Dentists Journal

Top Ten Stories of the Week
10/15/2022

All Dentists Journal · Previous Week · This Week · All Time List · Headlines

Share

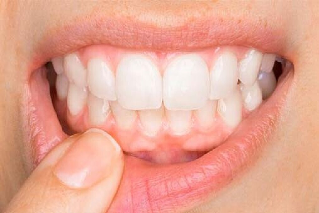
What To Do About Gum Swelling

“My gums are swollen; should I be worried?” That’s something probably everyone has asked at some point and time. Swollen gums are a common problem for many people, and different causes come into play. Most are not anything to worry about and are easily resolved with treatment. Here are some things good to know about swollen and irritated gums.

Signs of Gum Swelling

After brushing, flossing (which is also called interdental cleaning), or eating something crunchy or hard usually is when you'll notice gum swelling. Your gums may be red, inflamed, swollen, and tender. Frequent bad breath, mouth sores, and gum recession are also signs of gum swelling. You should chat with your dental professional if you have these symptoms often, if they've gone on for a while, or if things are getting worse. It might be a sign that something bigger is going on.

Causes of Gum Swelling

The leading cause of gum inflammation is plaque, also known as biofilm. Age, stress, obesity, tobacco, and genetics can increase your risk. Here are a few other common causes:

Gingivitis: The leading cause of swollen gums is gingivitis. Brush and floss well

Medications: If you've recently started a new one and are noticing gum issues, talk to your doctor. It could be a side effect from your medicine

Different toothpaste or mouthwash: If you've recently switched brands, you may be having a reaction

Poor Nutrition: Make sure to include fruits and vegetables in your diet. Also, vitamin C deficiency can cause inflamed gums if you're not getting your recommended daily dose

Pregnancy: Swollen, inflamed, and sensitive gums are common during pregnancy due to hormone changes

Fitted Dental Appliances: braces, retainers, and dentures are often associated with swollen or sore gums

Find Relief: Do's and Don'ts for Treating Swollen Gums

Here are some tips that may provide long term or temporary relief and a list of what not to do if you are suffering from swollen gums.

Do:

Make an appointment. Let your dental professionals know

Improve your oral hygiene. Brush and floss regularly

Eat better. Increase your fruit and veggie intake, and avoid sodas and caffeinated drinks for a while

Rinse your mouth with saltwater. Salt helps reduce swollen gums and eases the pain that comes with them too

Try anti-inflammatory medication. Over-the-counter medication such as ibuprofen can help reduce the swelling and provide pain relief

Eat cold foods. Eating soft, cold foods can help reduce the swelling and soothe your pain

Try benzocaine. If your swollen gums are making it hard to eat, drink, or talk, try using a benzocaine product

Don't:

Don't ignore the problem. If swelling persists, make an appointment with your dental professional

Stop using irritants. If a specific toothpaste or mouthwash irritates your mouth, don't use it. Note that mouthwashes with alcohol can also contribute to irritation

Don't use alcohol and tobacco. These products can irritate your gums and make swelling worse

Preventing Gum Swelling

Good oral care and keeping up with your routine dental visits are the best way to prevent gum swelling. You should brush and floss your teeth at least twice a day. Doing this after each meal is even better. This attention will help prevent plaque buildup that leads to gum issues. Even with excellent home oral care, plaque can harden and become tartar. That's why regular dental hygiene appointments and checkups are a must.

Swollen gums are no fun. More often than not, it's something you can take care of on your own. Once you find out what's causing your swollen gums, you can begin to treat it. Just make sure to talk with your dental professional about it if it's a chronic issue that's not getting better.

(10/09/2022)
by Colgate

More Information: https://www.colgate.com/en-us/oral-health/gum-disease/what-to-do-about-gum-swelling


Views: 597
Share
Share

Four Reasons Why You Should Consider Biomimetic/Tooth Conserving Dentistry

Biomimetic dentistry is a new approach to dental care that aims to mimic nature. It’s not just about creating beautiful smiles, it’s also about restoring the health of your mouth through better oral hygiene and preventing future problems like decay or gum disease. There are many reasons why you should consider biomimetic dentistry options for you and your family including:

REASON 1: Biomimetic dentists use materials and techniques that are less likely to cause irreversible damage. When you go to the dentist, they will often recommend a treatment plan. This could involve anything from filling cavities in your teeth with white or silver dental material to getting crowns and veneers for damaged tooth enamel. 

