Dentists Journal

Top Ten Stories of the Week
12/24/2022

All Dentists Journal · Previous Week · This Week · All Time List · Headlines

Share

Can Receding Gums Grow Back?

If you’re experiencing shrinking gums or tooth sensitivity while brushing and flossing your teeth, it could be due to receding gums. Also called gum or gingival recession, receding gums can’t grow back, but there are ways to catch the problem early and prevent your gums from getting worse. This article will discuss the causes, symptoms, treatment and how to prevent receding gums.

What happens when gums recede?

Receding gums are best avoided for several good reasons. Gum recession can lead to tooth sensitivity and even affect your smile, but that’s not all. Your gums (or gingiva) are critical in protecting the bone that holds your teeth in place. If the gums begin to shrink away, tooth roots can be exposed. Tooth roots can be more easily worn away than enamel covered surfaces and are susceptible to decay.

Symptoms of gum recession

Gum recession can occur without any symptoms, so again, keeping up with your routine dental appointments is critical. Your dental professional will notice early signs, but if you do get gingival recession symptoms, the most common ones include:

Exposed tooth roots that cause sensitivity

Shrunken gums

Causes of gum recession

Gingival recession can be caused by various issues. Here are some of the most common ones:

Poor oral health: When bacteria in plaque (biofilm) builds between the gums and teeth, the gums surrounding the teeth can become inflamed. This inflammation, if left untreated, can result in deterioration of the gums and supporting bone structure. This then leads to gum recession and periodontal disease, a severe gum infection.

Overly aggressive brushing or flossing: It’s great to be enthusiastic about oral care, but make sure you’re gently brushing your teeth and not scrubbing too hard. Over-brushing can wear down the gum and cause damage and recession

Genetics: Sometimes dental issues are partly out of our control. If either of your parents has gingival recession, you may be at higher risk.

Abnormal tooth positioning: Having poorly aligned teeth or a misaligned bite can create undue friction on the area, causing localised gum recession.

Grinding and clenching your teeth: Also called bruxism, this habit can cause many dental issues, including gum recession. Like abnormal tooth positioning, the extra force exerted can wear down your gums due to tooth movement.

Hormonal changes: Women can go through several stages of dramatic hormone fluctuations in their lifetime, such as puberty, pregnancy, and menopause. Unfortunately, these natural life phases can make a woman more susceptible to gum disease and recession.

Trauma to gum tissue: Gum tissue may recede when a traumatic injury has occurred. Recession can appear at the site of the damage or close to it.

Tobacco: Smoking and tobacco use increases your risk of receding gums by increasing the likelihood of numerous dental issues - for several reasons. These include reducing saliva flow, which allows for more plaque to build up - and weakening the immune system, which slows down the tissue repair process.

Treatment options for receding gums

Many people wonder, 'can receding gums grow back?' But as we've mentioned, this isn't possible. Once your gum tissue has pulled back and away from your teeth, it’s gone for good. However, there are some options for managing gum recession, so see your dental professional for an evaluation to determine the cause of this problem. After an assessment, they can recommend the best course of treatment for your needs.

A dental professional may treat early signs of gum disease by performing a deep cleaning (aka root planing and scaling). This procedure cleans bacteria from the pockets between the gums and teeth, removing infection and giving the gums the chance to heal.

If you have a progressive, noticeable gum recession and are experiencing sensitivity, or you’re not happy with the appearance of your gums, your dentist may recommend a gum graft to replace the lost tissue. Gum grafting is a surgical procedure; it usually involves taking a small amount of tissue from one area, e.g., roof of the mouth, then transferring it to the area in need. This treatment is not possible for all areas of recession. Your dentist will be able to advise if this is an option for you.

Preventing further recession

Your dental professional can also teach you how to prevent further gum recession. They can recommend mitigation strategies, like adopting new oral care habits or quitting smoking. Alternatively, they could suggest wearing a mouthguard at night to protect your teeth when you grind or clench.

