My BEST Dentists Journal

All Journal Entries
Share

Why does my gum bleed when I brush my teeth?

Causes of Bleeding Gums You Should Know

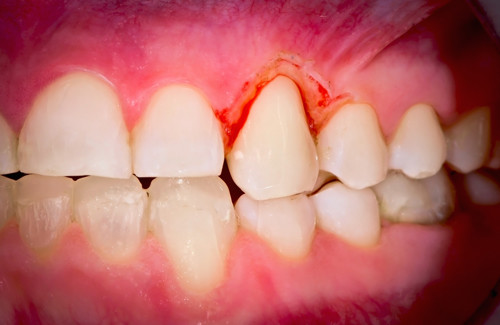
Noticed blood on your toothbrush recently? Don’t ignore it. It may be a result of one of the many underlying diseases that go unnoticed. We are discussing the various causes of bleeding gums in the following sections.

Gingivitis: One of the most common causes of bleeding gums is inflammation of your gum tissue due to excessive accumulation of bacteria and this is called gingivitis in medical terms. The plaque that gets deposited on your teeth harbours bacteria. This causes gum tissue to swell and bleed on the slightest provocation, even brushing. If left untreated, this plaque may harden and become tartar which may lead to periodontal problems in future resulting in bone loss around your teeth and eventually tooth loss. So, brushing and flossing routine should be followed diligently to avoid gingivitis

Medications: Certain medications like anticonvulsants and immunosuppresants may cause bleeding gums. Some blood pressure medications such as blood thinners are also responsible for bleeding gums. So, always remember to mention them to your dentist.

Hormonal changes: Especially in womans , are the culprit for bleeding gums. Menstruation, menopause and pregnancy may cause gums to bleed. In fact, a pregnant female is at a higher risk to develop gingivitis known as pregnancy gingivitis. So, proper maintenance of oral hygiene is of paramount during this stage since, gum diseases may compromise the health of the baby.

Blood disorders: Certain genetic blood disorders such as clotting factor deficiency may lead to bleeding tendency, not only in gums but in your overall body. Vitamin K deficiency has similar effect and so does certain conditions like thrombocytopenia i.e. blood platelet deficiency. Therefore, get your blood tests done, before undergoing any surgical procedure, as prescribed by your dentist. They are meant for your own good.

Smoking: can greatly increase the chances of bleeding of gums. On top of that, poor immune response to bacterial inflammation and reduced oxygenation of gum tissue can aggravate the problem.

Leukemia: The cancer of blood cells and is one of the causes of bleeding gums.

These are the main and common causes. However, if you have changed your tooth brush recently or have started the flossing routine for your gums, they may also cause minor amounts of bleeding. 

(08/27/2021)
by Minty Dental Studio

More Information: https://www.mintydentalstudio.com/why-does-my-gum-bleed-when-i-brush-my-teeth/

Views: 853
Share


My BEST Dentists Journal Headlines