When biomimetic dentistry is used instead of traditional dentistry there is less need to file away healthy enamel and dentin.  We seek to remove the diseased parts of the tooth,  and this produces fewer irreversible long-term issues. Traditional amalgam fillings can result in potential fractures and discomfort,  potentially damaging the tooth long term. 

REASON 2: Biomimetic dentistry conserves healthy tooth structure and uses adhesive minimally invasive dentistry to rebuild the tooth to mimic its original state. Traditional techniques often cause teeth to weaken and break. While traditional methods might not always be noticeable, this damage can happen gradually over time so you may not experience discomfort immediately. However, with biomimetic dentistry,  we preserve the healthy part of the tooth,  and focus on removing diseased tooth structure,  potentially saving the tooth for longer and reinforcing the tooth.

REASON 3: Biomimetic restorations are an economical choice considering the benefits they offer. They require fewer repairs and therefore save on dental visits. It is more cost-effective than traditional restorations.

REASON 4: Biomimetic dentistry is a type of dentistry that has a high success rate.  Biomimetic dentistry is a method of repairing teeth by using tooth-colored materials,  sealing out decay-causing bacteria more effectively than traditional methods.  

 

Contact the Academy of Biomimetic Dentistry today to learn more about biomimetic dentistry.

(10/11/2022)
by Academy Of Biomimetic Dentistry

More Information: https://www.aobmd.org/4-reasons-why-you-should-consider-biomimetic-tooth-conserving-dentistry/


Views: 622
Share
Share

Is Fluoride Usage Good Or Bad For Your Teeth And Oral Health?

At a typical dental visit, your teeth will be thoroughly cleaned by a dental hygienist. When he or she is done removing any plaque and tartar, you may be asked if you want fluoride treatment, but what is that? Do the benefits outweigh any potential risks? As you continue reading, a dentist in far north Dallas explains what fluoride is and how it can help your teeth. Additionally, discover how to use it properly for a healthy and happy smile!

WHAT IS FLUORIDE?

Fluoride is an ionic compound that derives from the element fluorine. About 95% of the fluoride added to public water comes from phosphorite rock. The first discovery of a connection between fluoride and cavity prevention was in the early 1900’s, but it wasn’t until the 1960’s that municipalities started adding fluoride to their water supplies.

HOW FLUORIDATION WORKS

Fluoride helps to prevent cavities by binding to the tooth enamel, which is the hard-outer layer. It’s primarily made of hydroxyapatite, a crystal composed of calcium, phosphorous, hydrogen and oxygen. Through a chemical reaction, fluoride replaces the hydroxyl molecule on hydroxyapatite to make the tooth more resistant to the acids released by oral bacteria.

The discovery of fluoride has been a game changer for dental and overall health, as it helps to prevent decay. Untreated tooth decay can lead to tooth loss, gum disease and oral cancer. To make matters worse, a severe tooth infection doesn’t stop in the mouth. Over time, it can travel to other parts of the body to cause complex health issues.

THE CONTROVERSY WITH FLUORIDATION

There isn’t a consensus on the safety and effectiveness of fluoride consumption. The proponents tout the importance of the compound’s necessity for excellent dental health, while the opponents see its addition to public water supplies as intrusive. Groups like the Fluoride Action Network argue that the compound can contribute to negative health effects like bone fractures, thyroid disorders and impaired brain function. Unfortunately, this debate will likely carry on.

WHAT DENTISTS HAVE TO SAY

Because dentists are on the front lines and daily assessing patients’ dental health, they have a bird’s eye view on the matter. Most of them are champions of fluoride usage, as long as it’s applied safely. Thus, when you visit for preventive care, you’ll likely be offered fluoride treatment.

Here’s what you can expect:

Fluoride in the form of gel, foam or varnish

Application with a swab, brush or special tray that is held in the mouth for a few minutes

No food or beverage consumption for up to 30 minutes after the treatment is done

Based on the condition of your teeth, the dentist may recommend fluoride treatment every six to 12 months. By receiving professional care, you won’t have to worry about overexposure, which can lead to fluorosis (white spots on the teeth).

As an added measure of protection, you’ll find that most over-the-counter toothpastes contain an FDA (Food and Drug Administration) approved amount of fluoride to ensure safe and effective daily protection for your teeth. Through a combination of brushing and flossing and maintaining regular visits for checkups and cleanings, you can enjoy a healthy, strong and attractive smile for years to come!

