My BEST Dentists Journal

All Journal Entries
Share

Understanding Pegged Teeth

Many conditions can affect the size and shape of your teeth. When your teeth are smaller, this is sometimes called pegged teeth. You might be wondering, what are the causes of peg-shaped teeth? What can I do to change their appearance? We’re here to help you understand this condition, its causes, and what you can do about it.

What Are Pegged Teeth?

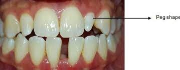
Pegged teeth (also known as peg teeth or microdontia) refers to those with a cone-shaped appearance that are significantly smaller than typical teeth. This condition typically affects one or both of your lateral incisors, which are found on the sides of your two front teeth in the top and bottom rows. It’s rare to have this condition affect all of your teeth.

Types of pegged teeth include:

Partial microdontia: Refers to only some of your teeth having a small size.

Generalized microdontia: Refers to all of your teeth having a small size.

Relative microdontia: Refers to average-sized teeth appearing to be small relative to those with a large jawbone.

It’s important to keep in mind that pegged teeth is a distinct condition from those who have a primary (baby) tooth that never fell out due to a missing permanent (adult) tooth. Pegged teeth are those which come in smaller than your other adult teeth or smaller than average adult teeth. For this reason, it can be hard to recognize pegged teeth in children, so it’s a great idea to check in with your dental professional if you’re concerned about your child’s teeth.

What Causes Pegged Teeth?

Because pegged teeth refer to their appearance and not an exact underlying condition, they have various distinct causes.

Causes of pegged teeth may include:

Inherited genetic traits from your parents

Ectodermal dysplasia

Williams syndrome

Hutchinson’s teeth from congenital syphilis

Genetic disorders

Developmental and congenital issues

It’s important to consult your dental professional for their expert insight on this condition, as it’s difficult to determine the underlying cause on your own. They can help ensure that your pegged tooth doesn’t indicate that you are at risk of other related health concerns.

Treatment Methods

Fortunately, a pegged tooth often does not present any health concerns or symptoms. Many are interested in treating a pegged tooth (or teeth) cosmetically to improve their appearance and confidence. Rest assured that no two smiles are exactly alike, and there is no such thing as a “normal smile.”

However, there are various options available to help change the appearance of pegged teeth. The right choice for you will depend on your needs, health history, symptoms, and your dental professional's expert recommendation.

Options to restore or replace pegged teeth may include:

Crowns

Veneers

Bridges

Bonding and reshaping

Keep in mind that pegged teeth often do not cause any symptoms, so your choice to seek treatment will often rely on your desired cosmetic outcome. Because there are various underlying causes of this condition, it’s important to check in with your dental professional to avoid other oral health problems and confront any issues early on. You’ve done a great job educating yourself on pegged teeth and what you can do about them.

(01/11/2023)
by Colgate

More Information: https://www.colgate.com/en-us/oral-health/kids-oral-care/understanding-pegged-teeth

Views: 668
Share


My BEST Dentists Journal Headlines