My BEST Dentists Journal

All Journal Entries
Share

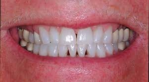
What to Do About Black Triangles Between Your Teeth

Black triangles between your teeth, called open gingival embrasures, are one of the conditions people often want to fix.

Repairing these openings isn’t just cosmetic, though. There are important health reasons to mind the gaps.

What are open gingival embrasures or black triangles?

The simple answer is that they’re triangle-shaped gaps between your teeth. Roughly 67 percent of people over 20 years old have them.

It’s important to understand how they develop and what to do about them, because they can lead to further problems with your oral health.

What causes them?

If you notice gaps forming between your teeth, it’s important to discuss it with your dentist.

Black triangles can appear between your teeth for several reasons, and some causes are related to the health of your teeth and gums.

Gum recession

Plump, pink, healthy gum tissue hugs your teeth, filling the spaces between them.

Age, smoking, and periodontal (gum) disease can cause gums to recede or pull away from the teeth. This can expose the roots, leaving them vulnerable to bacteria, plaque, and cavities.

Bone loss

Gum disease, osteoporosis, and other conditions can cause a loss of bone near the base of a tooth. When bone is lost, the gum tissue in that area may also recede. This leads to the formation of black triangles.

Dental hygiene habits

Gum tissue is sensitive. If you brush your teeth too aggressively, you can damage your gums over time.

A 2011 studyTrusted Source found that other dental hygiene cleaners — tiny wand-like brushes used to scrub between teeth — can also lead to black triangles if too big for the space.

Orthodontic treatment

If you’ve had orthodontic care, small gaps may form between your teeth as they move into new positions.

Sometimes, orthodontic bands or other parts of the appliance can damage the gums, too.

A 2018 studyTrusted Source found that the likelihood of adults with braces developing black triangles between their upper and lower incisor teeth was 22 percent and 36 percent, respectively.

Triangular tooth shape

Some people have rectangular teeth, where the width of the tooth at the gum line isn’t much different than the width at the biting point.

Some people have teeth narrower at the gum line so that the tooth has a more triangular shape. Triangular teeth are more likely to develop these gaps.

Thin, fragile tissue

The thickness of gum tissue varies from person to person.

A 2013 reviewTrusted Source found that thin gum tissue is less resilient, so if you have a crown, a dental implant, or periodontal surgery, your gums may not restore themselves to their previous fullness afterward.

 

How can you get rid of the gaps?

Depending on the cause and severity of the gap, a number of treatment options exist.

Here are several to consider and discuss with your dentist or oral surgeon.

Gentle dental hygiene

Flossing your teeth and brushing twice daily is the advice from the American Dental Association (ADA). The ADA emphasizes the need to floss with care to avoid hurting your gums.

Check out this article for easy steps to perfect flossing.

If the black triangles between your teeth are minimal and your gums are healthy, changing your dental hygiene habits may allow your gums to return to normal.

Hyaluronic acid treatment

In some cases, your dentist can regenerate gum tissue with injections of hyaluronic acid.

Some advocatesTrusted Source prefer this process to surgical corrections as it’s less painful and has a quick recovery period.

Because this treatment is relatively new, there’s little research on how long the effects last.

Composite resin

Some people elect to have their dentist fill the gaps with composite resin bonding.

Depending on your individual needs, your dentist might recommend using a pink resin, a tooth-colored resin, or both to flesh out the black triangles between your teeth.

This process doesn’t require surgery and takes some time to complete — a period of months, in some cases — because the resin is applied in thin layers so it looks natural, and your gums can adapt to the smaller space.

Your dentist can also add tooth-colored composite veneers to round out the appearance of the teeth.

Braces

If black triangles formed between your teeth because of a procedure or process that moved your teeth, you may be able to close the gaps by moving teeth together with braces.

Orthodontic treatment takes time, but the aesthetic results may be worth the time and cost.

Veneers

Your dentist can cement ceramic or porcelain veneers to the surface of the tooth to fill in gaps and create a more even smile.

Most of the time, applying veneers involves altering the surface of your natural tooth so the veneer and tooth form a strong bond. Experts say veneers last between 18 months and 20 yearsTrusted Source.

Surgical remedies

In advanced cases of gum recession, some periodontists recommend tissue grafting. A periodontist is a dentist who specializes in gum disease and dental implants.

In this procedure, your periodontist removes a small amount of tissue from the roof of your mouth and grafts it over the receded areas around your teeth. Bone grafts may also be necessary to build up the bone at the base of your tooth.

Depending on how much of your gum tissue has pulled away from your teeth, your periodontist may also be able to use a pinhole technique to loosen the gum and reattach it using collagen strips.

This procedure is considered less invasive because it doesn’t require large incisions or sutures that can disrupt blood supply to the area.

In one small study of five participants, pinhole surgical repair was 96.7 percentTrusted Source effective in repairing black triangles between teeth.

 

 

The bottom line

Black triangles called open gingival embrasures can form between your teeth when your gums pull away from your teeth.

Age, harsh dental hygiene methods, gum disease, bone loss, and the size and shape of your teeth and gums can all contribute to the formation of these triangles.

Appearance isn’t the only reason people want to correct triangles. They can trap food and bacteria, which causes further dental problems.

There are a range of treatments available, starting with changing your toothbrushing and flossing habits.

Depending on the severity of the condition, your dentist, oral surgeon, or periodontist might recommend hyaluronic acid injections, composite resin bonding, veneers, braces, or surgical corrections.

If you notice black triangles forming between your teeth, talk to your dentist to decide which intervention makes the most sense in your case.

(01/04/2022)
by Healthline

More Information: https://www.healthline.com/health/dental-and-oral-health/black-triangles-teeth#causes

Views: 776
Share


My BEST Dentists Journal Headlines