Dentists Journal

Top Ten Stories of the Week
9/19/2020

All Dentists Journal · Previous Week · This Week · All Time List · Headlines

Share

We highly recommend your child visit the dentist before his or her 1st birthday

Dr. Chin and Associates strive to make your child’s first visit gratifying and positive by introducing them to the teeth cleaning and dental care in a particular and considerate manner. We have created this visit to create a warm and friendly environment that your child feels comfortable and at home in. We introduce them to dentists and explain all procedures and answer any questions parents or guardians might have.

We suggest refraining from using words around your child that might strike unnecessary fear, such as needle, pull, drill or hurt. Our office staff has been intentionally trained to use words that convey the same message, but are pleasant and non-frightening to the child.

(09/11/2020)

More Information: https://mybestdentists.com/DavidAlanChin


Views: 3,274
Share
Share

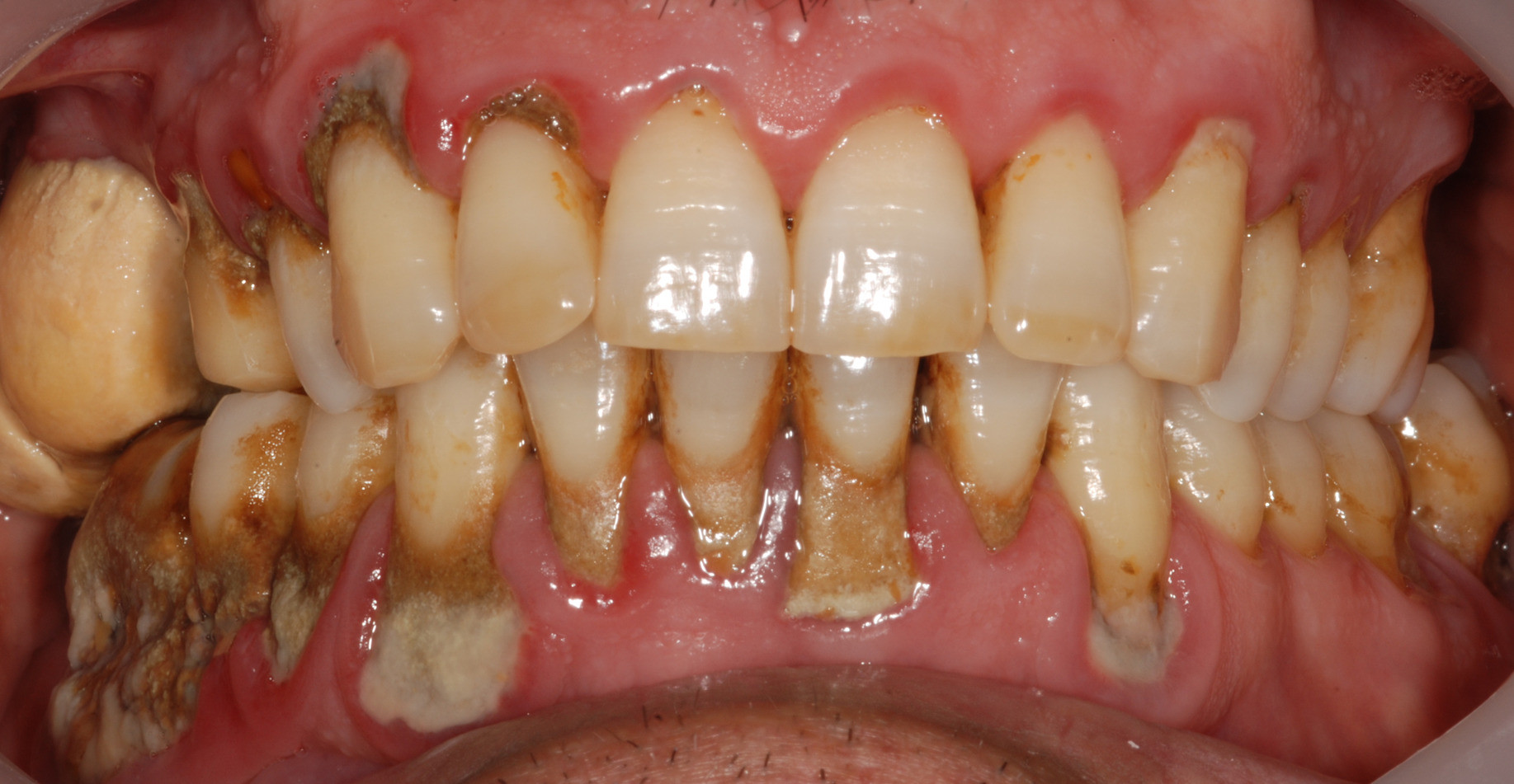
Tips to control tartar buildup

Even if you take great care of your teeth at home, you still have bacteria in your mouth. They mix with proteins and food by products to form a sticky film called dental plaque. This gunk coats your teeth, gets under your gum line, and sticks to fillings or other dental work. Plaque carries bacteria that can damage tooth enamel and lead to cavities. But if you remove plaque regularly, you can prevent permanent tooth decay and gum disease.

Bigger problems arise, however, if plaque stays on your teeth and hardens into tartar. 

Tartar, also called calculus, forms below and above the gum line. It is rough and porous and can lead to receding gums and gum disease. It must be removed with special tools in the dentist's office.

How Does Tartar Affect Teeth and Gums:

Tartar can make it harder to brush and floss like you should. This can lead to cavities and tooth decay.

Any tartar that forms above your gum line could be bad for you. That's because the bacteria in it can irritate and damage your gums. Over time, this might lead to progressive gum disease.

The mildest form of gum disease is called gingivitis. It can usually be stopped and reversed if you brush, floss, use an antiseptic mouthwash, and get regular cleanings from your dentist.

