Dentists Journal

Top Ten Stories of the Week
5/6/2023

All Dentists Journal · Previous Week · This Week · All Time List · Headlines

Share

When Do Permanent Teeth Come In?

If your kiddo has already lost a few teeth, you’re probably familiar with that cute gap-toothed grin of early childhood. But how long will your child keep their baby teeth – and when do permanent teeth come in? Learn more about your child’s dental health as they lose their baby teeth and develop their permanent smile.

When Do Permanent Teeth Come In?

The Purpose of Baby Teeth

Before we develop our permanent teeth, we develop baby teeth, also known as “primary teeth.” You can expect to see your child’s first teeth coming in when they reach six months of age, with the final baby teeth arriving around age two or three. We’re born with 20 primary teeth, which are eventually all replaced by 32 adult teeth. Although they don’t last long, baby teeth have two important jobs. They help children chew food, and they also hold space in the jaw for the eventual permanent teeth.

When Will My Child Start Losing Teeth?

Is your child eager for a visit from the Tooth Fairy? Typically, the first teeth to erupt are also the first to come loose. So, if your child developed a front tooth around six months of age, they’ll likely lose that tooth first. Keep in mind that most children will start losing teeth around the age of six. From that point, you can expect your child to systematically lose their four central incisors (the two front teeth on both the top and bottom), four lateral incisors, four canine teeth, and eight molars.

When Do the Last Permanent Teeth Come In?

Your child can expect to have most or all of their permanent teeth by age 12 or 13. The exception is the arrival of wisdom teeth, which are also known as “third molars.” These teeth may never actually erupt; however, if they do, it usually happens by the time your child turns 21. If you’ve had your wisdom teeth removed, you know that these teeth aren’t needed for chewing. They are also difficult to clean and can easily become impacted, which is why many dentists recommend their removal.

Helping Kids Care for Teeth

Your child’s baby teeth may be temporary, but they do serve an important purpose. To keep your little one’s mouth healthy, find a pediatric dentist you can trust. From there, make sure your child brushes their teeth twice daily with fluoride toothpaste. For kids younger than three, use a tiny amount of toothpaste – no larger than a grain of rice. For kids three years and older, you can use a pea-sized amount of toothpaste. To care for your newborn’s mouth, just wipe their gums with a wet cloth. In addition to proper brushing, you’ll want to ensure your child avoids excessive amounts of sugar, which can create cavities.

So, when do permanent teeth come in? Most children will have all of their permanent teeth by the age of 12 or 13. Before your child’s permanent teeth arrive, make sure to instruct them on good dental care to ensure they’re ready to care for their adult teeth. Additionally, you should make sure to foster a relationship with a local dentist who can see your child through losing all of their baby teeth and developing a beautiful adult smile.

(04/28/2023)
by Wilkinson Dental

More Information: https://www.wilkdental.com/when-do-permanent-teeth-come-in/


Views: 701
Share
Share

What Causes Tooth Nerve Pain?

Tooth nerve pain can range from mild to excruciating and should be examined by a dentist as soon as possible.

What Can Help with Tooth Nerve Pain?

Pain in an exposed tooth nerve can be triggered by foods and drinks that are hot or cold, sugary, acidic or sour. If you avoid the following, you may be able to help reduce your pain until you are able to be seen by a dentist:

Ice water

Iced or hot tea

Coffee

Soda

Sports drinks

Ice cream

Cookies

Candy

Citrus fruits

Tomatoes

Pickles

What Does Nerve Pain Feel Like in a Tooth?

Tooth nerve pain can feel like a sharp, stabbing pain or a dull ache. If your tooth nerve is exposed, particular foods and drinks will probably trigger the pain.

Will Tooth Nerve Pain Go Away?

Tooth nerve pain does not typically go away without dental treatment unless it is a tooth engaged in the healing process after dental treatment. If you are not able to get in to see a dentist right away, you may be able to get some relief by avoiding foods and drinks that trigger the pain and by using a toothpaste designed for sensitive teeth along with a soft-bristled toothbrush.

What Are the Symptoms of a Dying Nerve in a Tooth?

A dying nerve in a tooth causes pain when a collection of white blood cells, bacteria, and the remnants of dead nerves combine to put pressure on the nerve endings around the outside of the tooth. This is the beginning of the infection process of a dying or necrotic tooth and you may experience other symptoms such as swelling or a bad taste or smell in your mouth. A dying tooth may also start to look discolored.

How Do You Soothe an Exposed Tooth Nerve?

