Dentists Journal

Top Ten Stories of the Week
9/3/2022

All Dentists Journal · Previous Week · This Week · All Time List · Headlines

Share

What Will Happen If I Skip Brushing My Teeth For 3 Days?

Since childhood, we have been taught of brushing the teeth twice on daily basis. Although most people brush their teeth at least once in the morning, there are some people who do not brush at night. On some occasions, people who do brushing twice in a day also forget to brush at night or whenever they feel lazy. However, since childhood at some point, we had a question in mind: What will happen if I don’t brush my teeth for a few days? Well, hardly we might have got in the detail to find the answer. If the question is still unanswered then here we are revealing some of the aspects about it.

Most people know that cavity development on the teeth is the first thing that will happen if they do not brush for 3 days. However, there is more severity in the cavity development and other hazards too for your oral health, if you do not brush for 3 consecutive days. The risk can be seen among people of all age groups. The children and teens are more prone to the risk when they do not brush for 3 consecutive days. Cavity development starts at this point where the bacteria developed from the food eating starts eroding the teeth. This is the prelude to the decaying of the teeth that gives a lot of trouble later. However, there are more bad effects of not brushing for consecutive days too.

Repercussions of not brushing teeth:

Here are some of the bad effects of not brushing the teeth for 3 days continuously:

1. Tooth loss

This is the primary thing that happens later when you do not brush continuously. Here, due to non-brushing, the cavity starts developing on the teeth due to bacteria growth. The cavity start increasing which erodes the teeth and the enamel of the teeth is worn out. The cavity thus increases deteriorating the tooth making it painful and loose. Ultimately after some duration, the tooth loss occurs.

 

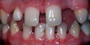
2. Gum disease

When you do not brush for a few consecutive days, the bad effect is seen on the gums. The bacteria start developing on the gums and nearby teeth. After some while, the gum disease of Gingivitis occurs. It shows the symptoms like reddish gums, swollen gums, bleeding while brushing, and plaque development. Gingivitis is a milder form of gum disease and if not treated properly then it leads to Periodontitis. Now, Periodontitis is the later stage where the gum disease problem is more severe. Here, the symptoms observed are tooth loss and jaw-bone loss. Apart from that, the problems in the gums also make it difficult to eat harder food items.

3. Bad breath

 

Not brushing for a few days will immediately give the bad breath problem. The food particles get stuck up on the teeth and gums. It leads to bacteria development that gives bad breath. Also, the tongue gets coated without brushing which causes the bad breath. Most of people can easily observe this effect when they skip brushing for even a single day.

4. Pneumonia

The bad pathogens that lie on your mouth go directly into the lungs that cause the problems. These pathogens are responsible for problems like pneumonia. The studies have found that brushing the teeth regularly can reduce the pathogens to some extent. The people who maintain good oral hygiene hardly get problems like pneumonia.

5. Diabetes

It is observed that the problems of gum disease lead to diabetes problems too. If the dental health is not good the insulin resistance is very low. Also, the sugar level increases in the body due that cause the problem of diabetes. Here, it becomes difficult to treat the gum disease too.

6. Heart disease

Various studies around the world have observed that there is connection between heart disease and gum disease. The pathogen bacteria caused due to the Periodontitis leads to coronary heart disease. Also, the bacteria accelerate the bad cholesterol development that causes blockage like problems to the hearts. It is observed that a person having heart disease problems also has bad oral health.

7. Ulcers

The plaque that forms on the gums during the Periodontitis phase causes the growth of Helicobacter pylori. Different researchers have come to the conclusion that bacterial pockets developed on the gums cause problems like ulcers too. The ulcer problem requires some days to get completely treated. Also, if the gum problem is grave then the ulcer healing process gets slower.

These are some of the commonly observed bad effects when you do not brush for3 days. You suffer from both oral health and other health problems too. So, to avoid such smaller to major problems later, it is always better to take a few minutes and brush twice daily. Good oral health will make it possible to achieve a healthy lifestyle easily.

 

(08/30/2022)
by The Champa Tree

More Information: https://thechampatree.in/blog/health-and-fitness/brushing-teeth/


Views: 592
Share
Share

Five Signs You Should Replace Your Dentures

If you’ve lost all your teeth in one or both arches, dentures are a convenient solution to restore your smile. They’ve undergone several improvements over the years to enhance their fit and function. Although they are more durable than ever, your dentures will eventually need to be replaced. Not sure if it’s time for a new set of teeth? Here are 5 signs you should contact your dentist for a replacement.

