Dentists Journal

Top Ten Stories of the Week
6/22/2024

All Dentists Journal · Previous Week · This Week · All Time List · Headlines

Share

What Are The Symptoms Of Gingivitis?

Gingivitis refers to inflammation and irritation of the gums that surround our teeth. As one of the diseases that can affect the periodontium (which includes the gums, soft tissue, and bone around the teeth), gingivitis is classified as a form of periodontal disease. Gingivitis can cause gums to recede and lead to permanently damaged teeth.

Periodontal diseases are often classified depending on their severity, ranging from a mild case of gingivitis to severe periodontitis and acute necrotizing ulcerative gingivitis, which can be a dangerous and life-threatening condition.

Progression of Gingivitis

Gingivitis usually occurs before periodontitis develops, and not all cases of gingivitis progress to periodontitis. When gingivitis is only in the early stages, bacteria present in plaque cause inflammation of the gums, which may then bleed on brushing. However, even though the gums may be irritated, the teeth they surround remain fixed in their sockets, and no irreversible damage to the gums or other surrounding tissue has occurred at this stage.

If gingivitis is not treated, periodontitis may develop and the inner layer of gum and the surrounding bone loosen around the teeth. This creates pockets of space between the teeth and gums, where debris collects, leading to plaque and infection. Bacteria or toxins produced by the plaque begin to break down the bone and surrounding connective tissue that holds the teeth firmly in their sockets, and as the condition advances, the pockets become deeper and more bone and gum are destroyed. Eventually, the teeth loosen from their sockets, and tooth loss occurs.

It is therefore vital to detect gingivitis in the early stages so that early treatment can be initiated to increase the chance of full recovery and decrease the risk of recurrence.

Symptoms of Gingivitis

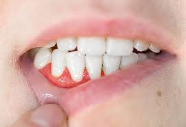
Healthy gums should appear pink, firm, and attached to the lower ends of the teeth that they are holding in place. There should be no bleeding when the teeth are brushed normally. In cases of gingivitis, however, the gums become red, swollen, or infected and tend to bleed easily when brushed. A foul odor or taste in the mouth may also develop, as well as plaques or white spots on the gums. It is also possible to develop gingivitis that does not present with any symptoms, so it is vital to regularly attend dental appointments and check the health of the gums and teeth.

Some examples of gingivitis symptoms are listed below:

Red and swollen gums

Painful gums, especially to touch

Gums that bleed on brushing or flossing

Gums that have peeled or recessed at the lower ends of the teeth

A bitter or unpleasant taste in the mouth due to discharge from bacteria within the mouth

Bad breath caused by gases given off by bacteria

The presence of hardened plaque called tartar, visible as grey or brown discolorations across the teeth

If the gingivitis has progressed, the teeth may have become loose due to the gums receding at the lower ends of the teeth. This may cause difficulty eating.

Excessive salivation

Difficulty in speaking, eating, or chewing due to pain

Gum abscesses filled with pus that may be swollen and painful

Swollen gums and painful ulcers - a condition called "trench mouth"

In acute necrotizing ulcerative gingivitis, symptoms include bleeding, pain, receding gums, ulcers, and difficulty swallowing or chewing. Other disease features include a metallic taste in the mouth and severe bad breath or halitosis.

Treatment for Gingivitis

The symptoms of gingivitis are alleviated by removing the source of infection. Regular visits to the dentist are essential to ensure accumulated plaque is removed to combat the condition. Once the plaque has been removed, the teeth should be brushed and flossed regularly to minimize further plaque formation. In cases of advanced gingivitis, antibiotics may be required to combat the infection and reduce plaque.

 

(06/14/2024)
by News-Medical Life Sciences

More Information: https://www.news-medical.net/health/What-are-the-Symptoms-of-Gingivitis.aspx


Views: 431
Share
Share

Rash Around the Mouth? Perioral Dermatitis And What It Means For You

You try to take care of your skin, but despite applying sunscreen and regularly cleansing and moisturising your face, you may still notice a rash around your mouth. As far as skin conditions go, MedlinePlus notes that rashes around the mouth are most likely to affect young women and children, but can ultimately affect anyone. This condition is called perioral dermatitis, and its causes might surprise you. By understanding what it is and how to treat it, you can soothe your rash to reveal healthy, glowing skin once again.