Using a toothpaste designed for sensitive teeth and brushing gently can help soothe the exposed nerves. You should also avoid triggers like hot and cold foods and drinks.

What Helps a Severe Exposed Tooth Nerve?

A severe exposed tooth nerve must be addressed with a prescribed treatment from a dentist. This often involves removing the decayed material and replacing it with a filling, crown, onlay, or a root canal.

Can a Tooth Heal Itself?

Some types of nerve pain can be reversed, but this usually occurs when the inflammation is mild, and the tooth pulp can be saved. This can require a filling, but if symptoms are more severe, a root canal may be needed.

How Do You Know if You Have Nerve Damage in Your Tooth?

Pain is usually what signals nerve damage to your tooth. It can start with sensitivity to hot or cold foods or beverages, and as it progresses, the pain can get worse and occur day and night.

Can Tooth Nerve Pain Go Away On its Own?

Tooth nerve pain is unlikely to go away on its own and instead goes away when the problem that caused the nerve to be exposed is corrected.

How Long Does It Take a Tooth Nerve to Die?

There’s no set time it takes for a tooth nerve to die since it depends on several different factors. If you have sensitivity or pain, you should see a dentist immediately for treatment.

(04/28/2023)
by Dental 365

More Information: https://www.godental365.com/2019/07/29/what-causes-tooth-nerve-pain/


Views: 679
Share
Share

Is Gum Reshaping Right For You?

A healthy and attractive smile might begin with your pearly whites, but it also requires a harmonious relationship between your teeth, gums, and lips. If you want to build confidence through a more beautiful smile, you might look into a cosmetic procedure like gum reshaping. Find out more about gum reshaping and determine if this procedure is right for you.

What Is Gum Reshaping?

Gum reshaping, also known as gum contouring, involves changing the shape of your gums to be more aesthetically pleasing. If your gums appear uneven or if they cover too much or too little of your teeth, you might consider gum reshaping to enhance your smile. Typically, gum contouring is not medically necessary and is only performed to improve the appearance of teeth and gums.

How Does Gum Contouring Work?

The techniques used for gum contouring depend on the particulars of your mouth. A periodontist or cosmetic dentist usually performs the procedures.

Gum Contouring for Too Much Gum

If you have a "gummy" smile — which means your teeth look small from excessive gum tissue — your dental professional will remove excess gum tissue using a laser or a scalpel. Then, they will sculpt a new gumline to expose more of your tooth. The procedure usually takes one or two hours. Though the dental professional will administer a local anesthetic before the gum contouring begins, you can expect to feel some tenderness and discomfort afterward.

Gum Grafting for Too Little Gum

If you have too little gum tissue, also known as gum recession, your teeth might appear elongated or discolored. However, receding gums also expose the tooth root to harmful bacteria and plaque, which can lead to bone loss and tooth decay. Sometimes gum recession occurs on just a few teeth, but it can also affect the whole mouth. Recession usually results from:

Overzealous toothbrushing

Genetics

Periodontal disease

If you have periodontal disease, your dental professional will take steps to treat the infection before reshaping your gums. Once the infection is cleared, addressing gum recession usually requires removing tissue from another part of your mouth and grafting it to the receded area to help lengthen and reshape the gumline.

Cosmetic Gum Surgery Recovery

Gum surgery can be painful, and you might need to rest for a day or two, depending on how tender your gums feel. Complete healing can take a few days to a few weeks. While you heal, eat soft foods, and follow your dental professional's post-surgery instructions for caring for the site. If you see any signs of infection like increased pain or swelling, contact your dental professional immediately.

Are You a Good Candidate for Gum Reshaping?

Gum reshaping could provide a simple solution for improving the appearance of your smile. However, you should consider the following factors before making a decision:

Oral health. Are your teeth and gums healthy? If you struggle with gum disease or tooth decay, you will want to invest in restoring your oral health before seeking cosmetic procedures.

Cost. According to CostHelper, dental contouring fees can range from $50-$500 per tooth, depending on how much work is needed. Plus, if the procedure is purely for cosmetic reasons, your dental insurance might not cover it.

Cosmetic needs. Gum reshaping can only make your teeth look larger or smaller by moving the gumline. It cannot impact the shape, color, or position of the tooth, which would require other procedures.

Ultimately, you should consult your dentist about whether gum reshaping is right for you. They can examine your teeth and gums and make the best recommendations for enhancing your smile.

