Dentists Journal

Top Ten Stories of the Week
1/14/2023

All Dentists Journal · Previous Week · This Week · All Time List · Headlines

Share

Four Reasons Why You Should Brush Your Tongue Everyday

Have you ever asked yourself ‘Why do I have a white coating on my tongue’? If this sounds familiar, you also may have wondered why does your tongue feel fuzzy sometimes. The answer for all these symptoms could be on the tip of your tongue – sorry we couldn’t resist! Be honest: are you forgetting to clean and brush your tongue?

You’ve done your homework – brushed twice per day, flossed regularly and even used that expensive mouthwash a couple of times. The surface of your teeth might be squeaky-clean, but not your tongue. Residues can start to build up day after day, and this is the perfect place for thousands of harmful bacteria multiply.

By neglecting your tongue during your cleaning routine, you could be prone to…

1.- Tonsil Stones

The tongue is the perfect highway for food particles and dead bacteria to travel to the back of your throat and build up in the folds of the tonsils. Over time, these residues can calcify and harden into stones, leaving a foul taste in your mouth. Tonsil Stones also lead to bad breath, the most common problem associated with not brushing your tongue. Yikes!

2.- Gum Disease

Keeping your gums healthy is really important. Poor oral health increases the risk of heart disease, diabetes, osteoporosis, dementia and erectile dysfunction, for example.

3.- Reduced sense of taste

Remember the white coating that we mention at the beginning of this article? This is also called biofilm, a layer of bacteria that stick together on the surface of the tongue. “The presence of food waste can be constant, and plaque bacteria will grow”, explains Rozelle Owens. If undisturbed, this layer becomes thick enough to cover up your taste buds, decreasing your sense of taste and not allowing you to enjoy the food.

4.- Candida (Oral Thrush)

This medical condition is caused by a yeast-shaped fungus called Candida albicans, which is very common and present in the mouth & digestive tract of most of us. Usually, our body keeps this type of bacteria under control, but if the balance of your immune system is affected for some reason, it can result in an overgrowth of the Candida fungus. Good oral hygiene is a crucial part of treating oral thrush.

Scary stuff, isn’t it? Let’s talk about solutions.

Can I use my toothbrush to clean my tongue?

Yes, although some people prefer to use tongue scrapers or even a teaspoon to get rid of the debris. There are many choices when it comes to the health and maintenance of your tongue. Be gentle and careful. Don’t use a lot of pressure when cleaning it to not to hurt yourself.

Our final tip: drink plenty of water and try to gargle with a salty mouthwash. It creates an alkaline environment in which bacteria struggle to survive or breed for a while. To make a salty mouthwash: put one to two teaspoons of salt in a cup of warm water.

Cleaning your tongue is not hard and should take you no longer than a couple of seconds. Repeat this process daily for a few weeks to see the difference in the freshness of your mouth.

(01/06/2023)
by City dentist

More Information: https://www.citydentist.ie/kids-and-parents-appointments/


Views: 593
Share
Share

Know When to Change Your Toothbrush and How Often You Should Do It

You’ve probably heard the phrase, “the pen is mightier than the sword.” You might also want to believe that the toothbrush is mightier than the drill. That’s because if you properly wield your toothbrush, you can use it as a powerful weapon against tooth decay and gum disease. But like any tool, if you want it to work well, you need to take care of it.

That’s why you need to replace your toothbrush frequently to maintain proper oral hygiene.

It’s not a good sign if you don’t remember the last time you replaced your toothbrush. Don’t worry, we’re not here to call you out on that; we’re here to help you. In fact, you’ll probably ditch your toothbrush immediately after reading this article!

Change your toothbrush every 3 months

We recommend replacing your toothbrush every three to four months as toothbrushes can become worn out over time and when the bristles bend and fray, they become less effective at cleaning your teeth.

If you find that you often forget to replace your toothbrush on time, try putting a reminder in your personal calendar every quarter of the year to buy a new one.

Remember to always buy soft-bristled toothbrushes as those with hard or medium bristles can damage your enamel, making your teeth more vulnerable to tooth decay.

Know what the signs are to change

You may not be aware of this but toothbrushes can actually show you when it is time to change them. The most obvious sign you will see is that the bristles have started fraying and splaying outwards instead of standing up straight.

