Dentists Journal

Top Ten Stories of the Week
7/15/2023

All Dentists Journal · Previous Week · This Week · All Time List · Headlines

Share

Eagle Syndrome: Signs and Treatment Options

You're likely in the know about common secondary ailments that can impact your dental health. But are you familiar with Eagle syndrome? Many people are not. This syndrome expresses itself as throat and facial pain and is typically associated with the removal of tonsils or trauma to the throat area.

If this sounds like something you could be dealing with, contact your dentist right away. In the meantime, here's what to look out for and what to expect from your care.

Signs of Eagle Syndrome

What is Eagle syndrome? Eagle syndrome is also known as an elongated styloid process or styloid-stylohyoid syndrome. The styloid process is a small bone located just below your ear. This small bone can cause a lot of pain if elongation or if calcification occurs. These things result in pinched vessels or nerves and lead to inflammation.

Let's go over Eagle syndrome symptoms so you know what to look for. They include:

Sore throat

Earache

Reduced hearing

Tinnitus

Trouble swallowing or chewing

Feeling as though you have something in your throat

Pain when yawning or turning your neck

Facial pain

According to the Genetic and Rare Diseases Information Center (GARD), only 4 percent of the population have an elongated styloid process, and most patients are asymptomatic. Eagle syndrome is very rare. It's estimated to occur in 1 of 62,500 people, and women are three times more likely than men to have this syndrome.

Diagnosis of Eagle Syndrome

Diagnosis of Eagle syndrome can be challenging because there are many illnesses associated with having a sore throat. Your first response may be to visit your doctor, which is always a good idea. But it's also important to schedule an appointment with your dentist. They can examine your mouth for signs of other problems and recommend the best next steps.

Your doctor or dentist will probably feel your head and neck for any signs of an unusually long styloid process. They may also use an X-ray or CT scan to see your styloid process and stylohyoid ligament in better detail.

You might also be asked to see an ear, nose, and throat specialist to rule out any other conditions that could be causing your symptoms.

Surgical and Non-Surgical Treatments

If you get diagnosed with Eagle syndrome, your medical team will decide the best way to treat it based on your specific case and pain level. Eagle syndrome treatment usually starts with conservative medical management before surgery of any kind is considered.

According to Medscape, medication treatment may include:

Pain relievers

Seizure medication

Antidepressants

Local application of steroids or numbing agents

Suppose non-surgical treatment isn't working for you. In that case, your medical team may recommend steroids, pain block injections, or surgery to remove the bone, according to a report published in the Journal of Maxillofacial and Oral Surgery. After surgery, you may receive an analgesics prescription, and your provider will ask you to return in seven days so they can remove your stitches.

You're now informed on the ins and outs of Eagle syndrome. If you're having trouble pinpointing what's happening with throat and facial pain, check-in with your dental professional, they're a fantastic resource to help you with pain in the area. If you're diagnosed with Eagle syndrome, remember that there are plenty of treatment options. And that medicine is usually the first choice before surgery. You've made a great choice to read up on this condition.

(07/08/2023)
by Colgate

More Information: https://www.colgate.com/en-us/oral-health/threats-to-dental-health/eagle-syndrome-signs-and-treatment-options


Views: 429
Share
Share

Ten Possible Causes Of A Numb Mouth

You might be familiar with the oral numbness that occurs due to local anesthesia during dental procedures. A spontaneously numb mouth — without anesthesia — is a less common occurrence. If your mouth has become numb for no apparent reason, you may be concerned. Here are some potential causes and how you can seek treatment.

Abnormal Sensation vs. Lost Sensation

Oral paresthesia refers to an abnormal sensation in the mouth. These sensations may include tingling, prickling or feeling like your mouth is swollen or burning, reports an article published in Journal of Clinical and Diagnostic Research.

Alternately, oral hypoesthesia refers to a loss of sensation in the mouth, explains the textbook Oral and Maxillofacial Surgery. People with this type of numbness may notice that they're less able to sense various stimuli inside their mouths. For example, you may be less able to perceive temperature, touch or pressure in the affected areas.

Possible Causes of Numbness in the Mouth

Whether you feel strange sensations in your mouth or you've lost the ability to feel inside your mouth at all, there are many possible causes, including oral conditions and conditions that affect the whole body.

Hypocalcemia: Hypocalcemia, a low level of calcium in the blood, can cause numbness around the mouth or in other parts of the body, reports the Cleveland Clinic. This condition most commonly occurs with individuals who don't have parathyroid glands or who have a severe vitamin D deficiency.

Vitamin Deficiency: Deficiencies in vitamin B12 or folate may also be responsible for a numb mouth. As the U.K.'s National Health Service explains, these vitamins help keep your nerves healthy, so without a sufficient amount of them, you can experience a pins-and-needles sensation.

Hypoglycemia: A numb tongue or mouth is one of the possible symptoms of hypoglycemia (low blood sugar), explains the Cleveland Clinic. It may affect people who use insulin or other medications to manage their diabetes. Factors such as skipping meals, taking too much medication or not eating enough carbohydrates can lead to low blood sugar.

