Dentists Journal

Top Ten Stories of the Week
1/13/2024

All Dentists Journal · Previous Week · This Week · All Time List · Headlines

Share

Seven Essential Tips to Keep Your Teeth Healthy

There's more to keeping your teeth healthy than simply brushing them every day. You've probably been told the importance of cleaning your teeth since you were old enough to hold a toothbrush, but what else can you do to maintain healthy teeth? Brush up on your oral care with these seven essential habits for excellent dental health.

1. Use fluoride

Fluoride isn't just for kids. This natural mineral hardens tooth enamel and helps to prevent cavities. You can get fluoride from your toothpaste, some mouth rinses, and in-office or at-home treatments your dental professional may provide. Talk to your dentist about what type of fluoride treatments are right for you.

2. Consider your diet

Sugary treats and snacks can take a toll on your oral health, potentially leading to tooth decay, and other issues. Try to swap them with healthy fruits and veggies where possible, as these are loaded with antioxidants and nutrients like calcium, vitamin A and vitamin C. Cheese and yoghurt are also good choices as they contain lots of calcium and can help to neutralise decay-causing acids in the mouth.

3. Choose your drinks wisely

It's not just your food that can affect the health of your teeth. When it comes to tooth decay, beverages such as soft drinks and sugary juices are known culprits. Swapping soft drinks for plain milk or water can help protect your teeth. Fresh juice is also a healthier option from some perspectives, but keep in mind that juice is high in sugar, quite acidic and can contribute to enamel erosion and dental decay. It's best to enjoy juice in small quantities alongside a meal.

4. Brush your tongue

When you're brushing twice a day, don't forget your tongue! Gentle tongue brushing can help to remove bacteria that builds up on the tongue, helping to keep your mouth healthy and your breath fresh. You can buy a tongue-cleaning tool or simply use a toothbrush with a cheek and tongue cleaner to remove bacteria every time you brush.

5. Take care of your toothbrush

The micro-organisms that can grow on your toothbrush thrive in a moist environment. To prevent this, rinse your toothbrush well after brushing and store it out in the open in an upright position. This will ensure plenty of airflow around the bristles so that your brush can dry out thoroughly. Replace toothbrushes every three to four months and keep an eye out for frayed, worn bristles. You may need to change your children's toothbrushes sooner since kids can be hard on brushes!

6. Avoid tobacco

Avoiding all forms of tobacco is crucial for keeping healthy teeth and gums. Whether chewing or smoking, tobacco use contributes to an overwhelming number of cases of oral tissue damage. The ingredients found in tobacco products not only stain your teeth but can contribute to poor gum health and increase your risk of oral cancer.

7. Talk to your dentist

Your dental professionals are there to help with all of your oral care needs. Attending regular check-ups gives you the chance to ask any questions about keeping your teeth healthy and raise any concerns you might have. They can help you to create a daily oral hygiene plan suited to your specific needs, advising you on the best techniques, tools and products for your oral health goals.

Together, these tips can help you to keep common dental problems at bay and catch any issues early. Integrate these top tips into your oral health routine today to achieve whole mouth health.

(01/06/2024)
by Colgate

More Information: N


Views: 400
Share
Share

Fun Ways To Improve Your Family Oral Health

Today’s kids have what seems like an unlimited amount of games and activities at their fingertips year-round fun. So it’s no surprise that mundane tasks like brushing their teeth aren’t exactly high on their list of things they enjoy doing.

Make tooth time less of a battle between you and your kids with these fun ways to make oral hygiene more lively while also improving your family’s overall health.

Brush and Floss as a Family

One of the best ways your children can learn to do something well is to learn from a great example – you! Supervised family-style brushing doesn’t have to be a chore. Try letting your little ones take charge of the family brushing routine by letting them place the pea-sized amount of toothpaste on everyone’s toothbrushes and giving them the responsibility of the two-minute timer. Take it one step further by letting them hand out the floss too.

As an added bonus, brushing your teeth early at your children’s bedtime will keep you from late-night snacking temptations because your teeth are already clean and ready for bed!

Time Flies When You’re Having Fun

Make brushing and flossing an activity with videos or brushing apps (yes, they exist!) to help the two minutes, twice a day fly by. Play their favorite silly song and brush to the rhythm of the music, or try out a podcast that you only listen to while brushing so everyone is ready to hear what happens next with toothbrush in hand. Whatever you do, get creative and switch things up so brushing time is always a good time.

