My BEST Dentists Journal

All Journal Entries
Share

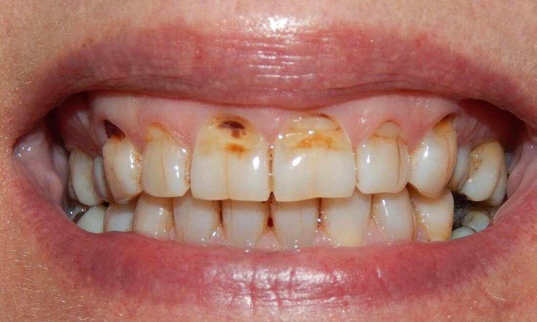
Your Front Teeth Aren't Immune To Cavities

Tooth decay most commonly occurs in back teeth, but front teeth can also develop cavities.

What causes cavities?

Every day, a clear, sticky, bacterial film called plaque coats your teeth. You may have felt plaque if you've ever run your tongue over your teeth and noticed that they felt rough. Cavities occur when the sugars in the foods you eat combine with the bacteria in plaque to create acids that eat away at tooth enamel. Cavities are more common in molars because they contain pits and grooves that can trap plaque. Although your front teeth are smoother, they can still develop cavities when they're exposed to acids.

How can I prevent cavities in my front teeth?

There are several things you can do to prevent cavities, including:

Brushing and Flossing Daily: Daily brushing and flossing removes plaque, reducing your risk of tooth decay. Since decay can also develop between teeth, flossing is an important part of your oral hygiene routine.

Limiting Acidic Foods: Natural acids aren't the only acids you need to worry about. Some foods and beverages, such as lemons, limes, oranges, soda, fruit juices and sports drinks, also contain acids that can damage your tooth enamel and cause cavities. Avoiding or limiting these foods and beverages can help you prevent cavities in your front teeth. If you do enjoy the occasional cola or sports drink, drink the entire glass immediately, rather than slowly slipping it over an hour or more. Finishing the drink quickly will decrease the amount of time that your teeth are exposed to acids.

See Your Des Plaines Dentist Every Six Months: Regular dental visits are an excellent way to protect your teeth. During those visits, plaque and tartar will be removed from your teeth. Plaque turns into tartar, a hard deposit, if it isn't removed promptly. When tartar forms at the gum line, it can cause gum disease, a painful condition that can lead to tooth loss in severe cases. During your visits, your dentist will look for signs of tooth decay and other oral health issues. Treating cavities when they're small can help keep your teeth healthy and reduce the need for more extensive dental work in the future.

(04/27/2022)
by Suburban Family Dental

More Information: https://www.suburbanfamilydental.net/blog/post/your-front-teeth-arent-immune-to-cavities.html

Views: 664
Share


My BEST Dentists Journal Headlines