Multiple Sclerosis: Multiple sclerosis, a central nervous system disease, may cause numbness in the face or other areas. The National Multiple Sclerosis Society explains that this numbness can range from mild to severe. In cases that affect the mouth, people may accidentally bite their tongues or the insides of their cheeks while eating.

Psychological Conditions: Numbness in the mouth can be caused by psychological conditions, as reported by the Journal of Clinical and Diagnostic Research article. This phenomenon, known as psychogenic oral paresthesia, can affect people with anxiety disorders or depression and often affects the tongue.

Nerve-Related Paresthesia: According to a report in the Journal of Dental Anesthesia and Pain Medicine, the inferior alveolar nerve — one of the nerves often involved in dental treatment and surgery — can be a source of oral paresthesia. After dental work, a patient may experience altered sensation or numbness in the lips, cheek, tongue and inside of the mouth.

Allergic Reaction: Some people experience allergic reactions in their mouths after eating certain fruits or vegetables. These reactions, known as oral allergy syndrome, can lead to a tingling sensation inside the mouth, explains Oxford University Hospitals.

Seizures: Partial seizures, which affect a limited area of the brain, can cause various symptoms throughout the body, depending on the part of the brain that's affected. The National Institutes of Health reports that abnormal sensations, such as tingling or numbness, may be associated with seizures.

Burning Mouth Syndrome: Tingling in the mouth can also be related to a complex condition called burning mouth syndrome. According to the National Institute of Dental and Craniofacial Research (NIDCR), this condition describes a burning, tingling or numb sensation in the mouth, and it can be caused by nerve damage or an underlying health condition, such as an oral infection, diabetes or acid reflux.

Oral Cancer: In rare cases, mouth numbness may be a sign of oral cancer, notes the NIDCR. Oral cancer can form on the tongue, gums and other areas inside the mouth. This type of cancer is often related to the use of alcohol or tobacco or infection with the human papilloma virus (HPV).

Diagnosis and Treatment

To find out what's causing your mouth numbness, see your doctor or dentist. They will ask questions about your symptoms and your medical history and, if necessary, perform testing. Testing may include allergy assessments, blood tests or other tests your doctor deems necessary.

Once the cause of the numbness has been determined, your doctor will discuss treatment options. For example, if a vitamin deficiency is to blame, you might be prescribed a vitamin supplement. In cases where a psychological cause is suspected, medications such as antidepressants may be helpful. Treatment for oral cancer might include surgery and radiation therapy. Your doctor or dentist can provide more specific information about the appropriate treatment for you.

A wide variety of conditions can lead to numbness in the mouth, but treatments are available. If your mouth is feeling numb, make an appointment with your doctor or dentist.

(07/07/2023)
by Colgate

More Information: N


Views: 596
Share
Share

Five Best Practices for Healthy Gum And Teeth

The mouth has so many amazing functions. We use it to eat, speak, smile and express ourselves. Of the twelve cranial nerves that we have, almost half have a part to play in our mouth and throat. Given how important this part of our body is, knowing how to take care of it allows us to function healthily and gracefully for the rest of our lives.

Everything we consume goes through our mouths. It is the first point of contact that we have with our food. Have you ever thought of eating with dirty forks and spoons? If that thought is repulsive to you, consider that poor oral hygiene means that all the food that you chew and swallow are mixed with extremely high amounts of disease-causing germs and bacteria. And all this before you even swallow your food, not a very pleasant thought indeed!

So how do we ensure that this important part of our body is well taken care of so that we can live healthily for the rest of our lives?

The following are the best dental practices that can help you maintain good oral health;

Brush your teeth.

We have heard this phrase since we were kids, and for good reason! We only have one set of permanent teeth, take care of them and they will serve you well in the years to come. As your teeth are exposed to the external environment and everything you will ingest, brushing twice daily is essential in keeping them clean.

Here are proper brushing basics you should practice

Brush your teeth twice a day. When brushing your teeth, do it systematically. This process should take at least two minutes. Do not forget to clean your tongue as it harbours bacteria too. You can use a tongue scraper or a toothbrush to clean your tongue.

Brush the right way. Hold your toothbrush at a 45-degree angle at your gum line and aim the bristles towards the area where your teeth meet the gum. Use a gentle amount of pressure and brush in a short, circular motion, moving from one segment of teeth to the next. Remember to brush the inside, outside, and chewing surfaces of your teeth. Be gentle and do not scrub vigorously!

Electric or manual? Hard, medium or soft? You could get an equally good clean with an electric or manual toothbrush, but for those with manual dexterity issues, an electric toothbrush could be more efficient and convenient to use. Medium and hard-bristled toothbrushes are more abrasive in nature and may damage your teeth over time. That is why we recommend a soft-bristled toothbrush that feels gentle on your teeth.

Replace your toothbrush. You should change your toothbrush or a replacement head for your electric toothbrush every three months, after a bout of illness, or when the bristles start to fray.