Rash Around the Mouth: Causes

People with sensitive skin are most likely to suffer from perioral dermatitis, as it's generally associated with topical products. This means the very products you use to keep your skin and mouth healthy could be causing your rash break-out. Here are some of the most common causes of the condition:

Topical steroid creams

Inhaled steroids

Poor skin hygiene, such as failing to wash your face regularly

Using too many irritating topical products

Fluoridated toothpaste

Make-up

Hormonal changes or taking oral contraceptives

An oral infection

Different individuals may experience different symptoms of perioral dermatitis, but it generally manifests as red, flaky skin around the mouth, a burning sensation, bumps, and even an accompanying rash on the nose, forehead and cheeks.

Treatment Options

Perioral dermatitis is typically treated by a dermatologist, but your treatment plan will vary depending on the cause of the rash. MedlinePlus recommends stopping the use of any products that could be irritating your skin, including new make-up, harsh cleansers and sunscreen. Instead, substitute your usual cleanser with warm water and, with your doctor's permission, a mild soap. You can also talk to your doctor about any steroid medications you may be taking or applying, and adjust your dosage to account for your rash.

For stubborn cases, the American Osteopathic College of Dermatology suggests stopping the use of fluoridated toothpaste. If your dermatologist thinks your rash may be due to using fluoridated toothpaste, consider using a fluoride-free toothpaste instead. It's unlikely that you'll have to swap out your toothpaste forever, since the condition can resolve itself with changes to your hygiene routine, habits and even hormones.

Your dermatologist may also be able to prescribe antibiotics to help clear up your skin and get rid of the embarrassing and often painful rash around your mouth. Together, you can come up with a treatment plan to help soothe your skin and balance out your complexion.

Even if you're taking all the necessary steps for a healthy skin, a rash can still break out around your mouth and make you feel like your favourite products and make-up are suddenly working against you. The good news is that, once you isolate the issue, you can work with your dermatologist and dentist to follow treatments and use products that help keep your skin calm, clear and rash-free.

(06/29/2024)
by Colgate

More Information: N


Views: 526
Share
Share

The Most Common Problems with Your Teeth

For most of your life, you’ve heard you need to brush your teeth twice a day, floss regularly, and visit your preferred dentist at least twice a year. Neglecting even basic dental care can turn into a nightmare for your smile, your gums, and your teeth. Of course, sometimes, even when you do everything right, you might still have problem teeth – or lose a tooth or two.

Take a look at the most common problems you can experience with your teeth, and make sure to contact your dentist if you’re experiencing any of them.

Toothaches

Toothaches are caused by a variety of problems. In all cases, you’ll want to seek dental or medical treatment as soon as possible. Your teeth or mouth may ache due to a broken or cracked tooth, an abscessed tooth, cavities, or having a tooth knocked out in an accident. Do not delay in seeing your dentist when you have a toothache as it will only get worse and cause more problems over time.

Tooth Decay

You may not always be able to see tooth decay but you can feel it. It’s the reason you get a cavity, but it can also lead to other, more serious problems later. Tooth decay is caused by plaque that forms on your teeth combining with the sugars or starches from the food you eat to form an acid. This acid sits on your teeth and damages the enamel, leading to cavities and other problems. The best option is to prevent tooth decay before it starts by brushing and flossing regularly and having your teeth cleaned at least twice a year.

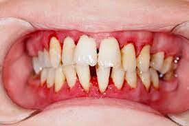
Gum Disease

While gum disease, also known as periodontal disease, isn’t an illness or injury in your teeth, it affects your teeth a great deal. Gum disease is the main cause of tooth loss in adults. Symptoms include bad breath, sensitive teeth, painful chewing, and red, swollen, tender gums. There are two stages of gum disease: gingivitis and periodontitis. Regular check-ups with your dentist and good dental hygiene will help prevent gum disease, but it’s also important to treat it during the early stages to avoid tooth loss.

