Dentists Journal

Top Ten Stories of the Week
8/17/2024

All Dentists Journal · Previous Week · This Week · All Time List · Headlines

Share

Don't Damage Teeth Avoiding These Bad Habits

We all have bad habits. Some of those habits set us back in productivity or personal goals. Others may annoy our loved ones. Others may be bad for our health.

The habits that are bad for us are often the ones that are hardest to break—and habits that hurt your teeth are no exception.

Today, we’re examining a few common bad habits that can damage your pearly whites.

Brushing Too Hard

All of us want clean, healthy teeth and fresh breath. As a result, many of us brush our teeth too aggressively, thinking the more elbow grease we use, the cleaner our teeth will be. 

Unfortunately, brushing too hard can cause several issues, including receding gums and enamel erosion. These issues can lead to tooth sensitivity, which can be pretty painful. They can also make your teeth more vulnerable to decay-causing bacteria. 

The ADA recommends using a soft-bristled toothbrush. You should brush at a soft 45-degree angle towards your gums. This allows the toothbrush’s bristles to target and clean beneath the gumline.

Additionally, you should replace your toothbrush every three months. If your toothbrush’s bristles look flattened or frayed, it needs to be replaced. If your toothbrush starts to look frayed after less than three months of use, it’s a sign you’re brushing too hard and need to adjust your routine.

Biting Your Nails

Nail biting is one of the hardest habits to break, especially if you’ve been doing it for years. Unfortunately, people who bite their nails risk damaging their nail beds, spreading germs from their hands to their mouths and even damaging their teeth.

Over time, repeated nail biting can erode your tooth enamel, crack or chip your teeth, and may even cause your teeth to shift.

If you’re a chronic nail biter, and you’re worried about your teeth, try trimming your nails short or painting them to deter you from biting.

If your nail biting is triggered by stress or anxiety, a professional therapist may be able to help you manage your anxiety in a healthier way.

Chewing Ice

Chewing ice can be refreshing, especially on a hot day. Unfortunately, too much ice chewing can have serious consequences for your teeth.

For starters, crunching ice can slowly erode your tooth enamel—the hard outer coating that protects your teeth from decay. This can cause tooth sensitivity and may make your teeth more vulnerable to cavities, staining and even infection.

Chewing ice can also cause the teeth to crack or chip. Chips and cracks may weaken the teeth and make them more vulnerable to decay. Cracking and chipping may also cause aesthetic issues with your smile, and may damage expensive dental work like crowns, fillings and braces.

It's important to note that compulsive ice chewing can actually be an indicator of underlying health conditions.

Pagophagia, a strong craving to eat ice or icy beverages, has been associated with iron deficiency, with or without anemia. If you experience a strong urge to eat ice, you should schedule a visit with your primary care provider to see if your iron levels are normal.

Practicing Health Dental Habits

Talk to your dentist to find out if you have any bad habits that are damaging your teeth. Together, you and your dentist can help find solutions to your habits and minimize or repair any dental issues they’ve caused. 

It’s important to visit your dentist on a regular basis, and to follow his or her recommendations for yearly exams and cleanings. 

(08/09/2024)
by Gateway Family Dentist

More Information: N


Views: 341
Share
Share

Signs You Have Periodontal Disease

Periodontal Disease, better known as gum disease, is one of the leading problems that lead to tooth infections and long-term gum damage. It is an infection of the gums that can slowly damage them, cause bone loss, and put your teeth at risk. If you have Periodontal Disease, it can be treated with the help of a skilled periodontist. However, you have to know if you need treatment or not. Here are four signs you have periodontal disease.

Plaque and Tartar Buildup

Excessive bacteria in your mouth leads to plaque buildup along the gumline. It becomes a food source and breeding ground for bacteria, contributing to your gum infection. If you leave it long enough, it turns into tartar, which is harder to remove. Excessive tartar will be visible along the margin of the gum and will have a yellow or brown appearance.  Having plaque or tartar buildup that you can’t get rid of is a sign of having Periodontal Disease. To cure either problem, you need a periodontist to remove the buildup and sanitize your gums.

Dark Gums

Normally, your gums should be a light red color and cover a good portion of your teeth. If they start to darken, that means that you have Periodontal Disease. It is an indication that your gums are heavily infected and need to be cleaned out and sanitized. A periodontist can do this with a deep-cleaning procedure called root scaling and planing. The periodontist will go in with a special tool and remove as much of the infected material as possible, sanitizing whatever is left. With proper care, this problem can be reversed.