If not, it can get worse, to the point where pockets form between the gums and teeth and get infected by bacteria. That's called periodontitis. Your immune system sends chemicals to fight back and they mix with bacteria and the stuff it puts out. The resulting stew can damage the bones and tissues that hold your teeth in place. Also, some studies link the bacteria in gum disease to heart disease and other health problems.

Tips to Help Control Tartar:

Your best bet is not to let tartar form on your teeth. Here's how:

Brush regularly, twice a day for 2 minutes a time. A 30-second scrub twice a day won’t remove plaque or prevent tartar.

Studies have found that electronic, or powered, toothbrushes may get rid of plaque better than manual models. No matter which type you use, be sure it has the American Dental Association (ADA) seal of approval.

Choose tartar-control toothpaste with fluoride. Fluoride will help repair enamel damage.

Floss, floss, floss. No matter how good you are with a toothbrush, dental floss is the only way to remove plaque between your teeth and keep tartar out of these hard-to-reach areas.

Rinse daily. Use an antiseptic mouthwash daily to help kill bacteria that cause plaque.

Watch your diet. The bacteria in your mouth thrive on sugary and starchy foods. When they’re exposed to those foods, they release harmful acids.

Don't smoke. Studies show that people who smoke cigarettes or use other tobacco products are more likely to have tartar.

Once tartar has formed, only a dental professional will be able to remove it from your teeth. So, visit your dentist every 6 months to remove any plaque and tartar that might have formed and to prevent further problems.

(09/14/2020)
by WebMD

More Information: https://www.webmd.com/oral-health/guide/tartar-dental-calculus-overview#1


Views: 2,370
Share
Share

Hidden dental dangers that may threaten your whole body

A growing number of older adults have something to smile about: research shows they're keeping their teeth longer. While that makes chewing and talking easier and staves off malnutrition and the discomfort of dentures or missing teeth, it also means you need to be more vigilant than ever about preventing dental problems — including some that can have life-threatening complications.

Tooth decay

One in five adults ages 65 or older has untreated tooth decay (a cavity). This develops when food and bacteria form plaque that sticks to teeth and produces toxins that break down a tooth's outer layer (enamel).

