Dentists Journal

Top Ten Stories of the Week
3/4/2023

All Dentists Journal · Previous Week · This Week · All Time List · Headlines

Share

What Are Some Symptoms of Dental and Oral Problems?

Does it often happen that you take a sip of hot, freshly brewed coffee and immediately feel a painful sensation in your teeth? Or do you spit out after brushing your teeth and notice blood? These are signs of some of the common dental and oral problems. The good news is that most of these diseases can be treated well and prevented from happening in the future. Read this article to understand the signs and symptoms of some common dental and oral issues.

Tooth decay

One of the frequent reasons a person visits a dentist is tooth decay, also known as dental caries. It occurs due to the demineralization of enamel, which is the outermost protective layer around your tooth structure. In the initial stages, you may notice a small white patch that slowly progresses to a brownish color. In the later stages, a small cavity develops, with a rough texture. You may experience minor pain and increased sensitivity in this stage. If the cavity continues to progress due to microbial activity, it reaches the pulp of the tooth. Severe pain, hypersensitivity to hot and cold, food impaction, and difficulty in chewing may be noticed. A dental abscess may form in later stages if the tooth is not treated. 

Gingivitis

Gingivitis refers to inflammation of the gums. It develops due to plaque accumulation around teeth, which serves as a home to many bacteria inside your mouth. Normal, healthy gums have a pink color and are attached firmly to the tooth. In the early stages of gingivitis, you may notice redness and minor swelling in your gums. If it continues to progress, gingival bleeding occurs during brushing or spontaneously at times. If left untreated, late-stage gingivitis can progress to periodontitis.

Periodontitis

Periodontitis means inflammation of the periodontium. Periodontium is the protective and supportive structure that holds our tooth in its socket. The early stages of periodontitis often resemble gingivitis. As it progresses, your gums start to detach from your tooth structure. A pocket is formed, which progresses in a downward direction. Loss of attachment and bone structure are the leading signs of periodontitis. If you do not receive treatment at an early stage, you might end up losing one or more teeth as a result of this disease. 

Sensitivity

Tooth sensitivity is a very common complaint. It is often felt like a response to a hot or cold stimulus, such as drinking tea or eating ice cream. If the outer layer of enamel becomes thin or compromised, the inner layer of dentin is exposed, which perceives hot and cold sensations. This also happens if your root becomes exposed, which is not covered by enamel. You may feel sensitivity in a single tooth, or it may be generalized. If a tooth is carious, cracked, or associated with a dental abscess, you may also feel pain and pressure on biting. 

Oral ulcers

Oral ulcers can occur due to a variety of different causes. They may occur due to traumatic injury, viral, bacterial, or fungal infections, genetic diseases, immunocompromising diseases, allergies, nutritional deficiency, hormonal imbalance, oral cancer, and multiple other factors. The symptoms of oral ulcers can vary depending on their cause. If you are about to develop cold sores or canker sores, you may experience a tingling sensation in the area soon to be affected. Cold sores appear on the lips and outside the mouth, while canker sores appear inside the mouth. If you develop ulcers due to a traumatic injury, they will appear reddish and painful to touch. Thrush or oral candidiasis is also common in which a whitish layer forms on the tongue, gums, or other parts of the mouth. 

Bad breath

Bad breath is also known as halitosis. The most common cause of bad breath is a lack of oral hygiene maintenance. It can also occur due to dental caries, gingivitis, periodontitis, thrush, and other reasons. If you feel like you have bad breath, you can check it by licking the back of your wrist and smelling it. If there is a dental or oral problem inside your mouth, you may also develop other symptoms such as toothache, sensitivity, or bleeding gums. 

If you experience any of the above symptoms, schedule a dental checkup as soon as possible. It can help eliminate the causes at an earlier stage and avoid future complications. 

(03/02/2023)
by Cura 4 u

More Information: https://cura4u.com/blog/what-are-some-symptoms-of-dental-and-oral-problems


Views: 521
Share
Share

Four Tips for Cavity Prevention

Dentists often emphasize cavity prevention since it can save you lots of money in the long term. It also allows you to avoid the pain and discomfort that can be caused by cavities, as well as the other issues they can evolve into, like infections.

Cavity prevention includes treatments performed by a dentist that protect your teeth against tooth decay: fluoride treatments, dental sealants, and teeth cleanings. However, you still need to do your part, since the main factors that lead to decay are things your dentist has no control over.

