My BEST Dentists Journal

All Journal Entries
Share

What Kind of Tooth is a Mesiodens?

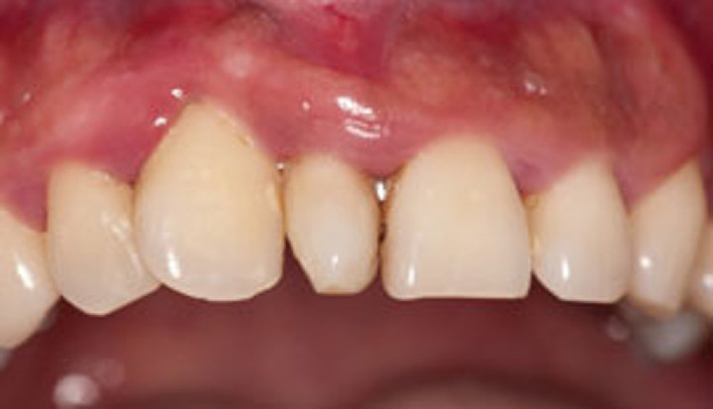
What kind of tooth is a mesiodens?  I will tell you and show you one!  A mesiodens is an extra tooth, also called a supernumerary tooth, that occurs in the middle of the mouth. 

The typical location is between the upper front teeth.  It may occur between the central incisors, in front of them or behind them.  These teeth are almost always recommended to be extracted due to their position in the mouth.

Mesiodens are often pointy like the one shown here

I have never seen an attractive mesiodens

This extra tooth can push of the teeth that are supposed to be there and cause alignment problems

Mesiodens may interfere with chewing

Often the patient is unaware that a mesiodens tooth is present

Mesiodens are usually picked up or ‘discovered’ with a dental x-ray.

They are rare!

In our patient, the mesiodens was first noted on a panoramic x-ray which shows the teeth from ear to ear. 

The tooth later erupted into his mouth on the palate behind the front teeth.  Although the tooth wasn’t really bothering him, it did bother his mother and it was visible in his mouth.  He was about to begin orthodontic treatment and for these reasons, we recommended that the mesiodens be extracted.

The procedure is done most comfortably in an office where the patient can sleep through the procedure but most dentists are comfortable completing this extraction under local anesthetic.  

Mesiodens teeth are usually discovered at a young age when the patient may not be as comfortable in a dental chair.  For this reason, I believe that the extraction is usually done under general anesthesia which often means seeing an oral surgeon.

(02/02/2021)
by Julie Gillis dds

More Information: https://www.juliegillisdds.com/blog/what-kind-of-tooth-is-a-mesiodens/

Views: 1,230
Share


My BEST Dentists Journal Headlines