My BEST Dentists Journal

All Journal Entries
Share

What is a Dead Tooth and Will it Eventually Fall Out?

Did you know that teeth are alive? It’s true! Although the outer surface of a tooth is made up of hard enamel, the interior is full of pulp, connective tissue that provides a supply of fresh blood to the whole tooth. There are also nerves in this pulp that can become damaged and stop working as a result of dental decay.

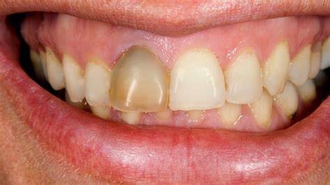
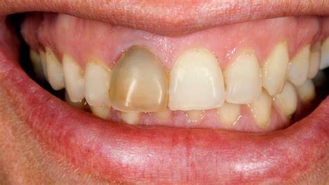
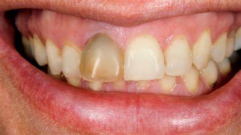
When the nerves in a tooth stop working, they cease their function of providing blood to the tooth. Subsequent infection can cause the nerve to die. The tooth may remain in place, but it is no longer vital. One of the first signs of a dead tooth is that it becomes discolored. It may or may not be painful.

A tooth can also die as the result of trauma or injury to the mouth.

Will a Dead Tooth Fall Out on its Own?

It is important to remember that it can take months or years for a tooth to die. Once a tooth is non-vital, it will eventually fall out, but this process is not one that can be predicted in advance. It is much better to see your dentist and get treatment for a dead tooth.

The reason treating a dead tooth is so crucial? The bacteria from the dead tooth can spread to other teeth and cause further problems. Those teeth are at a higher risk of infection. Likewise, the gums and even the jawbone can be harmed. Getting dead tooth treatment from your trusted family dentist helps prevent these dangers.

Treatments for a Dead Tooth

There are two main courses of treatment for a dead tooth:

1. Root CanalIn a root canal, the interior pulp of the tooth is removed and bacteria inside is cleaned away. Once the interior has been completely cleaned, it is filled with an inert substance. In most cases, this is the most effective way to maintain a tooth after severe infection.

2. Dental ExtractionIn an extraction, a damaged tooth is removed completely. This may be necessary if the tooth is no longer structurally sound or it presents a continuing risk of infection. Once the tooth has been extracted, the patient can consider installation of an artificial replacement tooth.

While a dead tooth may fall out on its own, you should never leave it up to chance. For expert dental care, contact your Dentist today.

(11/15/2024)
by Coscarella Family Dentistry

More Information: https://www.coscarelladentistry.com/what-is-a-dead-tooth-and-will-it-eventually-fall-out

Views: 396
Share


My BEST Dentists Journal Headlines