Tooth Erosion

Tooth erosion means that you experience loss of tooth structure. It happens most commonly when acid attacks the enamel and wears it down. This causes multiple other issues like cracking of your teeth and tooth sensitivity. Because this is directly impacted by what you eat and drink, it’s important to reduce your intake of sugary or carbonated drinks, use straws while drinking, and rinse your mouth out with water after you eat or drink anything. Proper care and cleaning of your teeth can help prevent tooth erosion as well.

Tooth Sensitivity

Having sensitive teeth makes even the most basic function – like eating or drinking – extremely painful. When your teeth are sensitive you may experience pain while eating sweets or ice cream, drinking hot or cold beverages, and even feeling cold air on your teeth. It’s important to see your dentist because there are treatments for tooth sensitivity that are available. Plus, tooth sensitivity can also be a sign of something more serious like a cracked or abscessed tooth.

Missing Teeth

You may lose a tooth for any number of reasons – an accident, gum disease, and tooth decay are just a few. Missing teeth lead to multiple problems including difficulty eating or speaking. The remaining teeth you have may also shift and move in your mouth, impacting your smile. Dental implants are a long-lasting solution to replace a tooth or multiple teeth to avoid bone loss in your jaw and other problems caused by missing teeth.

Unattractive Smile

A smile you don’t like isn’t always caused by a dental health problem with your teeth, but missing, decaying, or eroding teeth definitely impact your smile. This causes problems with self esteem and confidence which affects your relationships and career. Depending on the reason for why you don’t love your smile, there are plenty of options to give you a smile you can be proud of, including dental implants or other cosmetic procedures.

Conclusion

Proper dental hygiene and regular dental check-ups can prevent most problems with your teeth. Even with the best preventative care, though, you can still experience pain, sensitivity, or missing teeth. Depending on what’s wrong, there are multiple options to correct your smile and make sure you’re pain-free, including dental implants. If you’re unhappy with your teeth or in a lot of pain, talk to a qualified dentist and find out what treatment options are available.

(06/21/2024)
by Dental Brothers

More Information: N


Views: 505
Share
Share

Bad Teeth May Cause Serious Health Problems

Everyone wants a friendly smile, and perfect teeth make that so much easier to achieve. But the impact of bad teeth on your life goes far beyond aesthetics. A less-than-perfect smile could contribute to a number of overall health risks. Some of the problems associated with crooked and damaged teeth are preventable, while others can be managed with orthodontic procedures.

In all cases, good oral hygiene and taking care of your teeth help prevent serious health problems, but what happens when you have poor dental health?

How Crooked Teeth Can Affect Your Health

There's a difference between crooked teeth and teeth that are "bad" on account of cavities, neglect or gum problems. Each of those problems could have an effect on your health. Misaligned teeth, also known as malocclusion, like an over or underbite, could lead to the following health issues:

Excessive wear on certain areas of the teeth

Teeth grinding (also known as bruxism) that could result in headaches

Temporomandibular joint disorders that can cause strain on the jaws, teeth and facial muscles

Difficulty brushing and flossing, resulting in dental caries and gum problems.

While many of these outcomes can be prevented with timely care, oral conditions, such as gum problems and dental caries, can lead to other medical issues.

Conditions Related to Poor Dental Health

An unhealthy mouth, regardless of the cause, could trigger problems like gum or periodontal disease, gum problems, tooth loss, mouth sores and a build-up of plaque. All of these issues introduce germs into your mouth, which can affect your entire body and lead to serious medical conditions, such as:

Respiratory infections. Patients with dental caries and periodontal disease constantly breathe in germs from tooth cavities and problematic gums, and over time this can lead to respiratory tract infections, pneumonia and pulmonary diseases, such as COPD, according to a study in the Journal of Periodontology.

Diabetes. This condition creates a "two-way street", with diabetes sufferers having an increased risk of gum problems due to a compromised immune system that makes them more susceptible to bacterial infections. At the same time, a patient with severe gum problems could have a stronger chance of developing diabetes, because efficient blood sugar control becomes more challenging.

Dementia. It may sound surprising, but there's even a link between dementia and oral health. A report published in the Journal of the American Geriatrics Society shows a correlation between tooth loss in seniors and poor performance in memory and walking speed.