Bacteria also can infect the root of the tooth and form a small pocket of pus (an abscess). "If the infection doesn't find a way out, it may travel to another space in the head. It wants the path of least resistance, so it may infect the jaw. But it can also travel to the brain and cause death, although this is fortunately rare," warns Dr. Lisa Thompson, a geriatric dentistry specialist at the Harvard School of Dental Medicine.

Gum disease

Two out of three adults ages 65 or older have gum disease (also called periodontal disease). This is inflammation of the gums that can lead to tooth loss and many other problems. The disease starts with plaque buildup that irritates the gums. This early stage (gingivitis) causes swollen gums that bleed easily.

If untreated, gingivitis can extend below the gum line. The body's own immune system is thought to fuel the condition, as white blood cells — called to attack the bacteria — eventually damage gum tissue as well. "It can infect the gums all the way down to the ligament that holds the teeth in the bone, penetrate the ligament, destroy bone, and cause tooth loss and abscesses," Dr. Thompson says. At worst, bacteria from gum disease may get into the bloodstream and infect the heart valves, a potentially deadly complication.

People with gum disease are more likely to have high blood pressure, diabetes, rheumatoid arthritis, osteoporosis, Alzheimer's disease, and pneumonia — although it is not proven that the gum disease actually causes these conditions.

Older adults face increased risks

Maintaining good oral health gets harder as we age. Sometimes that happens because we've suffered declines in other abilities. "You might have arthritis and decreased manual dexterity. That can make it difficult to brush or floss your teeth or properly care for dentures if you have them," says Dr. Thompson.

Another challenge: age-related physical changes in the mouth. The gums start to recede, exposing more of your teeth and creating new spaces that floss doesn't always reach. The teeth become less sensitive as the nerves inside them shrink and a secondary layer of dentin (porous material beneath the enamel) develops.

"You may not feel the same amount of pain in the tooth if there's a problem, and it can progress before you realize it," Dr. Thompson points out. And years of wear and tear can leave your teeth weakened or cracked and vulnerable to dental problems.

Chronic conditions also play a role in oral health. Uncontrolled diabetes can make gum disease worse. And many medications cause dry mouth. "You need saliva — which contains fluoride and electrolytes [like sodium and calcium] and moistens the mouth — to help clean and protect the teeth," Dr. Thompson says. A lack of saliva can lead to tooth decay in as little as three months after dry mouth begins.

What you can do

By staying on top of oral hygiene, you can ward off cavities and even reverse gingivitis. But it's going to take extra effort now. These steps can help keep your mouth — and the rest of you — healthy:

Brush your teeth at least twice a day and floss at least once. If you're still not removing enough debris, Dr. Thompson recommends adding an interdental brush to your routine. "It has a little cone-shaped bristle that fits between the teeth," she explains. "You can find it in the toothbrush aisle of any pharmacy."

If you have dry mouth, ask your dentist about a prescription toothpaste or mouth rinse with fluoride to help protect against cavities. Chewing gum with xylitol may also stimulate saliva production, which can help protect against cavities.

If you find brushing difficult because of arthritis, try an electric toothbrush or a toothbrush with an ergonomic handle.

Avoid smoking, which is a risk factor for gum disease.

If you have dentures, be sure to brush them daily and soak them overnight in a denture cleaner.

Don't skip check-ups and cleanings at your dentist's office (at least two to four times per year, depending on your gum health).

(09/11/2020)
by Harvard School of Dental Medicine

More Information: https://www.mybestdentists.com/dental-schools/HarvardSchoolofDentalMedicine


Views: 3,575
Share
Share

Dr. Shokeen graduated from a top dental school in India and among other things she participated in a 2016 Massachusetts beauty pageant.

Dr. Geetu Shokeen graduated from a top dental school in India and later received her doctorate of dental medicine from Boston University. She has joined Montague Dental Arts with a commitment to excellence for her patients.

As a member of various professional associations, Dr. Shokeen continues to embrace the latest technologies.  She lives in Longmeadow, MA. She loves to spend time with her family, travel, and participate in outdoor activities. Dr. Shokeen has participated in local pageants including a Massachusetts 2016 pageant.

