My BEST Dentists Journal

All Journal Entries
Share

What Chewing Tobacco Does to Your Teeth?

Chew, spit tobacco, chewing tobacco, snuff, chaw, dip, and plug are just a few of the names for smokeless tobacco. However, just because it’s smokeless doesn’t mean that it’s harmless. Tobacco has a long history in North Carolina– Greensboro in particular–and though usage has dropped in recent years, usage in this state is still above the national average.

Although it isn’t smoked like a cigarette or cigars, chewing tobacco still has serious consequences for your oral health. From loose teeth to cancer, chew can wreak havoc on not just your mouth, but the health of your entire body.

It may have become less popular over the last few decades for a number of reasons, but many chewers are still going strong. In North Carolina, 4.5% of adults use smokeless tobacco products. When the short and long-term effects are considered, it may become much easier to kick the habit for good.

Short-Term Effects of Chewing Tobacco

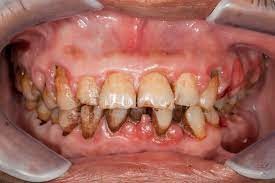
While any type of tobacco is bad for your teeth, there are some unique short term effects of chewing tobacco. Some of these include: Bad breath, Bad taste in your mouth, Excess saliva (problems with drooling), Stained or yellow teeth, Your clothes can become stained, Nicotine addiction, Receding gums, Gum loss, Teeth become sensitive, Risk of tooth decay, Sores and white patches in your mouth.

These effects can occur after just a short period of usage. Most of these issues (aside from staining and gum issues) can be stopped if you stop using chew. However, many North Carolinians have a hard time with this due to the addictive qualities of nicotine, thus leading to many long term health effects.

Long-Term Effects of Chewing Tobacco

For those who can’t kick the habit, there are other serious side effects that can affect your whole body health. Here are some of the health challenges that may result from prolonged usage of smokeless tobacco.

Cancer of the mouth, tongue, cheek, gums, esophagus, stomach, pancreas and throat.

Increased risk of heart disease, heart attacks and stroke

Bone loss surrounding the roots of teeth, Cavities, Loss of teeth.

As with most harmful substances, the longer you use chew, the more severe the side effects will be.

Quitting Won’t Be Easy, But It Is Possible

Nicotine is a highly addictive substance and it can be a difficult feat to quit for anyone. However, it’s not impossible. When you’re ready to move past this part of your life, it’s important to put a plan into place, set a quit date and lean on your support system. Expect cravings when you’re quitting, but don’t give in. The following tips will help immensely when you’re feeling the urge.

Change pace: When the craving hits, stop what you’re doing and do something else. This change of routine will help retrain your mind.

Distract your mouth: Stock up on sugar-free gum to keep your mouth busy throughout the day. Drinking plenty of water will also keep your body replenished and distracted.

Move around: Bust out a few jumping jacks, stroll around the block or jog up the stairs. Exercise isn’t just good for you, it will also kick those endorphins into overdrive helping distract from nasty cravings

Just breathe: Taking deep breaths will help you relax and take your mind off the urges to chew.

Can You Reverse the Effects of Chewing Tobacco?

You won’t be able to completely reverse the harm that has been caused by using chewing tobacco, but the sooner you quit, the less damage will be done. Even if you’re a long-term chew user, never fear, there are ways to restore your smile and teeth functionality. Procedures like dental implants can help with tooth loss, and whitening can restore enamel to its original luster.

(04/20/2021)
by Greensboro Dentist

More Information: https://greensboro-dentist.com/what-chewing-tobacco-does-to-your-teeth/

Views: 1,021
Share


My BEST Dentists Journal Headlines