The risks presented by poor dental health make it imperative to maintain a healthy mouth. If you have crooked teeth or a bad bite, it may be worth your while to consider orthodontic treatment to correct the problem. For other types of bad teeth, oral hygiene is paramount. Brush and floss daily to keep your mouth clean, and protect and soothe sore gums with regular use of an antiseptic mouthwash.

Keep your mouth healthy and take care of your teeth throughout your life, and you'll reap the long-term benefits in the form of a pain-free mouth and overall body health.

(06/15/2024)
by Colgate

More Information: https://www.colgate.com/en-za/oral-health/adult-oral-care/bad-teeth-and-health-problems


Views: 416
Share
Share

What Causes Pale Gums? 3 Possibilities To Discuss With Your Dentist

In some cases, changes in your mouth can be an early sign that something is going on elsewhere in your body. Take your gums, for instance. Healthy gums are firm and pink to brown in colour depending on your ethnic background. If the colour of your gums change or if you develop pale gums, it can be a sign that something's up.

Several conditions can affect the colour of your gums. If you are concerned about the look of your gums, your dentist or doctor can help to diagnose the issue and work with you to improve your overall health. Here are a few possible causes of pale gums.

1. Anaemia

A research study published in the Research Journal of Pharmacy and Technology notes that the people suffering from anaemia are more prone to oral disease. From the research it was concluded that 68% of patients has paled gums as they lack sufficient red blood cells in the body. According to the National Health Mission, anaemia is a condition in which the number of red blood cells (RBCs), and consequently their oxygen-carrying capacity, is insufficient to meet the body’s physiological needs. The function of the RBCs is to deliver oxygen from the lungs to the tissues and carbon dioxide from the tissues to the lungs. Anaemia impairs the body’s ability for gas exchange by decreasing the number of RBCs transporting oxygen and carbon dioxide. Often, people who have anaemia don't have enough iron, which your body needs to make haemoglobin — the protein that gives blood its bright red colour.

Several things can trigger anaemia. The NHM further explains that Anaemia results from one or more of the following process: defective red cell production, increased red cell destruction or blood loss. Others may develop anaemia because their body destroys red blood cells at a higher rate or has trouble producing red blood cells.

Having pale gums isn't the only sign of anaemia. According to the National Health Mission, symptoms of anaemia includes whiteness or pallor of overall skin, nails, palms of the hand; dizziness, tiredness, fatigue and low energy; unusually rapid heartbeat, particularly with exercise; leg cramps; lowered resistance to infections among others. For diagnosis of anaemia, according to the National Health Portal of India, Complete blood count (CBC) is generally done to know the number of blood cells in the blood. To check anaemia, physician will see the levels of the red blood cells contained in the blood (haematocrit) and the haemoglobin in blood. A test may be carried out to determine the size and shape of your red blood cells, some of red blood cells may also be examined for unusual size, shape and colour.

Treatment options for anaemia depend on the type. For instance, if you have anaemia because your iron levels are low, your doctor might prescribe an iron supplement.

2. Kidney Disease

The kidneys have two jobs: They filter your blood, and they produce urine. When something's wrong with your kidneys, they can't filter waste well. State Health Assurance Society explains that kidney disease risk factors include diabetes, high blood pressure, obesity, smoking and age. Early detection and treatment can increase the life of your kidneys. If you have high blood pressure or diabetes, you should have the kidney health check every year.

As for its effect on gum colour, a study published in the Journal of Clinical and Experimental Dentistry compared the gums of 30 patients with kidney disease to a control group of 30 people without kidney disease. No one in the control group had pale gums, while 42.2% of those who had kidney disease did.

According to an article in the Economic Times, the common symptoms of kidney disease include fatigue and tiredness, high blood pressure, swelling on feet, puffiness of face, urinary abnormalities, among others. If you have concerning symptoms, schedule an appointment with your doctor, especially if you have diabetes or high blood pressure.