Use a fluoride-based toothpaste. You should be using a toothpaste that includes fluoride with a concentration of 1450ppm as this is essential in protecting your teeth. Fluoride works by interacting with and hardening your tooth surface to make it less susceptible to decay, through the process called remineralisation. So before choosing the first minty toothpaste that you see in your local store, ensure that fluoride is the active ingredient and in the correct concentration.

Use a less abrasive toothpaste. Whitening toothpastes are generally more abrasive in nature. They are used to combat external stains on teeth from habits such as smoking. While these may help for a while for some people with these habits, in the long term these toothpastes are generally too harsh for your teeth and it is possible to slowly wear away your teeth. Toothpastes that are desensitising are generally lower on the abrasive scale and are gentler on your teeth.

 

 

Flossing For Oral Health.

The importance of flossing cannot be over-emphasised. It sounds tedious to do, but it is so important in ensuring that you remove bacteria from the areas between teeth that are inaccessible to your toothbrush. Also, with some practice, you will get faster and more efficient with it, I promise!

Here are the best practices when it comes to flossing;

Don’t skimp. Break off about 18 inches of dental floss (or about the length of the width of your shoulders). Wrap the floss around your middle fingers. Grip tightly between your thumbs and index fingers on each hand.

Be gentle. Slip the floss between your teeth. Curve it against the tooth on either side by making a c-shape when you reach the gum line. Remember to slide in under the gumline to clean out plaque hidden under the gumline. Floss the side of your tooth in up-and-down motions. Unwind fresh floss for each tooth

Do not hesitate to ask your dentist to show you how to get to areas you feel you are not reaching well enough. There could be a better technique that you were not aware of that you could learn!

Other Oral Care Tips For Healthy Teeth and Gum;

Reduce harmful habits

Smoking. Everyone knows that smoking kills, but did you know that smoking affects your gums and soft tissues too? Smoking increases the risk for gum disease, failure of dental implants and even oral cancers. If it is possible to reduce or break the habit, it would greatly benefit your oral health in the long term. For those that find it difficult to, you may have to visit the dentist more regularly for closer follow-ups.

Clenching and grinding. Some people grind or clench their teeth habitually. All these habits can cause an overload on your jaw joints, teeth and muscles of the jaw. Symptoms such as jaw pain, headaches and cracked teeth could develop in the long term. Speak to your dentist if you suspect that you have these habits or symptoms relating to them.

Chewing hard foods (nuts, ice etc). While nuts are generally healthy for you, over consumption of hard foods could result in development of cracked teeth. If possible, grind the nuts down before you eat them. Avoid harmful habits like chewing ice cubes, and most definitely do not crack open crab shells with your teeth, please!

 

Consume teeth-friendly foods.

For many people, the primary reason for eating food is that they taste good. However, what you eat has an impact on not only your health but your teeth too.

Foods that are lower in sugar content are generally healthier not just for your body but teeth. Feel free to eat what you enjoy, but remember that making small decisions for healthier options could have a huge positive impact on your health and teeth.

Do limit intake of carbonated drinks. These contain acids that will erode your teeth. Also, they normally contain excessive amounts of sugar, which worsens the damage to your teeth over time.

Frequency of snacking and meals play a vital role in managing your decay risk. In general, having fewer meals/snacks in a day reduces your risk of tooth decay. You could rinse with water after eating to wash out larger food particles.

Healthy tip – if you must take alcohol or sodas, do so with a straw to prevent most of the drink from having direct contact with your teeth.

 

See a Dentist Regularly.

Even if you applied the best dental practices that we stated above, regular visits to the dentist are still necessary.

There are dental problems that you may not be aware of until it is too late. By the time you feel pain, the cost to fix the problem could be rather painful to bear.

During your checkup, your dentist will do an oral examination (that may include taking dental x-rays), clean your teeth by removing tartar and plaque, as well as make recommendations on how often you should return for a visit. Most experts recommend that you see a dentist every six months. However, some patients do have to be followed up at a shorter interval of 3 months because of a higher risk for future problems. Your dentist will be able to personalise care for you.

Do seek professional help promptly if you notice any of the following symptoms;

Tender or swollen gums

Loose permanent teeth

Gums that bleed when you floss or brush

Unusual sensitivity to cold or hot beverages

Persistent bad breath and weird taste in your mouth

Pain when chewing things

Final Thoughts

Being able to eat, speak and smile confidently for your whole life is possible when small and inexpensive steps are taken regularly to maintain your oral health.

We sincerely hope that you do not wait until you develop major dental issues to consult a dentist. It is saddening when some of the issues that we see could have been completely prevented or addressed earlier with minimal invasiveness.

 

If you have fears about visiting the dentist, just speaking about it with us is the first step in managing your anxiety. It is possible to stage treatment into shorter, more manageable sessions.

(07/09/2023)
by Depacific dental Group
Views: 415
Share
Share

What's to know about itchy gums?

There are many reasons why gums can itch, from an allergic reaction to issues with teeth. What are the possible causes, and are itchy gums an early warning sign that can help prevent other health problems?

Gums are the soft tissue surrounding the teeth that provide a seal around each tooth. Healthy gums are essential for protecting teeth, and itching is often a sign that bacteria have built up between teeth and gums.

