My BEST Dentists Journal

All Journal Entries
Share

What Is A Dental Black Triangle? Causes And Treatments

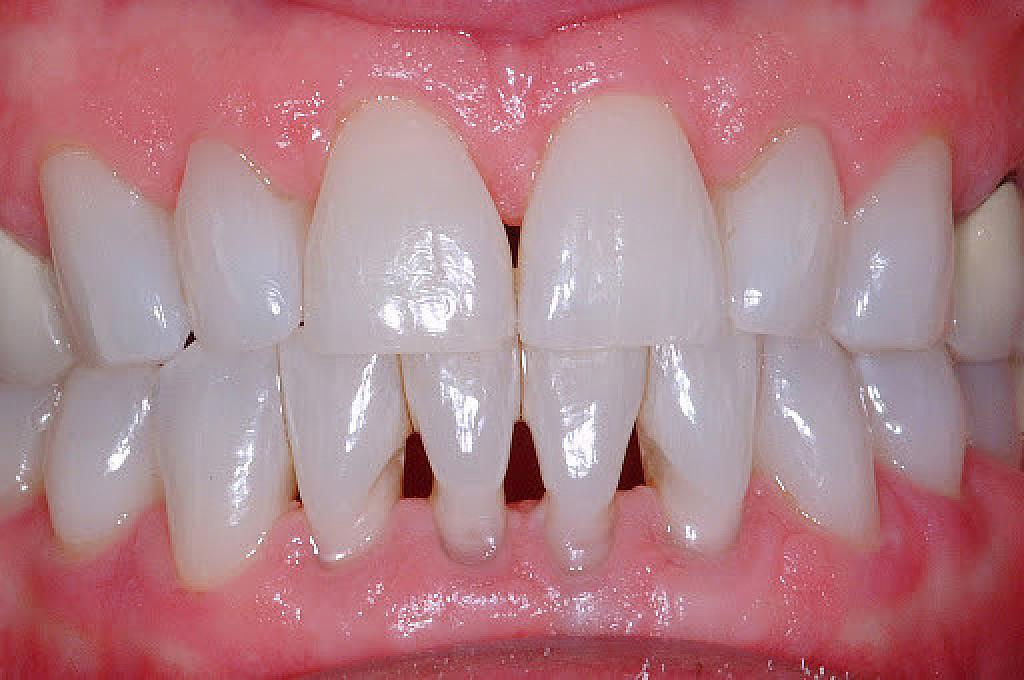
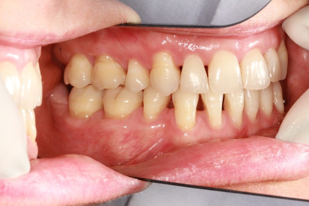
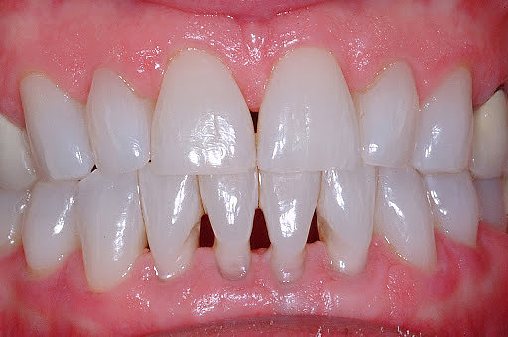
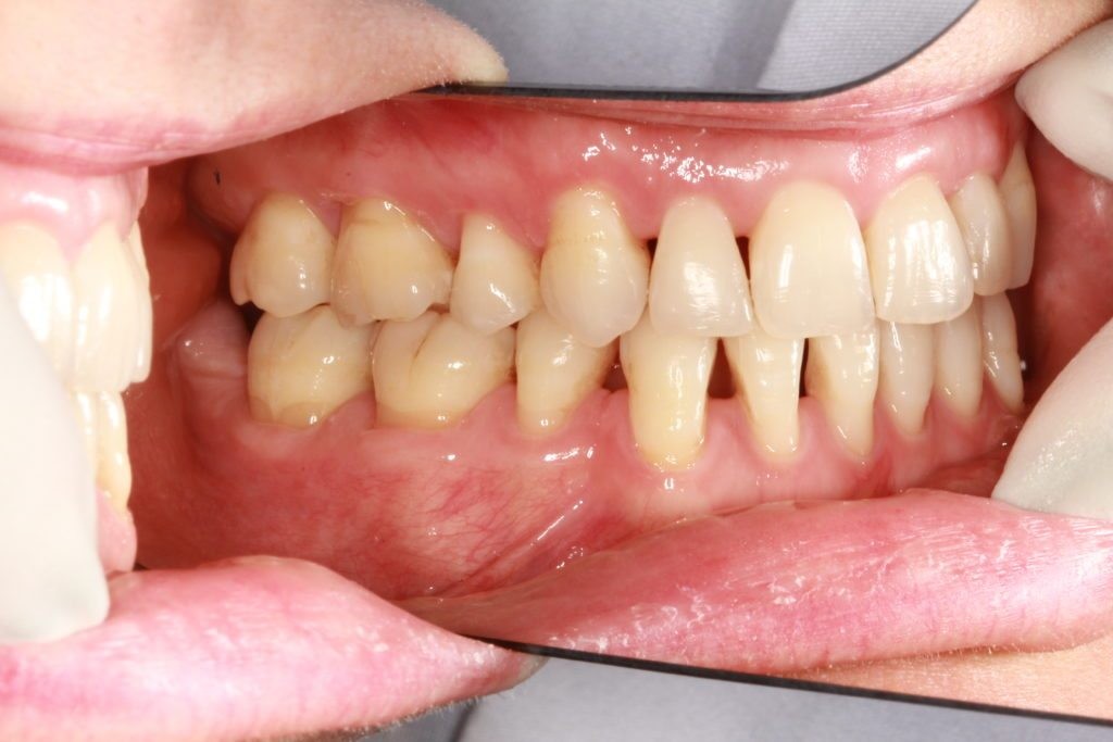
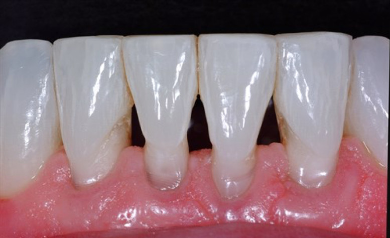
Look closely at your front teeth. Between any of them, do you notice gaps that look like tiny black triangles? A dental black triangle occurs when the space between two teeth, also known as an embrasure, is not completely filled by gum tissue. This creates a triangular gap between the teeth and gums.