Reward Good Brushing Behavior

Figure out what currently motivates your child and reward them for good brushings. Make a reward chart and let them add one fun sticker every time they brush. When the chart fills up and they’ve reached their goal, reward them with things like a new bedtime book, or letting them pick what’s for dinner one night of the week.

Letting Them Pick Their Products

Let your kids pick out their own toothbrush and toothpaste that features their favorite characters. Sometimes little things like a new toothbrush or a special flavor of ADA approved toothpaste can really improve the daily routine.

Start a Routine and Stick to It

You may be tempted to let your child skip brushing after a long fussy day, or letting them take matters into their own hands for a few nights after brushing together, but keep it up while they are little and still learning the fundamentals of dental care. The more second nature brushing becomes the easier it is to ensure your child is brushing properly for a full two minutes, twice a day.

Try out a Home Science Experiment

Struggling to teach your kids why it’s so important for them to brush their teeth properly? Encourage great dental health in children with the egg scrubbing science experiment found here. Not only will you be visually showing them why it’s crucial to take care of their teeth by brushing and eating a nutrition-filled diet, but it’s a great way to also teach them how to develop strong thinking skills that can be used in science, social studies, reading and math.

This experiment is a fun way to show the power of using toothpaste on our teeth and why it’s so important to use toothpaste when brushing instead of just water.

A Healthy, Happy Family

One of those necessary life skills every child needs to learn is brushing and flossing their teeth. Helping your child get in the habit of brushing twice a day for two full minutes is no small feat, but a little creativity can go a long way when it comes to their long-term dental health.

(01/06/2024)
by Hoffman Dental Care

More Information: https://www.macombsmiles.com/fun-family-oral-care-hacks/


Views: 389
Share
Share

Ten Ways To Prevent Tooth Extraction By Looking After Your Oral Health

Are you worried about having to get a tooth extraction? Tooth extractions can be painful and expensive, so it’s best to avoid them if possible. Fortunately, there are things that you can do to keep your teeth healthy and prevent extraction from being necessary. In this article, we will discuss 10 ways that you can look after your oral health to help prevent the need for a tooth extraction.

1) Brush Regularly: The most important thing that you can do to take care of your teeth is to brush them twice a day. Brushing removes plaque and bacteria from the surface of your teeth, which reduces your risk of cavities and gum disease. It’s important to use a soft-bristled toothbrush and to brush carefully, making sure that you reach all areas of your teeth.

2) Floss Daily: In addition to brushing, it is also important to floss daily. Flossing removes food particles and plaque from between your teeth, which can help to prevent cavities and gum disease.

3) Use a Mouthwash: Using an antiseptic mouthwash in addition to brushing and flossing can help to reduce the number of bacteria in your mouth, which can help to prevent tooth decay and gum disease.

4) Cut Back on Sugary Foods: Eating too much sugar can lead to tooth decay, so it’s important to limit your consumption. Avoid sugary snacks and drinks, including soda and fruit juice.

5) Quit Smoking: Smoking is bad for your oral health as well as your overall health. Smokers are more likely to have cavities, gum disease, and other oral health issues. If you smoke, quitting is the best way to protect your teeth and gums.

6) Visit Your Dentist Regularly: It’s important to visit your dentist for regular check-ups and cleanings. During a dental exam, your dentist can spot any problems with your teeth or gums before they become serious. This can help to prevent the need for a tooth extraction.

7) Wear a Mouthguard: If you play sports, it’s important to wear a mouthguard to protect your teeth from injury. A mouthguard can also help to reduce the risk of damage from grinding or clenching your teeth at night.

8) Use Fluoride Toothpaste: Using toothpaste that contains fluoride can help to strengthen your teeth and reduce the risk of cavities.

9) Avoid Chewing Hard Objects: Chewing on hard objects like pencils, fingernails, or ice cubes can damage your teeth. This can lead to cracks and chips that may require a tooth extraction.

10) Cut Back on Alcohol: Excessive drinking can lead to dry mouth, which increases your risk of cavities and gum disease. It’s best to limit your alcohol consumption if possible.

Conclusion

By following these tips, you can help to keep your teeth healthy and avoid the need for a tooth extraction. Brushing, flossing, and visiting your dentist regularly are all important steps to take to keep your teeth in good condition. If you’re concerned about the health of your teeth, talk to your dentist about other ways that you can prevent the need for a tooth extraction.

