My BEST Dentists Journal

All Journal Entries
Share

What Is Veillonella?

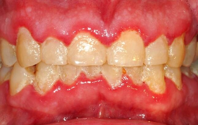
The word "veillonella" has a lovely ring to it. Although it may evoke images of a sweet-smelling flower or beautiful rose bush, this term isn't a flower you grow in your garden. But it is part of your normal bodily flora and naturally occurs in your mouth. Oral flora is responsible for the periodontal (gum) disease and tooth decay that affects many people.

What Is Veillonella?

This common germ is a small cocci bacterium that is anaerobic – meaning it doesn't need oxygen to survive. In fact, it needs carbon dioxide to grow. If you were to look at it under a microscope, you'd see it is round in shape, appears in pairs, masses, or short chains, and doesn't move around very often.

Although there are around 200 types of bacteria that grow in your oral cavity, a study published in the Journal of Bacteriology found that Veillonella and Streptococcus bacteria work together in the early formation of plaque on your teeth. As these two bacteria colonize and grow, they lay a matrix that supports the growth of other varieties of bacteria that live in plaque.

How Does Veillonella Form?

Bacterial communities are not formed randomly. Believe it or not, they're quite selective. The way they develop supports the growth of many species of bacteria at once. Veillonella, for example, doesn't ferment dietary sugars like Streptococci. However, it does use the lactic acid produced by Streptococci's sugar fermentation to create its own. Essentially, Veillonella bacterium could not survive if it didn't coexist with Streptococci. In turn, other species of bacteria need the environment created by Veillonella and Streptococci to survive.

The problem for you? When your tooth enamel is exposed to these bacterial acids over a prolonged period, dental decay begins. Additionally, the acidic conditions caused by this bacterium underneath the gumline eventually destroy the teeth' supporting structures, which can lead to tooth loss if left untreated.

What Can You Do to Prevent Veillonella?

It can be discouraging to think that as soon as you're done with your oral hygiene routine, Veillonella and other disease-causing bacteria begin to rebuild their homes in your mouth. For this reason, your oral hygiene routine cannot be hit or miss. Regularly removing plaque from your teeth needs to be a priority to disrupt bacterial colonies before they can cause any harm. And while you can't eliminate them from your mouth (some bacteria are actually helpful), there are things you can do to keep your oral flora from getting out of hand:

Brush at least two times a day, and clean between your teeth at least once a day with floss, water flossers, or other interdental cleaners.

Replace your toothbrush regularly, at least every three months. Old worn brushes don't clean well and eventually harbor bacteria, which defeats the toothbrush's purpose.

Make sure to clean your tongue too. It is also the home of Veillonella and other related bacteria.

Don't "feed" the flora. Limit your intake of sugars and carbohydrates to cut down the number of times a day you expose your teeth to the acids that allow flora to build up and irritate the gums.

Schedule regular professional dental hygiene appointments (at least twice a year) to have plaque and tartar buildup removed, so bacterium doesn't become trapped underneath your gumline.

Most flora in your mouth is harmless to you unless they have the opportunity to organize and grow. Don't let these culprits make you a victim of bad breath, tooth decay, or gum disease. Keep a diligent oral care routine and remember: The only flora that needs feeding is in the garden outside.

(10/07/2022)
by Colgate

More Information: https://www.colgate.com/en-us/oral-health/plaque-and-tartar/what-is-veillonella

Views: 640
Share


My BEST Dentists Journal Headlines