Good oral care habits can also prevent gingival recession. Always use a soft-bristled toothbrush and proper brushing techniques to help protect your teeth and gums. Although good oral care won’t correct your current gum recession, it is part of an oral hygiene program that can mitigate the chances of it worsening. And if receding gums are due to other concerns, such as crooked teeth or a misaligned bite, talk to your dental professional about solving this issue to help slow or stop the problem. For example, if your teeth are out of alignment, orthodontics could be the solution.

No one likes an oral health issue to take them by surprise. But while you can’t reverse receding gums, there are many ways to manage them or prevent them from becoming worse. Rest assured, your dental professional can recommend treatment based on the cause. So speak to your dental professional if you have any concerns – and keep up with your excellent oral care routine.

(12/22/2022)
by Colgate

More Information: https://www.colgate.com.au/oral-health/gum-disease/can-receding-gums-grow-back


Views: 566
Share
Share

Six Ways to Make Your Brushing Count

Dentists recommend brushing your teeth regularly, usually 3 times a day or after each meal, but how do you make sure that you’re brushing with the proper technique and tools to make the most of your brushing? Here are 6 ways to make your brushing count.

1. Technique is Key

It’s equally important to brush properly as it is to brush regularly, so how do you make your brushing count? Use the correct amount of toothpaste, usually a pea-sized amount is sufficient for most adults and children. Aim the toothbrush at a 45 degree angle to the gumline. Use gentle circular motions as well as up and down and side to side motions when brushing. Make sure that you brush all the quadrants of your mouth and all the surfaces of your teeth. Focus specifically on cleaning the teeth on the top and bottom and both the left and right sides of your mouth as well as the front and back sides of each section of teeth.

2. Use a Timer

Dentists typically recommend brushing for 2 minutes each time you brush your teeth. It can be difficult to estimate how long this is, so it may be helpful to set a timer for 2 minutes to encourage thoroughness. Some electric toothbrushes come with built in timers which may be helpful as a reminder and so that you always have the timer with you when you brush your teeth. If you want to make it fun, brush your teeth to your favorite song, as most pop songs are about 2 minutes long.

3. Use a Soft Bristled Toothbrush

It’s important to select the right toothbrush to make your brushing count. Look for a soft bristled toothbrush so that it will be gentle on your gums and tooth enamel. Also, make sure to use a toothbrush that is approved by the American Dental Association (ADA) to ensure that it is both safe and effective.

4. Choose the Right Toothpaste

There are many options available for toothpaste, ranging from different flavors to match your tastes to different active ingredients to meet your specific needs. To make your brushing count, it’s important to choose the right toothpaste for you. First of all, look for one that is approved by the ADA and that includes fluoride in the ingredients as fluoride is known to help strengthen your teeth. Then look for other features that might help you meet your oral hygiene goals, for example to help with sensitivity, fighting tartar or whitening.

5. Don’t Forget to Floss!

Flossing is an important companion to brushing. If you’re not flossing, you may be missing up to 40% of the surface area of your teeth. Flossing can help make your brushing count because it can help to keep the surface area of your teeth clean and free of plaque and debris which is important to helping you fight tooth decay and cavities.

6. Regular Professional Cleanings

Regular professional cleanings are also an important and crucial compliment to brushing at home because a dental hygienist can help to scrape off tartar build up and stains that brushing alone cannot remove. A professional cleaning may also reach areas that are difficult to reach on your own where build up is common and cavities are prone to form, giving you both a head start on your dental care regimen and helping to make all your effort with brushing worth it in the fight to stay cavity free and keep your smile bright and healthy.

(12/16/2022)
by Dixon Family Dental

More Information: N


Views: 526
Share
Share

The How And Why Of Tongue Cleaning

How do you keep your smile looking and feeling its best? While daily brushing and flossing are a key part of maintaining great oral health, they don’t clean a large part of your mouth: your tongue! You may not realize it, but this important group of muscles collects just as much plaque and bacteria over the day as your pearly whites. Read on as your Carlsbad dentist explains why you should be cleaning your tongue every day as well as how to do it properly.