Bleeding Gums

Healthy gums can stand up to brushing without any problems. If your gums bleed when you brush your teeth, then you likely have Periodontal Disease. Your gums are sensitive and the outer lining is weakened by the infection. So, brushing can stimulate your gums causing them to bleed. If this is the case, an appointment with a periodontist to have your gums checked should be made as soon as possible to make sure that the bleeding won’t lead to a worse problem.

Bad Breath

Persistent bad breath can be caused by a variety of reasons, but Periodontal Disease is a common cause. The bacteria that cause the infection also cause tissue rot and can smell over time. Since the infection is persistent, the smell is also persistent. If you try everything that you can to improve the smell, but it won’t go away, then it is likely that you need treatment for Periodontal Disease. Your dentist has several methods to remove the smell-causing bacteria. It is important that you maintain good health habits after the treatment to stop reinfection and the return of your bad breath.

Do You Have Periodontal Disease?

If you think that you have Periodontal Disease, then you should see a periodontist to confirm and have it treated. Periodontal Disease is entirely treatable with the help of a skilled and experienced periodontist. At Hudson Valley Periodontics and Implantology, we have extensive experience treating problems like Periodontal Disease. Make an appointment by calling us at 845-623-6666 so that we can help you cure your periodontal disease.

(08/12/2024)
by Hudson Valley

More Information: https://www.hudsonvalleyperioimplants.com/4-signs-periodontal-gum-disease/


Views: 344
Share
Share

Can Overcrowding Teeth Be Fixed? Tips and Advice

Do you have overcrowded teeth? Do you feel self-conscious about your smile? You’re not alone. Overcrowding of teeth is a common dental issue that affects many people. It occurs when there is not enough space in the jaw for all the teeth to fit properly, causing them to overlap and become crooked.

The good news is that overcrowded teeth can be fixed. There are several treatment options available, including braces, clear aligners, and veneers. Braces are the most common treatment for overcrowding, as they gradually move the teeth into the correct position over time. Clear aligners, such as Invisalign, are a popular alternative to traditional braces, as they are virtually invisible and can be removed for eating and cleaning. Veneers are another option, although they are typically used for cosmetic purposes and may not be suitable for everyone.

If you have overcrowded teeth, it’s important to seek treatment from a qualified dental professional. They can assess your situation and recommend the best course of action for your individual needs. With the right treatment, you can achieve a straighter, healthier smile that you can be proud of.

Understanding Overcrowded Teeth

If you have crowded teeth, you may wonder if there is a way to fix them. In this section, we will discuss what overcrowded teeth are, and some of the common causes of this condition.

What Are Overcrowded Teeth?

Overcrowded teeth occur when there is not enough space in your mouth for all of your teeth to fit comfortably. This can cause your teeth to become crooked, overlap, or twist, which can affect your appearance and make it difficult to clean your teeth properly. If left untreated, overcrowded teeth can also increase your risk of tooth decay, gum disease, and other dental problems.

Causes of Overcrowded Teeth

There are several factors that can contribute to overcrowded teeth, including:

Genetics: Some people are simply born with smaller mouths or larger teeth, which can cause crowding as their teeth grow in.

Thumb-sucking: If you suck your thumb or use a pacifier for an extended period of time, it can affect the growth of your teeth and jaw, leading to crowding.

Mouth breathing: Breathing through your mouth instead of your nose can cause your teeth to shift and become crowded over time.

Early tooth loss: If you lose a baby tooth too early, it can cause the surrounding teeth to shift and become crowded as they grow in.

Wisdom teeth: If your wisdom teeth do not have enough space to grow in properly, they can cause crowding and other dental problems.

If you have overcrowded teeth, it is important to talk to your dentist or orthodontist about your treatment options. With the right care, you can improve your smile and protect your dental health for years to come.

Effects of Overcrowded Teeth

If you have overcrowded teeth, you may experience several negative effects that can impact your oral health and aesthetics. Here are some of the effects of overcrowded teeth:

Oral Health Impact

Overcrowded teeth can lead to several oral health issues, including:

Difficulty cleaning teeth: Overcrowded teeth make it difficult to clean teeth properly, which can lead to tooth decay, gum disease, and bad breath.

Increased risk of tooth damage: Overcrowding can cause teeth to shift, leading to chips, cracks, and other damage.

Jaw pain: Overcrowding can cause misalignment of the jaw, leading to pain and discomfort.