(04/29/2023)
by Colgate

More Information: https://www.colgate.com/en-us/oral-health/adult-oral-care/gum-reshaping


Views: 446
Share
Share

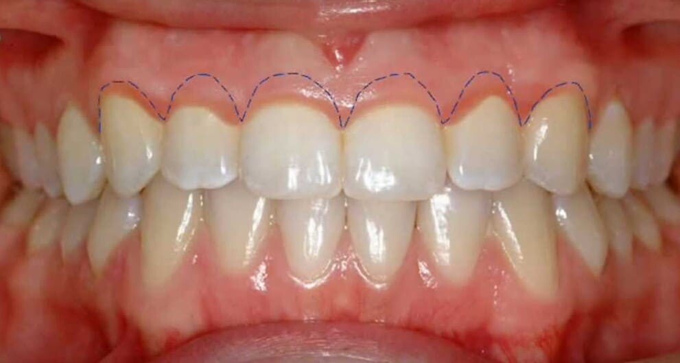
Five Causes Of Bleeding Gums You Should Know

If you’ve noticed some blood after brushing or flossing your teeth, there’s no need to panic. There are several reasons why your gums may bleed. In this article, we’ll discuss what commonly causes bleeding gums after brushing – and when to see a dentist.

What causes bleeding gums?

Although there are several reasons why gums may bleed, some causes are more severe than others. Sometimes, it’s caused by neglecting proper oral hygiene. However, there are other common causes of bleeding gums, which we’ll describe in-depth below:

Gingivitis

Medications

Changes in dental hygiene routine

Brushing or flossing too vigorously or with too much pressure

Pregnancy gingivitis

1. Gingivitis

Gingivitis is the first stage of periodontal disease (gum disease). It can cause swollen, bleeding gums during brushing. The leading cause of gingivitis is improper oral hygiene. When plaque on your teeth and at the gum line is not removed by brushing and flossing, it can affect the gums. The good news is that gingivitis is reversible with good oral hygiene and treatment with your dental professional.

However, if you don’t address your gingivitis, it can progress to periodontal disease, the second (and irreversible) stage of gum disease. So make sure you keep in regular contact with your dental professional and seek treatment as soon as the early signs of gingivitis appear.

Be aware that gingivitis can also affect other health conditions. According to information from the Dental Practice Education Research Unit – a joint venture between the University of Adelaide and Colgate Oral Care, studies have confirmed that patients with diabetes, both type 1 and type 2, are more susceptible to periodontal (gum) diseases. Further, some people can have a potential association between gum disease and other severe health conditions such as heart disease and stroke.

2. Medications

Blood-thinning medications are also a possible cause of bleeding gums. Blood-thinning medications decrease the blood’s ability to clot, which can lead to bleeding. So the next time you’re at an appointment with your health professional, let them know if this is occurring and tell them which medicines you’re taking. If the bleeding becomes more serious, contact your doctor immediately.

3. Changes in your dental care routine

If you have not flossed regularly before, your gums might bleed between your teeth when you begin. This bleeding should clear up within a week of regular care. If it doesn’t, then contact your dentist to set up an appointment, as this may be a sign of improper flossing.

Using a firm-bristle toothbrush may also result in bleeding gums. Switch to a soft or medium-bristled brush and talk to your dental professional about which toothbrush is right for you at your next appointment.

4. Brushing or flossing too vigorously

You may notice some bleeding if you floss or brush too vigorously. But don’t give up the practice — both flossing and brushing are critical for oral health. Instead, approach both activities more gently. The bleeding should stop within a week.

5. Pregnancy gingivitis

According to the Australian Dental Association, some women develop ‘pregnancy gingivitis’, where gums become more sensitive, swell and bleed when brushing and flossing. Hormones can alter the body’s response to the bacteria that cause gum disease, causing inflammation. Routine dental checkups and oral hygiene appointments, regular brushing and daily flossing can help to prevent gum inflammation and bleeding from starting or becoming worse.

Bleeding gums may seem alarming, but you can usually remedy the problem. Proper, regular oral hygiene using a soft-bristled brush and a gentle flossing technique should do the trick. Keep up with your regular dental appointments so you can prevent or treat gingivitis as soon as signs appear. But remember, if your bleeding doesn’t stop, contact your dentist or doctor immediately.

(05/01/2023)
by Colgate

More Information: https://www.colgate.com.au/oral-health/gum-disease/5-causes-of-bleeding-gums-you-should-know


Views: 574
Share
Share

Is The Sore On Your Tongue Serious?

A sore on your tongue is a nuisance. Causes can include the foods you eat, certain medications, broken teeth and some diseases. You can look for certain signs to determine when a sore requires a visit to a dental or medical professional.