 

(10/08/2022)
by Bear Creek Family Dentistry

More Information: https://www.bearcreekfamilydentistry.com/blog/2021/01/10/dentist-in-far-north-dallas-2/


Views: 557
Share
Share

How to Get Rid of a Dry Throat

It's an all too common human experience to roll out from under the covers and realise that your throat is dry. This annoying symptom can make it difficult to speak, swallow, or even eat. We're here to help you understand the most likely causes of a dry throat and what to do about it.

Dehydration

Did you know that you have hundreds of salivary glands that supply saliva to your mouth and throat? These glands rely on a steady supply of water to do their job. Dehydration can cause a lack of saliva production, along with a dry throat and dry mouth.

Saliva helps lubricate your throat and mouth, so it’s important to ensure your body can make enough of it to prevent a dry feeling. If dehydration is your problem, effective home remedies for dry throat might be as simple as finding ways to drink more water. To stimulate saliva production, considering chewing sugar-free gum or consuming dairy products.

Helpful tip: Hindustan Times reports that a normal healthy person needs about eight glasses (two litres) of water a day, which should go up in hot, sweaty weather and during vigorous activities, according to the Indian Council of Medical Research’s Dietary Guidelines for Indians. . . .

Allergies

Hay fever (also known as allergic rhinitis) occurs when your body is sensitive to particles entering through your airway, increasing mucus production and inflaming your nasal passages. This response can cause you to experience a range of symptoms, including a dry throat.

Allergens and irritants like pollen, dander, dust, and smoke are likely to trigger hay fever.

If you’re experiencing hay fever, your symptoms may include:

Dry throat or dry mouth

Cough

Congested or runny nose

Itchiness

Tiredness

It can be frustrating to deal with hay fever, but there are various steps you can take to prevent exposure and manage your symptoms.

Treatment and prevention tips include:

Medications: Both prescription and over-the-counter options are available to reduce some of the most annoying symptoms, like runny nose and dry throat. These options include antihistamines, decongestants, and other widely available options.

Air Conditioning: Avoid fans that can blow particles around in favour of air conditioning that can help remove them from the air.

Protect your eyes: Wear sunglasses to block particles from entering your eyes, and try not to rub your eyes to avoid aggravating them.

Keep a clean environment: Regular removal of potential irritants or allergens will help prevent episodes or reduce your symptoms.

The Common Cold

The common cold is, as the name suggests, incredibly common. The Times of India reports that the common cold is an infection that is caused by viruses, there are over 200 viruses that can cause cold and flu-like symptoms. .

Symptoms of the common cold may include:

Mucus in your throat

Itchy throat

Congested or runny nose

Fever

Soreness or tiredness

While there’s no cure for the common cold, there are many steps you can take to reduce its symptoms:

Drink plenty of fluids and get a lot of rest

Use over-the-counter medications as instructed on the packaging, like decongestants, cough medicine, antihistamines, or pain medication

Gargle with a mixture of salt dissolved in warm water

Did you know: Despite what you may have heard from friends and relatives, the common cold is not caused by exposure to cold or wetness.

Waking Up With Dry Throat

If you go to bed feeling fine but wake up with a bothersome dry throat, you might be breathing through your mouth while you sleep. This can be caused by a congested nose or throat, back sleeping, or another medical condition.

You may also find yourself with a dry throat in the morning if you experience sleep apnoea, a condition that disrupts your breathing and sleep. Sleep apnoea is a serious condition that can cause other health problems, so it’s a great idea to speak with your medical professional.

To prevent waking up to an annoying dry throat, it’s a good idea to drink a glass of water before bed to help prevent dehydration, avoid sleeping on your back if possible, and take steps to unclog your nose, so you don’t breathe out of your mouth.

There are many potential causes for your dry throat, so it’s your best bet to determine and treat its underlying cause. While it can be hard to do this on your own, luckily, there are medical professionals at your disposal to assist with expert diagnosis and treatment. You’re now informed of the top causes of your dry throat and ready to manage your symptoms.

(10/10/2022)
by Colgate

More Information: https://www.colgate.com/en-in/oral-health/mouth-and-teeth-anatomy/how-to-get-rid-of-a-dry-throat


Views: 655
Share
Share

Periodontal Therapy: How a Dentist Can Prevent Periodontal Disease

When you hear the term, “common disease,” you probably think of cancer or diabetes. But periodontal disease is more common than both of those. 