Sometimes the frayed bristles could be caused by you brushing your teeth too hard. If your brush’s bristles fray too soon after you’ve just bought them, it may be a sign that you’re using a little too much force when cleaning your teeth.

Avoid doing so as it can damage your teeth or cause sensitivity. The key is how thorough you are when brushing your teeth, not how hard you brush.

Know when to change your toothbrush

Switching to a new toothbrush every three to four months is a general recommendation, as individual factors may require you to do so more often.

For example, if you have braces, the bristles of your toothbrush may become frayed more quickly and therefore need a replacement more often. In fact, children’s toothbrushes will need to be replaced even more often than toothbrushes used by adults.

In some circumstances, you may even need to replace your toothbrush even if the bristles are not visibly frayed. If you have come down with a cold or flu, or have had a mouth or throat infection, sore throat, or a mouth sore, you should replace your toothbrush even if it’s new. This can help to prevent re-exposing yourself or others in your home to germs that could cause an illness.

If changing toothbrushes too often is not something you see yourself doing, there are some things you can do to help your toothbrush last a bit longer:

Rinse your toothbrush vigorously under cold running water after each use to remove any excess toothpaste and debris

Store toothbrushes upright, in the open, and not touching one another so they have a chance to dry between uses

Use a plastic case to protect the bristles when you travel

Never share your toothbrush with anyone else

Alternatively, you can soak your toothbrush in alcohol to kill the germs. Mouthwash is also an antiseptic so it works as a “toothbrush soak”. So does a solution of half water and half hydrogen peroxide. If chemicals aren’t your thing, it is fine to dip it in boiling water for about five to ten seconds.

(01/06/2023)
by Arius Deltal Group

More Information: https://blog.artiusdental.com/index.php/2019/04/26/know-when-to-change-your-toothbrush-and-how-often-you-should-do-it/


Views: 479
Share
Share

Are Bony Growths in Your Mouth a Cause for Concern?

If you're experiencing abnormal bone growth in your mouth, you have what's called an exostosis. The term sounds a little frightening, but don't worry – in most cases, these growths aren't a cause for any concern. There are rare circumstances when exostoses have interfered with oral function or denture placement and have required surgery, but that is not the norm. Most often, by practising good oral hygiene, your mouth can be as healthy as if you had no exostoses at all. But make no bones about it, we'll give you all the info you need on the types, causes, and potential issues with exostoses to ensure your oral health keeps you smiling.

What Are the Types and Causes of Exostoses in the Mouth?

The type of exostosis you have depends on its location in your mouth. The most commonly occurring bone growths are found in the mouth's roof (torus palatinus) and beneath the tongue (torus mandibularus). Buccal exostoses are hard bony protrusions on the outside of your gums and are less common. Torus palatinus is often a singular growth, whereas torus mandibularus and buccal exostoses tend to be bilateral, meaning they happen on both sides of the mouth.

There is no known cause (etiology) of bone growing out of gums, the mouth's roof, or under the tongue. According to an article published in the Journal of International Oral Health, some causes could include genetic factors, environmental factors, excessive chewing (masticatory hyperfunction), teeth grinding (bruxism), and continued jawbone growth. Growths usually appear in the late teens or early adulthood, and tend to increase in size over time. It's common for people to have exostoses in their mouths for years before they even notice them.

How Your Dental Professional Will Diagnose an Exostosis

Most often, your dental professional will diagnose you with an exostosis during a regular check-up. If they notice thickened or protruding bone during their structural assessment, they will likely take a photo or measure the structure to document any growth that occurs over time.

Health Concerns for Exostoses in your Mouth

Exostoses are considered a variation of normal, and most often, they pose no health concern at all. Occasionally they can develop some adverse effects, especially if they become large enough to interfere with the functioning of your mouth. For instance, a torus mandibularus can make it difficult to speak properly if it grows to a certain size. Another potential issue is that the tissue covering bone growths is very thin and could get scratched or injured from sharp food, resulting in ulcer formation. Also, if you have missing teeth and are considering dentures, all types of exostosis can potentially interfere with the placement of your artificial teeth. Some people may want a growth removed due to aesthetic concerns.

Treatment for Exostosis in your Mouth

If your exostosis is one of the rare growths in which treatment is recommended, it can be removed in a dental professional's office – usually by an oral surgeon. Using local anaesthesia (numbing the specific area around a surgical operation), the surgeon will make an incision and lift the soft tissue away to expose the overgrowth. The surgeon will then trim the bone using a high-speed dental tool (or with new developments in technology, possibly a dental laser. They will then suture the tissue back in place.