Four simple cavity prevention tips

Let us take a look at some basic things you can do to protect your teeth against tooth decay:

1. Practice good oral hygiene

Good oral hygiene is the foundation for a healthy mouth. The most effective way to keep teeth decay-free is by practicing good oral hygiene. It helps to remove the things that lead to tooth decay, such as sugars in leftover food particles stuck between teeth, acids in the mouth, and the bacteria that produce them.

Good oral hygiene also gets rid of plaque. This is the sticky film that builds up on teeth, and it contains bacteria and the acids they make. When left on teeth for a few days, plaque hardens into tartar, and brushing will not be able to get rid of it.

Dentists recommend brushing at least two times per day to keep teeth well protected. Brushing right before going to bed is the most important since it removes all the things that damage teeth before a person goes to sleep. The mouth dries up during sleep, making teeth more vulnerable to the acids made by oral bacteria.

Make flossing at least once per day a part of your daily routine. A toothbrush is too big to clean interdental spaces, but flossing removes plaque and debris from these areas.

2. Avoid sugar as much as possible

Sugar is one of the most damaging things a person can expose their teeth to. Oral bacteria love sugar and convert it into acids that break down teeth. However, sugary snacks and beverages are delicious, and it is difficult to eliminate them from your diet.

Consuming sweet things all day wreaks havoc on your teeth since it gives oral bacteria the food source they need to produce acids that destroy teeth. The damage sugar does to teeth can be minimized by consuming sugar-rich foods and beverages quickly. Get it over with fast, then rinse with water.

3. Drink more water

Water helps to wash away acids, sugars, and bacteria in the mouth. It is great for the body, and it promotes saliva production. Saliva also helps to keep teeth clean by clearing away acids.

4. Regularly visit a dentist

Biannual trips to a dentist increase the odds of tooth decay being noticed early on when it can still be reversed. It also gives the dentist a chance to perform preventative treatments like teeth cleanings and the application of dental sealants. These visits ensure that a cavity never gets out of control.

Prevention is better than cure

(02/24/2023)
by Town Square Dentistry

More Information: https://boyntonbeachtownsquaredentistry.com/blog/four-tips-for-cavity-prevention/


Views: 559
Share
Share

Can You Cure Tooth Decay (Cavities) Naturally?

Cavities are a common dental issue and you may wonder if there's a way to avoid getting your cavity filled by your dentist. Science hasn't yet revealed how to heal cavities naturally, though a rigorous oral care regimen can prevent cavity formation.

What Causes Cavities?

Cavities are areas of tooth decay. They can appear on any part of a tooth including the root, though the most common areas are on the chewing surfaces of teeth at the back of the mouth and near the gumline. Cavities form gradually. When you eat, the bacteria in your mouth break down sugars and starches in food and excrete an acid that weakens tooth enamel. The damage occurs below the tooth surface at first, but if it continues and the enamel breaks down entirely, a cavity appears.

What Happens to Untreated Cavities?

Once a tooth has a cavity, only a dentist can treat it. If it's left untreated, the cavity becomes larger and can cause more serious dental problems. If the decay spreads to the center of the tooth and reaches the sensitive nerves located there, the tooth root can become infected or a painful abscess could appear in the gum. To fix the problem, the patient may need root canal work, oral surgery or a tooth extraction.

It's important to visit your dentist regularly so any cavities you develop can be treated before they cause more serious issues in the mouth.

Do Cavities Heal Naturally?

Although the early stages of tooth decay can be reversed, cavities don't heal naturally. According to the Mayo Clinic, professional fluoride treatments can repair weakened enamel and reverse a cavity in its earliest stages. The dentist applies the fluoride in a liquid, gel, varnish or foam directly to the tooth surface.

Once a cavity has progressed, however, a dentist will need to treat it by applying a filling.

Does a Change in Diet Help?

Improving your diet reduces the amount of acids on your tooth enamel and may help prevent cavities from forming. The National Institutes of Health advises patients to avoid eating sugary and starchy foods like cookies, candy and bread. You should also drink less soda, juice and milk. Try not to snack between meals to give the teeth time to recover from the acid exposure. Keep in mind that a better diet can't reverse tooth decay that has already begun.

Although dentists don't know how to heal cavities naturally, maintaining a proper oral care routine will keep your teeth strong and healthy. Drink your local municipal water if it's fluoridated and brush your teeth twice a day with a fluoride toothpaste. Visit your dentist regularly so they can check for cavities and treat them effectively.