 

1. Your dentures are loose or falling out.

Your dentures should fit snuggly and stay securely in place when eating or speaking. If your dentures feel loose or fall out of your mouth, call your dentist. The shape of your mouth will naturally change over the years. Unfortunately, your denture won’t adapt to the movements without the help of a dentist. Depending on the extent of the alterations and the age of your denture, your dentist will determine if you need to have it relined or replaced.

2. Difficulty speaking clearly.

If your dentures aren’t fitting well, your words may sound slurred. It can be almost impossible to speak clearly without a snug fit. You can try using an adhesive until you’re able to get into your dentist to resolve the slipping.

3. Discomfort or irritation of the gum tissue.

If your dentures are in good shape and fit well, you shouldn’t have any pain when biting or chewing. Any discomfort is a sign you need to see your dentist. If the issue isn’t corrected, it can lead to sores, lesions, and other injuries to your gum tissue.

4. Visible damage or discoloration.

Your dentures will experience daily wear and tear from years of chewing and grinding food. As a result, it’s normal for them to break or chip. In some cases, they can even lose their bright appearance or appear discolored. Your dentist can revitalize your smile by performing the necessary repairs or providing you with a new set of teeth.

5. Reoccurring jaw pain.

Sometimes, your gum tissue isn’t the only area to experience discomfort from poorly-fitting dentures. Your jaw can also become sore. You may even develop headaches from the irritation of the temporomandibular joint which is located on either side of your face, connecting your jaw to your skull. If the pain is frequent and doesn’t subside, your dentures might be the cause of your discomfort.

Stabilize Your Smile Today

You don’t need to live with the challenges of slipping or damaged dentures. Your dentist can reinstate a beautiful, functional smile using the latest solutions in dentistry. If you’re interested in permanently treating your tooth loss, ask your dentist about adding the stability of dental implants to your denture.

(08/26/2022)
by Bobby Carmen DDS

More Information: https://www.drbobbycarmen.com/blog/2021/04/5-signs-dentures-replaced/


Views: 665
Share
Share

Three Fun Facts About Teeth

Over the last century, dentistry has evolved significantly. And over the last decade or two, our dental knowledge and capability are lightyears from what it used to be. Many centuries ago, our ancestors didn't have access to the technology, research, or knowledge of our teeth that we do today. Join us as we combine Modern Dentistry 101 with your history and philosophy curriculum.

Cavities Are Not Caused by Tooth Worms

Back in the day, and we mean way back to the Middle Ages, centuries and centuries ago — many thought cavities were due to tiny little worms that lived in your teeth. And when they wiggled inside your tooth, that was a toothache happening. Well, sorry folks, that's just not true. There are no worms that live in your teeth. At least there shouldn't be. As we know now, cavities occur when there's a buildup of plaque on your teeth full of enamel-eating bacteria that cause your tooth to decay. While cavities are still around today, you don't need a giant ax or heavy sword to battle them. Regular brushing, flossing (sometimes referred to as interdental cleaning), and dental checkups are the proper way to defend yourself. It's amazing how good oral care can keep cavities from invading your teeth.

Everyone Has the Same Number of Teeth (Mostly)

Outside gender-specific parts, men and women are created equal. But ol' Aristotle thought differently. It's hard to be right about everything. For some reason, he thought men had more teeth than women. You read that right. But he would be wrong. Sorry, Ari. Men and women have the same number of teeth. You should know:

We all have 20 baby teeth that start popping up around 6 months of age, according to the American Dental Association

As we get older, our permanent teeth come in

Adults have 8 incisors, 4 canines, 8 premolars, and 12 molars (including 4 wisdom teeth)

Now here's the tricky part to your personal number of teeth. Your wisdom teeth may not erupt. Sometimes, one may just come in, sometimes all 4, and sometimes none. If they do, they often cause overcrowding and sometimes are impacted below the gumline, causing swelling. This is why wisdom teeth removal surgery is so popular.

Your Primary and Permanent Teeth Start to Develop Before You're Even Born

It was also believed that your teeth don't start growing until your born. This, too, is a myth. Both your primary and permanent teeth are already present when you're a baby. Your wisdom teeth, however, do develop late during adolescence.