Speech problems: Overcrowded teeth can cause speech problems, such as lisping and difficulty pronouncing certain sounds.

Aesthetic Concerns

Overcrowded teeth can also have aesthetic consequences, including:

Crooked or uneven teeth: Overcrowding can cause teeth to appear crooked or uneven, which can impact your smile and overall appearance.

Crowded teeth can cause you to feel self-conscious about your smile, which can impact your confidence and self-esteem.

Overall, overcrowded teeth can lead to a range of issues that can impact your oral health and aesthetics. If you have overcrowded teeth, it is important to seek treatment from a qualified dental professional.

Treatment Options for Overcrowded Teeth

If you have overcrowded teeth, there are several treatment options available to help straighten them out. Here are some of the most common treatment options for overcrowded teeth:

Braces

Braces are a popular and effective way to straighten overcrowded teeth. They work by applying pressure to your teeth over time, gradually shifting them into the correct position. Braces can be made from metal, ceramic, or clear materials, and they can be worn for anywhere from six months to two years or more, depending on your individual needs.

Invisalign

Invisalign is a type of clear aligner that works similarly to braces, but without the brackets and wires. Instead, you wear a series of clear plastic trays that gradually shift your teeth into the correct position. Invisalign is a popular choice for adults who want a more discreet way to straighten their teeth.

Tooth Extraction

In some cases, overcrowded teeth may need to be extracted in order to make room for the other teeth to shift into the correct position. This is typically done as a last resort, after other treatment options have been exhausted. Your dentist or orthodontist will be able to advise you on whether tooth extraction is necessary in your case.

Palatal Expanders

Palatal expanders are devices that are used to widen the upper jaw in order to create more space for the teeth. They are typically used in children and teenagers, as the jaw is still growing and can be more easily manipulated. Palatal expanders are usually worn for several months, and they can be adjusted by your orthodontist as needed.

 

Overall, there are several effective treatment options available for overcrowded teeth. Your dentist or orthodontist will be able to advise you on the best course of action based on your individual needs.

If you’re concerned about overcrowded teeth, there are a few things you can do to prevent them. Early orthodontic evaluation and maintaining oral health are two important factors to consider.

Early Orthodontic Evaluation

The American Association of Orthodontists recommends that children have their first orthodontic evaluation by the age of 7. This allows orthodontists to identify any potential issues early on, before they become more serious. Early intervention can prevent overcrowding and other dental problems from developing.

During an orthodontic evaluation, your orthodontist will examine your child’s teeth and jaw to determine if there are any issues that need to be addressed. They may take x-rays or other diagnostic tests to get a better look at your child’s teeth and jaw.

If your child does need treatment, your orthodontist will work with you to develop a treatment plan that meets your child’s needs. Early treatment can often prevent the need for more extensive treatment later on.

(08/09/2024)
by CDHP

More Information: https://www.cdhp.org/can-overcrowding-teeth-be-fixed/#google_vignette


Views: 347
Share
Share

Important Things to Know about Oral Health

Taking care of your teeth is necessary for your oral health problems. When you do not treat dental problems, they may quickly turn into severe health issues that can affect your body. Many dental problems can be avoided and solved with proper care and treatment. Whatever you choose for your oral health, there is something that can help you improve your teeth and regain the sweet smile on your face.

You should brush your teeth when you get up in the morning and before going to bed with fluoride toothpaste. This ensures your teeth will be in a good condition and won’t get damaged easily. Let’s discuss few things you should know about oral health.

The kind of toothbrush to use

When it is about choosing the right toothbrush, you must know your exact requirement. Adults use either small or mid-sized toothbrush that has soft or round bristles while there are brushes particularly made for children and elderly people. Your emergency dentist near battersea knows the right kind of toothbrush you require and will help you take the right decision.

The toothpaste best suited for your need

It can be quite confusing to select the right kind of toothpaste depending on your requirement. The most important thing to consider is that your toothpaste should have the right amount of fluoride. However, you may have other needs due to gum disease, tooth sensitivity or your age. Talk to your dentist in battersea immediately as he will be able to suggest what is best for your need.

The affect of diet on your oral health

Your food and drink may have a huge impact on your overall health. If you take high amount of sugar and acidic food, then it may damage your teeth leading to various problems. Try to take high sugar dosage food and drinks only during mealtimes to prevent your mouth from further risk. Every time you intake sugar, it requires almost an hour for your teeth to recover from acid attack. It is advisable that you take a diet that has high amount of vitamins, minerals, fresh vegetables and fruits in order to prevent gum disease and keep the teeth in good condition.