Itchy gums are usually easy to treat, and good dental hygiene can prevent most problems.

In some cases, itching could be a sign of a more serious concern, such as gum disease, so a person should visit a dentist if symptoms persist.

Symptoms

Itchy gums can have a number of different causes, so other symptoms can help determine the exact problem:

Itching that also affects the roof of the mouth may be an allergy.

Red, irritated, or inflamed gums could point to the first stages of gum disease.

Pain, aching, or swelling could be the result of an injury or tooth abscess.

Gums that bleed lightly for a short time is common, such as when someone first begins flossing.

However, regular bleeding may be a sign of an underlying concern a dentist should check.

Possible causes

 

A common cause of itchy gums is a plaque buildup on the teeth and gums. Plaque is a sticky film found on teeth, which contains bacteria that break down some of the simple sugars found in food and drink.

If plaque builds up and stays on teeth for long enough, it can begin to harden into tartar, which cannot be removed with floss or a toothbrush.

Tartar below the gum line can cause gums to become irritated and inflamed. This early stage of gum disease is called gingivitis.

A mild allergic reaction can cause an itchy mouth. If someone has hay fever, they may also suffer from oral allergy syndrome (OAS), which causes itchiness or swelling of the mouth, face, tongue, or throat after eating raw fruit or vegetables.

The teeth and gums are sensitive to hormonal changes. For women and girls experiencing puberty, pregnancy, or menopause, hormone changes may cause itchy gums or increase the risk for gum disease.

If someone has injured their teeth, gums, or mouth, they may experience itching as cuts or lesions begin to heal.

Bruxism is the medical term for teeth grinding. Grinding can cause damage to teeth and gums, including wearing away enamel or receding gums.

A dry mouth can be a common cause of itchy gums. The body should naturally produce enough saliva to keep the mouth moist, but certain medical conditions, medications, or foods may prevent this, resulting in a feeling of dryness. Drinking plenty of water throughout the day should quickly stop gums itching.

Less common causes of itchy gums include:

teething in younger children

teething in adults between the ages of 17 and 21 when the wisdom teeth usually come through

canker sores, oral herpes, or viral infections that can affect the gums

tooth abscesses

Poor dental hygiene is the underlying reason for many cases of itchy gums because the teeth and gums are not kept clean enough, and plaque builds up.

Read on to find out more about how to take care of teeth and gums, at-home remedies, and when to seek treatment.

 

Options for treatment and relief

There are a few simple things that people can do at home straight away to relieve gum itching and irritation:

brushing teeth, flossing, and using an antibacterial mouthwash

rinsing the mouth with a saltwater solution

taking an over-the-counter antihistamine if itching has been caused by an allergy

A person should see their dentist if itching persists or if other symptoms are present. Controlling inflammation and infection is key to stopping gums from itching.

Share on Pinterest

 

(07/10/2023)
by Medical News Today

More Information: https://www.medicalnewstoday.com/articles/319565


Views: 537
Share
Share

Is Ayurvedic Treatment for Dental Bone Loss Effective?

When you're not feeling well, what do you do? You might call your doctor or dentist or take an over-the-counter medicine. Alternatively, you might consider trying out some type of complementary or alternative medicine (CAM). As the National Center for Complementary and Integrative Health (NCCIH) notes, approximately 38% of adults in the U.S. have tried CAM, either alongside or in place of conventional medicine.

One example of a CAM therapy is Ayurveda. Many people have explored Ayurvedic treatment for dental bone loss, arthritis and other medical or dental conditions — but does the therapy work, and more importantly, is it safe to try?

What Is Ayurveda?

Ayurveda is an ancient system of medicine from India. The word "Ayurveda" comes from the Sanskrit words that mean "life" (ayur) and "science" or "knowledge" (veda), as Johns Hopkins Medicine points out. Ayurveda takes a holistic approach to treating illness or maintaining health. Treatments combine exercise, diet and lifestyle changes with the use of supplemental products. Ayurvedic products might come from plants, as well as metals, animals and minerals, as the NCCIH notes.

In India, Ayurveda is used as a traditional system of medical and health care. In the U.S., there are Ayurvedic practitioners, but there are no official training programs or licensure requirements in place like there are for medical doctors and dentists. Currently, the scientific research on the effects of Ayurveda for certain conditions remains limited, and the NCCIH observes that most studies on Ayurvedic treatments have been small, often with fewer than 100 subjects.

Common Ayurvedic Dental Treatments

Multiple Ayurvedic practices claim to help improve dental health. While some treatments seem very similar to conventional dental practices, others are notably different. A study published in the Pharmacognosy Review outlines several Ayurvedic oral health practices:

Dant Dhavani: This involves chewing herbal sticks or brushing your teeth with them in the morning and after eating to reduce the risk of disease.

Jivha Lekhana: This practice is the same as tongue scraping and aims to improve bad breath and reduce bacteria in the mouth.

Gandusha: This is the practice of gargling or swishing oil in the mouth, also known as oil pulling. Ayurvedic practitioners claim that this cleans the mouth and helps to treat certain diseases, such as diabetes.