How to Practise Good Oral Hygiene With an Exostosis

As always, practise good oral hygiene by brushing at least twice a day. Floss or clean between your teeth with interdental brushes or water flossers at least once a day, and use antimicrobial mouthwashes and tongue scrapers. Be sure to see your dental professional for regular cleanings – not only to keep your teeth pearly white and germ-free, but also to have them check on the health and size of any hard bony lumps on your gums. Be diligent in checking for and removing any food particles that may get stuck between your growth and your gums, and ask your dentist if they have any specific recommendations for your needs.

While your exostosis may have seemed at first like a cause for alarm, hopefully you now know that they tend to be completely harmless. If you're unsure whether or not growth under the tissue in your mouth is bone, then it's worth having a professional take a look right away to ensure it's not something more problematic. But chances are, with an excellent oral hygiene routine and regular checkups, you're going to be all smiles.

Issues and Treatment for Exostosis Mouth

Although these growths are benign, occasionally they can cause problems, especially if they become large enough to interfere with functions of the mouth. If very large, TM can inhibit proper speaking, and all types of exostosis can interfere with denture placement. Additionally, the mucosa covering them is very thin and prone to scratches and injuries from sharp food, sometimes resulting in ulcer formation from the trauma.

In the rare instance where treatment is recommended, the exostosis can be removed in a dental specialist's office, usually by an oral surgeon. Under local anaesthesia, the surgeon will make an incision and lift the soft tissue away to expose the overgrowth of bone. Typically, the bone is trimmed using a high-speed dental hand piece, and the tissue is sutured back in place. Advances in dental lasers and their ability to penetrate hard tissues have shown promise for a more efficient and less invasive option.

Exostosis mouth is very rarely a concern for the dentist or patient. Treatment is only necessary when the nodules interfere with the normal functions of the mouth or become an aesthetic concern for the patient. Do you have bony bumps in your mouth? To keep the rest of your mouth healthy, brush twice daily with a toothpaste that repairs early teeth and gum damage. Also schedule regular dental visits. Your dentist and dental hygienist can detect oral problems early and suggest the best treatments for you.

(01/07/2023)
by Colgate

More Information: N


Views: 552
Share
Share

What’s the Best Way to Brush Your Teeth?

Just seeing two (or more) different dentists in a short time period can lead to patients being confused on what the best way to take care of their teeth is. While one dentist may recommend adding a third brushing into your day, another dentist may tell you that you’re over brushing.

So what is the best way to brush your teeth and how do you know who to trust when it comes to your oral hygiene routine?

Finding YOUR Ideal Oral Hygiene Habits

Every patients mouth is unique, and in trade, requires a specific hygiene regimen to keep up with their mouth’s specific needs. For a healthy mouth and smile we recommend:

Asking Your Dentist

Your dentist should be someone that you trust to help in taking care of your teeth. If you don’t trust your dentist and their advice, it’s time to find a new dentist! Ask about what they recommend for your unique teeth and discuss the areas where they see plaque buildup during your next cleaning. Areas with plaque buildup are an easy tell of where you need to spend more time cleaning.

Use The Right Tools

The type of toothbrush you use is a personal choice. While some patients swear by an electric toothbrush, some prefer the simplicity of a manual toothbrush. Regardless of the type, always use a soft-bristled toothbrush to clean your teeth and replace your toothbrush every three months, or sooner if your bristles begin to fray. A worn toothbrush can cause damage to your teeth.

Don’t Skip The Floss

Flossing your teeth daily is the best way to achieve a complete clean of your mouth. Your toothbrush isn’t able to reach all areas of your mouth easily, and plaque can easily form between your teeth, leading to cavities.

Proper Brushing Technique

Proper brushing takes at least two full minutes, and most adults fall short of the two minute mark when it comes to brushing their teeth. To properly brush your teeth:

Place your toothbrush at a 45-degree angle to the gums

Sweep or roll the brush away from the gumline – never brushing up!

Gently move the brush back and forth in short, tooth-wide strokes

Brush the outer surfaces, inner surfaces, and the chewing surfaces of your teeth

To clean the inside surfaces of the front teeth, tilt the brush vertically and make several up-and-down strokes

Gently brush your tongue to remove bacteria and freshen breath

How Important Is The Type Of Toothpaste I Use?