The world isn't flat. We did land on the moon. And worms don't cause cavities. It doesn't hurt to know this and other tidbits about your teeth. It also doesn't hurt to practice proper oral care to avoid those cavities. That's a fact your dentist can get behind.

(08/27/2022)
by Colgate

More Information: https://www.colgate.com/en-us/oral-health/mouth-and-teeth-anatomy/3-fun-facts-about-teeth#


Views: 673
Share
Share

Five Common Dental Myths: Fact or Fiction?

When it comes to ridiculous beliefs on dental hygiene and treatment, we’ve heard just about everything. However, the most dangerous ones usually aren’t quite so over the top. Unfortunately, a number of dental myths are floating all over Columbus, so Dr. Barry and Dr. Love are here to put an end to the misinformation. Don’t feel bad if you have believed one or more of these at some point, you’re not the only one, but do make sure to give us a call at Lifetime Dental Health if you have any questions or concerns.

1.- If your gums are bleeding, don’t brush them

The idea behind this false claim is that bleeding gums need to be allowed time to heal before they should be brushed, when in fact, gums bleed because they haven’t been brushed enough! This is because bacteria has built up around and beneath the gum line, irritating the gums.

2.- Sensitive teeth is a sign of cavities

Tooth sensitivity varies among Columbus residents. Some people have particularly sensitive teeth, and others simply have recessed gum lines, which exposes the roots, causing sensitivity. Although tooth decay can cause sensitivity, it is not always at fault.

3.- More sugar means more cavities

Tooth decay and cavities are the result of bacteria breaking down sugars into harmful acids. The amount of sugar in your mouth plays a part, but the most important factor is how long the sugar is allowed to stay on your teeth. Brushing after meals or rinsing with water after eating sugary foods is a good policy.

4.- Bleaching can harm or weaken teeth

Bleaching does not affect the health, integrity, or strength of teeth. In fact, bleaching only changes the color of teeth by removing tooth pigmentation. Some Columbus residents may experience sensitive teeth or mild gum irritation after bleaching, but these are temporary and do not indicate that any harm has been done.

5.- Applying aspirin directly to teeth helps get rid of toothaches

Do not do this! Aspirin does not work that way; it is effective only when it enters the bloodstream. Even worse, Dr. Barry and Dr. Love reminds us that when aspirin comes into contact with teeth, it can actually cause more pain from an acid burn. Think about it – would you rub an aspirin tablet on your back for a muscle ache? Probably not.

(08/26/2022)
by Dr Richard Barry

More Information: https://lifetimedentalcolumbus.com/5-common-dental-myths-fact-fiction/


Views: 710
Share
Share

Jagged Teeth: Causes and Treatment

Perhaps you've recently chipped your tooth and noticed that it's scratching the inside of your mouth. Or you've lived your whole adult life with uneven teeth that you'd now like to get fixed. Regardless of the reason for your jagged teeth, you should feel assured in discussing them with your dental professional! It's a common problem - sometimes from a natural cause or an accident or injury. Whether your tooth is naturally jagged or just recently chipped or broken, your dental professional has many potential ways to make it straight and even again. Regardless of the cause, you should feel confident there's an appropriate treatment option that works for you!

Natural Teeth Shape

Not all of us have a neat, even line of pearly whites. If you were born without one, you might be wondering, "Why are my teeth jagged?" Teeth can grow unevenly, and some of them, specifically our canines, can develop in a pointed and protruding manner. Anyone can have uneven teeth. In rare cases, extra cusps, which are the sharp parts of your teeth, may cause their jaggedness.

As noted by the Journal of Dental Research, Dental Clinics, Dental Prospects, these cusps are referred to as talon cusps because they resemble an eagle's talons. Your dental professional can remove talon cusps by grinding down or removing a section of enamel and sealing your tooth with a desensitizing agent. Crooked or pointed teeth can also sometimes benefit from orthodontic treatment. Your dental professional will be able to tell you if this applies to you.

Broken and Chipped Teeth

When you break or chip your tooth, this can leave it looking jagged. And if your tooth's nerve becomes exposed, you might feel pain. Accidents happen! And a fall, getting hit in the mouth, or biting something hard are common accidental causes of a broken or chipped tooth. Your teeth can also break when cavities or large, old fillings weaken them, making them more susceptible to injury. We recommend that to prevent nerve damage; you should see your dental professional right away if one of your teeth breaks or chips.