(01/05/2024)
by Mid Bay Dental

More Information: https://www.midbaydental.com/10-ways-to-prevent-tooth-extraction-by-looking-after-your-oral-health/


Views: 418
Share
Share

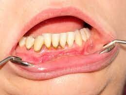
Six Ways to Care for Swollen, Bleeding Gums

Gums are an integral and often overlooked part of the mouth.

Gums are the part of the oral anatomy that serve to contain and protect the teeth and bone, they can demonstrate some of the earliest signs of poor oral health.

While healthy gums are pink and resilient, gums that are swollen, sore, or bloody may be a sign of gum, or periodontal, disease.

According to the Center for Disease Control and Prevention (CDC) 47.2% of people over the age of 30 have some form of periodontal disease.

What causes gum swelling?

Gum swelling is caused by the buildup of plaque and subsequent bacteria.

The colonization of the bacteria causes inflammation and other adverse conditions. This is gingivitis, an early stage of periodontal disease.

Gingivitis, when ignored, can lead to even worse ailments. Cavities, abscesses, and tooth loss are unfortunate symptoms of advanced gum disease.

Receding gums provide the perfect environment for bacteria colonies to grow and flourish. Without proper hygiene, the bacteria is allowed to thrive and eat away at the surface of the teeth making your teeth sensitive.

Fortunately, this negative progress can be prevented with proactive measures.

The American Dental Association recommends brushing twice each day with fluoridated toothpaste, flossing daily, and visiting a dentist twice annually for cleanings and exams.

Read along for six simple ways you can quickly reduce gum swelling and improve your overall oral health. These steps are straightforward and inexpensive.

6 Ways to Reduce Gum Swelling Quickly

1. Brush Twice Daily

If you are showing early signs of gum disease, it is a good time to start thinking about your brushing routine. It is important to brush twice each day, preferably once in the morning and once in the evening.

However, what is even more important is your brushing technique.

The ADA recommends you use a soft bristle brush and fluorinated toothpaste. At a 45-degree angle to the gums, brush in short wisps, until you’ve brushed the entire surface, front and back, of your teeth.

A dentist or hygienist can help you to establish an efficient routine.

As a reminder, brushes should be thrown out and replaced every three to fours months. Otherwise, once the bristles on your toothbrush begin to warp, it is time for a new one.

2. Flossing

Flossing helps to remove stubborn plaque in the hard-to-reach breaks between teeth. It is important to floss once a day. Your flossing technique is crucial.

Food particles and small debris left to fester between teeth and gums quickly turn to plaque and, eventually, tartar.

While many people, especially those with dental work and braces, experience frustration and, sometimes, apprehension, when it comes to flossing, there are special techniques and products that can make this task easier.

Flossing picks with soft bristles help for people to reach around oral hardware or floss without putting stress on a weakened gum.

Such products can sometimes be easier to manipulate for a number of reasons. However, typical nylon floss is a great tool in combatting oral bacteria.

3. Eat Well

Plaque and tartar come as a result of lingering food particles.

While proper dental hygiene can help to remove these bits, eating less sugar and more foods that are rich in calcium and vitamin C can help strengthen your teeth and better their environment.

Snacks, such as sugar-free yogurt, nuts, and leafy greens, can provide essential bone and teeth building vitamins and minerals.

4. Drink Water

We all know that water is essential to life; moreover, it can improve your oral health too. Drinking water helps your body to flush harmful bacteria out of the mouth.

It is also beneficial to switch from sugary fruit juices and sodas to water.

No matter what motivates you to increase your daily H2O intake, your gums will likely see a quick improvement.

5. Mouthwash

Mouthwash is an effective product in the war against oral bacteria. However, many over the counter rinses contain irritating fillers, such as dyes, harsh chemicals and alcohol, which can give you a lingering bad breath.

There are many all-natural antiseptics that can help rid your mouth of harmful bacteria without stimulating your already sore gums.

Many mouthwash products can help to quickly strengthen your gums by hindering the continued growth of oral bacteria.

6. Mindful Choices

If it is your goal is to quickly reduce gum swelling, you’ll want to take into account how your daily food and substance intake are going to impact your mouth.

Hard, chewy foods should be avoided, as they put surplus pressure on an already weakened system. Moreover, sharp food particles can lead to gum abrasions that can become painful abscesses.

Additionally, foods that are too hot, cold, or acidic may only worsen your discomfort. Therefore, it may be best to abstain from such foods until your gums are strong enough.

It is also important to visit a dentist frequently. Dentists can help to identify, track, and repair your teeth. A hygienist can also provide a deeper cleaning than you can at home.