Vikaspedia notes that diagnosis of chronic kidney disease includes checking the haemoglobin level, urine test, Serum creatinine, blood urea nitrogen & eGFR, and ultrasound of the kidney among others. Vikaspedia further notes that the patients with chronic kidney disease are treated initially by medical management (medicine, dietary advice and monitoring). The medical management aims to slow down the progression of the disease; treat underlying causes and contributing factors; relieve symptoms and treat complications of the disease among others.

3. Menopause

In some cases, changes in your gum colour can also be connected to menopause. The American Academy of Periodontology notes that menopausal gingivostomatitis affects a small percentage of women. One of the signs of menopausal gingivostomatitis is a change in gum color, such as the gums turning pale.

The National Health Portal of India explains that menopausal syndrome includes symptoms associated with the physiological changes that take place in a woman's body as period of fertility ends. Its symptoms includes irregular periods with scanty or excessive bleeding, hot flushes, night sweats, vaginal dryness and itching, mood swings, joint pain, oedema, sleeplessness, excessive hair fall, anaemia, weakness among others. Your doctor can provide support and advice to help you cope with body changes associated with menopause.

The appearance of your gums can be a key indicator that something may be going on in your body. If you're concerned about pale gums or other changes in your mouth, don't be shy about discussing your concerns with your dentist or doctor. They can help you figure out what's going on and recommend the proper treatment for your situation.

(06/20/2024)
by Colgate

More Information: N


Views: 471
Share
Share

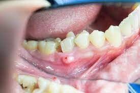
Top Three Reasons For Tooth Infections

Toothaches can range from mildly unpleasant to downright nasty. Sometimes, it’s hard to tell whether a tooth is infected or if something else is causing your tooth pain. Our team at Troy Bartels, DDS is always available to answer your questions. Today we want to share the top 3 reasons for tooth infections to help you decide whether you need to seek immediate treatment.

Reason 1: Poor Dental Hygiene

One common reason for tooth infections is bad oral hygiene. Without proper care, the acid produced by oral bacteria can cause cavities, irritate gums, and result in a tooth infection. Without quick treatment, a tooth infection can cause tooth or gum loss. It can even become life-threatening by spreading through your bloodstream to the rest of your body.

Reason 2: A High Sugar Diet

A diet high in sugar can greatly increase your risk for tooth infections. Oral bacteria feed on sugar, breaking it down into acid. Over time, acid and oral bacteria can coat your teeth in a sticky biofilm called plaque. Without proper care, plaque can harden into tartar, a substance that is notorious for causing tooth infections and irritating gums.

Reason 3: Dry Mouth

Believe it or not, your saliva plays an important role in your oral health. Not only does saliva rinse the surface of your teeth, it contains enzymes that are important in the digestive process. Because people with dry mouth do not produce enough saliva, they are at an increased risk for developing a tooth infection.

Is My Tooth Infection a Dental Emergency?

Sometimes, our patients aren’t sure whether their toothache is a dental emergency. If you’re experiencing significant pain, you may be experiencing advanced tooth infection and should treat it as an emergency. Fever, swelling, or stomach pain may also indicate that your tooth infection needs immediate treatment.

(06/16/2024)
by Troy Bartels, DDS

More Information: https://www.troybartelsdds.com/dental-blog/top-3-reasons-for-tooth-infections/


Views: 407
Share
Share

Tongue Brush Vs. Toothbrush: Which Is Better?

Are you wondering how to take the best care of your tongue? Well, just by asking, you're on the right track. Cleaning your tongue is an important part of your oral care. And using a toothbrush to brush your tongue isn't the only option for taking care of your tongue. A tongue brush or tongue scraper may provide a more thorough clean than most toothbrushes when it comes to the tongue. As you read on, we'll look at tongue cleaning in general and why it's different than brushing your teeth. Then we'll look into the benefits of tongue brushes and tongue scrapers.

Tongue Cleaning

Cleaning your tongue helps eliminate oral germs accumulating on the tongue's surface, mostly toward the back. Certain germs on the back of the tongue interact with amino acids from food and produce smelly sulphur compounds that cause bad breath. One study claims that, although tongue cleaning reduces this odour, tongue cleaning combined with a mouthwash is even more effective.