It is important to use a toothpaste that’s a great fit for you and your smile. There are many varieties of toothpaste designed for many conditions patients often experience, including being prone to cavities, gingivitis, tartar, stained teeth and teeth with high sensitivity. If you’re struggling with finding the best toothpaste for you and your mouth, ask us what we recommend for you at your next appointment.

When Brushing Isn’t Enough

Building a well-rounded diet to stay tooth-healthy is just as important in taking care of your teeth as brushing them is. A healthy diet sets the stage for success throughout your entire body. The healthier you’re eating, the less plaque and buildup there will be to remove from your teeth when you go to clean them.

For a healthy smile, Try incorporating these foods into your diet:

Cheese

Yogurt

Raw fruits and vegetables

Leafy greens

Eggs

Water

Do What Feels Right

Your comfort matters when it comes to the condition of your teeth, and Dr. Baudean is here to help! The easier it is for you to clean your teeth, the more likely you are to stay on track and avoid tooth decay. Find dental tools that you enjoy using such as an electric toothbrush and waterpik to make your oral hygiene a little more fun. Schedule an appointment today and ask us for a recommendation on how your brushing technique measures up.

(01/08/2023)
by Aubrey Baudean, DDS
Views: 583
Share
Share

Tongue Brush Vs. Toothbrush: Which Is Better?

Are you wondering about how to take the best care of your tongue? Well, just by asking, you're on the right track. Cleaning your tongue is an important part of your oral care. And using a toothbrush to brush your tongue isn't the only option for taking care of your tongue. A tongue brush or tongue scraper may provide a more thorough clean than most toothbrushes when it comes to the tongue. As you read on, we'll look at tongue cleaning in general and why it's different than brushing your teeth. Then we'll look into the benefits of tongue brushes and tongue scrapers.

Tongue Cleaning

Cleaning your tongue helps eliminate oral bacteria accumulating on the tongue's surface, mostly toward the back. Certain bacteria on the back of the tongue interact with amino acids from food and produce smelly sulfur compounds that give you bad breath. One study says that although tongue cleaning reduces this odor, tongue cleaning combined with a rinse is even more effective.

Tongue vs. Enamel

Due to the differences between the tongue's surface and tooth enamel, toothbrushes may not clean the tongue as thoroughly as you'd like them to. The tongue's surface may feel soft against your teeth, but it is quite rough and covered with tiny crevices, making it easy for bacteria to hide. The first job of toothbrushes isn't handling these little spaces; it's to clean the hard, smooth surface of tooth enamel and reach into much larger grooves.

Tongue Brush vs. Tongue Scraper

Tongue brushes and tongue scrapers penetrate the tiny fissures on the tongue and clean out harmful deposits. Tongue brushes look like your toothbrush but have a wide surface that brushes the surface of the tongue. Tongue scrapers, on the other hand, curve to fit the natural shape of your tongue and are either plastic or metal. According to a recent study, tongue cleaners, in general, reduce the number of bacteria on the tongue. And the plastic tongue scraper in this study was the most effective in removing the bacteria. However, more research needs to be done to determine which tool is the best for cleaning the tongue.

If you want to try cleaning your tongue with a tongue brush or scraper, make sure you rinse them with clean water before and after using it. To clean your tongue, dab a small amount of toothpaste on your tongue brush. Begin at the back tongue and work your way forward, using gentle circular motions with the brush or smoothly dragging your scraper. Once you've cleaned your tongue's surface, rinse your tongue. Make sure to avoid pressing too hard with the tongue brush or scraper. You don't want to make your tongue bleed or feel sore in any way. That's not the goal.

Now you know all about cleaning your tongue. Of course, you can brush your tongue with a toothbrush. But a tongue brush or scraper can help you refine this practice and keep your tongue as clean as possible. Remember to be gentle when you clean your tongue. If you want to start cleaning your tongue, try a brush or scraper today. Or ask your dentist what they recommend.

(01/09/2023)
by Colgate

More Information: N


Views: 451
Share
Share

Six Reasons Why You're Never Too Busy To Brush

Picture this: it’s late, you’ve come home from post-work drinks with colleagues, stopped for a kebab on the way, and all you want to do is crawl into bed as soon as you get inside. So, you decide not to journey to the bathroom and skip brushing your teeth for the night.

