-3-reasons-for-tooth-infections/

Views: 409
Share


My BEST Dentists Journal Headlines