My BEST Dentists Journal

All Journal Entries
Share

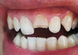
Why Are My Teeth So Weak And Keep Breaking?

Many people experience issues with weak, brittle teeth that fracture or break more often than seems normal. There are various potential reasons why teeth may become weakened and more prone to chipping, cracking or outright breaking. Understanding the causes and getting to the root of the problem is key to strengthening teeth and preventing further damage.

There are a number of factors that can lead to weakened tooth structure and enamel that is more likely to crack, chip or fully break under pressure:

Genetic Factors

Some people are just born with weaker tooth enamel that is thinner or more prone to breakage. The thickness and strength of the enamel covering your teeth is determined by genetics. Thinner enamel means teeth are less protected from damage and more likely to fracture. Certain mineral deficiencies while teeth are still developing can also affect enamel hardness and cause inherent weakness.

Grinding and Clenching

 

Excessive grinding of the teeth at night (bruxism) or forceful clenching during the day can wear down and thin out enamel over time. The incredible pressures exerted on teeth while grinding or clenching can also cause tiny cracks and craze lines in the enamel that eventually lead to fractures and breaks. The pattern of damage seen with excessive grinding and clenching usually appears symmetrically on matching top and bottom teeth.

Diet and Consumption of Acidic Foods/Drinks

Frequent consumption of acidic foods and drinks can erode and weaken enamel through a process called erosion. Things like citrus fruits, tomatoes, carbonated beverages, sports drinks, wine, and coffee are examples of acidic items that can damage teeth with regular exposure. The erosion causes enamel to become thinner and more prone to chipping, cracking or fracturing when chewing forces are applied. Acidic candies and hard treats also linger on teeth longer, compounding the weakening effect.

Physical Trauma and Injuries

Any kind of trauma to teeth such as hits, blows, falls, accidents, etc can cause cracks, chips or breaks in enamel. Once enamel is damaged in any way, it becomes weaker and more likely to have additional breaks and fractures over time. Small cracks from trauma that may initially seem minor can deepen and spread below the enamel surface to ultimately cause pieces to break off.

Cavities and Advanced Tooth Decay

 

Untreated tooth decay from caries (cavities) that is allowed to progress can lead to significant loss of tooth structure. As decay undermines and eats away at enamel from underneath, it leaves remaining enamel unsupported and prone to cracking and fracturing off around the decayed area. A simple bite on a hard food can then cause the unsupported enamel to pop off.

Teeth Grinding or Clenching at Night

Many people grind or clench their teeth excessively at night, which can lead to worn down, cracked, and damaged enamel over time. Using a custom nightguard from the dentist helps protect teeth from some of the forces and damage caused by nocturnal grinding and clenching while you sleep. Having large fillings and dental work done can also predispose you to increased grinding at night.

Teeth Grinding or Clenching at Night

Many people grind or clench their teeth excessively at night, which can lead to worn down, cracked, and damaged enamel over time. Using a custom nightguard from the dentist helps protect teeth from some of the forces and damage caused by nocturnal grinding and clenching while you sleep. Having large fillings and dental work done can also predispose you to increased grinding at night.

Overuse of Teeth Whitening Treatments

While generally safe when following directions, using very high concentration hydrogen peroxide whitening gels repeatedly over a short time period can make enamel more porous and prone to cracking and chipping. Repeated use beyond recommended frequencies and durations can temporarily weaken enamel. Moderation is key with whitening treatments to avoid side effects.

Defective Old Dental Work

 

Old fillings, dental crowns, and other dental work can become defective over time with cracking, leaking and loosening. These issues leave teeth weaker and more susceptible to fracture. It’s important to get regular dental checkups to look for defects and deterioration in existing restorations before the tooth breaks. Replacing old defective dental work helps prevent further catastrophic damage.

Here are some helpful tips and methods to proactively strengthen teeth and avoid further enamel damage and fracture:

See your dentist regularly every 6 months for exams to find and treat problems early before they progress. Detecting issues like gum disease, cracks, cavities and defective fillings early is key.

Use a soft bristle toothbrush and avoid aggressive brushing motions that can damage enamel. Light circular motions with a soft brush are best.

When brushing, use fluoride toothpaste which helps strengthen enamel. Spit out excess but avoid rinsing with water so fluoride can continue protecting teeth.

Floss daily to clean in between teeth and remove plaque that causes acidic decay. Floss gently without snapping floss against teeth.

After eating or drinking something acidic, swish some water around in your mouth and spit it out. This helps neutralize acid and wash it away from teeth.

Drink water frequently throughout the day to stimulate saliva flow. Saliva contains minerals that help strengthen enamel and naturally buffer acids.

Limit consumption of acidic foods and beverages, including citrus fruits, citrus juices, wine, carbonated soft drinks, energy drinks, and coffee. If you do have them, consume with a meal instead of sipping solo.

Don’t chew on ice, hard candy, popcorn kernels, pens, nails, eyesglasses or other hard, potentially damaging objects. They can all lead to cracked, broken teeth.

If you grind or clench your teeth, ask your dentist to fit you for a custom nightguard to protect teeth while sleeping.

If you notice yourself clenching your teeth a lot during the day, consider asking for a protective mouthguard to wear during awake hours as well. This minimizes forces applied to teeth when clenching.

Quit smoking and limit alcohol consumption which can dry out the mouth and leave teeth more prone to decay and acidic erosion.

Have any damaged, cracked, loose or defective dental fillings, crowns and other restorations replaced to remove weakened areas vulnerable to fracture.

 

(03/12/2024)
by CDHP Dental Health

More Information: https://www.cdhp.org/why-are-my-teeth-so-weak-and-keep-breaking/

Views: 450
Share


My BEST Dentists Journal Headlines