Mouth Ulcer

Mouth ulcers can appear on the gums, roof of the mouth, cheeks and tongue. According to the National Health Service (NHS), you may develop a mouth, cheek or tongue ulcer from biting the inside of your mouth. Genetics, stress, broken teeth, spicy and acidic foods or a burnt tongue may lead to mouth ulcers. Make sure you're getting enough B-12, folate, zinc and iron because mouth ulcers may develop when you lack these nutrients. This type of sore on your tongue typically goes away on its own within two weeks. You may want to rinse your mouth with a mouthwash designed for mouth ulcers to soothe the sore and reduce irritation.

It is worth noting that recurrent mouth ulcers are thought to be hereditary as up to 40 per cent of people who experience them report it runs in their family, as noted by NI Direct. If you get this type of sore regularly, your child is likely to get it. Mouth ulcers occur more often in women. Limit the acidic or rough-textured foods that your child eats. If the problem is recurring, consult your child's paediatrician about medications they take or food they eat that may lead to frequent mouth ulcers.

Cold Sore

A sore on your tongue may be a cold sore. According to the NHS, this type of sore is caused by a contagious virus. Once caught, the virus lives inside your body for years, and certain triggers activate the virus, causing a cold sore to develop. Triggers for the disease include illness, hormonal changes, stress and sunburn. Cold sores usually go away on their own within two weeks. Over-the-counter treatments are available to help the cold sore disappear more quickly.

You or your child can contract a cold sore from touching something that the virus has contaminated, such as a towel, toothbrush or eating utensils. It's possible for a child to contract a cold sore on the tongue if their tongue comes into contact with a sore on their face. Also ensure that they wash their hands frequently; touching the sore may cause it to spread to other areas. Eating ice pops, rinsing with salt water and taking pain relievers can help your child feel better until the sore goes away.

Oral Lichen Planus

Lichen planus is an inflammatory skin condition, and those with the condition will most likely experience symptoms on the legs and arms. However, lichen planus has the potential to affect your mouth as well, according to the NHS. In fact, you may develop a sore on your tongue or on the cheek area, and the sore may feel tender and itch. It looks like white patches on your tongue or cheeks. The cause of lichen planus is unknown, but an allergic reaction or infection may be a factor. Visit a doctor for medication and for a prescription for light therapy to treat this disease.

Consult with a Healthcare Professional

Consult with a healthcare provider if the sore lasts longer than two weeks or if you experience a skin rash, fever, difficulty swallowing or drooling in addition to the sore. If you find a lesion, lump or ulcer on your tongue, and if the development of the sore coincides with the start of a new medication or if the sore is accompanied by other symptoms, such as a strange taste in your mouth, difficulty swallowing or deep cracks within the tissue of the sore, seek treatment from a medical professional. A persistent sore could be an indication of a more serious condition.

(05/02/2023)
by Colgate

More Information: https://www.colgate.com/en-gb/oral-health/mouth-sores-and-infections/is-the-sore-on-your-tongue-serious-0214


Views: 451
Share
Share

Oral Health Mistakes You Never Knew You Were Making

Taking care of our teeth and gums seems pretty straightforward. Brush your teeth twice per day and floss when you think of it. Be sure to see your dentist twice per year and you're golden. However, there is more to it.

There are some healthy practices you may be doing right now that are not so healthy for your teeth. From drinking fresh juice to brushing your teeth too often, you may be making some serious mistakes for your oral health.

Juicing

I have always assumed that those bloggers who share their fresh juice on Instagram every day are the picture of health. While that colorful drink may be doing wonders for their gut health, it's not doing their oral health any favors.

"Hot trends like juicing and the emphasis on eating a 'colorful' plate mean we're also eating heavily pigmented food, which can cause staining of the teeth. So when patients ask me about keeping their teeth healthy and how they can extend the effectiveness of things like whitening, bonding, and post-bleaching color, I recommend using a straw for heavily pigmented foods and liquids like coffee and juices," Asia Richardson, general dentist and owner of five DentalWorks practices, told me. "You always want to minimize the amount of pigments you're exposing your teeth to, so when you do eat or drink those things that have the potential to stain your teeth, don't be afraid to use a straw when you can!"

If you're a water drinker like me, don't think you're off the hook. Lemon water can also harm your teeth. "Many people are drinking lemon water in the morning to help increase their metabolism, and unfortunately lemon water creates a very acidic environment in your mouth, which can cause enamel erosion," Cosmetic Dentist Daniel Rubinshtein told me.

Occasionally skipping brushing your teeth at night

We've all been there. You get home late from a night out with friends and have to get up early in the morning. You're exhausted and just fall into bed without brushing your teeth. If this routine starts becoming more common for you, your oral health will suffer.

