My BEST Dentists Journal

All Journal Entries
Share

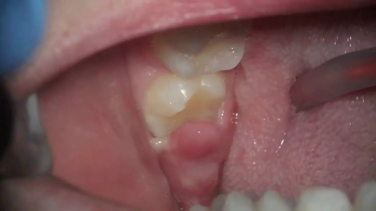
What Is Pericoronitis?

As teens get older, they have a variety of milestones to look forward to, whether it’s preparing for a driving exam, sending in college applications, or moving on to another exciting adventure. However, you should keep in mind an oral health milestone too: wisdom teeth. A strong, confident smile is an important asset to take with you into adulthood and staying aware of possible risks like pericoronitis while third morals are erupting is important.

What is Pericoronitis?

Pericoronitis is the inflammation and infection of tissue surrounding a partially erupted wisdom tooth or teeth, and it’s more common in the lower jaw. Partially impacted molars often have a flap of gum tissue covering the crown of the erupting tooth and this tissue can get food stuck under the gum flap or other debris. This creates a possible breeding ground for bacteria, causing pericoronitis to develop.

What is the Difference Between Acute vs. Chronic Pericoronitis?

If your wisdom teeth are coming in, visit your dentist at least twice a year for regular checkups to monitor the progress of your wisdom teeth and check for an infected wisdom tooth or pericoronitis. However, you should be aware of the signs and symptoms to make sure you can get immediate care.

Acute:

Severe gum pain in the back of the mouth

Swollen gums in back of mouth

Pain when swallowing

Pus discharge

Trismus (lockjaw)

Chronic:

Bad breath

A bad taste in your mouth

A mild or dull ache lasting for one or two days

How do you treat Pericoronitis?

Pericoronitis treatment varies because the flap of gum tissue that’s creating the problem won’t go away until the tooth emerges naturally, the tissue is surgically removed, or the tooth is extracted.

If your incoming wisdom tooth is not impacted, your dentist may decide to help you manage the symptoms of pericoronitis without removing the tissue flap or the tooth. Your dentist will clean the gum tissue and monitor the area to make sure it stays clean. You may be prescribed antibiotics to treat the swelling or wisdom tooth infection, so it doesn’t reoccur while you wait for the wisdom tooth to fully come in.

If your symptoms are severe enough your dentist may refer you to an oral and maxillofacial surgeon to decide if the tooth or tissue flap should be removed. No need to panic, the flap can be removed with a minor oral surgery. However, the tissue can grow back, and if the molar is impacted and it’s determined that it won’t grow in correctly, the best course of treatment is likely an extraction. Removing the wisdom tooth fully treats the problem.

What is Ludwig’s Angina?

While uncommon, a person experiencing pericoronitis can develop a life-threatening complication called Ludwig's angina. This is a rare but serious and rapidly progressing bacterial infection that affects the floor of the mouth and the neck and should be treated by a medical professional as soon as possible. If you experience any of these symptoms, it's time to call the doctor.

Swelling of infected tissues

Enlarged neck swelling

Sore throat

Trouble swallowing

Fever and chills in combination with extensive swelling

Pericoronitis Prevention

Pericoronitis sometimes arises even with excellent dental care. During this busy time in your life it’s important to monitor the growth of wisdom teeth so you can extract a tooth early if necessary, to avoid complications like pericoronitis. Luckily, pericoronitis does not cause any long-term effects. If the affected tooth is removed or erupts fully into the mouth, the condition cannot return.

Remember that pericoronitis does not occur when all wisdom teeth come in and can be treated quickly if you pay close attention and seek advice from your dentist if you have any concerns.

 

(02/22/2023)
by Colgate

More Information: https://www.colgate.com/en-us/oral-health/wisdom-teeth/perocoronitis-infection-near-wisdom-tooth

Views: 601
Share


My BEST Dentists Journal Headlines