Jagged Teeth Treatments

How to fix jagged teeth will depend on your dental professional's suggestion. But the good news is, there are a variety of options! The most straightforward treatment for a jagged line of teeth involves shaping the existing tooth enamel for a more even appearance. Contouring, smoothing an irregularly shaped tooth is a procedure that involves gently grinding away a small part of your tooth enamel. Did you know it's a conservative cosmetic dentistry treatment and usually doesn't even require anesthesia? While contouring is a great solution, you should never attempt it at home. Shaving your own teeth can cause permanent damage and severe pain.

If you have a chipped tooth, your dental professional might suggest bonding. This procedure involves a small amount of dental resin added to your tooth to replace the missing part. The resin will match your original tooth in color, so it's not noticeable. It's one of the easiest and least expensive cosmetic dental procedures but isn't as strong as your natural tooth. So continuing a strong oral care routine will be essential for its long-term success.

Your third option is a veneer. These thin shells that fit over your entire tooth above the gumline come in two kinds: traditional and minimally invasive. Fitting porcelain veneers involves removing some tooth enamel, and it's an irreversible procedure. Veneers made of composite material are now available. Your tooth will not need shaving because the composite placed over your tooth is so thin. There are pros and cons to each of these options, so having a conversation with your dental professional about them is key.

Sometimes the damage to your tooth is occasionally so severe, a repair to its jaggedness isn't possible. The best treatment for this situation is to extract your tooth and replace it with a dental implant, partial denture, or bridge. In most cases, the recovery time for all of these treatments is minimal. If your tooth needs extraction, you may require more than one visit to your dental professional. Replacing your tooth with a natural-looking prosthetic can take several months but will be well worth it for a healthy smile!

While you may experience some initial shock when you break or crack a tooth, or you've always felt discouraged from showing your smile in-full because of jagged canines, you've got plenty of treatment options! Jagged teeth don't have to be embarrassing or painful. Your dental professional can even them out or replace a missing part. If you decide to keep your teeth the way they are, your dental professional is still a valuable resource! They can instruct you on proper care and brushing so your issue doesn't worsen or cause pain. Regardless of what you decide, visiting your dental professional is your first and most important step to a confident smile!

(08/27/2022)
by Colgate

More Information: https://www.colgate.com/en-us/oral-health/mouth-and-teeth-anatomy/jagged-teeth-causes-and-treatment


Views: 694
Share
Share

Hypodontia or Congenitally Missing Teeth: Causes & Treatments

You are well aware that an average human mouth has 32 permanent teeth, counting your wisdom teeth as well. But there are exceptions here too. Some individuals are born with fewer teeth. Disturbances during the early stages of tooth formation may result in the congenital absence of one or more teeth, known as Hypodontia or Congenitally missing teeth.

What Is Hypodontia?

Hypodontia is a developmental abnormality wherein one or more permanent teeth fail to grow. Missing teeth are present in a list of some of the most commonly occurring developmental oral health conditions. People suffering from CMT have six or fewer teeth missing. The most common congenitally missing teeth are wisdom teeth, upper lateral incisors, and the second premolars(source).

What Are the Causes of Hypodontia?

The condition is associated with genetic or environmental factors during dental growth. Missing teeth are the results of increased maternal age, low birth weight, multiple births and early exposure to certain infections, trauma, or drugs.

Hypodontia or CMT (Congenitally Missing Teeth) usually is the result of genetic disorders such as ectodermal dysplasia or Down syndrome. Yet, people with cleft lip and palate also have a risk of missing teeth.

What Are the Problems Associated With Hypodontia or Missing Teeth?

CMT generally affects the healthy growth of permanent teeth. Missing teeth can affect your ability to chew, pose problems with speech, gum damage, and cause insufficient bone growth. They also pose functional concerns when the other teeth in your mouth move into the empty spaces and shift the positions of the teeth.

What Are the Treatment Options for Hypodontia?

Braces

In this treatment, metal brackets get fixed onto your teeth with connecting wires to move your teeth to the correct position. One can choose Invisalign and other invisible braces for a more transparent and convenient treatment option to move the teeth.

Dentures

These are removable plates with attached artificial teeth. Children can start wearing dentures for assistance in speech development. Periodic replacement of children’s dentures is necessary to match the changes in their jaws during growth. One can rely on dentures until the child is old enough to get permanent teeth implants.