A HEALTHY TONGUE & HAPPY SMILE

Although your tongue looks smooth, it’s actually covered in small bumps called papillae. The grooves between these bumps easily trap plaque, bacteria, food particles, and dead skin cells, which are then held in place by a thin layer of mucus. Not only will brushing or scraping away all this embedded debris make your mouth feel fresher, but it can also:

Prevent bad breath: As the trapped particles begin to decay, they release volatile sulfur compounds that cause bad breath. Recent studies indicate that cleaning your tongue can remove up to 75% of these stinky compounds.

Reduce oral bacteria: While your mouth is naturally full of oral bacteria, too much of it can cause issues for your health. It’s important to clear away excess bacteria from your tongue to keep it from causing oral infections or spreading to other parts of your body, like your lungs.

Lower risk of tooth decay and gum disease: The plaque and bacteria on your tongue may also be redeposited onto your teeth or gums, which can lead to increased chances of developing tooth decay and gum disease.

TONGUE CLEANING TECHNIQUES

Thankfully, there are several easy ways to clean your tongue. One of the most popular is with the use of a dental device called a tongue scraper. To use it, place it on your tongue at the back of your mouth and gently pull forward, scraping off the mucus and its contents. Once the scraper has reached the tip of your tongue, rinse it off and scrape the next section.

If you prefer, you can also clean your tongue with the same toothbrush you use for your teeth. After brushing, gently massage your tongue with your dampened toothbrush. Start on the back of your tongue and slowly work your way forward with small, circular strokes to dislodge the particles. When you’ve finished brushing the entire surface of your tongue, don’t forget to rinse off your toothbrush!

Brushing or scraping your tongue regularly is an important part of keeping your mouth healthy. This extra step in your dental routine is a great way to keep your smile clean and fresh.

(12/20/2022)
by Polished General Dentistry

More Information: https://www.carlsbaddentistry.com/blog/2020/03/11/the-how-why-of-cleaning-your-tongue/


Views: 576
Share
Share

How To Deal With A Toothache Until You See A Dentist

Sudden toothaches can be a source of stress and anxiety. You might not know how to find the right dentist or what to do until you get there.

Toothaches can be excruciating. When your teeth hurt, it’s hard to concentrate on anything else. You feel like you are going to lose your mind if you don’t find relief soon. 

A toothache is best treated by finding out the cause of the pain and then treating it accordingly. It could be that there’s an infection or something more serious going on with one of your teeth, so make sure that you see a dentist as soon as possible. 

A toothache is experienced when inflammation in the central area causes pain in the nerve endings.  Tooth decay is the most common cause of toothaches. If it’s not treated fast enough, it could lead to an abscess. Other common causes of toothaches are:

sensitive teeth

cracked tooth

impacted tooth (usually a wisdom tooth)

abscessed teeth

dental trauma

A sore tooth is usually an indication that there is something wrong with your teeth or gums. However, in some cases, a toothache can be referred pain, meaning that another problem in the body caused it.

Over-The-Counter Toothache Relief

You should be able to get some toothache relief from the drugstore while you’re waiting for your dentist appointment. Here’s a list of over-the-counter products that you can use to treat your toothache and help reduce dental pain and inflammation:

NSAIDs: NSAIDs, or non-steroidal anti-inflammatory drugs, are potent drugs that can help you temporarily manage your oral pain. Naproxen (Aleve) or ibuprofen (Motrin, Advil) target inflammation and can give you some relief from tooth pain. Aspirin may help reduce jaw pain in adults (aspirin is not recommended for children under 16 years old). Make sure to swallow aspirin instead of putting it directly on your teeth or gums. This folk remedy is ineffective and can damage the inside lining of your mouth. Remember that NSAIDs may irritate or damage the stomach and other organs in your body if taken over a long period, so take them in moderation.

Acetaminophen: If you can't take NSAIDs for some reason, acetaminophen (Tylenol) is a good alternative for temporary toothache pain relief.Dentists recommend this medication for children. For the correct dosage and instructions on how much to take, make sure that you read the label carefully. If taken too often or in high doses, it can also damage your liver.

Drops and Gels:Topical medications like benzocaine gels and drops can soothe a painful tooth but should be used sparingly. Never use more than the recommended dose of this numbing agent and never apply it to children under two years old. Store these products away from young kids to prevent accidental ingestion or overdose.