Montague Dental Arts offers dependable dental care services to help you address all of your dental needs. We offer general dentistry, cosmetic dentistry, dental hygiene services, dentures, extractions, Invisalign clear aligners, gum disease treatments, dental implants, and root canal therapy.

Montague Dental Arts is a locally-owned and operated dental practice that has been in business since 1985.

Our team offers smile makeovers, teeth whitening, crowns, bridges, and so much more. We can also work with most insurance plans, accept CareCredit, and we have convenient financing options available!

(09/16/2020)

More Information: https://mybestdentists.com/MontagueDentalArts


Views: 2,665
Share
Share

Can chemotherapy cause dental issues?

Chemotherapy, in general, causes a long list of side effects, including hair loss, fatigue, loss of appetite, infection and fever, itchy skin and bowel problems. Your dental health, specifically, can most definitely take a backseat when undergoing chemotherapy. The reason for this, is that chemotherapy's job is to kill cancer cells, but healthy cells are unfortunately also in the line of fire. It's important that you are aware of this, and take necessary precautions BEFORE starting treatment.

What's going on in there?

Inside your mouth is a healthy mix of (mainly) good bacteria. There are also harmful bacteria. Chemotherapy may cause changes in the lining of the mouth and the salivary glands. This, in turn, can upset the healthy balance of bacteria, which can lead to mouth sores, infections and tooth decay. You might find it difficult to eat, chew, swallow or even talk.

You are more likely to get an infection inside your mouth, which can be dangerous when you are receiving cancer treatment.

Here's a list of oral symptoms or side effects caused by cancer or its treatment:

Dry mouth, Thickened saliva, Changes in taste, Mouth sores, Tooth decay, Difficulty swallowing, Difficulty chewing or opening the mouth., Infection, Bone disease, Inflammation or pain in the lining of the mouth and tongue, Higher risk of tooth decay or gum disease.

Stephen T. Sonis, (DMD, DMSc), a professor of oral medicine at the Harvard School of Dental Medicine, reiterates the importance of saliva in oral hygiene of which the production is affected during chemotherapy. Saliva helps keep the bacteria in your mouth off your teeth. If you don't produce enough saliva because of cancer treatment, plaque can build up more easily on your teeth. Plaque can cause tooth decay and gum disease.

In a medical article published by The National Center for Biotechnology Information, three researchers have studied the changes in oral flora during chemotherapy and its effects on the development of infections of the oral cavity. It's been found that gram negative rods (bacteria that cause infections) are present in patients undergoing chemotherapy. The researchers studied two leukemic patients who developed oral ulcers, while taking antibiotics. The Antibiotic treatment didn't seem to be doing its job. Sparing you the academic rumble, this study makes it clear that cancer patients undergoing chemotherapy might develop all sorts of oral health issues.

What you should do:

As with many things in life: Prevention is better than cure. If you've maintained good dental health before undergoing chemotherapy, you'll have lower risk of developing the above mentioned side effects. Visit your dentist at least one month before starting any anti-cancer treatment so that any possible infections or irritations can be treated.

If you wear braces, consider having them removed prior to treatment. These could really irritate your cheeks and tongue in their already fragile states.

Ask your doctor for painkillers if the pain caused by mouth sores, broken teeth or tender gums become unbearable.

If you have dentures, make sure they fit absolutely well and snug, and are not irritating your mouth whatsoever.

Smoking or using any other tobacco products is a no-go.

Drink lots of fluids. This will help with the production of saliva.

Ask your health care team about fluoride rinses and gels. These can strengthen your teeth.

Make sure you have any teeth issues sorted out, like decayed, broken or infected teeth.

Keep the communication with your dentist and oncologist open and honest. It's also important that your dentist should talk with your oncologist to make sure that any dental treatment you receive is safe for you.