(01/07/2024)
by Oxyfresh

More Information: https://oxyfresh.com/blogs/dental-health/6-ways-to-care-for-swollen-bleeding-gums


Views: 532
Share
Share

In Your 40s? Here Are Four Things You Need to Know About Your Oral Health

As you age, especially after you turn 40, there can be so much more to worry about than you think. What if you had the ability to absolutely perfect your smile? What if you could change everything that years of living in lockdown have done to your oral health? Join your Woodlands dentist as we break it all down for you, so it’s easy to understand. 

Top Tips for Healthy Teeth

1) Water, Water Everywhere

Some articles and research suggest that drinking enough water every day is one of the most beneficial ways to keep your smile in good shape. It’s important to remember that no matter how easy it may be to reach for a fizzy drink or some sweet tea instead, it’s better to drink water whenever you can, especially if your body is dehydrated. When you consciously make an effort to drink more water after you eat meals or a snack, this helps to wash away leftover debris in your mouth and keep your teeth clean in between brushing. 

2) Clean Everywhere in Your Mouth

You might think because you brush your teeth every day that you’re in the clear as far as deterioration or decay is concerned. However, there could be more to your at-home oral health care routine that you’re missing out on. Your dentist in The Woodlands can tell you that so many common oral diseases actually start between your teeth, where a brush can‘t always reach. The American Dental Association says that traditional brushing alone only cleans about 60 percent of your smile — what about the areas left behind?

3) Decrease Your Coffee and Alcohol Intake

Because life has been rough on us all over the past few years, it’s easy to turn to things like coffee and alcohol for some relief. However, these beloved beverages could be causing some issues for your oral health. Coffee is highly acidic, leading to a breakdown in your tooth enamel over time, with decay creeping in right behind. Alcohol is no different. It contains a lot of sugar which can worsen tooth decay or gum disease over time.

4) Eat Your Fruit and Veggies

While it’s certainly OK to indulge in some of the fine foods The Woodlands offers, it’s also important to remember to eat healthy too — especially crisp fruit and vegetables. Why? Because they can actually help clean your teeth rather than create a place where decay and cavities can cause trouble for your oral health. Also, the antioxidant vitamins that fruit and veggies contain will help to protect your gums from disease or infection. 

In addition to all of these things, it’s important to see your Woodlands dentist regularly for checkups and cleanings, too, especially when you’re in your 40s. Let us help you schedule a hassle-free consultation or cleaning and keep your smile healthy and happy. 

(01/05/2024)
by The Woodlands Dental Group

More Information: https://www.thewoodlandsdentalgroup.com/in-your-40s-here-are-four-things-you-need-to-know-about-your-oral-health/


Views: 526
Share
Share

Five Modern Dental Treatments for Common Oral Issues

Visiting the dentist can sometimes fill you with anxiety. Patients are usually concerned about pain, irritation, and uncomfortability. Thankfully times have changed and our dental practice is equipped with new dental technologies that help ease the discomfort of dental treatments.

Innovation has improved various modern dental treatments in Matthews, NC, and we are happy to provide the best experience to our patients through these newer dental care procedures.

Therefore, if you are behind on your regular dental visits, because you’re anxious about a toothache or any other oral health issues, we have listed out some modern dental procedures that can change your mind about visiting the dentist. Let’s explore 5 new options that will give you healthy and beautiful teeth.

5 Modern Dental Procedures

1. 3D Cone Beam Imaging

Cone beam 3D imaging is a modern technology that allows your dentist to see detailed three dimensional images of your teeth, nerve pathways, soft tissues, and bones in the craniofacial regions of your mouth.

The cone beam imaging utilizes an x-ray beam shaped like a cone and moved around a patient’s head to capture numerous images. The images are then reconstructed with a special software to give a three dimensional image.

3D imaging enables your dentist to place dental implants accurately, plan tooth extraction effectively, evaluate the jaw, sinuses, nasal cavity, and nerves carnal, and also determine if a root canal is the preferred treatment for you.

2. Dental Implants

Dental implants, such as the mini dental implants, are much smaller in size compared to traditional dental implants. Due to their size, they come with some extra benefits. Best of all, the procedure does not require much involvement. Mini dental implants are designed with a one-piece screw that is less than 3mm in diameter, and they include a ball-shaped end that is visible from the jawbone.

Mini dental implants are a better alternative to dentures for tooth replacement. They can be used to replace a missing tooth, multiple teeth, or stabilize dentures. Whenever you lose a tooth, you don’t have to worry because you can restore the beauty of your teeth without undergoing any invasive procedure.

