My BEST Dentists Journal

All Journal Entries
Share

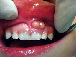
What Is A Tooth Abscess?

A tooth abscess is a bacterial infection found in the inner part of the tooth where pus has collected and can cause moderate to severe pain in people who suffer from the condition. Tooth abscesses can occur when a cavity has gone untreated for too long or when a crack or chip in the tooth allows bacteria to find its way into the dental pulp (the inner, soft part of the tooth) area of the tooth and gets infected.

Once the bacteria has made its way inside, it will spread down to the root and cause both inflammation and swelling. Once inflammation occurs, it will force the pus into a tight space (known as the abscess) at the tip of the root where the swelling exists.

Symptoms

Signs and symptoms of a tooth abscess include:

Persistent, throbbing or severe toothache

Extreme temperature sensitivity

Pain when performing normal chewing or biting

Fever

Swelling in the face or the cheeks

Lymph nodes under the jaw or in the neck become tender or swollen

A rush of foul-tasting fluid in the mouth followed by cessation of pain, which means the abscess has ruptured

Other Risk Factors

The following factors may increase your risk of a tooth abscess:

Poor Dental Habits — If you don’t brush or floss every day (preferably twice or more a day), this can significantly increase your risk of further dental and oral complications like gum disease, tooth abscesses and tooth decay.

A High-Sugar Diet — Too much sugar is bad for your body and is especially hard on your teeth. Sodas, sweets and other foods high in sugar content can cause cavities, which can very quickly turn into infections or tooth abscesses.

Other Health Issues — Do you have diabetes or any other kind of autoimmune disease? If so, these can certainly increase your likelihood of getting a tooth abscess, so proper dental care and regular checkups are essential.

When Should You Consult Your Dentist?

If you experience any of the signs or symptoms listed above, you should see your dentist immediately, especially if you begin to experience swelling in your face or begin to feel feverish. If your dentist cannot see you immediately, you should go to an emergency room as it’s possible these symptoms indicate the infection is possibly spreading into your jaw and the surrounding tissue.

The only way to rid yourself of both the pain and the condition is to get proper dental treatment. You may feel a lessening of pain if the abscess ruptures, but you’ll still need to get a professional’s help. The infection could spread to other parts of your jaw and beyond to parts of your head and neck and, in a worst-case scenario, lead to sepsis, which is an infection throughout the entire body that can put your life at risk.

Testing and Diagnosing

Beyond regular dental checkups, your dentist may perform a couple of specialized tests to confirm you have an abscessed tooth:

Tooth Tapping — An abscessed tooth is often very sensitive to touch or pressure, so your dentist may apply both to the tooth in question to determine your pain levels.

X-rays — An X-ray, or other imaging test (such as a CT scan), can help identify an abscess, so your dentist may require taking some to be sure.

Lab Tests — If the first line of antibiotics doesn’t help combat the infection, your dentist may take a sample of the infection to find out what kind of bacteria is causing it. This will help pinpoint a more effective treatment plan moving forward.

Tooth Abscess Treatments

Treating a tooth abscess involves draining the abscess and ridding the area of the infection. The tooth itself may be saved with a root canal treatment, but in some instances, it may need to be removed completely. Leaving a tooth abscess untreated can lead to serious, even life-threatening, complications. Your dentist or oral surgeon may recommend the following:

Root Canal Procedure — If possible, your dentist will try to save your tooth by performing a root canal. The tooth is cleaned and disinfected on the outside, drilled into and cleaned out from the inside and then filled with a safe adhesive cement to restore structural integrity (and protect the tooth from future infection). If taken care of, this restored tooth will last your entire lifetime.

Extract or Pull the Affected Tooth — Extracting the tooth is a last resort, but if the tooth cannot be saved, your dentist will elect to choose this option to preserve the health of the rest of your mouth. Once extracted, the abscess will be fully drained and cleaned to prevent further infection.

Antibiotics — If the infection is localized around the abscessed area, you may not need antibiotics. However, if the infection has spread beyond it, your dentist will prescribe antibiotics to help slow or diminish the infection, especially if you have a weakened immune system.

While the area is healing, your dentist may recommend that you regularly rinse your mouth with warm salt water and take over-the-counter pain relievers as needed to help ease any discomfort you may encounter.

Preventing Tooth Abscesses

You can prevent a tooth abscess from ever occurring by taking proper care of your teeth, eating a healthy diet and getting regular dental checkups. Here are some general guidelines to ensure you have a happy and healthy mouth.

Drink fluoridated water.

Use a fluoride toothpaste when brushing twice a day (or after every meal).

If your brush bristles become frayed, replace your toothbrush. Or, simply replace it every three to four months as a general rule.

Floss daily with dental floss or an interdental cleaner.

Use an antimicrobial or fluoride mouthwash to help rid your mouth of any leftover food particles after meals.

Eat a more balanced and sugar-free diet.

Get regular dental checkups and cleanings from your dentist.

If you have questions about your oral care routine or feel like you may be experiencing the early stages of a tooth abscess, contact your dentist for an examination. Your dentist will answer your questions and determine if you need treatment for a tooth abscess.

(03/06/2023)
by Colgate

More Information: https://www.colgate.com/en-ph/oral-health/mouth-sores-and-infections/tooth-abscess

Views: 570
Share


My BEST Dentists Journal Headlines