My BEST Dentists Journal

All Journal Entries
Share

Torus Mandibularis: What You Need To Know

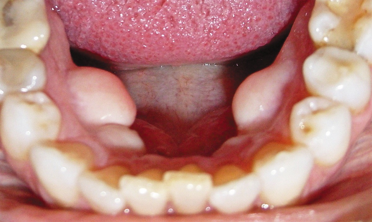
Torus mandibularis is a bony growth that develops on the lower jaw, beneath and on the side of the tongue. Tori affects about 27 out of every 1,000 adults, reports the National Institutes of Health (NIH), though it's not as well-known as other oral health conditions. Here are four things you need to know about this uncommon condition.

Torus Mandibularis Causes

The development of this condition is thought to be mostly driven by genetics, explains the NIH. This genetic influence can be clearly seen in studies of twins. In one study, a whopping 93.6 percent of identical twins either both had tori or both lacked them, reports NIH. Among fraternal twins, this concordance was observed in 79.4 percent of pairs.

Symptoms of Torus Mandibularis

This condition presents as a bony growth beneath and on the side of the tongue. You may have one growth or multiple growths, and they can develop on one side of your mouth or on both sides. While it's usually asymptomatic, this condition can sometimes cause problems. If you wear dentures, the growth can interfere with the fit of your lower denture. Your denture may be uncomfortable and may not stay in place. The soft tissues that cover the growth can also become ulcerated in some cases.

Torus Mandibularis Treatment

Even if your growth is asymptomatic, it needs to be evaluated by your dentist. If your dentist confirms that your growth is torus mandibularis, he may recommend not treating it. Dentistry Today explains that these benign growths should usually remain undisturbed. However, if your growth is painful or is interfering with the fit of your dentures, surgical removal may be performed. An oral surgeon can remove the growth with traditional surgical tools or with newer methods, like lasers.

Coping with Torus Mandibularis

If your dentist advises against treatment, the bony growth will remain inside your mouth. If the growth is small, this may not bother you, but large bony growths can be distracting. Try to avoid touching the growth with your tongue. Rinsing your mouth with an antiseptic mouthwash like Colgate Total® Mouthwash for Gum Health can also help keep your tori clean.

Any growths inside your mouth should always be examined by your dentist, just to be safe, though they may end up being benign conditions like torus mandibularis.

(03/27/2021)
by Colgate

More Information: https://www.colgate.com/en-us/oral-health/threats-to-dental-health/torus-mandibularis-what-you-need-to-know

Views: 923
Share


My BEST Dentists Journal Headlines