Tissue and bone regeneration: Practitioners believe certain herbs, such as turmeric, can help regenerate lost bone or gum tissue. These supplements are taken internally via capsules.

Does Ayurvedic Treatment for Dental Bone Loss Work?

There seem to be few, if any, well-designed studies that show any evidence of Ayurvedic treatment being effective for dental bone loss. The studies noted by the NCCIH focused on Ayurvedic treatments for conditions such as diabetes, arthritis in the knees, rheumatoid arthritis and ulcerative colitis. The NCCIH also warns that many preparations used in Ayurvedic medicine contain potentially harmful metals or minerals. In fact, one study cited by the NCCIH revealed that 40% of people who used Ayurvedic treatments had elevated levels of lead in their blood.

If you're interested in Ayurveda or are curious to see if it could help improve your dental health, remember to consult your dentist before beginning any treatments. They will be able to advise you on the best, proven techniques to help treat your dental issue.

Proven Treatments for Dental Bone Loss

As the American Academy of Periodontology notes, dental bone loss often occurs in the advanced stages of periodontal disease. When this happens, one way to restore it is through a bone graft, as the Mayo Clinic points out. A bone graft might use your natural bone or synthetic bone material. The goal of the surgery is to encourage the regeneration of weakened bone in the jaw, usually to support dental implants.

Your dentist is always there to help you preserve your oral health and reduce your risk of periodontal disease and dental bone loss. Whether or not you have signs of advanced disease, you can work with your dentist to put together an oral care plan that will help you manage or treat current conditions and keep dental problems from developing in the future. If you're interested in exploring Ayurveda or other CAM therapies, it's still a good idea to discuss all of your options with a medical or dental professional first.

(07/09/2023)
by Colgate

More Information: N


Views: 623
Share
Share

When Is a Tooth Extraction Necesssary?

While dentists will often do everything possible to save a tooth no matter the age of the patient, there are some situations where tooth extraction is necessary. When it comes to removing teeth, there are two different types of extractions a dentist or oral surgeon can use depending on the reason for removal: Simple extraction and surgical extraction.

A simple extraction can be used when the tooth is already fully emerged past the gum line and can be easily removed using forceps. A surgical extraction involves cutting into the gums to retrieve a tooth, usually because it is impacted. Here are some common reasons a patient might need to have either a simple or surgical extraction performed.

Reasons for a simple tooth extraction

A dentist might suggest pulling a patient’s tooth because of infection or overcrowding in the mouth. Continue reading to learn more about each of these reasons for a tooth extraction.

Tooth decay or gum disease

Fillings or root canal treatment can often treat minor cases of tooth decay, but severe deterioration can warrant the need for extraction. This situation often occurs if the patient has not had a dental exam in a while and the decay has gone untreated for a long period of time. Eventually, the decay can extend to the pulp of the tooth leading to an infection.

If the infection is too severe to be treated by root canal therapy, the extraction of the tooth is necessary to keep the infection from spreading. Gum disease is another type of infection that causes the degeneration of the bones and tissues surrounding a tooth. If not addressed early on, these structures can deteriorate to the point that the tooth either falls out or needs to be pulled.

Overcrowding

If teeth are severely misaligned or overcrowded, it might be necessary to pull teeth to open up space in the mouth or to make an opening for an impacted tooth. Most often, the removal of the tooth or teeth is combined with orthodontic treatment. Braces are used after the tooth is removed to further expand the jawbone and balance the bite.

Impacted teeth and surgical extraction

An impacted tooth is one that has been blocked from emerging from the gums and is often discovered during a dental X-ray. Some impacted teeth will eventually break through the gums without treatment; also, removing baby teeth or orthodontic treatment can sometimes allow the teeth to come in properly. Other times, tooth extraction is necessary if the teeth are unable to erupt through the gums on their own. Often, surgical extraction is used on wisdom teeth or maxillary canines that cannot be guided to the correct position.

Conclusion

Typically, a dentist will do everything possible to preserve a tooth if possible before choosing to extract it. However, if the patient is suffering due to an infection of the tooth or gums it might be necessary to quickly remove the tooth to avoid even more harm from occurring. If teeth are overcrowded or impacted, a treatment plan can be made to determine if a tooth extraction is the best line of action.

(07/08/2023)
by Durango Dentistry

More Information: N


Views: 573
Share
Share

Does Seltzer Damage Your Teeth?

Adding a little fizz to your day with seltzer water is a great way to stay hydrated, but what effect does it have on your teeth? Some people use bubbly water as a sugar-free and calorie-free alternative to unhealthy carbonated beverages like soda. If you're a fan of seltzer drinks, these tips may help you understand how you can still enjoy them while keeping your mouth healthy.

What Are the Effects of Seltzer Drinks on Teeth?

Seltzer water gets its bubbles by being infused with carbon dioxide under high pressure. Carbonating water makes the water acidic, creating an acidic environment in your mouth which weakens enamel. Not to mention, some additives, such as citrus flavors, are more acidic than others.

Is It Better to Drink Water or Seltzer?