Tongue vs. Enamel

Due to the differences between the tongue's surface and tooth enamel, toothbrushes may not clean the tongue as thoroughly as you'd like them to. The tongue's surface may feel soft against your teeth, but it is quite rough and covered with tiny crevices, making it easy for germs to hide. The first job of toothbrushes isn't handling these little spaces; it's to clean the hard, smooth surface of tooth enamel and reach into much larger grooves.

Tongue Brush vs. Tongue Scraper

Tongue brushes and tongue scrapers penetrate the tiny fissures on the tongue and clean out harmful deposits. Tongue brushes look like your toothbrush, but have a wide surface that brushes the surface of the tongue. Tongue scrapers, on the other hand, curve to fit the natural shape of your tongue and are either plastic or metal. According to a recent study, tongue cleaners in general reduce the number of germs on the tongue. And the plastic tongue scraper in this study was the most effective in removing said germs. However, more research needs to be done to determine which tool is the best for cleaning the tongue.

If you want to try cleaning your tongue with a tongue brush or scraper, make sure you rinse the tool with clean water before and after use. To clean your tongue, dab a small amount of toothpaste on your tongue brush. Begin at the back of the tongue and work your way forward, using gentle circular motions with the brush or smoothly dragging your scraper. Once you've cleaned your tongue's surface, rinse your tongue. Make sure to avoid pressing too hard with the tongue brush or scraper. You don't want to make your tongue bleed or feel sore in any way. That's not the goal.

Now you know all about cleaning your tongue. Of course, you can brush your tongue with a toothbrush. But a tongue brush or scraper can help you refine this practice and keep your tongue as clean as possible. Remember to be gentle when you clean your tongue. If you want to start cleaning your tongue, try a brush or scraper today. Feel free to ask your dentist what they recommend.

(06/19/2024)
by Colgate

More Information: https://www.colgate.com/en-za/oral-health/adult-oral-care/tongue-brush-vs-toothbrush


Views: 439
Share
Share

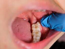
Wisdom Teeth Problems? How to Know if You Need Treatment

Wisdom teeth typically don’t start coming in until early adulthood – typically between the ages of 17-25. However, these rear molars can pose wisdom teeth problems before, during, or even after they come in. How can you tell if your wisdom teeth could be a problem for you? Let’s start by looking at what makes wisdom teeth different from your other teeth.

What Makes Wisdom Teeth Different?

The main reason wisdom teeth require a more watchful eye than other teeth is because they come in once all your other teeth have been set. This means that they may not have the space they need to make their way to the surface of your gums. This is what an impacted tooth is, and it can cause pain, swelling, and other unpleasant issues.

Impaction looks different for each patient, and for each tooth. The most mild form of impaction is when the tooth simply can’t break the surface of the gum because it doesn’t have room. More advanced impactions are when the tooth grows sideways, into another tooth, or backward. If left unaddressed, problems like these could cause more problems down the road.

Do You Have Wisdom Teeth Problems? Ask Yourself These Questions

Paying attention to your dental health will help you spot wisdom tooth problems as early as possible. If you still have your wisdom teeth, ask yourself these important questions to see if your wisdom teeth could be a problem for you:

Do you have pain and irritation toward the back of your mouth?

Are your gums unusually sore and inflamed?

Do you have difficulty eating because of your pain?

Are you experiencing more frequent sinus issues or headaches?

If you’re having one or more of these symptoms, they could mean that your wisdom teeth are moving – and possibly creating problems. The next step for you to take would be to visit your dentist to get a conclusive answer as to whether your wisdom teeth are creating problems or not. Premier Dental Group regularly accepts new patients that need answers to their wisdom tooth questions.

Visiting a Dentist

Your dentist will be able to use expertise and technology to help you determine the next steps for your dental health. Sometimes wisdom tooth pain and inflammation come simply from the wisdom tooth eruption process. Other times, the pain stems from other issues, like:

A cyst forming in the area

Wisdom teeth coming in crooked

Cavities forming

Incorrect wisdom tooth growth

Wisdom tooth growing into the sinus cavity

(06/18/2024)
by Premier Dental Group

More Information: https://www.dentistsinknoxvilletn.com/wisdom-teeth-problems/


Views: 477
Share