47 percent of adults aged 30 or older have periodontal disease. That includes 70 percent of adults aged 65 and older. 

Many people have periodontal disease and see no major problems. But it can cause pain, tooth decay, and gum irritation. If you suffer from it, you should get periodontal therapy right away. 

Yet many people delay treatment because they don’t know what a dentist can do for them. Understand how therapy works and you can have great teeth today. Here is your guide. 

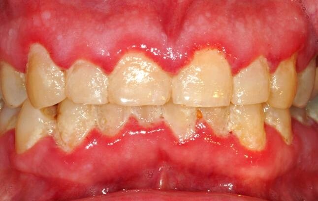
What Is Periodontal Disease? 

Periodontal disease is the disease of the gums. Bacteria gets on or in the gums, causing an inflammatory response in the tissue. 

The disease is progressive, occurring in four stages. In the first stage, plaque and tartar build on the teeth. Bacteria feed off of the plaque, which can eventually harden. 

In the second stage, gingivitis develops. The gums become red and swollen, but the plaque can be removed. 

In the third stage, periodontal disease sets in. The gums start to pull away from the teeth, forming small pockets. Plaque and bacteria settle into the pockets and reach to the roots of teeth. 

The fourth stage sees infection of supporting gums and tissues. The dental structure that supports teeth fails. Teeth can fall out and the jaws can become compromised. 

Symptoms of Periodontal Disease

It can be hard to notice periodontal disease in its earliest stages. You may not feel any pain at all. 

But you may notice that your gums are inflamed. They may appear red when you look at them in the mirror. They may feel swollen or tough to touch. 

When you brush or floss them, they may start to bleed. After you brush your teeth, you may notice that you have bad breath. This comes from bacteria remaining in your gums. 

In its advanced stages, you may notice your gums pulling away from your teeth. You may also see pus forming in the pockets. Your teeth may become loose or sensitive to the touch, especially when you drink a hot or cold beverage. 

If you notice advanced signs of periodontal disease, you should get treatment immediately. Bacteria is attacking the bone structures of your mouth. You need supervision in order to kill that bacteria. 

Causes

The main cause of the disease is plaque buildup. Plaque is a sticky and white film that forms on teeth. It is made of bacteria and other microbes surrounded by a layer of polymer. 

Plaque forms when bacteria interact with sugars and carbohydrates. It sticks to the teeth close to the gumline.

Tartar is a variant of plaque. It appears when plaque accumulates minerals and hardens together. Tartar can cause gum disease just as plaque on its own can.

Smoking can greatly exacerbate gum disease. It weakens the body’s immune system, making it harder to fight off a bacterial infection. Smoke can irritate the gums, causing worse inflammation. 

Some medications can trigger gum disease. Immunosuppressant pills diminish the immune system, allowing bacteria to spread in the mouth. Blood pressure drugs can swell the gums by dilating blood vessels. 

What Is Periodontal Therapy? 

Periodontal therapy treats the disease at its roots. One common procedure is deep dental cleaning. 

Regular cleaning removes plaque that has gathered on the surfaces of the teeth. It occurs entirely above the gum line. 

Deep cleaning reaches below the gumline. Doctors administer a local anesthetic so the gums are numb.

They remove tartar on the tooth surfaces, and then go into the roots of the teeth in a process called scaling. In root planing, they take out the infected tooth structure and smooth over the healthy roots. 

Deep cleaning takes place over multiple visits, each of which can take some time. But it prevents the decay and removal of teeth. A patient can take antibiotics in order to kill bacteria. 

Therapy is not for everyone. Bacteria can enter the bloodstream, causing dangerous infections elsewhere in the body. If the dentist believes a patient may suffer from this, they will not perform deep cleaning. 

Therapy does not produce a complete cure. A patient must go home and practice good dental hygiene. This keeps bacteria from forming and spreading. 

How You Can Help Your Periodontal Disease Treatment

You can help treat your periodontal disease with some basic steps. Practicing basic hygiene techniques is usually enough to stop any disease from occurring. 

Brush all of your teeth twice a day, for two minutes each time. Use circular strokes that cover all surfaces of each tooth. Put your brush at a 45-degree angle to all surfaces. 