Or, you’re on your way out to an appointment after a quick breakfast, knowing you won’t return home until late in the day. You’re running behind and might miss the bus – there’s no time to brush your teeth this morning.

Sound familiar?

We're encouraging busy Queenslanders to make oral health a priority. There are a number of good reasons to make brushing your teeth a must, read on to find out why a twice-daily brush should always be on your schedule.

1. Tooth decay

There are few times that decay in your body is a good thing, and tooth decay is no exception.

Tooth decay is a preventable disease that happens when bacteria in the plaque on your teeth create acid out of sugar and carbohydrates in food and drink. The acid attacks the tooth’s surface, eventually leading to holes, or cavities, in the teeth.

2. Stinky breath

Ever worried that your breath smells? If you haven’t been looking after your teeth, you might have reason to.

Bad breath can be embarrassing, but it can also be a sign of poor oral health. Most commonly, bad breath is caused by the bacteria in your mouth breaking down old food and dead skin cells left on your teeth, gums and tongue. While these bacteria are naturally occurring, if you don’t brush regularly the bacteria can build in number with a constant supply of food left in your mouth.

3. Gum disease

Gum disease is inflammation of the gums caused by a build-up of plaque and calcified plaque (called calculus), and it’s exactly as unpleasant as it sounds.

Inflammation just in the gums is called gingivitis, which causes the gums to become red, swollen and tender, and bleed when you brush or floss. Gingivitis can be reversed, but you’ll want to get onto it quickly, because if left untreated it can turn into the much more severe periodontitis, which causes bone around the teeth to be destroyed.

Even though it can be painless as it develops, periodontitis can destroy the connection between your tooth and jaw bone, causing space in the gums where bacteria can collect, and possible permanent bone loss and tooth loss.

4. Infections

Tooth decay and gum disease can both lead to infection in the mouth, which can be very bad news.

An infection around the root of the tooth or gum can cause the gum to swell and pus to develop, creating pus-filled pockets called abscesses. Oral infections can spread to cause serious infections in the jaw bones and tissue surrounding the mouth. In some instances, tooth and gum infections can even cause death.

5. Overall wellbeing

Don’t be fooled, oral health is not just about your teeth and gums. The bacteria in plaque and calculus not only cause inflammation in the gums, but cause inflammation in other parts of the body as well. That’s why poor oral health is linked to cardiovascular disease and diabetes-related complications.

6. Look who’s learning

If you’re a parent or grandparent of young kids, you've probably spent at least a few minutes at night trying to wrangle your young ones into brushing before bed. But why would children see tooth brushing as important if the adults in their lives don’t lead the way?

Studies show that the oral health of a child is linked to how well their mum looks after their teeth during and after pregnancy. This is because parents can pass on bacteria (both the helpful kind, and the kind that cause decay) to newborn babies, as well as teaching them how to look after their teeth well once they’re born. How well the older generations of a family look after their oral health can have a big impact on the oral health of kids for their whole lives.

Top tips for healthy teeth (and gums and tongues)

Have we convinced you to up your oral health game? Follow these tips to keep your pearly whites clean and healthy:

brush twice a day with fluoride toothpaste

visit the dentist regularly

don’t smoke

limit your sugar intake – remember many packaged foods that appear healthy may have added sugars

look out for acids that are hidden in “healthy” drinks – diet soft drinks and sports drinks contain strong acids that can dissolve the enamel in teeth

drink plenty of tap water

chew sugar-free gum

and choose healthy snacks like fruits, cheese and vegetables.

(01/10/2023)
by Queensland Health

More Information: https://www.health.qld.gov.au/news-events/news/brush-your-teeth


Views: 571
Share
Share

Waxed or Unwaxed Dental Floss - How They Differ

Everyone wants a pretty smile, but you don't hop out of bed to a set of pearly whites without the care and dedication your teeth need on a daily basis. In addition to brushing, flossing should be an integral part of this care if it isn't already. But with several types of floss to choose from, you're probably wondering which is the best for your mouth. Waxed and unwaxed dental floss are two of the most common types, and they both have their merits.