How often you should clean between your teeth

You need to clean between your teeth at least once in a day. When you brush your teeth, it will clean only two thirds of tooth surface. As such, you will have to take extra effort to be sure that you are actually reaching out all the teeth. By cleaning between the teeth, it will help remove small bits of food from the areas where your toothbrush cannot actually reach.

You may use dental floss or ‘interdental’ brush to clean between your teeth. You can also use dental tape that is thicker than floss and many people prefer using it for cleaning between the teeth. Consult your dentist associated with Glow Dental  Practice in Battersea who will show you interdental cleaning methods and products to ensure that you are doing it in the most effective way.

The need to use mouthwash

There are various advantages of using mouthwash to oral health. Some may contain anti-bacterial ingredients that can help prevent gum disease while the others consist of n fluoride, which can help stop tooth decay. It is advisable that you don’t use mouthwash immediately after brushing your teeth since this may wash away the fluoride from brushing.

Thus, anytime you need to ask any question related to teeth damage or decay, visit your dentist and seek his advice to solve your dental problems.

(08/14/2024)
by Foroes

More Information: https://www.foroes.net/important-things-to-know-about-oral-health/


Views: 315
Share
Share

Swollen Cheeks Causes, Red, In Toddler and Inside Mouth

Why are your cheeks swollen in the morning? Swelling in cheek could be due to sensitivity allergic substances, mumps and facial edema. The various causes of swelling of cheeks and face indicate other serious health problems, infections or conditions. It can occur in children and adults.

Swollen cheek causes including face

What causes swollen cheeks? Read on to unlock information on swollen cheeks, causes, and other signs to look out for.

1. Allergic reaction

Allergies and reaction to allergens are one of the common causes of facial swelling and swollen cheeks. One is said to have an allergic reaction to a certain allergen or substance when the immune system produces a reaction to counter the potentially harmful effects of the specific substances.

The most common types of allergen sources that would cause swelling in cheeks include bee stings, certain chemicals, medicines, and latex. There are also certain skin conditions that normally results in swelling. Such are eczema and contact dermatitis, which are locally referred to as skin allergies.

If an allergic reaction causes facial swelling, it could be mild or serious. Depending on one’s sensitivity, the symptoms of an allergic reaction can be revealed in various ways. Swollen cheek and eyes are common. Below are some of the signs or symptoms associated with allergic reactions.

Enlarged face or puffy face particularly the front cheeks, around eyes, eyelids, and lips,

Hives and skin rash, which can cause one to start itching. To confirm that it is a skin dermatitis then affected individuals have to undergo an allergy test,

Breathing problems, nasal congestion, et cetera.

Diarrhea,

Irritated red, itchy eyes, watery eyes,

A runny nose, sneezing,

Anyone can become sensitive to allergens and develop an allergy too. Moreover, it can run across families. Above all, children and adults altogether are victims of skin allergies.

As we have mentioned, there is great need to go for an allergy test in order to identify the type of allergies causing your suffering.

2. Certain infections

Certain infections can cause swelling in the skin. They include the following.

i. Cellulitis

Cellulitis is a bacterial infection of the skin. The bacteria causing it can enter through cuts in the skin or after you have an injury on the skin. This infection can cause a sudden swelling of the skin.

In the case of facial swelling, this infection can also result from certain complications resulting from untreated infections of the teeth. For instance, if you have a dental abscess there are chances of getting cellulitis.

This infection is characterized by a sudden swelling, redness of skin, warmth and tender skin to touching more so facial skin.

ii. Acute sinusitis

Another infection that can lead to a facial swelling is sinusitis although it at least causes mild cheek swelling.

iii. Mumps

This is another infection, which we shall look at later on.

3. Angioedema or facial edema

Angioedema and anaphylaxis can cause severe swelling in the skin with the latter (anaphylaxis) being a fatal condition. Unlike anaphylaxis, angioedema results in “severe swelling beneath the skin, especially of the face and the limbs.”

This implies that whole skin tissue is not enlarged but rather a superficial layer of skin is affected. The enlargement may occur on the left side of the face or the right side or both. For some people, angioedema will typically show up as “swelling under the skin often appearing around the eyes and lips.”

Although the real causes of facial oedemas are not known, it rarely causes pain as far as swelling is a typical sign.