You should also floss your teeth. Flossing removes plaque that is wedged between your teeth, especially in the corners of your mouth. Use waxed floss to glide between your teeth easier. 

Avoid eating and drinking sugary substances. When you do eat something sweet, brush your teeth afterward. Drink plenty of water to wash any sugar that is stuck in your mouth. 

Visit your dentist once every six months. If you notice any problems, report them. Through a routine appointment, a dentist can notice signs of gum disease.

Getting Expert Periodontal Therapy 

Periodontal disease is not a minor condition. Bacteria can build on top of your teeth, then slip inside your gums. With enough time, it can uproot your teeth. 

You may notice subtle symptoms like swelling and red gums. When you do, go to a dentist and get periodontal therapy. 

They may perform a deep cleaning, removing hard-to-reach plaque. You should accompany that cleaning with good brushing. Brush and floss every day and avoid sugary foods. 

(10/11/2022)
by Lexington Family Smiles

More Information: https://lexingtonfamilysmiles.com/periodontal-therapy-how-a-dentist-can-prevent-periodontal-disease/


Views: 628
Share
Share

What Is Veillonella?

The word "veillonella" has a lovely ring to it. Although it may evoke images of a sweet-smelling flower or beautiful rose bush, this term isn't a flower you grow in your garden. But it is part of your normal bodily flora and naturally occurs in your mouth. Oral flora is responsible for the periodontal (gum) disease and tooth decay that affects many people.

What Is Veillonella?

This common germ is a small cocci bacterium that is anaerobic – meaning it doesn't need oxygen to survive. In fact, it needs carbon dioxide to grow. If you were to look at it under a microscope, you'd see it is round in shape, appears in pairs, masses, or short chains, and doesn't move around very often.

Although there are around 200 types of bacteria that grow in your oral cavity, a study published in the Journal of Bacteriology found that Veillonella and Streptococcus bacteria work together in the early formation of plaque on your teeth. As these two bacteria colonize and grow, they lay a matrix that supports the growth of other varieties of bacteria that live in plaque.

How Does Veillonella Form?

Bacterial communities are not formed randomly. Believe it or not, they're quite selective. The way they develop supports the growth of many species of bacteria at once. Veillonella, for example, doesn't ferment dietary sugars like Streptococci. However, it does use the lactic acid produced by Streptococci's sugar fermentation to create its own. Essentially, Veillonella bacterium could not survive if it didn't coexist with Streptococci. In turn, other species of bacteria need the environment created by Veillonella and Streptococci to survive.

The problem for you? When your tooth enamel is exposed to these bacterial acids over a prolonged period, dental decay begins. Additionally, the acidic conditions caused by this bacterium underneath the gumline eventually destroy the teeth' supporting structures, which can lead to tooth loss if left untreated.

What Can You Do to Prevent Veillonella?

It can be discouraging to think that as soon as you're done with your oral hygiene routine, Veillonella and other disease-causing bacteria begin to rebuild their homes in your mouth. For this reason, your oral hygiene routine cannot be hit or miss. Regularly removing plaque from your teeth needs to be a priority to disrupt bacterial colonies before they can cause any harm. And while you can't eliminate them from your mouth (some bacteria are actually helpful), there are things you can do to keep your oral flora from getting out of hand:

Brush at least two times a day, and clean between your teeth at least once a day with floss, water flossers, or other interdental cleaners.

Replace your toothbrush regularly, at least every three months. Old worn brushes don't clean well and eventually harbor bacteria, which defeats the toothbrush's purpose.

Make sure to clean your tongue too. It is also the home of Veillonella and other related bacteria.

Don't "feed" the flora. Limit your intake of sugars and carbohydrates to cut down the number of times a day you expose your teeth to the acids that allow flora to build up and irritate the gums.

Schedule regular professional dental hygiene appointments (at least twice a year) to have plaque and tartar buildup removed, so bacterium doesn't become trapped underneath your gumline.

Most flora in your mouth is harmless to you unless they have the opportunity to organize and grow. Don't let these culprits make you a victim of bad breath, tooth decay, or gum disease. Keep a diligent oral care routine and remember: The only flora that needs feeding is in the garden outside.