Bridges

It is an expensive permanent method. A bridge is an artificial tooth fixed between two permanent teeth to assist in filling the gap. Bridges are porcelain-based dental products blended with metal or ceramics. Bridges help in correcting your bite problems by reinstating the lot of missing teeth, in turn, blocking the drifting of other teeth out of position.

Implants

The process of inserting an implant consists of safely placing a metal root inside your jawbone. A crown that looks like your teeth is attached to the exposed part of the implant. If the missing teeth are far apart, the process is to place an implant between each of the missing teeth.

Bonding and veneers

Patients of microdontia who have a small part of some of their teeth erupted can get the rest of the tooth built up with composite or a veneer. Remember, both these options are effective, only in situations where there is an existing tooth. These treatments are less invasive than bridges and implants but may not last long.

Takeaway

You don’t have to be overly concerned if you are missing a tooth or two, in addition to your wisdom teeth. That is because this situation is manageable. For this, it is essential to identify the symptoms of missing teeth early on and begin an appropriate treatment to prevent any long-term oral health issues. 

(08/28/2022)
by Dr Satish Pai and Associates

More Information: https://www.putnamorthodontics.com/hypodontia-or-congenitally-missing-teeth/


Views: 556
Share
Share

Gum Irritation: Four Self-Induced Causes

From hot food burns to infections, gum injuries have several possible causes—but sometimes they're self-induced. Luckily, you can prevent gum irritation by identifying activities and habits that are causing them. Read up on four causes that might be damaging your delicate gums – and get tips on changing your habits to prevent future irritation.

1. Overly-Aggressive Brushing

Using excess pressure when brushing may feel like it keeps teeth and gums cleaner, but the opposite is true – aggressive brushing irritates your gums, which can cause more severe infections. As long as you're thorough, gentle pressure is sufficient for food and plaque removal. Use short, precise strokes to clean each tooth's entire surface. And chose soft-bristled toothbrushes, as they're best at effectively cleaning teeth without aggravating delicate gum tissue.

2. Improper Flossing Technique

Overzealous flossing is also a no-no. Avoid using high pressure or vigorous back-and-forth movements to dislodge food and plaque, as this can lead to further gum irritation or even bleeding gums (as well as being uncomfortable).

Prevent irritating gums while flossing with a gentle approach.

Slowly move the floss back and forth, up and down, and gently against the sides of your teeth.

With this level of pressure, flossing around the base of your teeth ensures that you reach food beneath your gum line – too much force can make this easy to overlook.

Avoid pushing the floss into this area abruptly or snapping it into place, as doing so can cut or bruise your gums.

Not a fan of traditional flossing or just can’t get into the habit? Try using a water flosser, an interdental cleaning device that emits a steady stream of water to gently clean hard-to-reach places between your teeth.

3. Home Whitening Treatments

Peroxide-based agents will whiten teeth but can cause irritation if they come into contact with gum tissue. Because OTC whitening strips or trays aren't designed to fit the contours of your mouth, they may allow peroxide to touch your gums.

A dental professional can help you whiten teeth at home without irritating your gum line by creating a custom-fitted whitening tray. This tray will ensure that the bleaching products only come into contact with your teeth and not the delicate tissue beneath them.

4. Dietary Choices

The foods you eat are can also contribute to gum irritation. Hard candies or crunchy items like potato chips can scrape against gums and cause irritation as you chew. Can't give up the crunch? Reach for healthy alternatives like celery or carrots. Crunchy natural foods act like teeth cleaners by stimulating saliva flow while scrubbing away bacteria and food particles.

Treating Your Irritated Gums

If your gum irritation feels or looks serious, make an appointment with a dental professional, as it could be symptomatic of a different oral health condition. But if one of these four self-induced causes is the culprit, home remedies can ease gum irritation. Health Link BC suggests over-the-counter pain killers, topical gels, hot or cold compresses, and warm salt water rinses.

Irritated gums are no fun, but making small changes to daily habits and can make a difference. The sooner you get to the root of the cause, the sooner you’ll be able to treat your irritated gums and get back to a pain-free, confident smile.

(08/29/2022)
by Colgate

More Information: https://www.colgate.com/en-ca/oral-health/gum-disease/gum-irritation-four-self-induced-causes


Views: 522
Share
Share

Three Simple Ways to Remove White Spots from Your Teeth

White spots on your teeth are certainly no fun. They can range from a barely noticeable annoyance to an embarrassing obstacle that keeps you from smiling and enjoying yourself properly. The good news is you don’t have to suffer with white spots permanently. There are some simple ways you can begin to address the white spots on your teeth and greatly improve your smile satisfaction.