(03/02/2023)
by Colgate

More Information: https://www.colgate.com/en-ph/oral-health/cavities/how-to-heal-cavities-naturally-is-it-possible


Views: 585
Share
Share

Understanding Dental Terms

Do you ever get confused when discussing your care with your dentist because some of the dental terms he or she uses are unfamiliar to you? Dental terms and numbers are unique, and may cloud your ability to understand what your dentist is saying about your teeth. Here is a guide to help you have a better understanding of what all this dental lingo means.

What does the dental term Quadrant mean?

When the dentist is talking to you about your oral health care, he or she will often use the dental term quadrant. This has nothing to do with equations or formulas. The dentist is talking about the different sections of your mouth. The mouth is divided into four parts called quadrants. The upper part of your mouth contains the first two quadrants, and the lower portion of your mouth contains the third and fourth quadrants. The right upper part of your mouth is the first quadrant, followed by the top left side (second quadrant). The bottom of your mouth has the opposite designation. The left bottom side is the third quadrant, and the right bottom side is the fourth quadrant. Since the dentist is looking into your mouth, visually it makes sense to designate the third quadrant underneath the top left second quadrant. In effect, the dentist goes through the quadrants clockwise.

Why does the dentist number my gums?

Dentists have developed a shorthand terminology to help define the health of your gums.  They measure the gap between the pocket of your gum and the nearest tooth.  Each gap in the gum and tooth will be assigned a number, with the smallest number indicating a smaller gap (and healthier gums).  A larger number is a sigh that you have gum problems, and possible plaque and tartar buildup. A gum number of five is a problem and will most certainly lead to the dentist recommending a deep cleaning.  A deep cleaning can help remove any buildup between your teeth and gums, and may help avoid any complications from gum disease.

How is this different than numbering my teeth?

The dentist also has a system to number your teeth to enable him or her to notate healthy and problem teeth, and to help provide you with advice about maintaining good oral hygiene.  Dentists in the United States use a number system called the Universal System.

Having a better understanding of dental terms will help you discuss your dental care more clearly with your dentist and effectively determine the best course of treatment for you.

(02/24/2023)
by Old Mt. Pleasant Dentistry

More Information: https://oldmtpleasantdentistry.com/understanding-dental-terms/


Views: 649
Share
Share

How To Break These Bad Dental Habits

Break the cycle, break the dental habit

Like a bad bounce off a line drive, all it takes is one bad habit to undo years of good oral health. Luckily, it’s never too late to break a bad dental habit. If any of these behaviors sound familiar to you, you’re in luck. Here’s how to stop these common habits and keep your smile healthy.  

1. If it's not food, don't bite it.

It shouldn’t come as a surprise, but the following habits can damage fillings or chip and crack a tooth:

• Biting your nails

• Crunching ice

• Holding pins, nails or paperclips in your mouth

• Chewing on pens or pencils

• Using your teeth to open packages 

These behaviors can also wear down tooth enamel and irritate the soft tissues inside your teeth — causing regular toothaches.

Try this:

• Hold something in your hands — like silly putty or a stress ball — to keep from biting your nails.

• Drink fridge-chilled beverages or use a straw to avoid chomping on ice.

• Chew on xylitol-sweetened sugar-free gum, which stimulates saliva and helps strengthen teeth while reducing plaque and tooth decay.

• Keep scissors, pocketknives, bottle openers and the like handy to avoid using your teeth. 

2. Don't floss without floss.

Daily flossing is an important part of a good oral health routine — but only when you use actual floss. People have reported using all sorts of unusual items to remove food from teeth —fingernails, cutlery, safety pins and strands of hair to name a few. These potentially unsafe, sometimes unsanitary and usually silly items caused pain to 42% of people that reported using them, according to the American Dental Association. Even something as simple as a toothpick can damage your gums and introduce bacteria into your mouth. Also: splinters.

Try this:

• Buy extra floss or floss picks for when you’re on the go.

• If you prefer certain kinds of floss, find one that fits your needs and preferences. Floss regularly by curving the floss into a “C” shape against the side of each tooth. Guide the floss gently up and down, and don’t forget the area behind your back teeth. 

3. If you just ate, give your mouth a rest.

While it’s crucial to brush twice a day, brushing right after a meal might not always be the best idea. If you’ve just eaten or drunk something acidic like citrus, tomato products or wine, you can damage tooth enamel by brushing too soon.