Switch out your regular toothbrush with a soft, child-size toothbrush. Soak the toothbrush in warm water to soften the bristles. Be gentle. This counts for flossing, too. If a lot of bleeding occurs when you brush or floss, be sure to tell your doctor. Additionally, it's prudent to:

Watch what you eat and drink. It might be wise to lay off the alcohol during this time, as it may irritate your mouth, along with extremely hot, cold spicy, acidic or crunchy foods. Sugar is the enemy the bacteria in your mouth use sugar to live, and this process makes the acid that causes tooth decay.

Stick to good, old school sunshine and healthy breakfast. Getting enough vitamin D and calcium each day helps your jaw and teeth stay strong and healthy.

Keep a bottle of cold water or sugar free drink nearby at all times. This may help manage a dry mouth. You could also suck on ice chips not only will it keep your mouth moist on the inside, it could also numb the pain temporarily.

Once you've found a good dentist, make sure you build a trusting relationship with him/her. The road to recovery can be a rocky one, and you'll need specialists you can rely one.

(09/14/2020)
by City Dentists

More Information: https://www.citydentists.co.nz/dental-blog/dental-technology/can-chemotherapy-cause-dental-issues/


Views: 1,180
Share
Share

Dr. Steinhauer serves as the Chairman of the Dental Division at the Children’s Hospital of San Antonio

Dr. William D. Steinhauer is a San Antonio native; he grew up and attended school here in the city. He graduated Cum Laude from St. Mary’s University with a Bachelor’s Degree in Biology. Dr. Steinhauer then attended the University of Texas Dental School at the San Antonio Health Science Center, which has been rated the top dental school in the United States for a number of years.

After receiving his dental degree in 1979, Dr. Steinhauer served a tour in the United States Army and was awarded the Army Commendation Metal for meritorious service. After his military tour, Dr. Steinhauer returned to the U.T. Health Science Center where he completed a residency in Pediatric Dentistry and received his certificate in 1986.

Dr. Steinhauer has been in private practice since that time and has managed to hold many positions in organized dentistry, such as President of the Texas Academy of Pediatric Dentistry, while running a busy pediatric practice. Dr. Steinhauer has also served on many committees and functioned as an advisor to the Texas Department of Health, the Texas Nurses Association, and the San Antonio Metropolitan Health District.

Dr. Steinhauer presently serves as the Chairman of the Dental Division at the Children’s Hospital of San Antonio, and as the Chairman of the Committee on Access to Care, Medicaid, and CHIP for the Texas Dental Association. Outside the office Dr. Steinhauer enjoys reading; spending time with family, friends, and neighbors; and is involved in his parish church community.

(09/14/2020)

More Information: https://www.mybestdentists.com/WilliamDavidSteinhauer


Views: 3,056
Share
Share

Dental Problems Can Tell You About Your Health

Your mouth says a lot — and we mean that both literally and figuratively. Because while you might think your teeth and gums have little to nothing to do with your lungs or heart, they can actually show early warning signs of serious health conditions across your entire body.

You might have type 2 diabetes:

Severe gum disease, a.k.a periodontitis, can be an early sign of type 2 diabetes, according to a February 2017 study. Researchers looked at over 300 middle-aged adults and found those with severe gum disease — roughly a quarter of participants — were at a higher risk for diabetes because they were more likely to be overweight, with an average BMI of 27 or higher. Nearly one in five of those with periodontitis had previously undiagnosed type 2 diabetes, compared with 10% of those with mild to moderate gum disease and 8.5% with no gum disease. What's the connection? People with diabetes are more susceptible to contracting infections, according to the American Academy of Periodontology.

You might be pregnant:

If you ace oral health but suddenly start noticing that your gums are inflamed and bleeding, it may be a sign you're pregnant. According to the American Pregnancy Association, gingivitis is common during pregnancy because the hormonal changes increase blood flow to the gum tissue, causing your gums to be more sensitive, irritable, and swollen. What's more, these new hormones can thwart your body's ability to fight bacteria, increasing your risk for plaque buildup.