According to a review in the British Journal of Applied Science & Technology, studies have shown that black triangles can occur in up to 67% of people over the age of 20, making this a rather common condition. However, if not managed properly, these black triangles can lead to more serious oral health issues.

Causes of Black Triangles

Black triangles may result from numerous underlying causes, including a person's dental anatomy and their oral health status. An article in the British Dental Journal (BDJ) notes that some of the most common reasons that embrasures form include: 

Older age, Gum disease and recession, Diverging tooth roots following orthodontic treatment, Space between the teeth, Abnormal tooth crown or restoration shape.

Since gum disease can lead to the formation of black triangles, it's equally important to understand the causes of this condition. According to the American Dental Association, there are many contributing factors that may increase one's risk of gum disease, such as:

Not maintaining proper oral hygiene, Genetics, Crooked teeth, which can be hard to keep clean, Using tobacco products, Pregnancy, Diabetes, Certain medications.

Oral Health Risks of Black Triangles

A black triangle is not just an aesthetic problem. As the BDJ article explains, food particles and plaque can accumulate in the gap. The Mayo Clinic notes that plaque accumulation can lead to cavities, as well as more severe oral problems, such as dental abscesses. That's why it's important to get an assessment from a dental professional if you notice these spaces between your teeth.

Treatment Options

Because of the complex nature of the dental black triangle, treatment often requires an interdisciplinary approach. This means that your family dentist may need to coordinate treatment for this condition with various specialists — most likely a periodontist or an orthodontist.

According to the BDJ article, management of black triangles may involve:

Surgical approaches: There are a variety of surgical techniques that can help to preserve the gum tissue between teeth.

Tissue engineering: Tissue engineering involves the injection of regenerative cells to help regrow the missing gum tissue.

Tissue volumizing: Similar to the technique used for facial tissue regeneration, tissue volumizing uses hyaluronic acid to reduce black triangles.

Tooth or restoration reshaping: Altering the shape of the teeth through cosmetic recontouring, bonding or fabricating new crowns or veneers can help to eliminate black triangles.

Pink restorative materials: Pink shades of porcelain and composite materials can sometimes be used to hide or reduce black triangles.

Gingival veneers: A removable gingival veneer or mask is a gum-colored acrylic or silicone device that can be used to cover black triangles. This can be a cost-effective way of temporarily covering the spaces between teeth, but it requires excellent oral hygiene and manual dexterity.

Orthodontic treatment: Although orthodontic treatment can sometimes have the unintended consequence of creating black triangles, it can also help to eliminate the problem in certain cases by repositioning teeth and their roots.

The best way to prevent black triangles from forming between your teeth is to take care of your teeth and gums by brushing twice a day, flossing once daily and visiting your dentist for checkups regularly. While there's no guarantee that you won't see black triangles at some point, you can rest assured knowing that your dental health providers will be able to help you if they appear.

(03/18/2021)
by Colgate

More Information: https://www.colgate.com/en-us/oral-health/threats-to-dental-health/what-is-a-dental-black-triangle-causes-and-treatments

Views: 1,134
Share


My BEST Dentists Journal Headlines