Mini dental implants procedure requires less jawbone density, can be applied without bone grafting, offers a faster recovery time, and are available at a lower cost. Although their prices vary, they are lower compared to traditional implants.

3. Trios Dental Scanner

Trios dental scanner allows the dentist to take the impression of a patient’s teeth and bite without much hassle. Historically, dental impressions are usually taken with metal trays and soft rubber like material that is sent to the dental lab to make clear aligners, veneers, dental crowns and other oral appliances. This process can be quite cumbersome and uncomfortable.

However, with the trios scanner, we can easily scan your teeth and send a digital impression to our lab. This allows for a swift turnaround time,fewer appointments, and lower remakes due to the increase in accuracy. 

4. Invisalign

Invisalign is a discreet, removable option compared to traditional braces. Your dentist can use this method to straighten your teeth and give you a healthier, more confident smile. Clear aligners are easy to remove and require you to change them at regular intervals to help position your teeth properly. 

If you are skeptical about wearing traditional wire-and-bracket orthodontic hardware, but still want your teeth to appear straight, invisalign is the best solution for you. 

5. Night Guards

Night guards can also be called mouth guards, dental guards, bite splints, or nocturnal bite plates. They function by placing a barrier between your teeth to lighten the tension and cushion the muscles in your mouth when you clench your jaw. Night guards not only help prevent face and jaw pain, they also protect your tooth enamel

They are custom designed for patients to prevent them from grinding or clenching their teeth while they sleep. They are also used to treat bruxism, prevent headaches, and help you sleep soundly.

(01/08/2024)
by Fine Arts Dentistry

More Information: https://fineartsdentistry.com/5-modern-dental-treatments-for-common-oral-issues/


Views: 392
Share
Share

What to Do About a Gum Injury

Most oral health can be maintained with a decent at-home hygiene regimen and regular dental visits. However, an injury to the gums can be unexpected and cause infection. If you hurt your gums, you need to see a dentist as soon as possible to safeguard your oral health.  

At the dental practice of Dr. Padmaja Yalamanchili in Fairfax, Virginia, we offer emergency dentistry appointments for issues that include damage to the mouth, teeth, or gums.

What to do if you injure your gums

Gum injuries can be unpredictable, and prompt treatment is required to help prevent oral infection, tooth problems, or other complications like an abcess around the root of a tooth. If you've hurt your gums, there are a few things you should do right away to help prevent more serious problems.

Immediately rinse your mouth

A gum injury can be a cut, bruise, or even a tear, all of which can become infected from bacteria inside the mouth. dissolve a spoonful of salt in a glass of water, and rinse your mouth thoroughly. This will sting, but will also reduce chances of an infection. Rinse several times to see if any bleeding stops.

Apply pressure to the wound

Your gums are soft tissue, and bleed a lot when injured, However, if bleeding refuses to slow once you rinse your mouth,  you need to apply pressure to help stanch the flow. Clean gauze is the best option. Fold it into a square and place the gauze between the affected gum and the side of your mouth or your tongue. If you can get enough pressure, wash your hands and use a finger to hold the gauze tightly against the wound.

Ice the area

Pain and swelling are probably setting in at this stage, so make sure to apply an ice pack to the affected area. You may have to do this on the outside of your mouth, as close to the injury as possible. Use a cloth in between the ice and your skin. Don't take painkillers until you visit your dentist and get professional treatment for your gum injury.

See your dentist

Speaking of your dentist, you should call our office and ask for an emergency appointment, even if bleeding has stopped and you aren't in significant pain. Gum injuries can easily get infected, and you may need oral antibiotics.  

(01/09/2024)
by Padmaja Yalamanchili, DDS

More Information: https://www.fairfaxfamilydentist.com/blog/what-to-do-about-a-gum-injury


Views: 600
Share
Share

How To Avoid Chapped Lips This Winter

Winter brings things we love: holiday time, hot cocoa, skiing, and cozy nights by the fire. But with it comes cold and lack of humidity that can make your skin and lips as dry as tree bark!

The skin on your lips is different from the rest of your body.  Lips don’t have oil glands and are thin and delicate, which makes them more prone to drying out.

Most people don’t even notice how much they touch or play with their lips — we tend to lick, pick, and even bite on their lips without even thinking about it.  These habits can really take a toll causing dry, flaking and painful chapped lips that seem to never heal.