You might be deficient in certain vitamins:

Malnutrition and poor oral health and have interdependent relationship — each one can lead to the other. A January 2013 study analysis found that, without enough vitamins, your mouth has a lower resistance to the microbial biofilm that comes from plaque and a lower ability to heal inflamed gum tissue. A deficiency of vitamin D and A can affect the enamel on your teeth, while a vitamin B deficiency can cause your lips to crack, your cheeks to develop ulcers, your gum lining to become inflamed, and your mouth and tongue to develop a burning sensation.

You might have osteoporosis:

In a December 2012 study analysis of 17 studies, 11 showed a connection between those who have periodontal disease also having osteoporosis. The American Academy of Periodontology explains the link is probably thanks to the fact that osteoporosis exacerbates tooth loss by decreasing the density of the bone that supports the teeth, compromising the foundation on which the teeth live.

You might be at risk for lung cancer:

People with gum disease have an increased risk of developing lung cancer, according to June 2016 research. What's more, if you have periodontal disease and diabetes, the risk for lung cancer jumps even higher. Researchers aren't quite sure why — one of the studies within this analysis speculated oral bacteria might play a role in cancer cells developing in the lungs, while another suggests the treatment for periodontal disease may help reduce lung cancer risk.

You might have an eating disorder:

Yep, your dentist may be the first person to find out you have an eating disorder. Studies show that up to 89% of patients with bulimia show signs of tooth erosion from the bile acid passing by their teeth so often, according to the American Dental Association. Over time, this loss of tooth enamel can cause your teeth to change color, shape, length, sensitivity.

(09/12/2020)
by Rachael Schultz

More Information: https://www.goodhousekeeping.com/health/g4264/what-teeth-problems-say-about-your-health/


Views: 872
Share
Share

Dental bonding is an economical way to make your teeth look more uniform, whiter, or even straighter, with a simple, in-office, single-visit procedure

A beautiful smile has the power to send a positive message to those around you, conveying confidence, friendliness, or pure joy. But, if you feel less than confident about your smile, you may be less inclined to share it, and that can have a negative impact on your social and professional life.

Looking good with dental bonding:

The cosmetic dentistry technique of dental bonding is an economical way to make your teeth look more uniform, whiter, or even straighter, with a simple, in-office, single-visit procedure.

Through the use of a special, tooth-colored composite resin material, Dr. Eckford Jr. can sculpt and polish the bonding material directly to a single tooth, or several teeth, to improve the appearance of your smile. Dental bonding is a minimally invasive procedure, and you don’t typically need anesthesia.

Can dental bonding replace a missing tooth?

Dental bonding isn’t meant to replace a missing tooth, but it can repair a chipped or cracked tooth, and close small gaps between your teeth. You can replace a missing tooth with a dental implant — a surgical procedure — but dental bonding is an ideal nonsurgical option for minor cosmetic dentistry issues, including:

Broken teeth, Small cavities or areas of decay, Stained teeth, Root exposure, Small spaces between teeth.

Dr. Eckford Jr. expertly matches the resin material to your teeth, or he bumps up the shade if he’s bonding several teeth in a row, so you can have a brighter smile that very same day.

Dental bonding provides natural-looking results that can be altered if you choose a more permanent restoration down the road.

Minimally damaging tooth emanel:

Surprisingly, dental bonding requires only a minimal amount of preparation of your natural teeth, so damage to your tooth enamel is minimal. While veneers (a permanent cosmetic solution to dental problems) require Dr. Eckford Jr. to remove a significant amount of surface enamel from your teeth to make room for bonding to ceramic or porcelain, this is not the case with composite bonding.

To prepare your teeth for the composite material so it best adheres to your enamel, Dr. Eckford Jr. just slightly etches the surface of your teeth before he applies the bonding material.

How do I take care of mi dentally bonded teeth?

You brush and floss your bonded teeth just like you would your natural teeth. Over time, the resin used in the composite material can stain, just like your natural teeth, so it’s a good idea to avoid smoking, and stay away from large quantities of coffee, tea, red wine, or other dark-colored beverages, too.

If you take good care of your dental bonding, as well as your whole mouth, composite bonding should last up to 10 years or more.