4. After tooth extraction or removal

What do you expect after you have undergone tooth extraction? How long does it last? Tooth exactions are commonly on the molar, and wisdom tooth.

Minor extractions are less likely to cause any swelling of jawbone tissue. If swelling occurs, it tends to differ from one individual to the other.

However, swelling inside cheeks is what you highly expect if there is an extensive surgical operation required to deal with or remove them. This may largely interfere with and cause damage to soft tissue in the cheekbone. To a certain extent, it may lead to bone tissue removal for a successful operative action. What else would you expect?

Swelling which extends to the mouth and outside cheeks if several teeth are removed and tissue damage is extended,

Enlargement of one or even both sides of the face,

Swelling under the cheekbone and along jawbone extending to the lower ear part,

A toothache,

The functioning of soft tissue surrounding eyes could also be affected.

After your tooth is extracted, swelling may last up to three days and a few more hours.

Other causes

IgE mediated food allergies that lead cause abnormal reaction by immune system especially children,

A serious and persistent toothache,

Reactions produced after blood transfer,

Anaphylaxis,

Osteomyelitis also referred to as bone infection,

In babies or children

Perhaps you want to know why your baby’s cheek look swollen. Well, a majority of the reported cases of (facial) swollen cheeks in children is due to allergic reactions or anaphylaxis. The swelling could also be characterized by puffy eyes, itching. Check on the respective additional symptoms or take your baby to a children’s clinic for a checkup.

On the other hand, if the swelling is mild for many infants and small babies, then consider the other signs or symptoms of teething, infections such as cellulitis.

Red swollen cheeks in adults

From this discussion, it is agreeable that facial/cheek swelling may be accompanied with other symptoms. The set of symptoms are quite crucial in telling the problem that one has. However, that will depend on the causes. Presence of rash or red swollen face or cheeks in children and adults could be due to dermatitis such as contact dermatitis, eczema, cellulitis among other causes.

(08/10/2024)
by American Celiac

More Information: https://americanceliac.org/swollen-cheeks-causes-red-in-toddler-and-inside-mouth/


Views: 335
Share
Share

The Ugly Truth About Your Toothbrush & Germs

Your toothbrush is home to more than 100 million bacteria including E. coli and staphylococci (Staph) bacteria, according to researchers at the University of Manchester in England. And the University of Alabama at Birmingham found that fecal germs were on your toothbrushes too.

All that sounds gross, but you needn't panic. Your mouth is also full of bacteria and your toothbrush probably won't make you sick, but there are ways to keep it clean so you stay healthy.

"There (are) hundreds of microorganisms in our mouths every day," says Gayle McCombs, RDH, MS, associate professor and director of the Dental Hygiene Research Center at Old Dominion University.

Even plaque – the stuff you are trying to brush off your teeth – is composed mainly by a type of bacteria.

None of this is cause for concern unless there is an unhealthy balance of bacteria in the mouth.

Brushing your teeth, particularly with an electric toothbrush, can actually push germs under your gums, says R. Thomas Glass, DDS, PhD, professor of dentistry and pathology at Oklahoma State University Center for Health Sciences.

Most of these germs already exist in your mouth so you probably won't get sick from them. However, if others use your toothbrush (or you use someone else's) germs can be spread.

The thing to worry about is recurring illness. "When your resistance is low, that's when this becomes clinically important," he says. "In essence, you are re-infecting yourself," says Glass.

You probably won't get an infection from your own toothbrush. Even if your brush is covered in bacteria, your immune system can usually take care of any bacterial invaders. However, you should still care for your toothbrush properly and keep it clean. The following slides discuss some ways to care for and store your toothbrush properly to minimize the chance of illness.

Where you store your toothbrush in your bathroom is important. In most bathrooms, the toilet is very close to the sink, where most people keep their toothbrushes. Every time you flush, bacteria are released into the air – and you don't want that bacteria to get on your toothbrush.

"It's just common sense to store your toothbrush as far away from the toilet as possible," says McCombs. Keep it in a medicine cabinet if possible, and always close the toilet lid before flushing to minimize the spread of bacteria onto your toothbrush.

Toothbrush holders as well can pick up bacteria that are spread by toilet flushing. A study by the National Sanitation Foundation (NSF) found that toothbrush holders are the third-most germy household items (behind dish sponges and kitchen sinks). Remember to clean your toothbrush holder regularly to remove germs.

