My BEST Dentists Journal

All Journal Entries
Share

What is Hyperdontia? Extra Teeth Causes, Problems and Treatments

Having more teeth than normal is a condition known as hyperdontia, or supernumerary teeth. Children usually have 20 teeth, and by adulthood the normal number of teeth is 32, but up to 3% of people have extra teeth growing somewhere in their mouths.

Hyperdontia is one of the less common dental problems you might come across, so it can be worrying to hear that you or someone you know have supernumerary teeth. Plus, a quick internet search of hyperdontia images can produce some sensational stuff. Here we’ll try and put your mind at rest by explaining:

The different words that are used to talk about hyperdontia

Why someone might develop an extra set of teeth

What problems you might experience with supernumerary teeth

The various options for treatment, if required

Multiple hyperdontia

Once you’ve read this article, we hope you have a much clearer understanding of hyperdontia and you’ll be confident discussing your or your child’s extra teeth with your dentist.

What is hyperdontia?

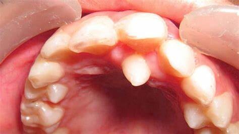
Hyperdontia, or supernumerary teeth, simply means having more teeth than normal. These teeth can appear anywhere in the mouth, but 98% of cases involve extra teeth growing in the upper jaw.

Most people have just one or two extra teeth; multiple hyperdontia including an extra row of teeth is quite rare.

Hyperdontia can be detected either by sight, if you or your dentist can see extra teeth growing where you wouldn’t expect them, or by dental x-ray. An x-ray will show teeth that are still waiting to come through. Sometimes your dentist might do a CT scan to understand more about the positioning of multiple supernumerary teeth.

There are quite a few different terms that dentists might use to talk about hyperdontia. Here are a few of the most common ones to help you better understand a diagnosis:

Types of extra teeth

Supplementary: Teeth that are normal in shape and size

Tuberculate: Teeth that are more barrel-shaped

Conical: Teeth that are peg-shaped, or pointy

Compound and complex odontoma: Either a collection of teeth-like growths or a mass of tooth-like tissue

Positions of extra teeth

Mesiodens: Extra teeth on the roof of the mouth. Between 0.15% and 4% of patients have this type of extra tooth behind the front teeth.

Paramolars: Extra teeth growing out of gums, extra teeth growing out of lower gums, growing on the inside or outside of normal teeth. They are less common and less noticeable since they grow around the molars at the sides of your mouth.

Distomolars: Extra wisdom teeth that grow in line with your other teeth. Having extra wisdom teeth is pretty rare and they hardly ever erupt. A dental x-ray can identify them, and the first symptom of extra wisdom teeth is likely to be tooth pain. Having a fifth, six, or even seventh molar has been reported but it’s extremely rare.

What is multiple hyperdontia?

Multiple hyperdontia is when someone has more than just one extra tooth. According to the American Journal of Orthodontics & Dentofacial Orthopedics, this is rare in people who have no other syndromes or associated diseases. Of course, even though this is quite rare, a quick search of hyperdontia images will yield the most extreme cases at the top of the search results, so don't panic. 

Hyperdontia causes

There are a few different things that are known to cause extra teeth in gums and the roof of the mouth. If your family has a history of people with extra teeth, you are more likely to experience the same problem, but it isn’t a given.

About 3% of the general population has at least one extra tooth, but studies show that men are around 50% more likely to have supernumerary teeth than women. Interestingly, women are more likely to be missing teeth; this is called hypodontia and you can read all about it in our article about congenitally missing teeth.

There are some medical conditions that increase the chances of having extra teeth, too. Noticing extra teeth in your mouth might be the first symptom, so if you are concerned you can ask your dentist whether you should be referred to a doctor for further tests.

Gardner’s Syndrome, Ehlers-Danos Syndrome, and cleidocranial dysplasia are all conditions that are associated with people with extra teeth. These are rare conditions that your family doctor will be able to help you find support for. You can also be referred to a dentist who is experienced in dealing with similar cases.

Around 5% of children born with a cleft palate or lip have supernumerary teeth. We have a full guide to cleft palates and lips, which explains treatment options and how to find extra support.