Home Remedies For Toothache

Try these toothache home remedies for temporary relief of a toothache:

Clove Oil: Clove oil is often used as ahome remedy for toothaches. It has antiseptic properties that help reduce pain and inflammation. Use a cotton ball soaked in a mixture of olive oil and clove oil. Place the soaked cotton swab on the affected area and let it sit for 5 to 10 minutes. Alternatively, you can use clove oil as a mouthwash by combining a drop of clove oil with a glass of water, then rinsing your mouth thoroughly. Clove oil is generally safe but is not recommended for children.

Saltwater Rinse: Using salt to fight against pain is something that has been done for centuries. Saltwater can help loosen debris between your teeth and act as a disinfectant while reducing gum inflammation. Add one teaspoon of salt to a glass of lukewarm water and mix well. Gargle with the saltwater solution for 30 seconds and then spit it out.

Hydrogen Peroxide Rinse: Hydrogen peroxide is a potentially beneficial ingredient in many over-the-counter remedies for tooth sensitivity. You can reduce inflammation and pain by rinsing your mouth with hydrogen peroxide diluted in water. Start by using a 3% concentration of hydrogen peroxide and mix 1 part hydrogen peroxide with two parts water. Then swish it around inside your mouth for about 60 seconds before spitting out the mixture (do not swallow). Rinse your mouth off with water.

Garlic: Crushed garlic may help kill some of the bacteria associated with toothaches. Allicin is created when garlic cloves are crushed, chewed, or chopped and can fight off harmful bacteria in your mouth that causes infection. To use this remedy, gently chew on a peeled garlic clove or crush garlic to make a paste and apply directly onto the affected area.

Peppermint Tea: Peppermint tea may alleviate pain and fight bacteria in your mouth. Hold a cooled down, warm peppermint tea bag against the painful area of your mouth for a soothing effect.

Aloe Vera: Aloe vera is a medicinal plant that can help reduce inflammation and fight infections in your mouth. Aloe vera gel has been proven to improve symptoms of periodontitis, the most severe gum disease. Use an aloe-infused mouth rinse daily for 30 seconds or so twice per day to further enhance results.

Ice Packs: Ice reduces pain by constricting blood vessels, so it can be helpful when treating swelling of the face or injuries to the mouth. Hold a towel-wrapped ice pack against your face or jaw in 15-minute intervals every few hours until you are no longer experiencing discomfort.

When Should You Visit A Dentist For Toothache?

Making a dental appointment with your dentist is the most critical step in addressing sudden tooth pain. If you have any of these symptoms, contact them immediately:

constant tooth pain 

fever

red gums or persistent mouth sores

swollen or bleeding gums

sensitive teetha

a cracked tooth or a filling

a bad taste in the mouth

facial or mouth swelling

Final Thoughts

 

If you’re experiencing a toothache, it’s essential to see a dentist as soon as possible. Many factors can lead to toothaches, such as dental decay or gum disease. They should never be ignored because the pain will only worsen. Our dentists will be able to provide toothache treatment and recommend an appropriate course of action. The sooner you seek dental treatment for your toothache, the better chance you have of relieving some of that discomfort before it gets out of hand.

(12/17/2022)
by Narre Warren Dental Care

More Information: https://narrewarrendentalcare.com.au/how-to-deal-with-a-toothache-until-you-see-a-dentist/


Views: 532
Share
Share

What is Tartar? Seven Things Every Patient Should Know

We often hear the words “plaque” and “tartar buildup” in the same sentence. We know they’re bad for your teeth and it is best to avoid them. However, sometimes it isn’t always clear what they are and what the difference is between them, so you may not be aware of the particular dangers of tartar to your oral health. If you’re hoping to take good care of your teeth, here are eight things that you should know about tartar.

1. Over time, your plaque becomes tartar.

You’ve probably heard that removing plaque from your teeth is important. This colorless, sticky film of bacteria hides on your teeth and is very difficult to see. Luckily, with a solid brushing routine, plaque can be removed. If it isn’t, however, it becomes tartar—the calcified substance that attaches to your teeth along the gum line.