Less money where your mouth is:

Dental bonding usually costs less than other cosmetic dental procedures since it uses resin, rather than more expensive materials like porcelain, which is commonly used for veneers. Additionally, veneers are custom-made in a dental lab, so the process takes more than a single visit. Dental bonding is something Dr. Eckford Jr. can do in one visit to help make your smile instantly more visually stunning.

If you have dental issues like gapped teeth, chipped teeth, or a single misshapen tooth that’s smaller than the ones next to it, and you’re looking for a simple solution that won’t break the bank, dental bonding may be the answer. The material is durable, easily molded and matched to adjacent teeth, and it’s ideal for correcting minor dental issues in a single visit.

(09/11/2020)
by Houston Precise Dental Care

More Information: https://www.houstonprecisedentalcare.com/what-is-dental-bonding-and-what-issues-can-it-correct/


Views: 1,443
Share
Share

Researchers at Trinity College Dublin have examined the sustainability of different models of the most commonly used oral health product, the toothbrush

Although the toothbrush is a widely recommended healthcare device worldwide, there is currently little quantitative data available for its impact on the planet. The research study, in collaboration with Eastman Dental Institute at University College London, is published in the British Dental Journal today (Tuesday, 15th September 2020). It represents the first time a life-cycle assessment (LCA) has been used to measure environmental consequences of a healthcare product.

Healthcare is a major emitter of environmental pollutants that adversely affect health, but awareness of these effects remains low both in the industry and in the general consumer population. There is currently little evidence or guidance regarding the sustainability of specific healthcare interventions, services or devices.

Researchers considered different manufacturing models of the toothbrush and measured the environmental impact (carbon footprint) and human health impact (DALYS) of the toothbrush. The electric toothbrush, the standard plastic brush, the plastic brush with replaceable head, and the bamboo brush were used. The team found that the electric toothbrush was comparatively harmful for planetary health.

The findings highlight the human health burden of the toothbrush manufacturing process. The electric toothbrush causes 10 hours of disability measured in Disability-Adjusted Life years or DALYS mainly for the people associated with the process of making and producing the devices. This is five times higher than a normal plastic brush.

The team found that the most environmentally sustainable toothbrush was not bamboo, as could perhaps be popularly believed, but a hypothetical continually recycled plastic toothbrush.

This simple comparative LCA showed that a plastic manual replaceable head toothbrush and bamboo manual toothbrush perform better than traditional plastic manual and electric toothbrushes in every environmental impact outcome measure used in this study. These results could be used to inform individual consumer choice, oral health recommendations, procurement of toothbrushes for public health programmes, and toothbrush manufacturers. Using LCA to inform healthcare policies and recommendations will help healthcare providers move towards a more environmentally sustainable system.

Dr Brett Duane, Associate Professor in Public Dental Health at Trinity College and lead researcher said:

" There are billions of toothbrushes used and discarded every year. Our research shows that electric toothbrushes are actually harmful for the planet and to the people involved in the manufacturing process and distribution. There is not a lot of evidence to show they are more effective unless you struggle to clean your teeth with a normal toothbrush. We have also shown bamboo toothbrushes are not the answer. Using them just stops land from being put to better use such as helping biodiversity, or in growing forests to offset carbon emissions.

The ideal toothbrush is one which uses plastic which is recycled in a continuous process. Plastic brushes which can be recycled don't take up a lot of land and they don't need lots of water to grow. The important thing here is to keep the plastic in the recycling chain. We need a system where plastic toothbrushes can be collected like batteries and then recycled into new products. If the plastic escapes the recycling chain, it needs to be able to be easily and naturally broken down into harmless products.

Manufacturers, consumers, health professionals, and health policy makers should consider environmental sustainability as well as money and people's health when recommending products. Governments and industry should consider how they could support recycling programmes. More funding is also required to support sustainability research in this area."

Life cycle assessment (LCA) is used to measure the environmental impact of different services or products. Also referred to as a cradle-to-grave analysis, LCA considers all aspects of a product along its life cycle, including raw materials, manufacture, use, transport, and disposal.