"If you skip your nightly routine of brushing, flossing, and using mouthwash to keep your smile healthy, you will be creating a very bad habit. People find it easier to find the time in the morning to brush their teeth, because they are more likely to want to feel and look their best for the day ahead," Chief Dental Officer of DentalCorp Dr. Gary Glassman told me. "Most often people who find brushing their teeth before bed to be pointless just forget to do it. Skipping brushing your teeth before bed can have very bad consequences." According to Dr. Glassman, when you go to bed without brushing your teeth, your mouth will become more acidic, which leads to plaque and bacteria building up.

"If you forget to brush before bed once in awhile, this likely won't have a huge impact on your smile," explained Dr. Glassman. "The important thing is to not make a habit of it. If you're going to bed a few nights a week without brushing, you're putting your beautiful smile at risk for enamel erosion, cavities, gum disease, and plaque buildup. A two-minute brush before bed can prevent this from happening!"

Not cleaning or replacing your toothbrush

I tend to replace my toothbrush every six months, because I always receive a new one when I go to the dentist for my teeth cleaning. However, even that is not often enough to keep my toothbrush clean and protect my oral health.

"You should change your toothbrush every three months and any time you have been sick," Dr. Glassman told me. "If you have an electric or power toothbrush, you can use the ultraviolet system, which is good to do fresh out of package when replacing heads. You can also soak your toothbrush head for 20 minutes in mouthwash."

These are the safest ways to clean your toothbrush. Never put your toothbrush in the dishwasher or microwave to clean, because the plastic could melt.

Putting off your appointment

I get it. I really do. You're busy. In between work, family obligations, and the occasional night out with friends, you're stretched pretty thin, and going to the dentist can fall to the bottom of the priority list. However, putting off your appointment will only cause more oral health issues down the road. "Don't skip your check-ups," Dr. Glassman told me. "It's all about prevention prevention prevention."

If you choose to only visit the dentist when there is already an issue, it may be too late to treat it. "Going to see the dentist or dental hygienist when something hurts may be much more costly and possibly too late," Certified Dental Hygienist and educator Jo-Anne Jones told me. "Many disease processes in the mouth, including early decay, cancer, or pre-cancer and periodontal (gum) disease, are often silent until they are in the advanced stages. Your dental professional knows the early warning signs. Regular oral exams, both professionally and also performing a regular oral self-exam, provide you with the best possible outcome to maintain oral and overall health."

Brushing your teeth after drinking coffee

Most of us know that coffee isn't great for our teeth. I can't stand the stains that it leaves, but I can't quite quit it yet. I would assume that brushing the coffee off immediately would prevent those stains, but it will also damage your teeth.

"Most people think that you should brush their teeth right after drinking coffee to help fight staining and bad breath, but that actually is not correct," Courtney Schiefelbein, a board certified orthodontist in New York City, told me. "Those beverages are so acidic that if you brush immediately after, you will cause more damage to your enamel because of the acid. Like they say, patience is a virtue. It's actually better to wait at least 30 minutes before you brush for the pH in your mouth to naturally neutralize. If you want a cleaner feeling right after you sip on your cup of joe, go for a rinse with water or a fluoride mouth rinse."

Drinking sports drinks

Athletes and gym-goers rely on sports drinks for a nice pick-me-up after working out, but they're not all good. Because these drinks can be so sugary, when it comes to oral health you might as well just pop a few candy bars after your barre class. 

"People think sports drinks are healthy, as they have plenty of electrolytes for those with an active lifestyle. However, they can sometimes be worse than soft drinks," Katie Polley, DMD of Summerville Pediatric Dentistry & Orthodontics told me. "They are filled with sugar, and since many people don't limit themselves on sports drinks like they do sodas, their sugar intake is increased, which causes cavities."

If you're used to relying on a sports drink after your workout, talk with your dentist or hygienist about better options.

Snacking throughout the day

I'm a grazer. I rarely eat one full meal, but rather prefer to lightly graze throughout the day. This keeps me feeling full and light while I'm working. However, my little habit is actually harming my oral health. 

"Frequency of sugar consumption is more important than quantity," explained Dr. Polley. "It is more damaging to your teeth to snack on or sip sugary food and drink throughout the day versus having it all in one sitting. Your teeth will be constantly coated in a sugary film eating away at your teeth."

So if you're craving something sweet, it's better to sit down and enjoy that brownie to the fullest, instead of mindlessly grabbing little candies all day long.

