My BEST Dentists Journal

All Journal Entries
Share

Untreated Alignment Problems Can Affect Your Oral Health

Different issues can affect the quality of a person’s smile. Dull, discolored teeth can be a concern, as can problems with dental damage or wear and tear. If your teeth are poorly aligned, you may find yourself upset because of gaps and overlaps that interfere with the way you look. If you have held off on orthodontic treatment, you should know that you are postponing more than just cosmetic dental improvements. By straightening your teeth, you can also reduce pressure on your jaw, and lower your cavity risk! Your Bellaire, TX dentist’s office can talk to you about your options for treatment.

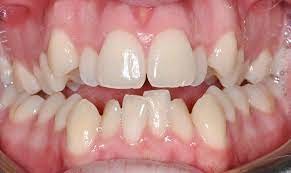
What Kind Of Problems Can Crooked Teeth Cause?

If your teeth are crooked, your bite can be adversely affected. Over time, an uneven bite can demand too much from certain teeth, leading to premature wear and tear. The problem can also cause your jaw joints to experience discomfort, which can lead to TMJ dysfunction. As a result, you can experience frequent pains in your face, neck, and head, as well as trouble with teeth grinding.

Teeth that are too close together can be harder to clean, as they create spaces where it is difficult to effectively clear away bacteria and food debris. If this problem is not corrected, you can face a higher cavity risk.

Addressing Problems With Poor Dental Alignment Through Orthodontic Care

Orthodontic treatment can help you improve the way you look, while also making positive changes to your oral health. There are several approaches to treatment that can be advised. Traditional bracket and wire braces are useful for adjusting serious alignment issues, and they can lead to dramatic changes. If you feel self-conscious about the way you might look with braces, you can discuss lingual braces, which are affixed to the back of teeth, not the front.

It can be possible to make changes to the alignment of your smile through clear aligners. Clear aligners are removable, and hard to see, making them popular with people worried about the intrusion of orthodontic appliances in their lives. Your dentist can talk to you about what to expect from this treatment, if you are approved.

Keeping Up With Dental Care To Preserve Your Best Smile

If you want to maintain your best and healthiest smile, keep up with oral health exams. Your dentist can observe how problems like poor dental alignment might be affecting your well-being, and recommend an appropriate response.

(06/01/2021)
by Contemporary Dental and Orthodontics

More Information: https://contemporary-dental.com/2019/01/untreated-alignment-problems-can-affect-your-oral-health/

Views: 958
Share


My BEST Dentists Journal Headlines