When it comes to hydration, a study from The American Journal of Clinical Nutrition suggests there's no difference between still water or carbonated water without additives. Though seltzer water is more acidic, it shouldn't do much damage to your teeth if enjoyed in moderation. Even flavored seltzer water can be significantly better than sugary drinks like sodas and juice.

According to the American Dental Association, water with fluoride naturally helps fight cavities by strengthening enamel against acids. Water washes away the leftover food cavity-causing bacteria feast on and keeps your mouth from becoming dry (which can put you at a higher risk of cavities).

If you want to keep your mouth healthy while you sip, try some of these helpful tips:

Stay hydrated: Be sure to drink water regularly to stay hydrated to prevent dry mouth.

Swish water around: Prevent sugars from sticking to your enamel by swishing some water in your mouth.

Drink through a straw: This can limit the amount of contact your mouth has with something that's highly acidic or sugary.

Fluoride mouthwash: Give your enamel some added protection by rinsing with fluoride mouthwash at least 30 minutes after drinking acidic or sugary beverages.

If you'd like something with all the carbonation of a soda, but nowhere near the sugar content, seltzers are a fantastic option—even if infused with sweet additives for flavor. Though seltzer drinks are more acidic than still water, they don't present a risk to your enamel or oral health if consumed in moderation.

(07/07/2023)
by Colgate

More Information: N


Views: 517
Share
Share

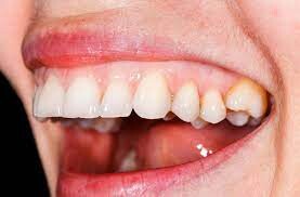
What causes pale gums?

Pale gums may indicate that a person has anemia, which is often the result of an iron deficiency. Painful or white gums may also be a sign of an underlying condition.

Healthy gums should be a relatively consistent shade of pink. They may appear slightly lighter around the teeth and darker around the sides of the mouth. One person’s gums may be naturally a little paler or darker than another’s.

When an individual notices that the color of their gums is changing, they should speak with a doctor, especially if additional symptoms are causing concern.

Read on to learn more about the causes of pale gums. We also describe accompanying symptoms, treatments, and when to see a doctor.

Causes and symptoms

Treatment and the number of symptoms will vary, depending on the cause of pale gums.

Below is a list of underlying conditions, their other symptoms, and their treatments:

Anemia

Anemia occurs when the body is not getting enough oxygen-rich blood. A lack of blood can cause some tissues to grow pale.

In addition to pale gums, a person with anemia may notice the following symptoms:

inexplicable exhaustion or weakness

shortness of breath

pale or yellowish skin and eyes

headaches

heart palpitations

Anemia often results from a lack of iron, folate, or vitamin B-12.

Otherwise, a person may have too few blood cells or not enough hemoglobin. In people with sickle cell anemia, the blood cells are abnormally shaped.

Medical conditions can also lead to anemia or increase a person’s risk. Some involve blood loss. They include:

very heavy menstruation

pregnancy

liver, spleen, or kidney conditions

hypothyroidism

bleeding in the stomach or intestines, which may result from gastrointestinal ulcers, cancers, abnormal growths, colitis, or swelling of the large intestine

Certain medications, particularly those for chemotherapy, can increase a person’s risk of developing anemia. Others develop the condition after taking too many nonsteroidal anti-inflammatory drugs, which leads to internal bleeding.

Treatment may be as simple as taking prescribed iron pills for at least 6 months. These pills are best taken with food and citrus juices, especially orange juice. It can also help to eat foods rich in iron, such as dark leafy greens and fortified cereals and bread.

When very heavy periods are responsible for anemia, a person may benefit from hormone medications that lighten menstruation.

Certain foods can interfere with the body’s absorption of iron. A person with anemia may wish to avoid:

coffee and tea

alcohol

whole grain products

dairy products

Leukoplakia

Oral leukoplakia can cause uniform, thin, white patches to develop on the gums. These alternate with, or are bordered by, regular gum or mucous tissues.

The white patches may have raised, white nodules or be speckled with red.

Leukoplakia patches can develop anywhere in the mouth and cannot be rubbed or scrubbed off.

The cause of this condition is unclear, but it seems to occur more often in people who smoke, consume a lot of alcohol, or have poor oral hygiene.

In many cases, leukoplakia patches are harmless. However, they can transform and become cancerous.

Anyone who notices these patches should speak with a doctor or dentist. Depending on the patches’ size and location, as well as individual risk factors such as smoking, a doctor may choose to monitor leukoplakia patches or surgically remove them.

When to see a doctor

Pale gums are a common sign of anemia, and mild anemia can be managed at home by increasing the intake of iron. However, severe cases can be life-threatening.

Speak with a doctor or dentist about pale gums as soon as possible. Receiving treatment early can reduce the risk of complications.

Seek medical advice if symptoms of infection accompany pale gums. These symptoms include:

bleeding gums

swollen, painful, or tender gums

gums that recede around the teeth

very bad breath

fever

loose teeth

difficulty or pain swallowing

gum abscesses

a metallic taste in the mouth

pain in the jaw or the face

Anyone who suspects that they have abnormal oral growths, such as those that occur in lichen planus or leukoplakia, should see a doctor or dentist and discuss treatment options.