Hyperdontia treatment

In some cases, hyperdontia might not need to be treated. However, there are various dental problems that can arise from having extra teeth growing in your mouth. People with hyperdontia might experience:

Difficulties chewing food

Speech problems

Problems with normal teeth erupting

Crowded teeth

Crooked teeth

Tooth decay due to difficulty cleaning teeth effectively

Esthetic issues if the extra teeth are visible

Due to the range of potential problems, it is common for dentists to recommend hyperdontia treatment. Those with multiple hyperdontia or severe hyperdontia, may notice a large difference before and after treatment in terms of ease of chewing and normal speech. You can watch the following video for a brief overview of this condition and the possible complications and outcomes:

Depending on the age of the patient and how many supernumerary teeth they have, a mix of the following treatments will be considered.

Hyperdontia removal

Because having extra teeth can lead to so many problems, dentists usually recommend the removal of extra teeth. Dentists usually try and conduct extra teeth removal by the age of seven to minimize disruption of the development of other teeth.

It is easy for a dentist to see if a child has more baby teeth than the twenty that are expected, and this can be a sign they will also have extra adult teeth. Approximately 30-50% of children with extra baby teeth will have extra teeth growing as adults. However, adults are five times more likely to have hyperdontia than children, so it’s not a hard and fast rule.

If the supernumerary teeth are found and extracted early enough, extraction could be the only treatment needed. Extra teeth that can be easily seen and accessed by your dentist can be removed just like any other tooth. When the extra teeth growing in your gums are impacted, and thus haven’t come through completely, dental surgery is likely to be needed to get the tooth out.

If you aren't squeamish, and are curious about the process of removing extra teeth, this case study from the International Journal of Oral Health and Medical Research shows hyperdontia before and after treatment in a 12-year-old patient.

Our tooth extraction guide has more information about the process for removing teeth, including surgical extraction.

Braces for extra teeth in children and adults

Crooked teeth often occur in people with extra teeth, since the supernumerary teeth push the others out of line. Once any hyperdontia teeth removal has been completed, your dentist may suggest orthodontic treatment with braces to straighten your smile.

There are various types of braces to consider for orthodontic treatment.

Fixed braces consist of metal or clear brackets which are attached to the teeth and connected with wires and bands. They gradually move the teeth into the desired position, with regular adjustments at the dentist.

Another option is invisible braces such as Invisalign. These removable clear aligners fit over your teeth like a mouthguard and are very hard to notice. They are an inconspicuous and convenient option for teens and adults who don't want their braces to be obvious to others.

If your dentist has recommended treatment with braces, you can read our articles about child braces and adult braces to get lots more information about the different options, and to find out what it's like wearing them.

Fillings, crowns, and veneers

When left for a long time, extra teeth in the roof of your mouth or gums can cause damage to the surrounding teeth. Brushing and flossing become very difficult when there are teeth in awkward positions and places that are hard to reach, even if you use an electric toothbrush and water flosser to help.

Following any extractions that your dentist recommends, you might need to have extra treatment to get your smile into great shape. A tooth filling will be used to plug any small cavities, a crown can cover a tooth that has been badly affected by decay, and veneers can be used to cover misshapen teeth that might result from hyperdontia.

Is hyperdontia covered by Medicaid or Medicare?

This depends on the treatment in question. As is the general rule for Medicaid dental treatment for children, if extractions and other work are deemed medically necessary they are likely to be covered. For under-18s the treatment will be free, and luckily a lot of hyperdontia treatment can be completed at a young age.

In cases where the extra teeth don't become apparent until you’re older, for example with extra wisdom teeth, your dentist will make an assessment as to whether treatment is strictly necessary and if it is, it depends on the state you live in and if Medicaid in that state covers dental treatment for adults.

Read our article on dental Medicaid and medicare coverage. 

Conclusion

Having hyperdontia isn’t something that should be a big worry, even though the idea of having extra teeth growing in your mouth is rather strange. Especially if detected early on in a dental check-up, hyperdontia treatment should be simple and effective.

(08/04/2024)
by Dentaly

More Information: https://www.dentaly.org/us/hyperdontia/

Views: 523
Share


My BEST Dentists Journal Headlines