2. Everyone has plaque, but tartar is another story.

Having plaque on your teeth is completely normal. As we eat and breathe, bacteria form in the mouth and create this substance. However, it is only when we fail to remove plaque that it turns into tartar. This is when oral health and cosmetic issues begin to take hold.

3. If you have tartar buildup, you can probably see it!

Unlike plaque, tartar is very easy to see—it is actually porous and therefore can hold stains from things like coffee or tobacco products and make them harder to get rid of. If you’re wondering if you have tartar on your teeth, look for a brown or yellow deposit along the gum line.

4. Tartar has a big impact on your health.

Tartar can definitely have a negative impact on your oral health. As it builds along your gum line, it can cause irritation. This may progress to gingivitis—the earliest phase of gum disease. Then, over time, pockets may form between the teeth and gums, which can become infected and turn into periodontitis. Gum disease, if left untreated, can lead to all kinds of health issues including heart disease, stroke, respiratory illness, and even complications with pregnancy.

5. Your diet could be having an effect on your tartar buildup.

If your diet is heavy in starchy and sugary foods, you just might be contributing to your tartar buildup. The bacteria in plaque feast on these foods and, in return, release acids that attack the enamel of your teeth. For this reason, you’ll want to be careful about eating a healthy, well-balanced diet so as to limit your intake of plaque-friendly foods. This way, you can manage your plaque and make sure it doesn’t turn into tartar over time.

6. You can easily prevent tartar buildup!

The good news is: tartar buildup is easy to prevent. Brushing twice a day and after meals will help remove plaque before it causes damage. Be sure to get those hard-to-reach places behind your teeth and around your molars. Electric toothbrushes and tartar-control toothpaste are particularly helpful. Also, don’t forget to floss! Flossing helps remove plaque in between the teeth where the plaque loves to hide. Rinse daily with an antiseptic mouthwash to kill the harmful bacteria as well. Finally, be certain to avoid the use of tobacco products. Studies have shown that smokers are much more likely to have tartar buildup.

7. If you have tartar buildup, Caputo Dental can help!

Unfortunately, once tartar sets in, you won’t be able to remove it yourself. Only a dentist or dental hygienist can remove tartar buildup by using the scaling method, in which we use special instruments specifically for the purpose of removing tartar from your teeth below the gum line.

(12/18/2022)
by Caputo Dental

More Information: https://paulcaputodds.com/tartar-7-things-every-patient-know/


Views: 483
Share
Share

Is the Sore on Your Tongue Serious?

A sore on your tongue is a nuisance. Causes can include the foods you eat, certain medications, broken teeth and some diseases. You can look for certain signs to determine when a sore requires a visit to a dental or medical professional.

Mouth Ulcers

Traumatic ulcers are small to large sores found inside the mouth and they appear after trauma to the gums, roof of the mouth, cheeks or tongue. According to Victoria State Government Department of Health Betterhealth Channel, if you bite the inside of your cheek, you may develop a mouth ulcer. Broken teeth, spicy and acidic foods and a burnt tongue may lead to mouth ulcers. Make sure you're getting enough B-12, folate, zinc and iron because mouth ulcers may develop more readily when you lack these nutrients. This type of sore on your tongue typically goes away on its own within 2 weeks.

Oral Lichen Planus

Lichen planus is an inflammatory skin condition and those with the condition will most likely experience symptoms on the legs and arms. Lichen planus has the potential to affect your mouth as well, according to Australasian College of Dermatologists. In fact, you may develop a patch on your tongue or cheek area and this may feel tender. It looks like white streaks on your tongue or cheeks and can include red and white patches. The cause of lichen planus is unknown but an allergic reaction or autoimmune response may be factors. Visit a dentist for diagnosis and for treatment if required.

Consult with a Health Care Professional

Consult with a health care provider if the sore lasts longer than 2 weeks or if you experience other symptoms in addition to the sore. According to the Medical Journal of Australia, a persistent white sore could indicate a more serious condition.