(10/07/2022)
by Colgate

More Information: https://www.colgate.com/en-us/oral-health/plaque-and-tartar/what-is-veillonella


Views: 639
Share
Share

What To Do If You Have A Cracked Molar

What should you do if you or anyone in your family has a cracked molar? Doing things like biting into ice or hard candy, or having a tooth grinding habit, can lead to a cracked tooth. Your molars are particularly vulnerable to cracks because they absorb most of the force during chewing. There may or may not be noticeable symptoms, but make a dental appointment right away anyway. Your dentist can look at the molar and determine how minor or serious the crack is. A minor crack may only be a cosmetic issue, but serious fractures do require treatment.

Waiting for Your Appointment

There may be little or no pain associated with a cracked tooth. You may only notice pain when eating or when the molar is exposed to hot or cold liquids. Pay attention to where exactly any pain is coming from so you can tell your dentist. Try to avoid chewing on the side of your mouth that has the cracked molar. Biting can open the crack and irritate the soft tissue inside your tooth that contains nerves and blood vessels.

Minor Cracks in the Tooth

If the crack is minor and has only affected the hardened outer layer of your tooth, known as the enamel, then your dentist may not recommend any treatment. According to the American Association of Endodontists, these minor cracks are relatively common with adult teeth. They are known as craze lines. By simply polishing your tooth, your dentist can improve its appearance.

Treatment for a Cracked Molar

When a crack cuts through more than the enamel, then treatment is needed to prevent problems like an infection or a deeper fracture. Depending on how severe a crack is, your dentist may recommend a crown, a root canal, or removal of the tooth. In some cases filling material can be used to repair the crack and a crown can stop it from getting worse. If the soft tissue inside your tooth has been affected, then your doctor may recommend a root canal to remove damaged tissue. According the the American Dental Association, while a root canal is a more intense treatment than a crown, it can help to save your tooth in the case of a fracture that has affected the whole tooth. A final option is to have the molar removed. This is done when the tooth cannot be saved because the root of the tooth has been damaged.

Accidents, very hard foods, and even teeth grinding can lead to cracks or fractures. See your dentist right away to find out what can be done for your tooth.

(10/10/2022)
by Colgate
Views: 598
Share
Share

Are Oral Exams Really That Important?

While many people write off regularly getting an oral exam as an unnecessary precaution, the maintenance and health of your teeth depend greatly on it. Plenty of people believe that their teeth will remain healthy without the assistance of a dentist and that oral examinations are simply a redundancy. In reality, regular at-home maintenance of your oral hygiene is not enough to prevent oral degradation, and oral exams can greatly improve the longevity of your smile.

Why oral exams are important

Oral examinations do much more than help your teeth stay healthy, although helping your teeth stay healthy is a worthy enough cause on its own. Regular oral exams can provide you valuable information on your bite, the condition of your teeth and gums, and what you can do to keep your teeth healthier over time. Your dentist will also perform routine cleanings during an oral exam, helping to remove excess tartar and bacterial buildup that may impact the health of your teeth over time.

Oral exams can also uncover disease and non-oral health problems. Signs and symptoms of diabetes, lupus and even rheumatoid arthritis can show up in your mouth and can be an indicator of a more serious underlying condition. By visiting your dentist for regular oral exams, you may be able to stave off both oral health issues and gain better insight into your overall health and condition.

What to expect during an oral exam and how to prepare

Once you understand the importance of regular oral exams, you will no doubt wish to make an appointment.

For a standard oral exam, there are a few common things you can definitely expect. First, your dentist will evaluate your overall dental health, examining your teeth for signs of decay, damage or cavities. Your dentist will also examine your jaw, neck and head for signs of infection, disease, bite problems or irregular jaw movement.

Once you have been examined and the state of your teeth has been determined, your teeth will be cleaned. This is a chance for you to sit back and let a professional remove any buildup or tartar you might have. By cleaning, polishing, flossing and assessing your teeth, your dentist can both help you maintain a healthy mouth and give you tips for the best way to handle oral hygiene at home. Your dentist may recommend new products, better methods of cleaning or diet changes to keep your teeth feeling and looking amazing.

The bottom line

Once your oral exam is complete, your dentist will discuss the results with you. If your dentist believes you are at a higher risk for dental disease, they may recommend more frequent visits, or help you create a new at-home cleaning routine. Follow up visits, treatment recommendations and the scheduling of future procedures will all follow your visit, and you can now rely on your dental office to help you stay on top of your oral health.

