My BEST Dentists Journal

All Journal Entries
Share

Why Do I Have a Hard Bony Lump on My Gum?

If you’re experiencing a hard bony lump along your gumline, it can be terrifying. In general, bony bumps aren’t a cause for concern, as your dentist or oral surgeon can inspect your gums and offer adequate treatment. But why do hard lumps appear at all? In this article, we’ll be exploring the possible causes of your hard, bony lump and help you learn about potential treatment options for your condition. 

Why Do You Have a Hard Bony Lump on Your Gum? What Causes It? 

Bony growths, also known as exostosis or osteomas, form on top of existing bone and are often the culprit for bone spurs along the gumline. It can be caused by chronic bone injury or irritations. However, some bony growths can appear after a tooth extraction, as tooth extractions can sometimes cause irritations to the underlying jawbone during the procedure. 

However, not all bony growths are caused by tooth extractions or bone injuries. In these cases, you must receive a proper diagnosis from your dentist or oral surgeon to get treatment. Some potential causes include: 

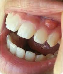
Cysts: Dental cysts are small bubbles that contain liquid, air, and other soft materials. These sacs contain clear fluid and have many causes, with the most common being canker sores. However, other causes can include leukoplakia, gingivostomatitis, and oral thrush. Cyusts grow gradually over r the gums and don’t usually cause symptoms unless it’s infected. In these cases, pain and swelling often appear around the bump and can appear or feel hard like bone. However, dental cysts are often easier to treat, as your dentist can surgically remove the cyst with no hassle at all. 

Canker Sores: As cysts are often caused by canker sores, canker sores are painful lumps that cause discolorations and white spots along the mouth. These sores can typically be caused by various conditions such as oral thrush, ulcers, aphthous ulcers, and other conditions that lead to open sores in the mouth. Over time, these sores can potentially harden and feel bony at times as they attempt to heal. In most cases, canker sores typically go away within a few weeks. However, you can contact your dentist for pain relief options. 

Fibromas: Fibromas are considered the most common cause of hard lumps along the gum line, especially if they aren’t caused by cysts or canker sores. These are noncancerous bumps that appear when the gum tissues are irritated or injured. These can appear due to dentures, braces, or other dental devices worn along the gum line, and fibromas are defined by their dome-shaped appearance. 

Mandibular Torus: Mandibular torus are bony protrusions that appear on the gums, either in the upper or lower jaw. While the exact cause of this condition is unknown, these are considered quite common and don’t always require immediate treatment. If you’re concerned about this formation along your gums, you can always seek an oral surgeon for treatment. 

Dental Abscesses: An abscess is a bacterial infection that creates a pus-filled pocket. These bumps along the gums can cause pain in and around the affected area and feel warm to the touch. Gum infections such as abscesses can lead to further abscesses and are often caused by gum disease. Periodontists best treat this condition, as they can effectively clean out the bacteria and eliminate the source of the problem. 

All of these conditions are considered the most common causes of hard, bony lumps along the gumline. However, other conditions, such as oral cancer, oral lichen planus, and other tumors, can contribute to its cause. If you’re experiencing a hard, swollen spot along your gum line, then it’s essential to seek out an appointment with your dentist as soon as possible to diagnose it and treat it if you notice any of the following symptoms associated with the bump: 

Signs of fever

Signs of throbbing pain

Any foul taste in your mouth

Signs of foul-smelling breath

Sores that don’t heal

Sores that are getting worse

Lump that won’t go away after a few weeks

Signs of red or white patches along the mouth or on your lips

a bleeding sore or lump

In the meantime, it’s important to try and keep the area clean and stable as much as possible to monitor your oral health and reduce any signs of irritation, bleeding, or potential infection. Make sure to get regular dental cleanings, floss daily, and brush your teeth twice a day with fluoride toothpaste to keep your teeth clean and fresh until your next appointment. 

(10/30/2023)
by Tulsa Precision Dental

More Information: https://tulsaprecisiondental.com/why-do-i-have-a-hard-bony-lump-on-my-gum/

Views: 648
Share


My BEST Dentists Journal Headlines