When pale gums are associated with menopause or heavy menstrual periods, a person may want to speak with a doctor about hormone therapies that can reduce symptoms.

Tips for healthy gums

Practicing good oral hygiene is the easiest way to keep the gums healthy.

The following tips can help a person maintain good oral hygiene:

brush the teeth for at least 120 seconds twice daily or more often

floss every day

rinse the mouth with a product containing fluoride once or twice daily

rinse or brush after consuming sugary foods or drinks

replace toothbrushes or toothbrush heads every few months or when they look worn

exercise for at least 30 minutes a day

visit a dentist regularly

avoid smoking or using tobacco products

It is also important to eat a healthful, balanced diet. This should involve plenty of whole fruits, vegetables, and grains. The diet should include good sources of iron, such as lentils, chickpeas, beans, and lean meats.

(07/10/2023)
by Medical News Today

More Information: N


Views: 610
Share
Share

What is Green Dentistry?

Have you noticed any changes around your dental office over the years? Maybe your dental professional now uses reusable cups, cloth bibs, or cloth headrest covers. Perhaps you receive all communications and bills via email or an online portal instead of physical paper. These are a few of the many environmentally friendly habits dental practices are adopting to reduce their impact on the planet. See what other green dentistry steps the dental community is taking to reduce their carbon footprint and how you can go green with your oral care routine.

Also referred to as eco-dentistry, green dentistry utilizes technology and green procedures to promote environmental sustainability and pollution prevention. Green dentistry focuses on applying technology, repurposing dental supplies, and limiting the use of energy, water, and radiation.

What Is the Advantage of Going Green in Dentistry?

The environment is the biggest winner of eco-dentistry. Conserving resources and using sustainable supplies create less of a burden and produce less waste. Green dentistry can generate cost savings over time, translating to lower treatment prices for patients. It also produces less chemical contamination by limiting heavy metal waste that can enter water sources and damage the local environment.

What Impact Can Dental Practices Have on the Environment?

Dental professionals have used silver fillings, also known as dental amalgam, for over one hundred years. Dental amalgam lasts a long time, hardens quickly, and is generally less expensive than other cavity filling methods. Amalgam fillings contain around 50% mercury and a combination of other metals such as silver, tin, and copper. Mercury is classified as a potent neurotoxin, but it forms a safe, stable material when combined with other metals. When a dental professional adds a new filling, the particles from the amalgam can enter waterways and cause a range of adverse effects on humans and wildlife if not correctly disposed of.

The United States Environmental Protection Agency (EPA) claims that dental clinics are the primary source of mercury discharges to sewage treatment centers. The EPA also considers mercury pollution to be a global concern. As a result, dental offices are required to use low-cost amalgam separators to effectively recycle any toxic materials from the amalgam and prevent mercury from entering the environment.

What Are Some Green Dental Techniques?

The American Dental Association compiled 80 environmentally friendly habits for dental practices to reduce waste and conserve energy. Many of these solutions are inexpensive or free and can even save dental offices money in the long run. They involve categories like "being proactive" and "educating staff and patients." Some of the green policies recommended by the ADA include:

Implementing an environmentally friendly sterilization program.

Installing an amalgam separator for fillings.

Sending appointment reminders on recycled paper or through email or text message.

Getting rid of aerosol products.

Purchasing organic or eco-friendly scrubs.

Putting indoor plants around the office.

Eco-Dentistry vs. Bio-Dentistry

While environmentally friendly practices are at the heart of green dentistry, biological dentistry takes a holistic approach to patient care. As an alternative to traditional dentistry, bio-dentistry focuses on the entire body's wellbeing, not just the mouth. The practice is designed to look beyond symptoms to identify the root cause of both dental and health issues. It supports minimally invasive procedures and encourages the use of biodegradable and reusable supplies. Treatments don't incorporate harsh chemicals, and removing silver amalgam fillings containing mercury is common among biological practitioners.

How Can I Reduce My Dental Care Waste at Home?

If you're interested in applying some eco-dentistry practices to your daily oral care routine, these tips are a great start:

Try more environmentally friendly oral care materials like toothpaste tablets, bamboo fiber floss, or bamboo toothbrushes.

Don't run water while brushing.

Purchase recyclable toothpaste tubes.

Don't rinse your mouth after brushing your teeth to conserve water.

Drink from reusable straws.

Green dentistry comprises seemingly small steps that can make a positive impact on the environment. As beneficial as this sustainable mindset is, sometimes the eco-friendly option isn't always best for your oral health, so balancing traditional and bio-dentistry is critical. Ask your dental professional what areas of green dentistry their clinic practices and encourage them to perform a "waste audit" to help determine any adjustments they can make to reduce waste and use sustainable products.

 

(07/11/2023)
by Colgate

More Information: https://www.colgate.com/en-us/oral-health/threats-to-dental-health/what-is-green-dentistry


Views: 599
Share
Share

Why Do I Have Cracks In My Tongue?