Flossing

As important as it is to floss your teeth, it's equally important to make sure you're flossing correctly. No matter which type you use, here are some pointers:

Use a strand that measures just over the length of your arm (it'll shorten as you wrap the ends)

Loosely wrap six inches of it around your middle finger while holding it in place with your thumb

Use your thumb and index finger from your free hand to straighten the floss between both hands

Ease the floss between each tooth with a delicate back-and-forth motion

Be careful not to snap the floss through the seam of both teeth, as you can damage your gums this way. The IDA advises gently curving the floss around the base of each tooth. Use a sliding motion to scrape the floss gently underneath the gums before moving on. Curl the used portion of floss around your middle finger as you move from tooth to tooth, too. This keeps you from putting germs back into your mouth and reinforces your grip as you progress from one end of your jaw to the other.

How Both Types Differ

Floss typically comes in two types: nylon (multifilament) or Polytetrafluoroethylene (PTFE) – which is a monofilament. In the case of nylon floss, you can find both waxed and unwaxed.Research by the Journal of Periodontology, recently reported by The Guardian, found that 79 percent of those surveyed preferred waxed floss compared to 21 percent for unwaxed after using both types on the same areas (front and back) in their mouths. The biggest complaint associated with waxed floss, however, was that the wax made it seem too thick. Those who preferred unwaxed floss did so because it was thinner (and therefore easier to use) than the waxed. But waxed floss has its own benefits, suggests The Huffington Post, in that it helps ease the floss between your teeth so you don't hurt yourself.

Despite the preference for waxed floss, an even earlier study drew the conclusion that there is no significant difference between the two. According to the Indian Dental Association, dental floss may be flavored or unflavored and waxed or unwaxed. The waxed and flavoured varieties of flossing thread are easier to use and give a greater feeling of freshness. Proper flossing removes plaque and food particles in places where a toothbrush cannot reach- under the gum-line and between the teeth. Daily flossing is recommended because plaque build-up can lead to tooth decay and gum disease . It stimulates gums, polishes tooth surfaces, reduces gum bleeding and prevents gum disease.

For Braces, Used Waxed Dental Floss

Having braces isn't an excuse to neglect flossing, and it's important to teach your children that. Nonetheless, it is more difficult. Waxed floss incorporated into a "floss threader" is the best way to floss with braces. This combination helps the braces-wearer get between each tooth despite the wiring that inhibits his or her reach. Unwaxed dental floss is much more likely to catch on the braces and result in the floss shredding.

Ensuring you have good oral care is an important aspect of your overall health. Flossing, whether you use a waxed or unwaxed product, is one of the two keys to a solid mouth health routine, next to brushing with a toothpaste recommended by your dentist. So be sure to floss daily, extracting food particles stuck in those hard-to-reach spots that a toothbrush can't penetrate. Don't forget your dental check-up at least twice a year. Remember your dentist is the most well-suited to assess whether your brushing and flossing is doing its job.

(01/07/2023)
by Colgate

More Information: https://www.colgate.com/en-in/oral-health/brushing-and-flossing/waxed-or-unwaxed-dental-floss


Views: 479
Share
Share

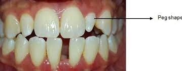
Understanding Pegged Teeth

Many conditions can affect the size and shape of your teeth. When your teeth are smaller, this is sometimes called pegged teeth. You might be wondering, what are the causes of peg-shaped teeth? What can I do to change their appearance? We’re here to help you understand this condition, its causes, and what you can do about it.

What Are Pegged Teeth?

Pegged teeth (also known as peg teeth or microdontia) refers to those with a cone-shaped appearance that are significantly smaller than typical teeth. This condition typically affects one or both of your lateral incisors, which are found on the sides of your two front teeth in the top and bottom rows. It’s rare to have this condition affect all of your teeth.

Types of pegged teeth include:

Partial microdontia: Refers to only some of your teeth having a small size.

Generalized microdontia: Refers to all of your teeth having a small size.

Relative microdontia: Refers to average-sized teeth appearing to be small relative to those with a large jawbone.

It’s important to keep in mind that pegged teeth is a distinct condition from those who have a primary (baby) tooth that never fell out due to a missing permanent (adult) tooth. Pegged teeth are those which come in smaller than your other adult teeth or smaller than average adult teeth. For this reason, it can be hard to recognize pegged teeth in children, so it’s a great idea to check in with your dental professional if you’re concerned about your child’s teeth.

What Causes Pegged Teeth?

Because pegged teeth refer to their appearance and not an exact underlying condition, they have various distinct causes.