Try this:

Brush your teeth before eating or drinking something acidic, and then drink a glass of water to rinse away acids. Or, wait at 30 minutes to brush following acidic foods and drinks. Brush your teeth before eating or drinking something acidic, and then drink a glass of water after to rinse away acids. Or wait at least 30 minutes to brush following acidic foods and drinks.

4. Remember proper toothbrush maintenance.

Brushes gather millions of bacteria from your mouth and can pick up germs from their environment. If you use the same toothbrush or toothbrush head for too long, the bristles wear down and won’t remove as much plaque, which may lead to cavities. Your toothbrush is a tool. Take care of it, and it will take care of your teeth.

Try this:

• Rinse your toothbrush with warm water after each use.

• Store in an upright position in the open air to dry. Avoid touching other toothbrushes — and don’t cover your toothbrush. Covered brushes stay wet longer, and bacteria love moisture.

• Get a new toothbrush or toothbrush head every three to four months or sooner if the bristles look frayed or worn.

• Consider signing up for a subscription service to automatically receive replacement heads for your electric toothbrush. 

Avoid germs by storing your toothbrush far enough from the sink to prevent splashing and at least four feet away from the toilet to prevent worse. And don’t forget to close the toilet lid before flushing.

5. Keep it to one fork per mouth, please.

If you share cups, straws or silverware, you can spread cold and flu germs along with all sorts of even worse stuff through the mouth. While it’s impossible to completely avoid spreading germs (and not all that great for your immune system), try to limit the spread as much as possible.  

Try this:

• Avoid sharing items that have been in your mouth, or someone else’s. This includes cups, spoons, gum and even the pens and pencils from tip 1.

• Don’t taste the food on your baby’s spoon or blow on food. Avoid cleaning a pacifier or dropped toy with your mouth. 

• Take good care of your oral health. If your mouth has tooth decay, you may be able to transfer that bacteria to others. 

6. Avoid the weeping and gnashing of teeth.

Even thousands of years ago, people understood how stress impacts teeth. Ever sat in traffic? Worked out? Odds are you’ve ground or clenched your teeth. Grinding and clenching teeth is often caused by stress, anxiety, missing or crooked teeth, an abnormal bite or a sleep disorder. If you grind your teeth during sleep, you could wake up with jaw soreness or have a dull, constant headache. Grinding and clenching can wear down, fracture or even loosen teeth. 

Try this:

Talk with your dentist or physician. Medical professionals may recommend options to reduce stress, including exercises, physical therapy, muscle relaxants or stress counseling. If you grind or clench your teeth in your sleep, your dentist may create a nighttime mouthguard.

7. Vaping, smoking and tobacco products?

A recent outbreak of lung disease and deaths linked to vaping unlicensed nicotine or cannabis products has made it clear that vaping is not a harmless alternative to regular cigarettes. Vaping also stains teeth and causes dry mouth. Untreated dry mouth makes it easy for bacteria to collect in your mouth and leads to cavities, tooth loss and gum disease.

Of course, the alternative of vaping tobacco is smoking. Smoking cigarettes can lead to stained teeth, gum disease, tooth loss, oral cancer and more. 

Try this:

• Ask your dentist or physician for help quitting.

• Don’t take your vaping pen or tobacco products with you when you leave home for the day.

• Try to understand what causes you to reach for a vaping pen or tobacco products.

• Develop a strategy to help you not give into cravings.

• Ask friends and family for support along the way. 

(02/25/2023)
by Green Delta Dental

More Information: N


Views: 564
Share
Share

Five tips to get naturally shiny and strong teeth

Your mouth is the first gateway that your food (and thus all your nutrition) passes through. And for that very reason, maintaining good oral hygiene becomes vital for your overall well being.Not only is bad dental hygiene detrimental to your health, it also reduces your self esteem and social confidence.For whiter, shinier, and stronger teeth, follow these easy, at-home tips.

1.- Brush your teeth well and for the right duration

Simply heading to the washbasin and quickly wiping your brush over your set of thirty-two won't get you good-looking teeth.Brush thoroughly, up-down, left-right, and at the back of the teeth as well, for good 2-3 minutes, and rinse thoroughly afterwards.Further, you should look to brush your teeth at least twice every 24 hours, if bad breath and yellowness are to be avoided.

