My BEST Dentists Journal

All Journal Entries
Share

What Is Supragingival Calculus?

Your dental professional has probably told you about bacteria and plaque and their effects on your oral health. But do you know about supragingival calculus? Read on to learn what supragingival calculus is and how establishing a good oral care routine can prevent bacteria buildup in the mouth.

Calculus vs. Plaque

According to the American Dental Association (ADA), calculus forms when sticky plaque on the teeth is not removed and is left to harden. Once it hardens, the calculus — also called tartar — sticks to the tooth like a barnacle to a boat. The American Academy of Periodontology notes that while dental plaque can be removed at home, calculus must be removed by a dental professional, as it strongly adheres to the tooth surface.

A review in the International Journal of Dental and Health Sciences (IJDHS) explains that plaque can form on any surfaces inside the mouth where nutrients are available to feed the bacteria. As colonies of bacteria (called biofilm) develop in the mouth, they collect the minerals found in your saliva and in the foods you eat. These minerals, which include calcium and phosphorous, stick to the biofilm and harden with it over time, creating a rock-like adhesion on the tooth called calculus or tartar.

Types of Calculus

According to the IJDHS review, there are two types of dental calculus: supragingival and subgingival. The difference between the two types is the location of the calculus relative to the edge of the gum tissue.

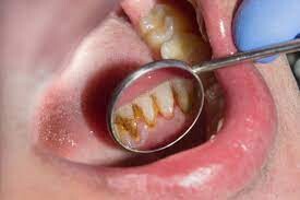
If you think of the edge of the gums like a shirt sleeve and imagine the tooth is like your hand in the sleeve, you can get a better image of this classification. The parts of your hand and wrist that extend visibly outside the sleeve would be considered supragingival (above the gumline), whereas anything unseen below the sleeve would be considered subgingival (below the gumline). Calculus above the gumline can appear whitish or yellowish in color.

Removing Supragingival Calculus

While your dentist and dental hygienist can typically detect supragingival calculus visually, dental professionals also receive extensive training using equipment other than their eyes. One such example, according to the IJDHS review, is an instrument known as a dental explorer, which helps the dental professional feel and remove calculus. A scaler is another common handheld instrument used to remove calculus above the gumline, as a review in the Saudi Dental Journal notes. In addition to these, new technologies — such as ultrasonic and laser tools — have also emerged to help dentists and hygienists detect and remove calculus.

It's important to remove calculus as soon as it's detected to prevent further bacteria buildup and retain gum health. The ADA notes that as supragingival calculus develops, the gums can become swollen and bleed easily. This condition, termed gingivitis, can worsen into a more serious form of gum disease if left untreated.

Prevention Is the Best Medicine

To ensure that your oral care routine reduces and minimizes calculus formation, focus on controlling plaque buildup at home. You can decrease your chances of developing calculus deposits by establishing good oral care habits, such as brushing your teeth twice a day, cleaning between them with floss and using an oral rinse. At your routine dental visits, your dental professional will remove all existing calculus deposits and help get your smile in tip-top shape.

(04/15/2023)
by Colgate

More Information: https://www.colgate.com/en-us/oral-health/plaque-and-tartar/what-is-supragingival-calculus

Views: 622
Share


My BEST Dentists Journal Headlines