When you stick your tongue out and look in the mirror, what do you see? Is your tongue smooth or are their cracks running across it? Is there one big line running down the middle or various cracks on the tongue spread out in every direction? It could be linked to a syndrome or deficiency. Fissured tongue is not to be confused with geographic tongue, but there are some instances where the two could possibly be related.

Cracked Tongue

Is it normal to have cracks on your tongue’s surface? No and yes. A typical tongue doesn’t usually have “big” cracks or deep grooves. But having a fissured tongue isn’t rare enough to say that it’s totally abnormal. Even though there are medical conditions linked to cracks on the tongue, a perfectly healthy person could still have tongue fissures without anything else to worry about.  However, seriously deep or infected cracks on the tongue could be a cause for alarm for your oral health.

What is a Fissured Tongue? 

A fissured tongue is when there is a crack or separation in the top of the tongue, creating a miniaturized version of the Grand Canyon running down the middle or across the top of it. 

Cracks in tongue can be called a variety of different things, but they all tie back to a fissured tongue. The condition is also referred to as “lingua plicata”, “scrotal tongue”, and “plicated tongue.” But all of them are essentially the same thing.

Even though a fissured tongue may look really weird when you stick your tongue out, most people won’t even realize you have it unless you purposely show them.

Fissured tongues have visible tongue cracks running through the dorsal surface. The dorsal surface is the top surface that you typically look at when you stick your tongue out; it’s covered in tiny papilla and tastebuds. The fissure may run right through the middle, front to back, or there could be multiple various cracks across the dorsal surface. You’re unlikely to see cracking on the softer mucosa on the bottom of the tongue (ventral surface.) 

Fissures are pretty obvious when you look at them. Although it’s completely normal to have at least some type of a line running down the middle of your tongue, it isn’t normal to have a deep crack. 

Symptoms Of Cracked Tongue

Someone with a cracked tongue won’t usually have physically raw or bleeding skin exposed. But what they will notice is that when they look at their tongue in the mirror, there are visibly deep cracks and fissures where the papilla do not touch one another side by side. Aside from the visible symptoms, very rarely are there physical ones that accompany fissured tongues.

That being said, people who have a cracked tongue but do not do a very good job of cleaning it are more likely to have problems with bad breath (halitosis.) Since those deep crevices can easily harbor bacteria—and most bad breath bacteria are found on the tongue—it can be a lose-lose situation unless they’re keeping their tongue extremely clean.

Occasionally, a fissured tongue will accompany conditions like geographic tongue. And geographic tongue tends to feel sensitive or even like raw skin, which can make talking, chewing food, or swallowing very painful.

What Causes of Fissured Tongue 

Your tongue is covered in thousands of tiny fingerlike projections called papillae/papilla. There are several different conditions that can cause the appearance of your papilla to change, whether it’s growing longer (black hairy tongue) or even falling off altogether (like when someone has geographic tongue.) In the instances where the tongue forms physical cracks or crevices between the papilla, a fissured tongue appears.

It’s estimated that somewhere around 5% of people have these cracks on their tongue. Some of them are born with it, while others develop it later on. Experts believe it typically forms as people get older, depending on their underlying medical factors. 

Even though we know cracks on the tongue are linked with certain medical conditions, oral medicine experts still do not know the primary cause of fissured tongue. But they do feel that it’s somewhat linked with geographic tongue, which we have a much better understanding of. Cracked tongues aren’t something that’s alarming to the point your dentist or doctor would order a biopsy, so it’s nothing to start stressing out over.

Vitamin Deficiencies

It’s known that certain vitamin deficiencies can contribute to symptoms like burning tongue, and possibly fissured tongue as a result. Deficiencies in iron (which can cause anemia), as well as B2, B12, and zinc, are all closely related to tongue health. We know that people who are anemic can develop an “anemic tongue” where their tongue smooths out because of papilla loss, and even sometimes get cracks in their tongue.

Malnutrition

Considering that vitamin deficiencies contribute so strongly to tongue fissures, it’s important to consider how malnutrition or malabsorption can contribute to oral irregularities. The overlap between gastrointestinal health (like Crohn’s disease) and the oral cavity could also tie back to a deficiency in caloric or nutritional intake. But in areas of the world with food shortages or where patients have come from situations where they battled malnutrition, any signs of a fissured tongue could be related to their diet history.

Treatment for Tongue Cracks & Fissured Tongue

There isn’t an actual treatment to repair cracks on the tongue, so it’s important to identify risk factors or medical conditions that may require the attention of your physician.

Since cracks in tongues can accumulate food particles and plaque biofilm, it’s important to brush your tongue well daily. This will help manage potential bad breath or infections inside of the cracks on your tongue.

Talk with your dentist about other ways to clean the cracks or fissures in your tongue without causing additional discomfort or damage, such as a water flosser or tongue scraper.

(07/11/2023)
by Whitney DiFoggio BS, RDH

More Information: https://www.teethtalkgirl.com/dental-health/cracks-in-tongue


Views: 504
Share