Here are the tips I’ve promised for treating and preventing dry lips so they stay soft, beautiful and hydrated all winter long!

 1) DON’T LICK YOUR LIPS - THIS IS #1 FOR A REASON

Lip licking is probably the worst habit you can have with dry lips.  When your lips get dry, you lick them in hopes of adding moisture. But it does the opposite!

Saliva evaporates quickly, leaving your lips drier than before you licked them. This starts the vicious cycle of licking again and again for relief, leading to the downhill spiral of seriously painful, dry and cracking skin. Now you have some seriously chapped lips!

2) STAY CLEAR FROM FLAVORED LIP BALMS THAT CONTAIN MINT, MENTHOL OR CINNAMON

Lip balms with that “extra tingle” is good for your lips, right? Wrong. It’s ironic, but a lot of lip products contain colors, irritants, and dyes that can cause irritation. At first, they are soothing and feel great, but overuse can make your lips even more dry and irritated.  

Common drying/irritating ingredients in lip balms include:

Menthol

Fragrance

Salicylic Acid

Camphor

Phenol

3) BREATHE THROUGH YOUR NOSE

It sounds strange, but something as simple as breathing through your mouth can actually dry out your lips.

4) LIP PLUMPERS CAN MAKE DRY LIPS WORSE

A lot of the lip plumpers that claim to enhance lip volume do this magical trick through temporarily causing lip swelling. These products typically contain irritants or chemicals, such as those derived from cinnamon or cayenne pepper. These ingredients can lead to continuously chapped lips or even dermatitis on your lips.

5) STAY HYDRATED INSIDE-OUT BY DRINKING WATER

The warmer months aren’t the only time your body craves hydration. Water affects the moisture levels throughout your body and skin all year long. Less water means less saliva production, which can make your lips feel really dry. Keep your body and skin hydrated from the inside-out!

6) AVOID SMOKING

Tobacco smoke can irritate the sensitive skin around the lips, causing them to dry out and become more likely to crack.  Not to mention that it is a carcinogen too!

7) SLEEP WITH A HUMIDIFIER

In the winter there’s little humidity in the air and lots of dry heat in your house.  All this dry air removes moisture from your skin and causes dry lips.

Sleeping with a humidifier is the best for adding moisture to the air and helping your skin stay supple. Even if you have a whole house humidifier, a focused humidifier by your bed at night can be a life saver through the cold, dry winter months!

8) COVER YOUR LIPS WHEN OUT IN THE ELEMENTS

Wind and cold temps can take a toll on your lips.  Exposing them to harsh elements will cause them to get dry and irritated.  Covering them with a scarf when you head out into brutal temperatures and wind can help keep them protected.

9) AVOID SUN DAMAGE

Prolonged exposure to the sun's UV rays can cause big time damage to your lips, leading to dryness and cracking.  Chronic sun damage can also result in something called actinic cheilitis, which causes crusting and thick scale to form on your lips. This condition can become serious over time and result in precancerous and cancerous lesions.  If you think this might be you, head into your derm office for a check!

When looking for a lip balm with sun protection AVOID chemical sunscreens such as oxybenzone (also known as benzophenone-3), octinoxate, avobenzone, octisalate, octocrylene, and octinoxate benzene.  These can be irritating and are not good for your fragile lips or your body. Look for sun blockers like zinc and titanium instead. If you can’t pronounce it, you probably shouldn’t be using it!

10) KNOW THAT CERTAIN MEDICINES CAN CONTRIBUTE TO CHAPPED LIPS

Most times this cannot be avoided, but it’s good to know that certain medications, such as antihistamines, chemotherapy agents, and diuretics can cause dehydration and chapped lips as a side effect.

Even some topical acne medications may contain lip irritants, such as salicylic acid or benzoyl peroxide.  To avoid contact with your lips when using these products, just apply a barrier ointment like Aquaphor or Vaseline to your lips prior to applying your acne medication.

11) NO PICKING!

Whatever you do, don’t peel or bite off the dry skin on your lips! When your lips are chapped, they can be rough and start to peel. When you pick, you can end up taking off skin that isn’t completely dead, which can lead to bleeding and pain. 

12) WHAT INGREDIENTS TO LOOK FOR IN A LIP BALM

Look for lip products with both hydrating and occlusive ingredients. This combination will moisturize while preventing water loss.  In many lip balms you will also find a wax as an ingredient, which helps the product stick to your lips.  