(12/19/2022)
by Colgate

More Information: https://www.colgate.com.au/oral-health/mouth-sores-and-infections/is-the-sore-on-your-tongue-serious-0214


Views: 432
Share
Share

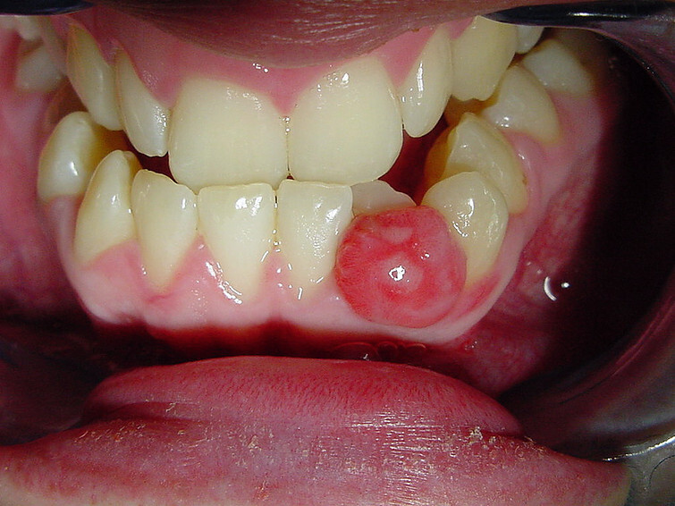
What Is a Mouth Cyst?

A mouth cyst is a thin, fluid-filled sac on the inside of your mouth. Also known as a mucous cyst or mucocele, the sac will often burst and heal by itself, says Better Health Channel, Victoria. Feeling a bump inside your mouth may annoy you, though.

These cysts commonly occur on the inside of the lips but can also form on your tongue, palate, the inside of the cheeks, the floor of the mouth or around piercings on the tongue. The mucocele sac may be pink or deep blue in colour, or it may be clear if it contains clear fluid. Your dentist can usually diagnose a mucous cyst just by examining it in your mouth.

Causes

According to Better Health Channel, Victoria, the mucous cyst may be caused by lip biting. It may also develop as a result of a damaged or blocked salivary gland.

Mouth cyst treatment

According to Dental Health Services Victoria, superficial mucoceles usually burst and heal within three to six weeks; however, if the mucous cyst enlarges, it is important to see a dentist or dental specialist so they can evaluate the cyst and then discuss which treatment options are best for you.

Dental Health Services Victoria says that sometimes your dentist or an oral surgeon will recommend to surgically remove the cyst. Complications of surgery are very rare and include the standard risks of surgery, such as infection or an adverse reaction to the local anaesthesia. Always talk to your dental professional about your treatment options and make sure you understand the risks. Your oral health is a part of your overall health.

(12/19/2022)
by Colgate

More Information: https://www.colgate.com.au/oral-health/mouth-sores-and-infections/what-is-a-mouth-cyst-0716


Views: 590
Share
Share

How to Get Rid of a Dry Throat

It's an all too common human experience to roll out from under the covers and realise that your throat is dry. This annoying symptom can make it difficult to speak, swallow, or even eat. We're here to help you understand the most likely causes of a dry throat and what to do about it.

Dehydration

Did you know that you have hundreds of salivary glands that supply saliva to your mouth and throat? These glands rely on a steady supply of water to do their job. Dehydration can cause a lack of saliva production, along with a dry throat and dry mouth.

Saliva helps lubricate your throat and mouth, so it’s important to ensure your body can make enough of it to prevent a dry feeling. If dehydration is your problem, effective home remedies for dry throat might be as simple as finding ways to drink more water. To stimulate saliva production, considering chewing sugar-free gum or consuming dairy products.

Helpful tip: Hindustan Times reports that a normal healthy person needs about eight glasses (two litres) of water a day, which should go up in hot, sweaty weather and during vigorous activities, according to the Indian Council of Medical Research’s Dietary Guidelines for Indians. . . .

Allergies

Hay fever (also known as allergic rhinitis) occurs when your body is sensitive to particles entering through your airway, increasing mucus production and inflaming your nasal passages. This response can cause you to experience a range of symptoms, including a dry throat.

