My BEST Dentists Journal

All Journal Entries
Share

What Is Strawberry Gum Disease?

People who develop gingivitis or other types of gum disease must not have the best oral care habits, right? Not so fast. While poor oral hygiene can increase your risk of gum disease, it's also true that gum disease isn't always linked to a lack of oral hygiene.

In some cases, gum disease can be a sign of systemic disease. So-called strawberry gum disease is one example of gum disease that develops due to another condition — in this case, granulomatosis with polyangiitis (GPA).

What Is Granulomatosis With Polyangiitis?

GPA is a type of vasculitis, a group of conditions that cause inflammation in the blood vessels. The good news about GPA is that it is pretty rare. The cause of GPA is unknown, but the condition doesn't seem to be genetic, and it also isn't contagious, meaning one person can't give it to another. Some research suggests that it might develop due to the immune system damaging the blood vessels and other tissues.

Symptoms of GPA

Strawberry gum disease, also known as strawberry gingivitis is a potential symptom of GPA, but like GPA itself, strawberry gingivitis is also pretty rare. While GPA most often affects the upper respiratory tract, people may notice symptoms such as:

Bloody cough

Nose bleeds

Wheezing

Voice changes due to inflammation in the windpipe

What Does Strawberry Gingivitis Look Like?

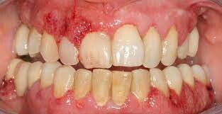
Strawberry gingivitis isn't the same as the type of gingivitis that develops due to poor oral hygiene. Instead, strawberry gum disease (also known as "hyperplastic granular gingivitis") causes the gums to become enlarged and nodular. The gums will often appear red and sore, and they might bleed easily. The lesions associated with the issue can occur all over the gums or only in certain areas, so strawberry gum disease can look different in different patients.

Diagnosing and Treating Strawberry Gum Disease and GPA

Treatment for strawberry gum disease is often different from treatment for other forms of gum disease. If you notice bumpy, red, or very swollen areas of your gums, you should talk to your dentist or doctor about the issue. Strawberry gingivitis is usually an early sign of GPA, and they may then screen you for GPA.

The process of diagnosing GPA often involves:

Biopsying the area

Performing a physical exam

Taking an X-ray of the lungs or other organs to see if there is inflammation

About one-third of patients with GPA have lung abnormalities that appear on an X-ray, even if the patient doesn't have respiratory symptoms. Treatment for GPA can often be ongoing, although many people recover from it within a few months if the condition is caught early and treated immediately. The most common treatments for GPA are corticosteroids and medications that suppress the immune system to reduce inflammation.

If you're concerned about the appearance of your gums, your best bet is to get a thorough exam from your dentist. Be sure to keep up with good oral care at home, and see a dental professional for regular dental hygiene appointments to keep your gums healthy.

(11/03/2022)
by Colgate

More Information: https://www.colgate.com/en-us/oral-health/gum-disease/what-is-strawberry-gum-disease

Views: 592
Share


My BEST Dentists Journal Headlines