My BEST Dentists Journal

All Journal Entries
Share

Translucent Teeth: What Causes Them and How to Fix It

Have you recently found that the edges of your teeth have begun to look transparent? This can be a bit concerning when noticing it for the first time. To learn more about this somewhat common phenomenon—and how to fix it—check out these answers to patients’ most frequently asked questions.

1. Why do my teeth appear translucent?

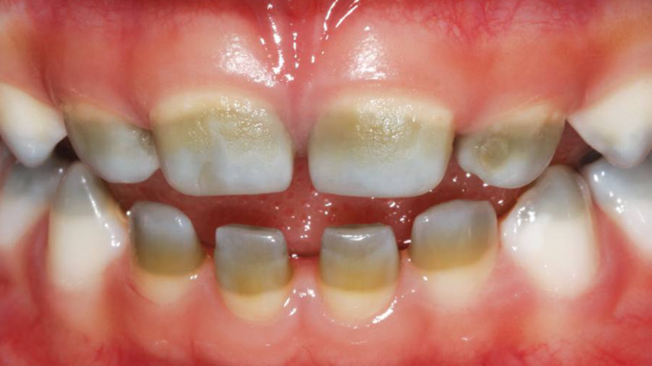
Did you know that your teeth are comprised of multiple layers? The outermost layer is the protective shell known as the dental enamel, which is actually semi-translucent. The secondary layer is called your dentin—this can be off-white, grey, or even yellow. Together, these two layers make up the color of your teeth. The dentin layer, however, does not extend all the way to the edges of your teeth. This causes the edges to look translucent if your dental enamel wears away and loses its color.

2. What causes my dental enamel to break down?

Dental enamel can break down for a number of reasons. The most obvious reason would be acid erosion, which is often a result of exposure to certain foods and beverages. Acid erosion can also result from stomach acid due to heartburn, acid reflux, morning sickness, or bulimia. Translucency of the teeth is also a surprising symptom of Celiac disease, as this condition can result in poor enamel development. Finally, you could also experience translucency as a result of Enamel Hypoplasia. This condition impacts the earliest stages of enamel development and causes your tooth enamel to lose minerals, giving your teeth the appearance of translucency.

3. How does this affect my oral health?

While the aesthetic appearance of translucent teeth may be your primary concern, it is also important to consider other oral health issues that can be associated with teeth translucency. Unfortunately, the wearing of your dental enamel can lead to tooth sensitivity, making it difficult to consume hot or cold beverages and foods. It can also make your teeth more susceptible to damage—even from your daily brushing routine!

4. Is there any way to prevent translucency from worsening?

While it isn’t possible to prevent conditions like Enamel Hypoplasia and Celiac disease, you can manage the effects of acid erosion. For starters, you can avoid consuming too many highly acidic foods and beverages, including citrus fruits, soda, and even coffee. If you do consume something acidic, remember to rinse your mouth out with water afterwards. Be sure to visit your doctor regarding other health conditions that cause acid erosion as well.

5. Is there any way to repair translucent teeth?

You’re in luck! There are quite a few ways that your dentist can help you with this condition. Cosmetic dentistry treatments—including veneers and bonding— can transform the appearance of your teeth entirely. Enamel remineralization is another option, in which your dentist fills the pores of your teeth with a combination of minerals that restore the whiteness and strength of your teeth.

(05/27/2021)
by Sunrise Dental Care

More Information: https://www.sunrisedentalcare.com/blog/translucent-teeth-what-causes-them-and-how-to-fix-it/

Views: 1,530
Share


My BEST Dentists Journal Headlines