2.- Regularly use floss and a fluoridated toothpaste

Always make sure to use a fluoridated toothpaste, as it helps harden tooth enamel, and reduces risk of decay.And although brushing is good for cleaning the surface of your teeth, it alone won't do wonders to your oral hygiene. Thus, to get the food residue and other harmful substances out of the spaces between your teeth, use floss.

3.- Mind your food

In order to improve your dental health, look to minimize your consumption of acidic drinks (read sodas and alcohol), as they are known to lead to tooth decay and gum disease.Also, goes without saying, tobacco consumption is extremely bad for your dental health.Additionally, you should limit your sugar intake as well, as the bacteria in dental plaque can convert sugars into acids.

4.- Don't overuse your teeth; See your dentist regularly

Your teeth aren't (technically) meant for being used for purposes other than, of course, eating. So, just stop using them for opening bottle tops, and cracking nuts, as you're risking chipping and breakage of your teeth by doing so.Also, for ensuring long-term dental well-being, regular dental check-ups and oral cleaning are a must. Remember those childhood dental trips? Get back to them again!

5.- Other handy tips for dental health

Include more teeth-friendly food items such as nuts, apples, and cheese in your diet.Further, your tongue can harbor bacteria as well, so don't forget cleaning it. Wipe it well with your toothbrush while brushing, or use a tongue cleaner to maintain its hygiene.Additionally, you could also consider using a natural, anti-bacterial mouthwash (as prescribed by your dentist) for better oral heath.

(02/28/2023)
by News Bytes

More Information: N


Views: 523
Share
Share

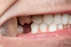
Risks Of Not Replacing Missing Teeth

When it comes to tooth loss, many people are most concerned with the impact it would have on the appearance of their smile. However, tooth loss is more than a cosmetic issue.

Losing one or more teeth has wide-ranging effects on your overall oral health; and if you wait too long to replace missing teeth, this can only makes these problems worse.

Here are three risks of not replacing missing teeth.

1. Greater Chance of Infection

Gum disease is one of the most common causes of tooth loss because it causes gum tissue to deteriorate. Unfortunately, after losing a tooth the chances of gum disease and bacterial infections may actually increase. Several factors can cause bacterial activity to increase after losing a tooth, which leads to further gum deterioration and potential tooth loss.

For example, an empty dental socket is an easy place for food particles and bacteria to collect inside the mouth. Once bacteria and plaque are in the dental socket, normal brushing may not reach those areas easily. Additionally, losing a tooth leaves the sides and roots of adjacent teeth more exposed, and bacteria can attack them.

An empty dental socket also creates a possible entry point for bacteria to access the bloodstream. Bacteria can enter the blood through exposed blood vessels in the bottom of the socket. Oral bacteria can create health risks in other parts of the body, which can make you more susceptible to heart and lung disease as well as inflammation of the heart valves.

2. Misalignment of Other Teeth

Your teeth constantly exert pressure on the teeth on either side of them. In this way, all of the teeth in your mouth depend on support from the adjacent teeth to remain in place in the soft gum tissue. When one or more teeth are missing, it can cause the teeth on either side of the gap to drift inward where the missing tooth used to be.

Waiting too long to replace a missing tooth can eventually cause adjacent teeth to drift enough that problems such as crowding occur. Teeth growing into the gap of a missing tooth can make contact, which can cause uncomfortable pressure and create tight spaces between the teeth and gums. This only serves to make brushing more difficult and promote bacterial growth.

3. Gum and Jawbone Deterioration

The gums and jawbones play an essential role in anchoring the roots of the teeth in place. However, you may not be aware that your teeth are important for the health of your gums and jawbones as well. The presence of tooth roots in these tissues stimulates them, which causes the body to continually repair damaged cells.

Without stimulation, the body could gradually reabsorb parts of the gums and jawbones. Not only does this greatly accelerate the process of tooth loss, but it can also change the structure of the face. Loss of the upper jawbone creates an inward curve in the face that is often referred to as facial collapse. Deterioration of the lower jawbone will cause the chin to recede and diminish the jawline.

Prosthetics such as dentures that rest on top of the gums can counteract some gum tissue loss caused by a missing tooth. Unfortunately, they don't do much to stimulate the jawbone. Instead, tooth replacement options like dental implants or implant-supported bridges are recommended. Because implants fuse directly with the jawbone, they provide long-term protection against bone deterioration.