After you've moved your toothbrush as far from the toilet as possible, and cleaned your toothbrush holder, here are some storage tips to keep your toothbrush as germ-free as possible:

Rinse your toothbrush thoroughly with tap water every time you use it.

Let your toothbrush dry thoroughly between brushings. Don't use toothbrush covers, which can create a moist enclosed breeding ground for bacteria.

Keep your toothbrush upright in a holder, rather than lying it down.

Don't ever use anyone else's toothbrush, or let someone use yours.

Keep toothbrushes separate. If toothbrushes touch, they can swap germs.

There are products available that claim to sanitize your toothbrush. Some use ultraviolet light; others are sprays or rinses. There are even brushes with built-in antibacterial bristles. While some of these products do kill some germs, there is no evidence using them will reduce your risk of illness.

The American Dental Association (ADA) states soaking your toothbrush in an antibacterial mouth rinse after use may reduce the number of bacteria on your toothbrush.

Just make sure you do not try to sterilize your toothbrush in a microwave or dishwasher. According to the ADA, most toothbrushes are not made to withstand these conditions and doing so might damage the brush and reduce its effectiveness.

The ADA recommends replacing your toothbrush every three to four months, or more often if bristles become frayed, if you are sick, or if you have a weakened immune system. For an electric toothbrush, replace the head as frequently as you would a regular disposable brush. Children's toothbrushes may need to be replaced more often than adult brushes.

Remember, "Bacteria cause gum disease, and decay, and bad breath," says dentist Kimberly Harms, DDS, consumer advisor for the ADA. Harms recommends brushing and flossing as often as possible, and rinsing your mouth with an antibacterial mouthwash before you brush to eliminate bacteria before they get onto your toothbrush.

(08/11/2024)
by Medicinet

More Information: N


Views: 408
Share
Share

Herpes Simplex Virus Infection Of The Mouth

Herpes viruses are a large family of parasites able to infect humans. All are DNA viruses capable of latency. Among human herperviruses there are two variants - Herpes Simplex Virus type-1 (HSV-1) and type–2 (HSV-2), which can be – as well as other clinical signs and symptoms – responsible for oro-facial disease. Usually HSV-1 infections affect the face and mouth while HSV-2 infections occur genitally. Both viruses may cause recurrent disease.

HSV usually enters humans via the mouth. Oro-genital and penetrative intercourse, contact sports, some high risk occupations and corneal transplant surgery have been associated with HSV transmission.

The first episode of HSV infection in humans who have not previously been exposed to HSV-1 and HSV-2 is called the primary infection. Symptoms are not always present during the first infection, and therefore patients may be unaware that they have been exposed to the virus. Following primary infection the virus travels through the nerves that give sensation to the area infected. Once it enters the root of these nerves – the ganglion – it remains there for life. When the virus reactivates, it can cause mucosal or skin lesions in roughly the same area to that where it originally entered the body: these manifestations are defined as recurrences.

Epidemiology

HSV-1 and HSV-2 occur worldwide and have no seasonal variation. HSV infection is rarely fatal. Most human beings have been infected and harbour latent virus that can reactivate; hence there is a vast HSV reservoir for transmission to susceptible individuals. Demographic factors affect acquisition of HSV-1 infection. In less developed countries seroconversion happens early in life – at 5 years in around a third of children and in 70-80% by adolescence. In comparison, individuals in more developed countries become infected later on – seroconversion occurs in about 20% of children younger than 5 years; then no substantial rise in frequency happens until an increase to 40-60% at age 20-40 years. In the USA, race also affects acquisition of HSV-1. By age 5 years, more than 35% of African-Amerindians versus 18% of white children are infected with HSV-1. Incidence of infection among university students is around 5-10% annually.

HSV-2 infections are usually sexually transmitted. Most genital HSV infections are caused by HSV2; however an increasing proportion is attributable to HSV-1. Genital HSV-1 infections are usually less severe and less prone to recur than those caused by HSV-2. HSV-2 seroprevalence rises from about 20-30% at age 15-29 to 35-60% by age 60 years. Factors that affect acquisition of HSV-2 infection include sex (infection is more frequent in women), race (infection is more frequent in Africans Americans than whites), marital status, number of sexual partners, and place of residence (prevalence is higher in city than in suburbs).

As with HSV-1 infection of the mouth, HSV-2 primary, initial or recurrent infection can be symptomless. Recurrence varies between men and women, occurring 2.7 and 1.9 times per 100 days, respectively. Women with initial genital herpes can shed the infection without symptoms; this occurs in 12%, 18% and 23% of primary HSV-1, primary HSV-2 and non-primary-HSV-2 infections respectively.

