My BEST Dentists Journal

All Journal Entries
Share

What Is Condensing Osteitis?

While it's a tricky term to pronounce, to stay the least, Condensing Osteitis is quite simple when identified to diagnose and treat. Instead of making the bone smaller — condensing osteitis actually produces more bone density, specifically at the base of a tooth's root. This usually crops up due to an infection and chronic inflammation in the dental pulp, or the interior part of your tooth. It’s quite possible that you won’t feel or see any symptoms, but you should still make sure your dentist keeps an eye on it should treatment be necessary.

How Condensing Osteitis develops

Your commons sense would tell you that inflammation from an infected or dead nerve in your tooth would make it smaller. However, condensing osteitis actually spurs bone growth in your jawbone. It doesn't destroy it but instead increases bone density while decreases space for bone marrow — typically affecting your lower back molars. According to a study from Brazilian Oral Research, the age range for condensing osteitis is quite broad, spanning from 30-70 years of age. Fortunately, most people diagnosed with it don't experience any pain or symptoms.

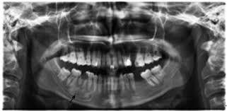
How To diagnosis Condensing Osteitis

It's slightly peculiar, but since condensing osteitis symptoms are often not present, most diagnoses aren't made until you see your dentist. It's there during a regular dental checkup while receiving a routine X-ray, the pulp of your tooth is examined. The bone growth looks opaque under your root within the X-ray — whereas bone destruction would appear transparent, accompanied by pain and discomfort. Condensing osteitis is relatively uncommon. It consists of only 2% of conditions diagnosed during a routine X-ray exam, according to a study published in Dentomaxillofacial Radiology. The use of diagnostic x-ray equipment allows your dental professional to assess the bony area without a biopsy properly. All this makes it all the more important to maintain your regular dental exams and X-rays so your dentist and dental hygienist can identify any potential issues.

What's the treatment for Condensing Osteitis?

Once your dentist has diagnosed you with condensing osteitis, there are a few solutions when it comes to treatment options—some more invasive than others.

Monitor the increased bone density while there are no current symptoms

Treat the affected tooth with either endodontics, a different restoration, or tooth extraction.

Have your dentist perform a root canal procedure to treat the infected tooth

See an endodontist, a root canal specialist, to perform the procedure

Work with your dentist or endodontist post-procedure on keeping your tooth healthy in the future

There are some incidents with oral health, like condensing osteitis, that happens, and there's nothing you can do. However, what you can do is brush, floss, and get dental checkups with X-rays regularly. If you do that, your dentist, thankfully, can diagnose and treat any potential dental issues you may have.

 

(08/10/2023)
by Colgate

More Information: https://www.colgate.com/en-us/oral-health/root-canals/what-is-condensing-osteitis

Views: 453
Share


My BEST Dentists Journal Headlines