My BEST Dentists Journal

All Journal Entries
Share

What Is The Gingival Sulcus?

Much like the cuff of a sleeve fits snugly against the wrist, the gum tissue in your mouth fits tightly around each tooth. Think of the gingival sulcus as the space between the edge of the sleeve and the wrist, with the sleeve representing your gums and the wrist representing a tooth. Knowing how to keep this space clean and its role in your oral health can help you avoid gum issues down the line.

What is the Gingival Sulcus?

The sulcus is “the point at which the tooth and gums meet,” or the natural space between the surface of the tooth and the surrounding gum tissue (also known as the gingiva). The cementoenamel junction, located at the bottom of the sulcus, helps keep the gums attached to the tooth surface. When the gum tissue is healthy, it is firm, pink to brown, and fits tightly around the tooth. A good sign of a healthy gingiva sulcus is a depth of 3mm or less, which your dental professional will periodically measure.

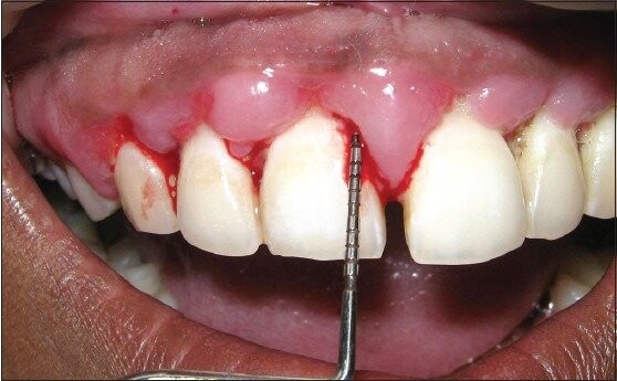
Measuring the Sulcus

Your dental professional may choose to conduct a periodontal screening assessment to determine your risk of developing gum disease. They will take a small ruler, called a periodontal probe, and place the probe just under the gum tissue to measure the pocket depth. The probe enters the gingival sulcus and gently presses against the spot where the gum tissue attaches to the tooth surface. In the sleeve example, it is easy to picture this concept by putting your finger under the cuff of your sleeve.

An Opening for Gum Disease

It's critical to thoroughly brush the area where the gums meet the teeth and floss between the teeth to keep the entire gingival sulcus clean. When plaque is allowed to build up on the gums at the base of a tooth, it can cause gingivitis, when the gums become inflamed and irritated. Luckily, you can reverse gingivitis with excellent oral care. However, if the plaque continues to build, the inflammation can lead to the gums detaching from the tooth, causing the space between the teeth and gums to deepen and allow even more plaque to accumulate. This deepening of the sulcus, also referred to as the development of a periodontal pocket, is an early indicator for periodontal disease. The National Institute of Dental and Craniofacial Research classifies periodontal disease as a site with gum attachment loss of at least 3 millimeters and a pocket depth of at least 4 millimeters. 

Unfortunately, gum disease is common among Americans—half of the people over 30 have periodontitis. While some risk factors are unavoidable due to genetics, age, medications, and health history, other preventable risks include smoking tobacco and unhealthy diet choices. 

Maintaining Gum Health

When plaque has packed into and invaded the gingival sulcus, further complications can arise, such as tooth loss. To stop the damage, your dental professional may recommend a more involved type of dental procedure called scaling or root planing to access the area under the gumline. If the damage caused by the bacteria is more severe, a dental professional can improve the health of the gums with surgical methods, such as a gum graft.

Whether or not you have periodontal disease or are at risk for it, the key to maintaining a healthy gingival sulcus is excellent oral care as well as regular dental checkups. Brush your teeth twice daily with a soft-bristle toothbrush and fluoride toothpaste, and clean between your teeth with an interdental device like floss, water flossers, or other interdental cleaners. Remember, plaque and bacteria can build up in the space between your teeth and gum. The more you care for that area, the healthier your gums, teeth, and smile will be.

(01/25/2023)
by Colgate

More Information: https://www.colgate.com/en-us/oral-health/mouth-and-teeth-anatomy/what-is-the-gingival-sulcus

Views: 535
Share


My BEST Dentists Journal Headlines