(02/25/2023)
by Vanyo Dentistry

More Information: N


Views: 443
Share
Share

Learn to Scan Your Teeth After Brushing to Find Early Problems

There are many keys to good oral health. Maintaining good oral health habits and going to the dentist regularly are two of the ways to keep a healthy smile. Another key is spotting problems early.

Early detection can help you fix a problem before it causes more trouble. It also offers the most options for treatment. The question people ask is how they can spot problems early.

When to Do It

The number one excuse people give for not looking for signs of a problem with their oral health is that they do not have the time. It is actually easier to do than people may think. If they have good oral health habits, they are already brushing their teeth twice a day and flossing every day. This is the best time to check the teeth for signs of any problems. It is the time when your teeth are the cleanest and the time when some problems are more obvious.

Knowing What to Look For

It is not enough to look at your teeth and gums after brushing. You also need to know what the signs of early problems with your teeth and gums are. Like many other things some are obvious, and some are not. Some will happen as you brush your teeth and you may notice other after brushing.

Pain or sensitivity – If you feel pain or pressure while brushing or flossing, it may mean that a cavity is forming.

White spots – There are many reasons for white spots to appear, but it is often a sign that enamel is wearing down.

Bleeding gums – Bleeding gums are not always a sign of trouble. They may result from harsh brushing. They may also come from possible problems with your teeth and gums.

Fillings – Holes, dark spots and loose fillings are something to watch for after brushing.

It does not take much time to scan your teeth for problems after brushing. Taking the time can save you time later on and can stop any problems from getting worse.Contact our office to schedule an appointment today to learn more about how to take care of your teeth.

(02/27/2023)
by Shawn Zimmerman

More Information: https://www.eastmaindentalcenter.com/learn-to-scan-your-teeth-after-brushing-to-find-early-problems/


Views: 485
Share
Share

Jaw Pain Causes: Why You Might Be Feeling Pain

Jaw pain is often described as a throbbing, uncomfortable pain. It can happen all of a sudden, or it can start off mildly and become more intense over time. However, the exact symptoms will vary depending on the root cause. Identifying the underlying issue is the first step in treating this condition. Here are a few causes to look out for.

Teeth Grinding

Grinding can cause severe damage to your teeth and is one of the leading jaw pain causes. It is the process of clenching and gnashing the teeth, that is not associated with chewing. Some people grind their teeth when they feel stressed, but a lot of people grind their teeth while sleeping, they just aren't aware of it. If left untreated, it can potentially lead to a number of other dental issues. Practicing stress relieving exercises or wearing a bite splint constructed by your dentist, at night, are just some of the ways to stop tooth grinding.

Osteomyelitis

Osteomyelitis is an infection in an individual's bone/s and any surrounding tissues. When an individual experiences osteomyelitis of the jaw there is likely to be jaw pain, fever and facial swelling. Fortunately, this condition is generally curable with a series of antibiotics or a surgical procedure to remove the areas of the bone that has died from the infection. 

Temporomandibular Disorder

Temporomandibular disorder, also known as TMD, affects the temporomandibular joint of the jaw. In addition to pain, this disorder can cause the jaw to make a clicking sound when opening the mouth or chewing. There is often "headache-like" pain in the muscles of the face because of associated muscle spasms. In severe cases, the disorder can even cause the jaw to become permanently stuck in an open or closed position.

Dental Conditions

Other jaw pain causes can include advanced gum disease, cavities or an abscess. Although many of these issues don't directly affect the jaw, the pain can radiate into the jaw area. Additionally, individuals who have teeth that are damaged may also experience jaw pain when stress is put on their jaw, such as biting or chewing. Practicing a good oral health care regimen at home and visiting the dentist can help reduce your risk of developing any of these conditions.

Abscessed Tooth due to Dental Decay

An abscessed tooth is the result of a dental pulp, or "nerve", that has become infected. It generally occurs when a dental cavity has been left untreated for an extended period. When the bacteria from the infection begins to spread outside the root of the tooth, it can also affect any surrounding bone tissues, causing significant jaw pain. Having regular dental exams and treating any dental cavities promptly, is the best way to avoid this issue.

Only a qualified dental professional can help you determine the root cause of your jaw pain.