What Causes White Spots on Teeth?

It can help to understand why you develop white spots on your teeth as you seek to treat them. There are several underlying reasons that can cause white spots on the teeth; some are easier to control than others.

Very young children who are exposed to extremely high levels of fluoride while their teeth are developing can have white or brownish spots called fluorosis. White spots caused by fluorosis are generally considered a cosmetic condition rather than a serious structural concern. Recent changes in the amount of fluoride added to drinking water may make this less common, but spitting (not swallowing) toothpaste is important for children under 8 who are still developing permanent teeth.

In older children, teens, and adults, the spots are generally areas where minerals have been stripped away, leaving weakened enamel. This process is called demineralization. Demineralization itself has multiple possible causes.

Demineralized white spots can be related to diet and nutrition. A malabsorption condition like celiac disease can cause problems with the tooth enamel surface. The body cannot absorb the nutrients it needs to build healthy enamel because of the disease, so it ends up growing unhealthy enamel. Poor nutrition choices that leave you deficient in minerals can damage enamel similarly. A lack of nutrients, particularly proteins or certain vitamins,can cause weakened, demineralized enamel. After all, the body can’t build mineral rich enamel if the minerals are not present to use in the first place. Even after enamel is formed, a good diet remains essential for healthy, spot free teeth. Highly acidic conditions in your mouth that strip away the enamel that make up the tooth surface will leave white spots on the teeth. Diets high in sugars are the biggest culprit when this type of white spot develops.

White spots also can be caused by poor dental hygiene. Poor brushing and flossing techniques and habits allow acid-rich tartar to build up and strip away the minerals from the tooth surface. Frequently, these types of white spots can be found after braces are removed, indicating poor oral care habits while braces were worn.

How to Remove White Spots on Teeth

1. Improve Oral Care Habits

Sometimes, a very mild case of white spots that occurs right after braces are removed can be alleviated by improving oral care habits in general. Proper and regular brushing with a high-quality toothpaste and flossing, particularly when combined with xylitol chewing gum designed for oral health, can improve the look of minor white spots over time. At the very least, it can keep current white spot lesions from getting worse and prevent new ones from appearing. It bears mentioning that an ounce of prevention really is worth a pound of cure here. Excellent oral hygiene habits can potentially keep white spots from ever appearing.

2. Use a Remineralizing Toothpaste

The minerals that are missing from your teeth need to be added back to strengthen and remove the look of white spots. Unfortunately, even if a dietary deficiency caused the spots, eating more calcium alone can’t restore your tooth enamel. Because enamel is not constantly refreshed the way other body tissues are, remineralizing enamel requires getting the needed minerals right to the enamel surface. This is why remineralizing toothpaste is so important.

Toothpastes that contain fluoride alone can add some mineral strength back to teeth, but they also can leave those white spots looking brownish. However, a toothpaste with nano hydroxyapatite contains the minerals that are missing from your teeth. Bio-identical minerals can build both strength and beauty when added to your teeth. Learn more about remineralization here.

3. Visit Your Dentist

Although not as simple as at-home treatment of white spots, your dentist can fill white spots with resin like that used for tooth-colored fillings. This procedure provides immediate cosmetic improvement. However, it may be much more expensive and invasive than treating spots at home. It does provide immediate strength and cosmetic improvement. For more severe cases, veneers—thin strips that cover the tooth completely—may be recommended.

Regardless of the method you choose to improve the look of your smile, treating white spot lesions can greatly increase your satisfaction with your teeth.

(08/29/2022)
by Carifree

More Information: https://carifree.com/blog/3-simple-ways-to-remove-white-spots-from-your-teeth/


Views: 626
Share
Share

Five Oral Health Tips For When You’re Sick

When you are feeling under the weather, caring for your oral health might slip your mind, which is completely normal as even the smallest task may seem daunting when you aren’t feeling well. But, it is important to maintain your brushing and flossing routine as illness can often impact your oral health. Our Gainesville dental clinic has outlined some oral health tips for you to follow when you are feeling sick or unwell.

Contact our Gainesville dentists today to schedule an appointment or to learn more about our many cosmetic and general dentistry services.