Drinking wine

This one stings. While we don't always taste it, wine is actually full of sugar, which means it's putting you at an increased risk for cavities, the most common oral health issue.

"Many people know not to eat foods that contain too much sugar in them like sweets, but most people do not pay attention to the amount of sugar in their beverages," Julia Faigel, DDS of Dr. Dental told me. "There is a lot of hidden sugar in your drink that you may not notice. For example, one glass of Chardonnay contains about 1.4 grams of sugar. All this sugar can stick to your teeth when you take a drink."

Brushing too hard

Has your toothbrush ever snapped in half during brushing? Mine has, and that was my first clue that I brush way too hard. "Brushing too hard or too aggressively is a common oral health mistake that many of my patients make," Regional Dental Director for Jefferson Dental Clinics Leslie Renee Townsend, DDS told me. "In fact, patients who use electric or spinning-head brushes tend to overuse these devices and can damage their tooth enamel and gum tissue."

Not sure if you're being too aggressive in your brushing habits? "Tell-tale signs that a patient has been brushing too forcefully include receding gums, teeth sensitivity, irritation of the gum line, and thin or worn enamel," explained Dr. Townsend. "You may notice that your toothbrush looks frayed or the bristles look bent; these are signs that you might be brushing too hard."

To fix this problem, simply use less pressure when brushing. "Ease off of your toothbrush. Time and consistency are more important to get a good clean than vigorous motions," said Dr. Townsend. "Keep in mind that daily brushing is important, but professional dental cleanings are the best way to remove built up plaque and tartar."

(04/29/2023)
by The List

More Information: https://www.thelist.com/95973/oral-health-mistakes-never-knew-making/


Views: 447
Share
Share

Reasons Why You Should Brush Your Tongue

You know that it is important to brush your teeth twice a day to maintain good oral health, but did you also know how important it is to brush your tongue? Just like our teeth, the tongue can collect bacteria through the day and if not cleaned every day, oral problems can arise. Brushing your tongue might seem like an unnecessary step, but there are actually a few reasons why it’s important.

Halitosis (Bad Breath): The most common problem associated with not brushing your tongue is bad breath. Most of the bacteria in your mouth live on your tongue and breeds, spreading on to your teeth. By not brushing your tongue the bacteria will eventually develop a terrible odor. There are other ways of getting bad breath and you can read about in our blog What Causes Bad Breath and More Oral Health Questions for Your Dentist.

Diminished Taste Buds: If you ever found yourself biting into your favorite snack and being disappointed by the dull taste then you might have diminished taste buds. By not brushing your tongue, a biofilm of bacteria and old food particles can build up and cover your taste buds, making everything taste dull.

Oral Thrush (Yeast Infection): This may come to you as a shock, but you can develop a yeast infection in your mouth by not brushing your tongue. With too much bacteria build up, a yeast infection can form, making white patches appear on your tongue. This can be treated with antifungal medications and brushing your tongue regularly.

Periodontal Disease: When bacteria builds up on your tongue it transfers to your teeth, causing your gums to become red and inflamed. If your gums aren’t treated properly, this inflammation can turn into periodontal disease. This disease may lead to serious health risks and if diagnosed, it is important to schedule a periodontal scaling appointment with your dentist.

Black Hair Tongue: It’s just as awful as it sounds. This occurs when the papillae — the tiny bumps on your tongue — get stained by dark dark foods and drinks, such as, red wine, coffee, or soda. If the stains aren’t brushed away, the tongue gets a dark, hair-like appearance. This can easily be removed by brushing your tongue and rinsing your mouth with mouthwash.

How to Brush Your Tongue

Brushing your tongue should become a part of your brushing routine, meaning you should do it every time you brush. Make sure to brush gently, brushing with too much pressure or too vigorously can damage the fragile skin on your tongue. Colgate recommends you use a separate toothbrush or a tongue scraper for your tongue to avoid transmitting any plague or bacteria to your teeth.

Brushing your tongue with a toothbrush:

♦ Brush back and forth

♦ Brush side to side

♦ Rinse with water

 

Following a regular oral care routine that focuses on good hygiene is the best way to battle bacteria in your mouth. In a good routine, tongue brushing should always be included. Download our free diagram on selecting the right toothpaste to get started on building good oral health.

(05/02/2023)
by Astrid Graterol

More Information: https://blog.solsticebenefits.com/solstice-member-blog/5-reasons-why-you-should-brush-your-tongue


Views: 759
Share
Share

How To Strengthen Weak Enamel

You may not have heard of the essential part of your teeth known as the enamel until you had a problem associated with it. While some damage to your enamel can’t be repaired on your own, there are steps you can take to support and protect it. We’ll cover what enamel is, how to strengthen teeth, and what behaviors to avoid.