Clinical presentation

Herpesvirus infections can cause debilitating diseases which, in persons with frequent recurrences, may have psychological and physical sequelae. Gingivostomatitis and orolabial HSV infection are expression of trigeminal nerve infection. Gingivostomatitis is a symptomatic primary HSV-1 infection, usually occurring in children and characterized by vesicles and ulcers in and around the oral cavity (Figure 1). Children are often unable to swallow because of the associated pain, and may become dehydrated. In severe cases hospitalization may be required and occasionally autoinoculation can result in conjunctivitis and keratitis. In cases of oral disease, primary infection is usually inside the mouth (gingivostomatitis), whereas recurrent disease is most commonly associated with lesions of the lip (herpes labialis or cold sores) (Figure 2) or cutaneous manifestation (facial herpes). Cold sores are usually preceded by prodromal symptoms as tingling, pain, burning sensation or itching at the site of reactivation. Symptomatic outbreaks of cold sores are estimated to affect 20-40% of adults. Occasionally reactivation may result in irregular oral ulceration in the distribution of the affected nerve (Figure 3).

Reactivation of HSV-1 from the geniculate ganglion has been implicated in the pathogenesis of idiopathic facial palsy or Bell’s palsy.

Ocular HSV infection is a major cause of corneal scarring and visual loss which is the result of a direct viral cytopathic effect.

Aetiopathogenesis

Herpesviruses have two biologic properties: the ability to invade and replicate in the host nervous system and the ability to establish a site of latent infection. The neurovirulent properties of herpes simplex virus (HSV) enable the virus to cause a disease primarily of the sensory nervous system rather than of the skin. The ability of HSV to infect and cause lyses of cells of the central nervous system (CNS) is illustrated by sporadic cases of potentially fatal HSV encephalitis. In more usual circumstances, however, the main target of the virus is the peripheral nervous system. During primary infection, virus is transported via sensory ganglia to establish a chronic latent infection, most commonly in the trigeminal, cervical or lumbosacral ganglia. Retrograde transport of HSV along nerves and the establishment of latency are not dependent on viral replication in the skin or neurons therefore neurons can be infected in the absence of symptoms.

Periodically HSV may reactivate from its latent state and virus particles then travel along sensory neurons to the skin and other mucosal sites to cause recurrent disease episodes. Recurrent mucocutaneous shedding of HSV can be associated with lesions or asymptomatic shedding and in either scenario is allied with a period when virus can be transmitted to a new host.

Diagnosis

Although acute herpetic gingivostomatitis and recurrent labial and intraoral herpes simplex infection are diagnosed by the clinical history and signs several laboratory techniques may assist in the diagnosis of the difficult case. These include:

Morphologic studies (Tzanck test) – smear taken from an intact vesicle

Viral culture, antigen or DNA studies (Immunomorphologic, immunovirologic, molecular virologic methods)

Serologic – a rising titre of serum antibodies is confirmatory, but gives the diagnosis retrospectively

Treatment

Primary stomatitis

An adequate fluid intake and soft diet must be encouraged. Dehydration especially in children may result in hospital admission. Antipyretic/analgesic agents such as paracetamol (acetoaminophen) relieve pain and fever (aspirin should be avoided in children). Local pain control may be assisted by the use of benzydamine hydrochloride 0.15% mouthwash/spray or lidocaine hydrochloride 1% gel. A 0.2% aqueous chlorhexidine mouthwash (diluted to half strength with warm water if too uncomfortable at full concentration) or tetracycline mouthwash (contents of 250mg capsule of tetracycline or doxycycline dissolved in 15ml warm water and held for 2-3 minutes and expectorated four times daily) may assist in resolution of painful ulceration by decreasing secondary bacterial infection.

Three randomised controlled trials (RCTs) have clearly demonstrated that early aciclovir treatment significantly shortens the duration of all clinical manifestations and infectivity of affected children compared with placebo. Treatment should be started within the first 3 days of disease onset. The proposed therapeutic dose is 15 mg/kg, 5 times daily for 5 to 7 days.

Recurrent herpes labialis

Prevention

Oral antiviral agents . Limited evidence from RCTs suggests that prophylactic oral antiviral agents may reduce the frequency and severity of attacks compared with placebo, but the optimal timing and duration of treatment is uncertain. Long term prophylaxis should be reserved for those subjects who suffer regular severe attacks.