Occlusive ingredients may include beeswax, lanolin or petroleum (also hydrating) and work to hold moisture in. Moisturizing agents might include ceramides, jojoba oil, dimethicone, coconut oil, shea butter or cocoa butter.

Of course, use a good lip balm throughout the day, but the most important time to slather on more is at night before you go to sleep.

(01/09/2024)
by Bolder Skin Source

More Information: N


Views: 564
Share
Share

Five Signs Of Poor Oral Hygiene?

Poor oral hygiene can breed many infections and unwanted diseases. Oral hygiene is much more than just brushing your teeth. It is also about recognizing your oral health issues and forming a routine around it.

Sometimes, people neglect their dental health and, in turn, suffer from cavities, tooth decay, infections, etc. In addition, most of the time, people think brushing or not flossing their teeth will not affect their mouth; however, it is not the case.

Oral hygiene also affects your overall health, so poor oral hygiene means poor overall health. This is why the upkeep of your oral health is paramount. You can start with a slight change of brushing twice a day, then just once daily. 

Though many things contribute to poor oral hygiene, skipping a dedicated dental care regime is the most common cause. So how do you know your oral hygiene is not on track, and how should you recognize the signs and symptoms of poor oral hygiene? Let us discuss the same right here.

Signs and Symptoms that indicate you have poor oral hygiene

Below given are the five most common signs of poor oral health: 

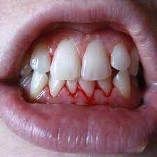
Bleeding from the gums: Bleeding gums is one of the most signs of poor oral hygiene. Poor gums indicate not only delicate gums but also indicate weak teeth. In addition, inflammation from bleeding gums is widespread, which can worsen your oral hygiene.

Bad breath: Having bad breath also indicates poor oral hygiene. Bad breath is not only a turnoff but also indicates that your mouth is now a breeding ground for many bacterias and germs in your mouth, which can further lead to cavities and other dental issues.

Sore gums: Sore gums cause pain and lead to tooth loss or tooth decay. If you have sore gums and feel pain while eating or brushing your teeth, this can indicate poor oral health.

Dryness in the mouth: Dryness in the mouth is again a sign of poor oral hygiene. The main reason for dryness in your mouth is a poor oral care routine. In addition, less saliva production in your mouth can lead to many oral infections because saliva in your mouth protects from various infections and germs. 

Plaque build-up: If you see a yellow layer around your gum line and teeth, it is plaque build-up. Plaque build-up can quickly turn into tartar, which is very hard to clean and stays on your teeth for a very long period, making your teeth roots weak. In addition, it can also disturb the support structure of your teeth. 

These were the five most common signs of poor oral health, but there are more symptoms and parameters to assist your oral health. For example, apart from the symptoms mentioned above, if you face tooth pain, notice cavities, or feel sensations while eating something cold or hot, this could indicate poor oral hygiene.

But you can overcome these dental issues by creating an excellent dental care routine suitable for your oral hygiene. The first step is to get an appointment at your dentist; secondly, you must incorporate products like soft-bristle toothbrushes, fluoride toothpaste, flossing thread, and tongue cleaner in your dental care routine and use them accordingly. 

Moreover, avoiding sugary foods and drinks can significantly improve your oral health if you suffer from any of the above-given issues. Lastly, the most common and a small thing to do that people forget is to rinse their mouth after eating anything. 

It will help if you rinse your mouth after meals to avoid the accumulation of food particles between your teeth. Following these simple steps will help you maintain good oral hygiene in the long run.

(01/08/2024)
by Lytle Dental

More Information: https://www.lytledental.com/what-are-the-five-signs-of-poor-oral-hygiene/


Views: 394
Share
Share

Common Dental Problems: When Need a Dentist?

Tooth sensitivity, excessive tooth pain and bad breath are some common dental problems that are also famous root canal infection symptoms. All these common dental diseases are dependent on poor oral hygiene; moreover, bad oral hygiene routine is among the major halitosis causes.

This dental guide is all about common dental issues that you may face in your life. Keep reading to know all common tooth problems and their causes and symptoms, so you may figure out yourself how you can deal with such common dental issues and when you need to see a professional dentist.

How Dental Problems Affect Overall Health?

There are countless studies that indicate that all dental problems affect the overall health as well. Some studies show that poor oral hygiene may affect the heart functions and conversely, poor heart functions may also lead to worse oral conditions as well. Furthermore, these common dental diseases should be treated as soon as possible; otherwise, they may also affect the brain and heart.