Use Sugar-Free Medicine

While over-the-counter medicines can help provide you some relief from any coughing that comes with being sick, many of them have ingredients that can be harmful to your oral health. We recommend reading the label to check for any citric acid or high-fructose corn syrup, as these can increase your risk of tooth decay.

Stay Hydrated

The common cold and various other illnesses can lead to dry mouth, which can greatly impact your oral health. Not only is dry mouth uncomfortable, but it can also promote cavity development as saliva is the main way that your body washes away any food or bacteria in your mouth. We recommend sipping water throughout the day and staying away from excessively consuming drinks with high amounts of sugar, such as sports drinks or ginger ale.

Rinse Your Mouth With Water After Vomiting

Vomiting is often a common symptom with many illnesses and often leaves you with a disgusting taste in your mouth. As tempting as it is to brush your teeth right after vomiting, this can rub any residual stomach acid into your teeth and gums, which can damage the enamel of your teeth. We recommend rinsing your mouth with water or mouthwash rather than immediately brushing your teeth after vomiting.

Don’t Cancel Your Dentistry Appointment

We understand that the last thing you would want to do when sick is to go to a scheduled dental appointment, but skipping your appointment could leave you feeling sick longer. If your illness is related to a dental issue, such as sinusitis, a dentist might be able to help provide you relief and get you on the path to recovery. Even when sick, make sure you are maintaining your oral hygiene routine of brushing twice a day and flossing once a day.

Get A New Toothbrush

Keeping a toothbrush too long, especially after being sick, can allow bacteria to grow and can result in perpetually reinfecting yourself with the same illness. Cold viruses can live on your toothbrush for up to 24 hours, and the flu virus can live for up to 48 hours, so it’s important to swap out your toothbrush after you’ve recovered from being sick.

(08/30/2022)
by Comprehensive Dental Care

More Information: https://comprehensivedmd.com/5-oral-health-tips-for-when-youre-sick/


Views: 613
Share
Share

Yellow Teeth Causes And Effects

It is everyone’s desire to look good all the time. A great smile will undoubtedly contribute to that, and we cannot avoid smiles at all times. When you have yellow teeth, it may not be so pleasing to offer smiles to everyone you comes across. Therefore a discolored smile can be undesirable to look at, and at times you may not get the same smile. This condition can make you lose your confidence and become irritated by your smile.

This may even prompt someone to keep on hiding his/her teeth. And this might not be possible a hundred percent, and that is why we should know what causes yellow teeth so that we do not fall into that category.

Some people have naturally discolored teeth while others obtain them from various kinds of food. These may include tea, coffee, and wine which may contribute entirely to yellowing of your teeth. Smoking is also a leading cause because of the large puffs of smoke which emanate from the smoker’s mouth and this is a primary cause of yellow teeth.

Poor oral hygiene maintenance is another cause of discolored teeth, and those who fail to take good care of their teeth may fall into this category. Teeth can also become yellow with age. As you age up, your teeth do not appear as white as when you were a small child with milk teeth. Aging even results to wearing down of the enamel of the teeth and this increases the change in teeth color.

Even as we try to find out more about what causes yellow teeth, the consumptions we make daily may also be a leading factor in change teeth color. Medications may be another factor resulting in this condition.

Elements such as tetracycline, antipsychotic and those of high blood pressure are a good example of the drugs which aid in yellowing our teeth. This is because they contain certain chemicals which speed up teeth decay and as we consume these drugs time by time, the chemicals accumulate more resulting to yellowing of the teeth. Even chemicals found in mouth washes and mouth rinses also contain elements which may result to yellowing of teeth. These may include elements of chlorhexidine and also cetyl Pyridium which constitute of the chemicals in these mouth washes. A little bit of usage is not wrong but regular usage over an extended period may cause your teeth to start turning color.

Visiting the dentist is a proper mechanism for controlling our teeth from turning yellow. We should always start by proper hygiene and take good care of our teeth. This will make them look healthy most of the time.

Proper brushing technique should be adopted because improper brushing may damage the gums and when the gums are damaged, bacteria tend to get a healthy living environment, and this may also contribute to the effect of yellow teeth. Brushing should be done twice a day, and without brushing, we risk ourselves by exposing our teeth to bacteria.

(08/31/2022)
by Supreme Dental Care

More Information: https://glensupremedental.com.au/yellow-teeth-causes-and-effects/


Views: 538
Share