My BEST Dentists Journal

All Journal Entries
Share

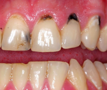
Why Do I Have Black Tartar?

Dental tartar is both unsightly and unhealthy and generally results from poor dental hygiene and neglect. Black dental tartar is often shocking; sometimes it appears out of nowhere and may leave you wondering what’s wrong with your teeth. While dental tartar is never a good thing, you can take some small comfort in knowing that black tartar isn’t much worse than the regular kind. So what causes black dental tartar, and what can you do about it?

Frank Talk About Tartar

Dental tartar, as we’ve said, is generally the result of neglect. In order to avoid tartar, especially the black kind, it’s important to understand what tartar is and where it comes from. Even with the best of care, the mouth is inhabited by a great many bacteria. These bacteria produce waste, which combines with debris in the mouth and saliva to form a sticky layer on the teeth and gums which we call dental plaque. Plaque is normally white or yellowish in color and provides a place for bacteria to grow and thrive. The good news is that plaque can be prevented by good brushing, flossing, and dietary habits. Regular dentist visits for exams and cleanings can also help keep plaque at bay.

The problem gets more serious if plaque is left untreated. If the neglect is ongoing, the plaque thickens and hardens into dental tartar. Also known as dental calculus, tartar is a hard, white, or yellowish substance that clings to teeth, often below the gumline. Tartar is rough and porous, giving bacteria fertile breeding ground and often causing receding gums, gum disease, and tooth damage. Tartar requires dental cleaning to be removed, performed by an oral health professional with special tools at a dentist’s office.

Why Do I Have Black Tartar?

Black tartar starts much the same way as regular tartar–plaque is neglected and grows/hardens into tartar. So what turns it black? Well that can be caused by a variety of things, including:

Smoking or other tobacco use may turn tartar black while making the gums more susceptible to gum disease

Dark-colored beverages like coffee and red wine may stain tartar a darker color, or even black

Damage to the enamel outer layer of the tooth may result in black-looking tartar

Tartar below the gum line, also known as subgingival tartar, may take on a black appearance as blood from sensitive or damaged gums combines with the tartar itself. This can be an indication of gum disease becoming serious.

What to Do About Black Tartar?

Black tartar is both an aesthetic issue and a medical one. Aesthetic in that no one wants a black-stained smile, and medical in that black tartar can lead to gum disease or even tooth loss. So what to do about it?

As always, an ounce of prevention is worth a pound of cure. Regular brushing and flossing, combined with a healthy diet, are your best line of defense against tartar of any kind. Likewise, regular visits to your dentist for cleanings and exams can help prevent the problem before it starts.

If tartar’s in place, you should consult your dentist and make them aware of the situation. They’ll guide you to the best course of action, which is likely to be a series of cleanings in order to correct the situation and then improved brushing and flossing habits to prevent it from recurring. They’ll be able to identify any other problems during this process and advise you accordingly.

Your smile should last a lifetime, and avoiding black tartar is a part of keeping your teeth and gums healthy and happy. By brushing, flossing, and making regular trips to the dentist, you’ll go a long way to the goal of healthy teeth.

(09/15/2021)
by Queen City Dental Arts

More Information: https://www.queencitydentist.com/blog/why-do-i-have-black-tartar/

Views: 735
Share


My BEST Dentists Journal Headlines