Most Common Dental Problems and Diseases

Here are the most common dental problems and dental diseases that should be dealt with vigilant care:

Halitosis (Bad Breath)

Tooth Sensitivity

Dry Mouth

Enamel Erosion

Cracked/Broken Tooth

Gingivitis (Gum Disease)

Cavities

Root Infection

Halitosis (Bad Breath)

Halitosis – bad breath – is a common dentist problem in which your mouth has a bad smell that can be easily felt. It is surely among the most awkward dental problems because it can easily be detected while speaking or even breathing.The major halitosis causes are poor oral hygiene, dry mouth, infection and acid reflux. Furthermore, some complex health problems like cancer and their high potent medications may also cause halitosis.

When Does Halitosis Need a Dentist?

Normally, casual halitosis should be gone with proper oral hygiene routine, fluoride toothpaste and mouthwashes/mouth rinses; however, if your halitosis is not going away even after following a strict oral hygiene routine then your halitosis’ cause maybe something else (like acid reflux and medication) and you need to see a dentist to find out the exact cause of this dentist problem.

Tooth Sensitivity

Tooth sensitivity is surely among the most common dental diseases that every third American has to face in its life. Your teeth are sensitive to hot food and cold beverages. Furthermore, you may feel excessive pain after having too cold or too hot dishes/beverages.

The main reasons for tooth sensitivity are weak enamel, gum disease and tooth infection.

When Does Tooth Sensitivity Need a Dentist?

Normally, the major cause of tooth sensitivity is poor oral hygiene and you should try improving your daily hygiene routine by brushing twice a day along with daily flossing. If you are not getting better results then your enamel would be weak or dentin would have been exposed, so you should urgently see a nearest dentist to fix your tooth sensitivity issue.

Dry Mouth

Dry mouth is another common dental issue that may become the root cause of all complex dental diseases because less saliva production may trigger the bacterial infection. The major causes can be high-potent medication, aging, salivary gland disease or other chronic disease as well.

When Does Dry Mouth Need a Dentist?

If you stay hydrated and drink enough water in a whole day but your dry mouth symptoms are not leaving you, you must see a general dentist to consult your dry mouth issue.

Enamel Erosion

Enamel erosion is a common dental issue where your protective tooth layer ( enamel ) is cracked or disrupted and your inner tooth layer ( dentin ) is exposed. The primary cause of enamel erosion is bacterial infection, acidic food and excessive sugar consumption. Enamel erosion is among the earlier causes of all complex dental problems, so it should be fixed ASAP.

When Does Enamel Erosion Need a Dentist?

Unfortunately, enamel erosion cannot be fixed by any home remedies. Only a professional dentist may restore your enamel via professional dental air polishing followed by fluoride treatment.

Cracked/Broken Tooth

A cracked/broken tooth is not just a common dentist problem but it is considered as a dental emergency because its major causes are injuries, chewing hard food or sleep-grinding. It may cause excessive pain that should be dealt with care.

When Does Cracked/Broken Tooth Need a Dentist?

Always! A cracked/broken tooth is considered as a dental emergency that should only be treated by a professional dentist who may have the perfect tools and enough experience to fix your cracked/broken tooth.

Gingivitis (Gum Disease)

Gingivitis (Gum Disease) is an earlier stage of gum disease that is caused by the bacterial infection where the plaque is built up around the gum lines. Common symptoms of Gingivitis are tooth sensitivity, tooth pain and the bleeding while brushing.

When Does Gingivitis Need a Dentist?

Once the plaque is already formed and you may observe pain and blood while brushing, it’s time to get treated by a dentist for dental cleaning benefits; Otherwise, it may proceed to its second stage – periodontitis.

Cavities

Cavities are among the most popular periodontal dentist problems because almost every child may have to face them. Cavities are smaller holes that are formed in the center of your teeth because of bacterial infection (plaque). The major cause is the weak enamel that leads to plaque and plaque leads to cavities.

When Does Cavities Need a Dentist?

Cavities always need a good dentist because it cannot be fixed by home remedies. If you are having a dental cavity then you must be aware of finding a good dentist guide.

Root Infection

Root infection is among the most painful dental diseases because it occurs when dental infection (dental abscesses) has been reached till root. Severe toothache, swollen gums and extreme tooth sensitivity are major symptoms.

When Does Root Infection Need a Dentist?

If the root infection symptoms are visible, you need to consult with your dentist.

(01/11/2024)
by Glen Burnie Dental Group

More Information: N


Views: 552
Share