My BEST Dentists Journal

All Journal Entries
Share

When should you be worry about shark teeth?

We get calls and questions from worried parents every single day in our office, and we love it! Concern for your kids is simply how we parents operate, and when you see something you’ve never seen before, it’s a great idea to consult the experts. Here’s one question we get more often than all the rest.

Shark Teeth: Should You Worry?

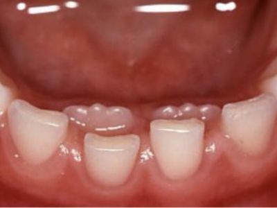
Permanent teeth usually begin to erupt between the ages of 5 and 7. If they come in like they are supposed to, the permanent, or adult, tooth will dissolve the root of the primary, or baby, tooth as it emerges causing the baby tooth to become loose and wiggly. Yay for things happening like they’re supposed to!

Sometimes though the adult tooth will erupt behind the baby tooth, and this can be quite a cause for concern  for many parents. We call these special (but actually quite common) cases “shark teeth,” and usually they are no big deal. So how do you know if your shark teeth are cause for concern?

Ask yourself these 3 questions:

Is my child in that tooth loss time frame? (typically ages 5-7 when the first permanent teeth beginning to appear and again around age 12 as the second set of molars make their appearance)

Is the baby tooth starting to wiggle?

Am I more bothered by the situation than my kid?

If you answered yes to all three questions, you’re probably in the clear! That adult tooth will do exactly what’s it’s supposed to dissolving the baby tooth’s root, pushing it out, and then eventually taking it’s proper place in line.

Next steps? Well … get to wiggling! And keep brushing!

When Should You Call the Dentist?

That’s a great question, and the real answer is “any time you are concerned about your child’s dental health.” Really! We’re glad you’re playing an active role in caring for your kid’s teeth, and we’re happy to answer your questions and schedule an appointment if necessary!

But when are shark teeth a real cause for concern?

There are instances when a “shark tooth” is a good reason for a dental visit. Think about 3 things … time, place, and discomfort.

Time: If the baby tooth doesn’t get wiggly and simply won’t budge within two months, it’s may be time for a wiggle appointment so we can help that little guy along. Even then if your child’s other teeth have been stubborn about coming loose in the past, this one might just follow suit.

Place: Are your child’s shark teeth coming in behind the molars? This might cause crowding issues, and if your kiddo hasn’t seen an orthodontist yet, now might be the time. Speak to your dentist about the possibility of an ortho consult.

Discomfort: If a shark tooth is causing your child pain or discomfort beyond just the normal “it hurts when it wiggles,” it’s a good idea to give us a call. Whether we can give advice on foods that often help this wiggly tooth along (apples! apples! apples!), over-the-counter pain medications to help with pain and inflammation, or simply set up an appointment to take a look ourselves, we’re happy to help when it comes to our patients and their discomforts.

 

(10/02/2020)
by Dentistry for Children

More Information: https://www.kitsapdfc.com/shark-teeth-when-worry/

Views: 1,035
Share


My BEST Dentists Journal Headlines