How To Strengthen Tooth Enamel

The hard outer layer covering the crowns (tops) of your teeth is known as the enamel. Interestingly, enamel is the hardest material produced by the human body. This vital layer protects the soft inside of your teeth (also known as the pulp) from damage, decay, and infection.

Even though enamel is a robust material, it can thin out over time. If you don’t practice proper dental hygiene or have an unhealthy diet, bacteria can wear down your enamel over time and lead to cavities through tooth decay. Additionally, other behaviors can contribute to dental erosion, damage to your enamel caused by an acidic environment that’s not due to bacteria.

Causes of weakened enamel may include:

Improper dental habits

Unhealthy diet, especially consuming overly-sugary or acidic foods and beverages

Brushing too hard or using a hard-bristled toothbrush

Chronic health conditions

Smoking or using tobacco products

Acid reflux or vomiting

Overconsumption of alcohol

Dry mouth (also known as xerostomia)

Traumatic injury

It’s crucial to care for your enamel as it does not regenerate on its own like the cells in your bones do. Saliva helps maintain your enamel by mineralizing it, neutralizing acidity, and washing away food matter, but it will not fully heal it.

You may be wondering how to strengthen enamel. Luckily, there are steps you can take to support your enamel and prevent further damage; we’ve outlined four top tips for you below.

1. Avoid Unhealthy Dietary Choices

When it comes to protecting your enamel and your long-term oral health, avoiding unhealthy dietary choices is your most powerful option. A sugary and acidic environment is exactly what bacteria need to grow in your mouth and break down your enamel, so foods and drinks that feed bacteria are smart to avoid.

Items that are both sugary and acidic will be doubly harmful to your oral health if consumed regularly. According to the American Dental Association, soft drinks are a major contributor to dental erosion.

Dietary habits that may damage your enamel include:

Snacking too much between meals

Soda, soft drinks, and sports drinks

Juices containing citruses like lemon, lime, or grapefruit

Candy, pastries, and other desserts

Drinking excessive alcohol

Chewing on ice, non-food items (like pens and pencils), and hard foods like peanut-brittle

Any overly sugary or acidic food or beverage

If you do end up eating the occasional treat, it’s best to rinse with water or mouthwash after to help prevent some of the associated damage. Also, be sure to brush your teeth soon if possible, the American Dental Association recommends waiting 60 minutes after a meal or snack.

2. Choose a Tooth-Healthy Diet

In the same way that some foods and drinks can contribute to tooth decay, some dietary choices are powerful ways to support your enamel and oral health. Choices that support your oral health will be rich in nutrients, promote saliva production, promote remineralization, or all of the above!

Healthy dietary choices for your enamel may include:

Whole grains

Fruits and vegetables

Lean proteins

Low-fat dairy products

Water (to stay hydrated!)

Helpful tip: Chewing sugar-free gum that contains xylitol is also a great way to promote saliva production and keep your enamel strong!

3. Choose Fluoridating Products

There are various products available to help maintain your enamel’s health, including those that remineralize your teeth. Chief among these are products that contain fluoride, a helpful element that helps strengthen your teeth and prevent cavities.

Products that contain fluoride may include:

Toothpaste

Mouthwash and antiseptic mouthrinse

Water (most tap water contains fluoride!)

If you’re searching for the most effective option available, it’s a good idea to consult your dental professional about concentrated fluoride gel that they can apply during a scheduled visit. They’ll also be happy to provide other vital diagnoses and treatment advice regarding your oral health.

4. Proper Dental Hygiene

When it comes to your oral hygiene, the best news is the most powerful choices are entirely within your control. We discussed the first major choices above about your diet. The second is practicing a proper dental care routine.

Oral hygiene tips to properly care for your enamel may include:

Brush gently for two minutes twice a day using a soft-bristled toothbrush

Clean between your teeth once a day using floss, a flossing device, or an interdental brush

Replace your toothbrush when it becomes frayed or worn

Select a fluoridated, enamel-hardening toothpaste

Visit your dental professional at least every six months to address oral problems early and prevent long-term damage

If you’re struggling to make lasting changes to your diet or dental routine, remember that the first day will be the hardest. The longer you maintain your routine, the more the habit will build and the easier it will be to make healthy choices. You’ve made a tremendous first step by reading up on the top four choices for your enamel’s health and what you can do.