(10/08/2022)
by Gables Exceptional Dentistry

More Information: https://www.gablesexceptionaldentistry.com/blog/are-oral-exams-really-that-important/


Views: 488
Share
Share

How to Preserve Your Teeth as You Age

Everyone knows that human bodies weaken over time, and teeth are no exception. Often taken for granted, teeth are very important for overall health and can become weak if they aren’t cared for properly. Continue reading to learn five ways to help you preserve your teeth as you age.

5 Tips to Preserve Your Teeth

Practice proper oral hygiene – Properly brushing and flossing between your teeth twice each day will help you fight tooth decay and periodontal disease which can lead to tooth loss.

Stay on top of professional treatment – Routine cleanings and oral health examinations will help maintain your oral health and catch any negative conditions that you may develop. Early intervention is the key to preserve your teeth and oral health, and you should also make a point of having any dental crowns or fillings replaced as needed.

Limit your consumption of acidic liquids – Heavy consumption of acidic drinks such as soda, alcohol, and juice contribute to tooth erosion and decay. Do your best to drink more water than flavored liquids, and rinse your mouth with water after you do drink soda or fruit juice.

Protect your teeth when you sleep – Many people suffer from deteriorating teeth as they age because of uncontrollable tooth grinding when they sleep. Your dentist will be able to notice if you have this problem quite easily and will suggest that you wear a special mouthguard while you sleep to protect your teeth.

Lead a healthy lifestyle – Routine exercise and following a healthy diet is important for overall health and can help you preserve your teeth by reducing your chances of developing diabetes, heart disease, or other conditions that can seriously harm gum health. Make a point of eating plenty of calcium-rich foods such as low-fat dairy products or cruciferous vegetables such as broccoli to keep your teeth and bones strong.

Talk to your dentist to learn about more ways to help preserve your teeth as you age.

(10/07/2022)
by David Davenport

More Information: N


Views: 575
Share
Share

Four Reasons Why You Should Visit A Cosmetic Dentist

A trip to the cosmetic dentist can be beneficial even if you are happy with the appearance of your smile. A cosmetic dentist is a dentist who spends most of their time fixing the appearance of teeth and gums. While cosmetic dentistry focuses on improving the aesthetics of teeth, improving the appearance of teeth often provides therapeutic benefits, as well.

4 Reasons why you should visit a cosmetic dentist

Here are some of the reasons why going to a cosmetic dentist is a good idea regardless of the condition of your teeth:

1. Provides documentation

Cosmetic dentists often take detailed digital images of their patient's teeth that serve as documentation if they end up becoming damaged. It makes it easier for the dentist to restore the patient's teeth to their original appearance if dental issues develop.

2. Preventative treatments

Cosmetic dentists also perform treatments that can keep your teeth free of problems that can negatively impact their appearance, like tooth decay. Treatments like teeth cleaning are performed regularly to keep teeth healthy, and the dentist gets to examine the patient's teeth while cleaning them. Any dental problems that are detected during routine visits can be treated immediately.

Teeth that appear to be vulnerable to tooth decay can be protected by applying a dental sealant.

3. Appropriate restorations

Designing oral restorations like crowns and veneers is a bit of an art form. While general dentists can design these restorations as well, they might not have the artistic vision needed to craft a prosthetic that looks natural and enhances the patient's smile.

For example, a cosmetic dentist is more likely to recommend tooth-colored fillings over metal fillings since the former lead to better aesthetics.

4. Spot teeth alignment issues

When a person's bite is not properly balanced, some of their teeth might have to deal with greater bite forces than they are designed to handle. This can lead to wear, tear and, eventually, breaks. Addressing the patient's teeth alignment issues can help to alleviate excess bite forces on them.

A cosmetic dentist can use oral appliances such as clear braces and clear aligners to treat teeth alignment problems. Doing so also helps to keep the patient's teeth healthy since straight teeth are easier to clean than crooked teeth.

Untreated bite issues can end up developing into a more serious condition known as a temporomandibular joint disorder. It can be quite uncomfortable to live with, and it damages teeth surfaces.

A cosmetic dentist performs all the treatments performed by a general dentist, and they have more experience performing treatments that improve the appearance of your smile. Thanks to modern dental technology, there is no such thing as a set of teeth that are "too bad" to be fixed by a cosmetic dentist.

(10/12/2022)
by Jorge Avarez DDS

More Information: N


Views: 638
Share