Causes of pegged teeth may include:

Inherited genetic traits from your parents

Ectodermal dysplasia

Williams syndrome

Hutchinson’s teeth from congenital syphilis

Genetic disorders

Developmental and congenital issues

It’s important to consult your dental professional for their expert insight on this condition, as it’s difficult to determine the underlying cause on your own. They can help ensure that your pegged tooth doesn’t indicate that you are at risk of other related health concerns.

Treatment Methods

Fortunately, a pegged tooth often does not present any health concerns or symptoms. Many are interested in treating a pegged tooth (or teeth) cosmetically to improve their appearance and confidence. Rest assured that no two smiles are exactly alike, and there is no such thing as a “normal smile.”

However, there are various options available to help change the appearance of pegged teeth. The right choice for you will depend on your needs, health history, symptoms, and your dental professional's expert recommendation.

Options to restore or replace pegged teeth may include:

Crowns

Veneers

Bridges

Bonding and reshaping

Keep in mind that pegged teeth often do not cause any symptoms, so your choice to seek treatment will often rely on your desired cosmetic outcome. Because there are various underlying causes of this condition, it’s important to check in with your dental professional to avoid other oral health problems and confront any issues early on. You’ve done a great job educating yourself on pegged teeth and what you can do about them.

(01/11/2023)
by Colgate

More Information: https://www.colgate.com/en-us/oral-health/kids-oral-care/understanding-pegged-teeth


Views: 667
Share
Share

What Is Supragingival Calculus?

Your dental professional has probably told you about bacteria and plaque and their effects on your oral health. But do you know about supragingival calculus? Read on to learn what supragingival calculus is and how establishing a good oral care routine can prevent bacteria buildup in the mouth.

Calculus vs. Plaque

According to the American Dental Association (ADA), calculus forms when sticky plaque on the teeth is not removed and is left to harden. Once it hardens, the calculus — also called tartar — sticks to the tooth like a barnacle to a boat. The American Academy of Periodontology notes that while dental plaque can be removed at home, calculus must be removed by a dental professional, as it strongly adheres to the tooth surface.

A review in the International Journal of Dental and Health Sciences (IJDHS) explains that plaque can form on any surfaces inside the mouth where nutrients are available to feed the bacteria. As colonies of bacteria (called biofilm) develop in the mouth, they collect the minerals found in your saliva and in the foods you eat. These minerals, which include calcium and phosphorous, stick to the biofilm and harden with it over time, creating a rock-like adhesion on the tooth called calculus or tartar.

Types of Calculus

According to the IJDHS review, there are two types of dental calculus: supragingival and subgingival. The difference between the two types is the location of the calculus relative to the edge of the gum tissue.

If you think of the edge of the gums like a shirt sleeve and imagine the tooth is like your hand in the sleeve, you can get a better image of this classification. The parts of your hand and wrist that extend visibly outside the sleeve would be considered supragingival (above the gumline), whereas anything unseen below the sleeve would be considered subgingival (below the gumline). Calculus above the gumline can appear whitish or yellowish in color.

Removing Supragingival Calculus

While your dentist and dental hygienist can typically detect supragingival calculus visually, dental professionals also receive extensive training using equipment other than their eyes. One such example, according to the IJDHS review, is an instrument known as a dental explorer, which helps the dental professional feel and remove calculus. A scaler is another common handheld instrument used to remove calculus above the gumline, as a review in the Saudi Dental Journal notes. In addition to these, new technologies — such as ultrasonic and laser tools — have also emerged to help dentists and hygienists detect and remove calculus.

It's important to remove calculus as soon as it's detected to prevent further bacteria buildup and retain gum health. The ADA notes that as supragingival calculus develops, the gums can become swollen and bleed easily. This condition, termed gingivitis, can worsen into a more serious form of gum disease if left untreated.

Prevention Is the Best Medicine

To ensure that your oral care routine reduces and minimizes calculus formation, focus on controlling plaque buildup at home. You can decrease your chances of developing calculus deposits by establishing good oral care habits, such as brushing your teeth twice a day, cleaning between them with floss and using an oral rinse. At your routine dental visits, your dental professional will remove all existing calculus deposits and help get your smile in tip-top shape.