Allergens and irritants like pollen, dander, dust, and smoke are likely to trigger hay fever.

If you’re experiencing hay fever, your symptoms may include:

Dry throat or dry mouth

Cough

Congested or runny nose

Itchiness

Tiredness

It can be frustrating to deal with hay fever, but there are various steps you can take to prevent exposure and manage your symptoms.

Treatment and prevention tips include:

Medications: Both prescription and over-the-counter options are available to reduce some of the most annoying symptoms, like runny nose and dry throat. These options include antihistamines, decongestants, and other widely available options.

Air Conditioning: Avoid fans that can blow particles around in favour of air conditioning that can help remove them from the air.

Protect your eyes: Wear sunglasses to block particles from entering your eyes, and try not to rub your eyes to avoid aggravating them.

Keep a clean environment: Regular removal of potential irritants or allergens will help prevent episodes or reduce your symptoms.

The Common Cold

The common cold is, as the name suggests, incredibly common. The Times of India reports that the common cold is an infection that is caused by viruses, there are over 200 viruses that can cause cold and flu-like symptoms. .

Symptoms of the common cold may include:

Mucus in your throat

Itchy throat

Congested or runny nose

Fever

Soreness or tiredness

While there’s no cure for the common cold, there are many steps you can take to reduce its symptoms:

Drink plenty of fluids and get a lot of rest

Use over-the-counter medications as instructed on the packaging, like decongestants, cough medicine, antihistamines, or pain medication

Gargle with a mixture of salt dissolved in warm water

Did you know: Despite what you may have heard from friends and relatives, the common cold is not caused by exposure to cold or wetness.

Waking Up With Dry Throat

If you go to bed feeling fine but wake up with a bothersome dry throat, you might be breathing through your mouth while you sleep. This can be caused by a congested nose or throat, back sleeping, or another medical condition.

You may also find yourself with a dry throat in the morning if you experience sleep apnoea, a condition that disrupts your breathing and sleep. Sleep apnoea is a serious condition that can cause other health problems, so it’s a great idea to speak with your medical professional.

To prevent waking up to an annoying dry throat, it’s a good idea to drink a glass of water before bed to help prevent dehydration, avoid sleeping on your back if possible, and take steps to unclog your nose, so you don’t breathe out of your mouth.

There are many potential causes for your dry throat, so it’s your best bet to determine and treat its underlying cause. While it can be hard to do this on your own, luckily, there are medical professionals at your disposal to assist with expert diagnosis and treatment. You’re now informed of the top causes of your dry throat and ready to manage your symptoms.

(12/16/2022)
by Colgate

More Information: https://www.colgate.com/en-in/oral-health/mouth-and-teeth-anatomy/how-to-get-rid-of-a-dry-throat


Views: 468
Share
Share

Your Bad Breath could Signify a Problem

Do you suddenly notice that you have chronic bad breath? Are you constantly at the store looking for a better mouthwash? You might be searching needlessly as no amount of mouthwash is going to help certain conditions. Sometimes bad breath, also known as halitosis, is caused by certain oral health conditions that need to be addressed right away before they become worse. There are two factors that play a role in your bad breath - extrinsic and intrinsic; let's take a look at both.

Extrinsic Reasons for Bad Breath

Extrinsic reasons for bad breath are caused by your dietary and lifestyle habits. If you consume odorous foods, such as onions and garlic for example, you will have bad breath. In addition, if you smoke or chew tobacco, you will likely have bad breath. These are controllable factors. If you stop these habits, chances are your breath will become more pleasant. This is not a serious problem, except for the fact that you are smoking or chewing tobacco, which bring up other oral health issues, giving you more reasons to quit.

Intrinsic Reasons for Bad Breath

Intrinsic reasons, on the other hand, are not controllable by you. They are caused by underlying oral health issues and are usually a sign of a serious issue. Sometimes it could mean tooth decay while other times it could be advanced periodontal disease or an infection in your mouth. This issues need to be addressed by our office as no amount of changing your habits will help these issues go away - they need to be treated by a professional.