(02/27/2023)
by Colgate

More Information: https://www.colgate.com.au/oral-health/temporomandibular-disorder/jaw-pain-causes-why-you-might-be-feeling-pain


Views: 442
Share
Share

Five Essential Vitamins for Teeth and Gum Health

Brushing and flossing are essential to maintaining good oral hygiene—but did you know that the nutrients you consume (or lack thereof) can also have a significant impact on your oral health? This article discusses the best vitamins for teeth and gums and what foods you can eat to add more of these nutrients to your diet. Luckily, a lot of the foods are natural and delicious!

Why Take Vitamins For Teeth?

Your mouth, teeth, and gums are the first contact points for the nutrients you consume and are essential for kicking off the digestion process. In fact, according to the International Journal of Environmental Research and Public Health, the process of chewing allows you to extract the greatest possible amount of nutrients from the food you eat. Conversely, nutrient deficiencies can lead to oral conditions like inflammation and tooth loss. That means that consuming the right vitamins through food and supplements can promote healthy teeth and gums. Here are five essential vitamins for teeth and gum health.

1. Calcium

Calcium isn’t just good for your bones; it’s good for your teeth, too. According to the National Institutes of Health, calcium is one of the most important minerals in the human body, as it helps form and maintain strong bones and teeth. Curious as to how you can consume calcium? You might already be doing it. Dairy products like milk and yogurt have a type of calcium that’s easy for your body to absorb. Canned salmon and sardines are also good sources. If you do not consume meat or dairy, or want to add more calcium-rich vegetables to your diet, try broccoli, collards, kale, mustard greens, turnip greens, and bok choy or Chinese cabbage or nuts like almonds, brazil nuts, sunflower seeds, and tahini. Keep in mind that to ensure the calcium stays in these foods, cook them in a small amount of water for a short time, like steaming or sauteing, instead of boiling. Additionally, you can also take calcium as a supplement.

2. Phosphorus

Phosphorous is another essential vitamin for healthy teeth. Phosphorus helps the body absorb and use calcium and strengthens teeth by protecting and rebuilding tooth enamel. If you’re looking to add more phosphorus to your diet, try to incorporate meat, milk, and whole grains. Fish, eggs, and protein-rich foods are also excellent sources. Luckily, most people get enough of this vitamin in their regular diet without the need for supplements.

3. Vitamin D

Vitamin D plays a significant role in keeping your teeth healthy—according to a 2020 article, Vitamin D Deficiency and Oral Health: A Comprehensive Review, vitamin D deficiencies can lead to several oral health disorders, like gingival inflammation, cavities, and gum disease. That’s because it plays a crucial role in bone and tooth mineralization. But don’t worry—consuming vitamin D is easy via supplements. It’s also present in oily fish like salmon, mackerel, and herring. Additionally, some foods are vitamin D fortified, like milk and breakfast cereals.

4. Vitamin C

Vitamin C is not only good for your teeth; it’s an excellent vitamin for gums, too. Vitamin C helps keep the connective tissues in your gums healthy and strong, which hold your teeth in place—which means deficiencies can lead to bleeding gums and gum disease. Further, vitamin C supplements also reduced erosive tooth wear in early childhood. You’re likely getting a lot of vitamin C in your diet, as it’s present in citrus fruits, peppers, sweet potatoes, broccoli, berries, and kale. Supplements are also widely available.

5. Vitamin A

Vitamin A is not only good for your eyes and skin—but it’s also great for your mouth, particularly your saliva production. Saliva helps break down food and also cleans bacteria from in between your teeth. You can find Vitamin A in orange-colored fruits and vegetables, like carrots, sweet potatoes, bell peppers, plus fish and egg yolks. It’s also available as a supplement.

When to Take Vitamins

A healthy diet can provide you with a lot of these vitamins for teeth and gums. That being said, taking supplements may be a better option in some cases. If you’re wondering if you should take a supplement, talk to your dentist or physician, as some dietary supplements may interact or interfere with some prescription medications.

If you’re maintaining a healthy and balanced diet full of whole fruits and vegetables, you’re probably already consuming many of these teeth-friendly nutrients. And if you’re concerned about your vitamin levels, chat with your dentist about what supplements or foods you could add to your diet. Understanding how these vitamins impact your teeth can help your oral care in the long term. Now you know what vitamins are essential to your oral health, why not try a delicious new recipe with these nutrient-packed foods?

(03/01/2023)
by Colgate

More Information: https://www.colgate.com/en-us/oral-health/nutrition-and-oral-health/5-essential-vitamins-for-teeth-and-gum-health


Views: 550
Share