(01/09/2023)
by Colgate

More Information: https://www.colgate.com/en-us/oral-health/plaque-and-tartar/what-is-supragingival-calculus


Views: 894
Share
Share

Inflammation In The Mouth Caused By Braces

Half of all young people wear braces. More and more adults are also choosing to have their teeth straightened with braces. The aim is to correct misalignments of teeth and jaws through the intervention of the orthodontist. Treatment often lasts for several years. The first few days, in which the oral cavity has to get used to the new braces, are difficult. But don't worry, you don't have to suffer helplessly at this stage. There are some tricks and tinctures available to soothe the lining of the mouth and help heal inflammation in the mouth.

Your child will get braces

In most cases, orthodontic treatment is best between the ages of ten and thirteen. At this point the change from milk teeth to permanent teeth has taken place and the jaw is still growing. Corrections to teeth and jaws can now be carried out quickly and effectively.

Many teenagers are not thrilled when they get braces. They are afraid of attracting attention as a result. You can take this worry away from your child, because nowadays braces are part of puberty. It's almost more noticeable not to wear one. Nevertheless, it is all the more important that the young people get used to the braces quickly and without pain. This is much easier if complaints from the braces are treated as soon as possible.

Quick help with inflammation in the mouth

Admittedly, the first few days with braces are uncomfortable. The unfamiliar pressure on the teeth, increased saliva flow and stressed oral mucosa can cause pain. You don't have to take pain pills straight away to alleviate this. Because there are different methods and natural remedies that work well too. Try it.

Orthodontists usually supply their patients with special wax. Use it to avoid touching the oral mucosa and the braces. This will avoid irritation and inflammation in the mouth. By the way: You don't have to be economical with the wax. You can buy a new one at any time in a pharmacy or drugstore. Since wires and brackets put a strain on the lining of the mouth, you should use the rolled pieces of wax to avoid irritation. So that the wax holds as firmly as possible, use it generously. In the case of fixed braces, it is best to press it against a bracket in the area of ​​the sore spot in order to obtain a reliable hold.

Inflammation in the mouth: watch out for bacteria!

Sticking wires, archwires, brackets, and increased saliva flow can cause sores in the mouth and inflammation of the gums. Swelling, redness and bleeding gums can quickly develop. Even small lesions often cause uncomfortable pain. Prickly wire ends can be bent with a spoon or tweezers so that they are no longer in the way. Brackets are covered with wax. You should treat the irritated mucous membrane and wounds as quickly as possible. When choosing the agent, not only the pain-relieving, but also the antibacterial effect is crucial.

Mouth sores - of course, painless

Healing-supporting ointments or a tincture based on natural bee products are ideal. There is a lot of power in the gentle natural remedies and they promote the body's self-healing powers. Treating mouth wounds on a natural basis is not only beneficial for young people. Especially Manuka honey convinces with its anti-inflammatory and antibacterial effect. Because the high-quality honey from New Zealand contains the active ingredient methylglyoxalthat reliably kills bacteria and also promotes healing. The Maori, the indigenous people of New Zealand, have been using honey to care for wounds for centuries. In the meantime, many natural remedies use the beneficial effects that have been proven by various studies. Manuka honey from the flower nectar of the South Sea myrtle has an antiseptic and antioxidant effect and supports tissue regeneration.

Tips for the first few days with braces

Regardless of whether the braces are fixed or loose - teeth and the oral cavity need a few days to get used to the new braces. There are a few things to keep in mind during this time. Most of the time, the symptoms will disappear after a few days.

New braces - that helps:

cool food and drinks.

Ice Cream

Suck ice cubes

frozen yogurt

Cold through cool packs

Thoroughly brush your teeth. Danger: soft toothbrush or use an electric toothbrush with a special brush head for braces!

soft food

rinse with saline solution

New braces - you should do without them:

Avoid acidic drinks such as orange, lemon or apple juice, but also fruit tea

hard foods like dry bread or nuts

sticky sweets like chewing gum, wine gum, or chewy candies

Braces pain: when should you go to the dentist?

Usually only the first few days are uncomfortable with the new braces. Fixed braces in particular, in which the brackets are firmly anchored to the teeth, cause discomfort. The tensile load from the wires can also be uncomfortable. After about two to three days, the pain in the tooth, gums and jaw should be significantly less. If the pain is unchanged, you should visit the orthodontist again. You may be able to loosen the braces a little, thereby relieving the pain. The dentist can also shorten annoying wires. If the pain from the braces is a burden even after days, do not wait until the next check-up appointment. Make an earlier appointment for a check-up.

(01/10/2023)
by Conasin

More Information: N


Views: 560
Share