How you can Control Bad Breath

So what can you do to minimize your bad breath? It starts with keeping up with your regular dental checkups. When you come in twice a year, we are able to evaluate your mouth for any signs of impending oral health issues as well as those that already exist. This means that we can catch the problems early and elicit the proper treatment right away. Tooth decay that is caught early might need a simple filling, while gum disease when it is caught in its earliest stages can be cured, allowing you to save your breath and your teeth! In addition, here are a few other ways you can help your breath:

•  Keep proper oral hygiene habits - Brush your teeth at least twice a day and floss at least once. This eliminates food debris that could not only cause bad breath now, but tooth decay and gum disease down the road, which would further your bad breath.•  Drink water - Keeping up with your water consumption will help to wash away the bacteria in your mouth which minimizes the risk of tooth decay and gum disease. It also helps to fight extrinsic bad breath when you consume odorous foods or when you smoke.•  Chew sugarless gum - When you cannot get to your toothbrush for a while, try chewing sugarless gum that is approved by the ADA. This helps to promote saliva production, which helps to keep the bacteria and food debris away from your teeth, resulting in better breath and oral health.

Bad breath can be embarrassing as well as threatening to your health. Rather than just riding it out, come in and find out what is causing it. If we do not find any oral health reasons for your bad breath, we will help you figure out how to minimize it, based on your diet and lifestyle habits. It is important for you to get to the bottom of the reasons to ensure that you are not putting your oral health at risk.

(12/21/2022)
by Myers Dental

More Information: https://www.myersdental.com/blog/your-bad-breath-could-signify-a-problem


Views: 499
Share
Share

How to Be Ready for Your Next Dental Checkup

When it comes to oral health, a dental checkup is as important as anything. If it has been a while since you saw the dentist, you may not realize what to expect at this visit. It can be helpful to be prepared so you can feel comfortable and at ease. Being ready will also help you get the most out of this appointment. There are some key steps you can take to ensure that this is a positive experience.

A few things to keep in mind

Going to the dentist for a dental checkup is not something a person should do when it seems convenient or when the patient feels as though there is a problem. This visit should occur at least every six months. From the time a person starts getting teeth, regular checkups are essential. The visit should not take more than an hour.

The appointment will include X-rays and thorough teeth cleaning. The hygienist will thoroughly clean the gums as well. Some offices do a fluoride treatment. The dentist will also examine the patient to identify any concerning conditions such as decay, tooth damage, gum disease, or oral cancer.

Brush and floss frequently and properly

No one wants to feel embarrassed going in for a dental checkup. A person who never brushes or flosses might feel this way once the dentist looks into their mouth. Make sure to brush at least twice a day with fluoride-based toothpaste, hitting all surfaces of each tooth. Flossing should occur daily. Committing to these habits will help the patient to feel good about the visit and makes things go much more smoothly in the dental chair.

Do not hold back on discussing concerns

A dental checkup is the right time to bring up any oral health problems or concerns. Patients should not be scared of discussing matters such as tooth pain, bleeding gums, or sensitivity. The dentist can usually spot these problems during the exam. However, talking about them beforehand makes it much less difficult for the dentist to diagnose. The dentist can also be prepared to talk to the person about appropriate treatments.

Become familiar with the office

Choosing a new dentist can be scary. Patients should have peace of mind when they go in for a dental checkup. One of the most effective ways to do this is to read online reviews or talk to other patients who have been to the provider before. New patients may even be able to go in and meet the staff before the scheduled appointment.

Have insurance ready

Most dental offices will accept a wide range of dental insurance plans. Patients should make sure the practice accepts their insurance. Be familiar with the coverage level and whether there will be a copay. Most plans cover a dental checkup at 100%.

Your dental checkup can be a positive experience

It is normal to feel nervous about visiting the dentist. Many people have anxiety about these appointments. But if you follow these steps, you can feel good about seeing the dentist. Schedule your appointment today.

(12/17/2022)
by Thanasas Family Dental Care

More Information: https://www.thanasasdds.com/blog/how-to-be-ready-for-your-next-dental-checkup/


Views: 490
Share