My BEST Dentists Journal

All Journal Entries
Share

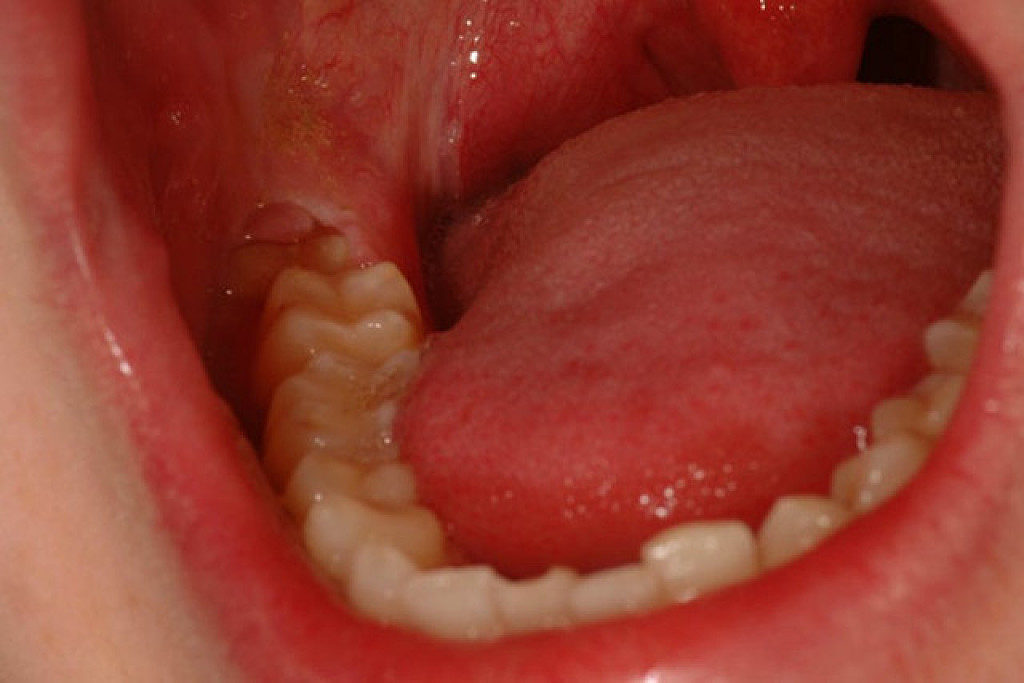
What is Pericoronitis?

Pericoronitis is an inflammation or swelling of your gum tissue. It’s more common in your lower teeth and it usually happens around your wisdom teeth, the third and final set of molars that most people get in their late teens or early 20s.

Pericoronitis Causes

Pericoronitis can develop when wisdom teeth only partially erupt (break through the gum). Soft tissue growth over a partially erupted wisdom tooth is called an operculum. Bacteria can get trapped under the operculum. That allows an opening for bacteria to enter around the tooth and cause infection and swelling. Food debris, bacteria, or plaque, a bacterial film that remains on teeth after eating, may also get caught underneath the gingiva, a flap of gum around a toot h. If it stays there, it can irritate the gum and lead to pericoronitis. In serious cases, the swelling and infection may extend beyond the jaw to the cheeks and neck.

Pericoronitis Risk Factors

Factors that may raise your risk of pericoronitis include: Being in your 20s, An upper respiratory tract infections, Emotional stress, Poor oral hygiene.

Pericoronitis Symptoms

Symptoms of pericoronitis can be either acute (short-term) or chronic (be ongoing).

Acute symptoms include: Pain, Swelling in the gum tissue (caused by an accumulation of fluid), Pus discharge, Trismus, or difficulty opening your mouth and jaw, also called lockjaw, Pain with swallowing, Fever, Loss of appetite, Infection, Swollen submandibular lymph nodes in the neck.

Treatments for pericoronitis include:

Oral hygiene/oral irrigators and rinses: If the pericoronitis is in a small area and hasn’t spread, treatment may be rinsing your mouth with warm salt water. Your dentist can flush out food debris or bacteria, or give you an oral rinse. You’ll need to make sure to keep the gum flap free of any food trapped.

Pain medicine: You can take pain relievers such as aspirin, acetaminophen, or ibuprofen. Your dentist may also prescribe you a pain medication.

Antibiotics: If your tooth, jaw, and cheek are swollen and painful, see your dentist right away. They can treat the infection with antibiotics (usually penicillin, unless you are allergic).

Minor surgery to remove the operculum: If the pain and inflammation are severe, or if the pericoronitis recurs, it may be necessary to have oral surgery to remove the gum flap or wisdom tooth. Your dentist can make the appropriate referral to the oral and maxillofacial surgeon. A low-level laser can be used to reduce pain and inflammation associated with pericoronitis.

Extraction: If a wisdom tooth still can’t come in normally, you may need surgery to have it taken out. Your dentist may recommend you extract both your upper and lower wisdom teeth to prevent your upper tooth from biting your gum and causing another infection.

 

(02/02/2021)
by Web MD

More Information: https://www.webmd.com/oral-health/guide/pericoronitis

Views: 1,061
Share


My BEST Dentists Journal Headlines