The four types of toothbrush used in this research were:

1. Plastic manual: plastic handle with fixed head.

2. Bamboo manual: bamboo handle with fixed head.

3. Plastic manual replaceable head: reusable plastic handle (made from a bio-plastic) with replaceable heads.

4. Electric: handle and charging unit, with replaceable heads.

(09/17/2020)
by Trinity College Dublin

More Information: https://www.sciencedaily.com/releases/2020/09/200916113456.htm


Views: 960
Share
Share

READY YOUR CHILD FOR THE NEW SCHOOL YEAR WITH A BACK-TO-SCHOOL ORAL TOOLKIT

With the summer of 2020 coming to a close, families have had to adapt to the coronavirus pandemic and conform with state and county regulations. Schooling has been one area where hard decisions have been made with new rules to keep others safe. Whether your child is attending classes in school or online, keeping their smile healthy is paramount no matter what else is going on around them.

Healthy Teeth, Healthy Smiles

School pictures are just one of the reasons why a great smile matters. You don’t want your child grimacing in photos because their teeth hurt! Likewise, if they feel good about their teeth, they will feel more confident to show it off.

Social distancing, wearing face masks, and frequent hand washing will likely keep your child focused and busy on top of their usual day-to-day school activities. Participation in sports, chorus or band practice, extracurricular activities, and social distancing with friends will also be a new arrangement for your children.

Keeping your child’s smile healthy will protect them from missing school from toothaches or other oral issues. If they haven’t already seen our dentist for their back-to-school dental cleanings and exams, now’s the time to catch them up. Addressing tooth problems early will lessen their discomfort, minimize treatment measures and cost less to treat.

Establishing a regular dental routine, no matter what their age, is necessary to keep out tooth decay and gum disease that could cause your child to miss school. Older kids will benefit from having a smile toolkit they can keep in their backpack, and younger kids will enjoy having easy rewards like a sticker chart near their toolkit to track and mark off daily. Preschoolers will also enjoy stepped up oral hygiene by singing two-minute songs with you as they brush. These daily dental habits can reward your children with healthier, happier smiles.

Back-To-School Toolkit

Don’t just fill their backpack with the normal school supplies like paper, notebooks, pens, and pencils; equip them with a smile toolkit for their dental health!

Always start with products carrying the American Dental Association (ADA) Seal of Acceptance to ensure the product has been tested and is deemed both safe and effective.

The new school year is a great time to replace their old toothbrush! Keep it gentle on their tooth enamel (and gums!) by making sure it has soft bristles, and the head is compact enough to maneuver in their mouth easily and comfortably. If your child hates brushing their teeth, consider getting an electric toothbrush that makes the job easy and effective.

Make sure they also have a dental flossing tool that they like using to clean those areas that a toothbrush might miss. Dental floss often comes in fun flavors appealing to children’s taste buds, and oral irrigators can help older children enjoy flossing more, especially if they are also wearing braces!

Supplying a fluoride toothpaste helps keep tooth enamel strong, and if your child is cavity-prone or has a hard time cleaning their teeth, adding a mouthwash can help remove some of the bad oral bacteria.

Don’t forget snacks! Replace sugary foods and drinks with more tooth-friendly options. Chopped crisp apples, raw carrots and celery can all help scrub plaque off their teeth. Even sugarless gum and mints can freshen breath while stimulating healthy saliva production.

If your child is active in sports, don’t forget to add a protective mouth guard to their toolkit. A well-fitting, customized sports guard can keep their teeth and gums safe from injury during physical activities.

Your child’s daily oral habits and routine dental cleanings and exams will go a long way to helping their mouth stay healthy and their smile more attractive. School pictures or not, a cavity-free, pain-free smile will keep your child focused on the tasks in front of them, including their schoolwork. Help them have the best school year yet by giving them the oral health tools their smile needs!

(09/14/2020)
by Dr. William D. Steinhauer

More Information: https://www.mybestdentists.com/area51/preview.php?idx=97595


Views: 2,965
Share