My BEST Dentists Journal

All Journal Entries
Share

What causes pale gums?

Pale gums may indicate that a person has anemia, which is often the result of an iron deficiency. Painful or white gums may also be a sign of an underlying condition.

Healthy gums should be a relatively consistent shade of pink. They may appear slightly lighter around the teeth and darker around the sides of the mouth. One person’s gums may be naturally a little paler or darker than another’s.

When an individual notices that the color of their gums is changing, they should speak with a doctor, especially if additional symptoms are causing concern.

Read on to learn more about the causes of pale gums. We also describe accompanying symptoms, treatments, and when to see a doctor.

Causes and symptoms

Treatment and the number of symptoms will vary, depending on the cause of pale gums.

Below is a list of underlying conditions, their other symptoms, and their treatments:

Anemia

Anemia occurs when the body is not getting enough oxygen-rich blood. A lack of blood can cause some tissues to grow pale.

In addition to pale gums, a person with anemia may notice the following symptoms:

inexplicable exhaustion or weakness

shortness of breath

pale or yellowish skin and eyes

headaches

heart palpitations

Anemia often results from a lack of iron, folate, or vitamin B-12.

Otherwise, a person may have too few blood cells or not enough hemoglobin. In people with sickle cell anemia, the blood cells are abnormally shaped.

Medical conditions can also lead to anemia or increase a person’s risk. Some involve blood loss. They include:

very heavy menstruation

pregnancy

liver, spleen, or kidney conditions

hypothyroidism

bleeding in the stomach or intestines, which may result from gastrointestinal ulcers, cancers, abnormal growths, colitis, or swelling of the large intestine

Certain medications, particularly those for chemotherapy, can increase a person’s risk of developing anemia. Others develop the condition after taking too many nonsteroidal anti-inflammatory drugs, which leads to internal bleeding.

Treatment may be as simple as taking prescribed iron pills for at least 6 months. These pills are best taken with food and citrus juices, especially orange juice. It can also help to eat foods rich in iron, such as dark leafy greens and fortified cereals and bread.

When very heavy periods are responsible for anemia, a person may benefit from hormone medications that lighten menstruation.

Certain foods can interfere with the body’s absorption of iron. A person with anemia may wish to avoid:

coffee and tea

alcohol

whole grain products

dairy products

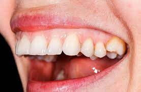
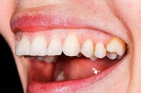
Leukoplakia

Oral leukoplakia can cause uniform, thin, white patches to develop on the gums. These alternate with, or are bordered by, regular gum or mucous tissues.

The white patches may have raised, white nodules or be speckled with red.

Leukoplakia patches can develop anywhere in the mouth and cannot be rubbed or scrubbed off.

The cause of this condition is unclear, but it seems to occur more often in people who smoke, consume a lot of alcohol, or have poor oral hygiene.

In many cases, leukoplakia patches are harmless. However, they can transform and become cancerous.

Anyone who notices these patches should speak with a doctor or dentist. Depending on the patches’ size and location, as well as individual risk factors such as smoking, a doctor may choose to monitor leukoplakia patches or surgically remove them.

When to see a doctor

Pale gums are a common sign of anemia, and mild anemia can be managed at home by increasing the intake of iron. However, severe cases can be life-threatening.

Speak with a doctor or dentist about pale gums as soon as possible. Receiving treatment early can reduce the risk of complications.

Seek medical advice if symptoms of infection accompany pale gums. These symptoms include:

bleeding gums

swollen, painful, or tender gums

gums that recede around the teeth

very bad breath

fever

loose teeth

difficulty or pain swallowing

gum abscesses

a metallic taste in the mouth

pain in the jaw or the face

Anyone who suspects that they have abnormal oral growths, such as those that occur in lichen planus or leukoplakia, should see a doctor or dentist and discuss treatment options.

When pale gums are associated with menopause or heavy menstrual periods, a person may want to speak with a doctor about hormone therapies that can reduce symptoms.

Tips for healthy gums

Practicing good oral hygiene is the easiest way to keep the gums healthy.

The following tips can help a person maintain good oral hygiene:

brush the teeth for at least 120 seconds twice daily or more often

floss every day

rinse the mouth with a product containing fluoride once or twice daily

rinse or brush after consuming sugary foods or drinks

replace toothbrushes or toothbrush heads every few months or when they look worn

exercise for at least 30 minutes a day

visit a dentist regularly

avoid smoking or using tobacco products

It is also important to eat a healthful, balanced diet. This should involve plenty of whole fruits, vegetables, and grains. The diet should include good sources of iron, such as lentils, chickpeas, beans, and lean meats.

(07/10/2023)
by Medical News Today

More Information: N

Views: 611
Share


My BEST Dentists Journal Headlines