My BEST Dentists Journal

All Journal Entries
Share

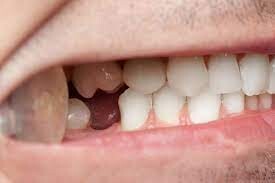
Risks Of Not Replacing Missing Teeth

When it comes to tooth loss, many people are most concerned with the impact it would have on the appearance of their smile. However, tooth loss is more than a cosmetic issue.

Losing one or more teeth has wide-ranging effects on your overall oral health; and if you wait too long to replace missing teeth, this can only makes these problems worse.

Here are three risks of not replacing missing teeth.

1. Greater Chance of Infection

Gum disease is one of the most common causes of tooth loss because it causes gum tissue to deteriorate. Unfortunately, after losing a tooth the chances of gum disease and bacterial infections may actually increase. Several factors can cause bacterial activity to increase after losing a tooth, which leads to further gum deterioration and potential tooth loss.

For example, an empty dental socket is an easy place for food particles and bacteria to collect inside the mouth. Once bacteria and plaque are in the dental socket, normal brushing may not reach those areas easily. Additionally, losing a tooth leaves the sides and roots of adjacent teeth more exposed, and bacteria can attack them.

An empty dental socket also creates a possible entry point for bacteria to access the bloodstream. Bacteria can enter the blood through exposed blood vessels in the bottom of the socket. Oral bacteria can create health risks in other parts of the body, which can make you more susceptible to heart and lung disease as well as inflammation of the heart valves.

2. Misalignment of Other Teeth

Your teeth constantly exert pressure on the teeth on either side of them. In this way, all of the teeth in your mouth depend on support from the adjacent teeth to remain in place in the soft gum tissue. When one or more teeth are missing, it can cause the teeth on either side of the gap to drift inward where the missing tooth used to be.

Waiting too long to replace a missing tooth can eventually cause adjacent teeth to drift enough that problems such as crowding occur. Teeth growing into the gap of a missing tooth can make contact, which can cause uncomfortable pressure and create tight spaces between the teeth and gums. This only serves to make brushing more difficult and promote bacterial growth.

3. Gum and Jawbone Deterioration

The gums and jawbones play an essential role in anchoring the roots of the teeth in place. However, you may not be aware that your teeth are important for the health of your gums and jawbones as well. The presence of tooth roots in these tissues stimulates them, which causes the body to continually repair damaged cells.

Without stimulation, the body could gradually reabsorb parts of the gums and jawbones. Not only does this greatly accelerate the process of tooth loss, but it can also change the structure of the face. Loss of the upper jawbone creates an inward curve in the face that is often referred to as facial collapse. Deterioration of the lower jawbone will cause the chin to recede and diminish the jawline.

Prosthetics such as dentures that rest on top of the gums can counteract some gum tissue loss caused by a missing tooth. Unfortunately, they don't do much to stimulate the jawbone. Instead, tooth replacement options like dental implants or implant-supported bridges are recommended. Because implants fuse directly with the jawbone, they provide long-term protection against bone deterioration.

(02/25/2023)
by Vanyo Dentistry

More Information: N

Views: 444
Share


My BEST Dentists Journal Headlines