My BEST Dentists Journal

All Journal Entries
Share

What Can Cause A Hole To Appear In The Gums Or Gumline?

We all experience sore or inflamed gums from time to time. But what does it mean when you find a hole in your gums?

A “hole” in the gums can appear as an area that’s become pocketed, cratered, or indented compared with the surrounding tissue. There are several things that can cause this to occur. The most common is gum disease.

Keep reading as we dive deeper into the potential causes, how they’re treated, and the steps you can take to prevent them.

Let’s take a look at the things that can cause holes to form in the gums. For each cause, we’ll break down what it is, what the hole may look like, and any other symptoms to look out for.

Periodontitis

Periodontitis is an advanced form of gum disease. Gum disease happens when plaque builds up on your teeth. Plaque is mainly made up of bacteria that eat the sugars from our food to get the energy they need.

As the bacteria eat these sugars, they also produce waste products, which can cause your gums to become irritated and inflamed, and bleed easily. This is called gingivitis.

When this inflammation spreads further into gum tissue and affects the bone, it can become periodontitis.

The American Dental Association estimates that periodontitis affects 47.2 percent of adults over the age of 30 in the United States.

Periodontitis can cause loss of tissue and bone. As this happens, the gums can pull away from the teeth, creating pockets or holes in the area between your teeth and gums.

Other symptoms of periodontitis include:

red, swollen gums

gums that bleed easily when you brush or floss

sore gums

bad breath

receding gums

sensitive teeth

loose teeth

discomfort or pain when chewing

Infections

Sometimes infections can cause holes to appear in the gums. This can happen due to viruses or bacteria.

One example of this is a condition called herpetic gingivostomatitis, which is caused by herpes simplex virus (HSV). This condition most commonly occurs in children who’ve initially contracted HSV, but it can also sometimes happen in adults.

Herpetic gingivostomatitis causes lesions to appear in the mouth, including on the gums. These lesions can appear concave or cratered and may form ulcers.

The condition can include other symptoms like:

red, swollen gums

fever

loss of appetite

irritability

malaise

swollen lymph nodes

It typically resolves on its own.

Other infections can cause holes to appear in the gums, although these are rarer. An example is actinomycosis, a bacterial infection that can affect the mouth and jaw. In rare cases, this infection has been documentedTrusted Source to lead to holes in the gums.

Open tooth socket

Another cause of a hole in the gums is an open tooth socket, which is present following a tooth extraction. This “hole” heals over time, filling with bone about 8 weeks after the extraction.

Pain and swelling are common following an extraction. It’s important not to disturb the area too much as it heals. Doing so can lead to a dry socket, a painful condition in which the nerve and bone of the healing tooth socket are exposed.

Necrotizing periodontal disease

Necrotizing periodontal disease is a rare form of gum disease. It typically comes on suddenly and is associated with tissue death (necrosis). It’s mostly observed in people with a weakened immune system.

In necrotizing periodontal disease, gum tissue can appear cratered or punched out. Painful ulcers may also appear. Necrotic areas can also be covered by something called a pseudomembrane, which is white or yellow in color.

Additional symptoms include:

severe pain

spontaneous bleeding

bad breath

receding gums

swollen lymph nodes

fever

Where can holes in your gums appear?

The location of a hole in your gums depends on what’s causing it. For example, an open tooth socket is found at the site of an extraction.

In periodontitis and necrotizing periodontal disease, the holes or pockets typically occur in the general area where the gums meet the teeth.

Meanwhile, infections may cause holes to appear at any location on the gums.

 

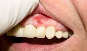
What does a hole in your gums look like?

The following pictures provide an idea of what a hole in the gums may look like.

How a hole in your gums is treated

How exactly a hole in the gums is treated depends on the cause. Let’s explore some potential treatment options.

Scaling and root planing

Scaling and root planing is used to remove plaque that’s located both above and below your gumline. It’s used to treat periodontitis. You may know this treatment as “deep cleaning.”

This treatment is a two-step process:

Scaling. During scaling, a dentist removes plaque that’s found on the teeth and in the pockets around the gumline.

Root planing. Root planing involves scaling the roots of the teeth, which are located deeper under the gumline. Planing helps smooth out the roots, which can help them reattach to your gums.

Scaling and root planing is an outpatient dental procedure. Often, a local anesthetic is used to minimize discomfort. Depending on the severity of periodontitis, more than one appointment may be needed.

Periodontal surgery

If periodontal disease has become severe, periodontal surgery may be recommended. There are several types of periodontal surgery. Some examples include:

Flap surgery. In flap surgery, a small incision is made in the gums. The gum tissue is then lifted, so plaque can be removed from the deeper surfaces of the tooth. This can help your gums fit more snugly against your teeth.

Regenerative procedures. The gum tissue is folded back and plaque is removed. A piece of material, which can be made from proteins or bone, is placed to help regenerate lost tissue and bone.

Gum grafting. Gum grafting helps treat receded gums. It involves taking gum tissue from another area of your mouth and using it to cover the exposed area of the tooth.

Antibiotics

In cases of severe periodontal disease or a bacterial infection, your dentist may prescribe antibiotics. These are medications that kill bacteria or slow their growth.

Preventing or slowing gum disease

There are many ways you can help prevent conditions that can lead to holes in your gums.

Brush and floss daily

Brushing and flossing your teeth each day helps reduce plaque buildup. It’s one of the best ways to prevent gum disease.

Follow the tips below:

Brush your teeth using a fluoride toothpaste for about 2 minutes twice each day.

Aim to use gentle circular motions when brushing. Avoid hard, back-and-forth motions.

Angle the bristles of the brush toward your gumline, so they can clean the area between the gums and the teeth.

Make sure to cover all sides of your teeth and to also brush your tongue.

Floss daily with dental floss to help clean the space between your teeth. Options include pre-threaded flossers or water flossers (Waterpiks).

Limit sugary foods

Sugary foods help feed the bacteria in your mouth, contributing to the development of plaque. Because of this, aim to limit your consumption of sugary foods like candies, cakes, and carbonated beverages.

See a dentist regularly

Plaque can accumulate on your teeth, despite regular brushing and flossing. Because of this, see a dentist for routine teeth cleanings. For most people, this means going to the dentist every 6 months.

It’s also important to see a dentist if you notice any concerning symptoms related to your teeth or gums. A dentist can help figure out what may be causing them and recommend a treatment.

If you don’t have insurance, there may be low-cost dentist options available to you.

If you smoke, quit

Smoking is a big risk factor for gum disease and many other health conditions. If you smoke, try to take steps to quit.

This can be difficult, and it may take several quit attempts. Consider reaching out to your doctor or another healthcare professional to develop a cessation plan. Having support can make all the difference.

Takeaway

A hole in the gums can appear as an area that’s pocketed, cratered, or concave. Advanced gum disease is a common cause, although some types of infections may cause holes as well.

The treatment for a hole in your gums depends on the cause. Scaling and root planing may be used for periodontal disease. Surgery may be recommended in more serious situations. Antibiotics can treat bacterial infections.

(04/22/2022)
by Health Line

More Information: https://www.healthline.com/health/dental-and-oral-health/hole-in-gum#summary

Views: 742
Share


My BEST Dentists Journal Headlines