(04/30/2023)
by Colgate

More Information: N


Views: 451
Share
Share

Oral Health & Longevity: ​How Taking Better Care of Your Teeth Might Prolong Your Life

Having poor oral health doesn’t mean just cavities and gum disease. Statistics show that an unhealthy mouth can substantially increase the risk of suffering major health problems, including heart disease, respiratory infections, Alzheimer’s disease and diabetic complications. In fact, seven of the 10 leading causes of death listed by the Centers for Disease Control and Prevention (CDC) have been linked to bacteria or inflammation in the oral cavity. Periodontal disease has also been associated with premature labor and a low birth-weight baby. 

Clearly, these are all good reasons to exercise consistent oral care, yet many people do not for a variety of reasons. It’s not just teeth and gums; your whole body can be at risk if you let your dental health go. But too often adults, and especially parents, have put themselves last, including in regard to their own dental care, which they might see as cosmetic and not an immediate necessity.

As they age and neglect their teeth and gums more, their oral health worsens and it can definitely correlate with overall health issues. We’ve got to get more people learning how to take care of their teeth as they would their bodies. Here's how to get to the root of the self-oral care problem:

Prioritize your oral care. That starts with recognizing behaviors that undermine self-care, or in effect, people putting themselves last. Parents just get caught up in their daily family life. When it isn’t family, it’s work. Self-care takes a back seat to everything else. Sometimes, this self-neglect stems from negative behavior patterns that began in childhood due to how they were raised. Perhaps a parent abandoned them, they were deprived emotionally, or they felt like a failure. Understanding and correcting those behaviors can help make dental care an important part of one’s improved self-image.

Regular brushing and flossing. People with good oral hygiene spend less on health care overall. While brushing and flossing well should be obvious, people would be amazed at how much better their teeth and gums would be if they simply adhered to a daily oral-hygiene regimen. Proper brushing and flossing can turn back the clock on gum disease. Oral hygiene has a direct impact on the mouth’s microbiome, which is the balance of organisms that keep decay at bay. Without good oral hygiene, the mouth is at risk for developing periodontal disease – the leading cause of tooth loss in adults.

Commit to a healthier diet. Excess sugar is one of the primary culprits of plaque, a sticky deposit on the teeth in which bacteria proliferate. Bad bacteria in the mouth feed off sugar and are the primary drivers of oral problems. Without eating healthier foods and having good levels of vitamins and minerals in the body, good bacteria turn to harmful, which leads to tooth decay.

Stick with the program. Dental treatment alone offers no guarantees for the long term. The patient is the key person in the whole process. Successful outcomes rely on the patient to be a member of the care team. That means being open to being educated and following through with the dentist, and also it means what they’re doing outside the dentist office is just as important.

Your teeth are meant to be with you for life. And how you take care of them, and your gums, could go a long way toward dictating how long, and with what kind of quality, you live.

(05/03/2023)
by 30 Seconds

More Information: N


Views: 665
Share
Share

How to Preserve Your Teeth as You Age

Everyone knows that human bodies weaken over time, and teeth are no exception. Often taken for granted, teeth are very important for overall health and can become weak if they aren’t cared for properly. Continue reading to learn five ways to help you preserve your teeth as you age.

5 Tips to Preserve Your Teeth

Practice proper oral hygiene – Properly brushing and flossing between your teeth twice each day will help you fight tooth decay and periodontal disease which can lead to tooth loss.

Stay on top of professional treatment – Routine cleanings and oral health examinations will help maintain your oral health and catch any negative conditions that you may develop. Early intervention is the key to preserve your teeth and oral health, and you should also make a point of having any dental crowns or fillings replaced as needed.

Limit your consumption of acidic liquids – Heavy consumption of acidic drinks such as soda, alcohol, and juice contribute to tooth erosion and decay. Do your best to drink more water than flavored liquids, and rinse your mouth with water after you do drink soda or fruit juice.

Protect your teeth when you sleep – Many people suffer from deteriorating teeth as they age because of uncontrollable tooth grinding when they sleep. Your dentist will be able to notice if you have this problem quite easily and will suggest that you wear a special mouthguard while you sleep to protect your teeth.

Lead a healthy lifestyle – Routine exercise and following a healthy diet is important for overall health and can help you preserve your teeth by reducing your chances of developing diabetes, heart disease, or other conditions that can seriously harm gum health. Make a point of eating plenty of calcium-rich foods such as low-fat dairy products or cruciferous vegetables such as broccoli to keep your teeth and bones strong.

(05/03/2023)
by David Davenport

More Information: https://www.peachtreeperio.com/how-to-preserve-your-teeth-as-you-age/


Views: 654
Share