Sunscreen Limited evidence from two small crossover RCTs suggest that ultraviolet sunscreen may reduce herpes recurrence compared with placebo. Topical antiviral agents There are no RCTs on the effects of topical antiviral agents used as prophylaxis.

Treatment

Oral aciclovir for first attack One small RCT in children found that oral aciclovir reduced the mean duration of pain compared with placebo. Another small RCT in children found that oral aciclovir reduced the median time to healing compared with placebo.

Oral antiviral agents for recurrent attack Two RCTs found that oral aciclovir (if taken early in the attack) marginally reduced the duration of symptoms and pain compared with placebo. More recently valaciclovir has showed similar results.

Topical antiviral agents for recurrent attacks Limited evidence from RCTs suggests that topical 1% penciclovir or aciclovir reduced the duration of pain and symptoms compared with placebo.

Topical anaesthetic agents One small RCT found limited evidence that topical tetracaine reduced the mean time to scab loss compared with placebo. However, the clinical importance of this result is unclear.

Topical antiviral agents for first attack There are no RCTs on the effects of topical antiviral agents. Zinc oxide cream One small RCT found limited evidence that zinc oxide cream reduced time to healing compared with placebo but found that it increased the risk of skin irritation.

Prognosis

Whilst antiviral agents prevent recurrence, it is most unlikely that HSV is eradicated and therefore, despite therapy, long-term reactivation may be expected.

Complications

Eczema herpeticum

HSV infection is a particularly troublesome complication of atopic eczema and frequently affects the head and neck if associated with autoinnoculation from oro-labial herpes. Eczema herpeticum is a potentially serious and progressive disease from which suppressive therapy with acyclovir is indicated.

Erythema multiforme and Stevens-Johnson syndrome

HSV is a recognised trigger for these mucocutaneous diseases: continuous aciclovir therapy (600mg twice daily for 6 months) can be effective in preventing outbreaks.

(08/15/2024)
by European Association of Oral Medicine

More Information: N


Views: 464
Share
Share

Can You Make Your Own Tooth Filling?

Cavities — or tooth decay — cause damage to the hard tissues of teeth (enamel). The damage is caused by acids found in plaque. Cavities are one of the most common health problems worldwide and affect all age groups.

The damage caused by plaque can take the form of pits or holes in the tooth. If these are not treated, they can lead to toothache, infection, and tooth loss. A dental professional will usually place a filling into the hole to stop the damage and maintain dental health, but some people may try to treat a cavity on their own.

What is having a cavity like?

Cavities form over a period of time. There are a few stages to dental decay:

Spots appear on the surface of the tooth.

The decay invades the tooth enamel. 

After decay breaks through the enamel, the tooth structure breaks down more quickly via the softer layers. 

If the cavity is not filled, more serious problems can occur deeper in the tooth

As the breakdown or decay continues, eventually, the associated gums and nerves become irritated and painful. 

Signs that you may have a cavity include:

Tooth sensitivity

Toothache

Pain when eating or drinking things that are hot, cold, or sweet

Pain when biting down</li>

Discolored teeth

Holes or pits in teeth

Dentists treat the cavities/holes with fillings. Also called restorations, they are the best option for advanced decay. Fillings are made of several materials, including a porcelain or dental amalgam or tooth-colored resins.

Can I fill my own cavity?

Do-it-yourself dentistry has become very popular. Access limitations or problems with finances may lead people to try fixing dental problems at home. However, this is dangerous because the long-term oral effects of quick fixes are not known.

On the market these days, there are several at-home tooth repair kits. They are used to repair lost fillings or fill a tooth from scratch. These were made as temporary fixes to teeth when the dental office is closed or when there will be no dental access for a while. 

One of the problems with at-home kits is some use the kits as a permanent solution. Not going to see a dentist and not properly stopping tooth decay, though, can lead to infection, pain, and gum disease.

Can I create my own tooth filling?

Many online sources show how to mix and fill a cavity with an at-home solution. Once again, this is not recommended because improper fillings and incomplete stoppage of tooth decay can lead to long-term problems.

Here, though, are some steps for creating your own tooth filling as a temporary solution while you seek professional dental care:

Compile tools that are needed for the filling, including a mirror, tweezers, and mixing tools.

Gather clove oil and zinc oxide powder.

Lay all materials out on a cloth for easy reach, including cotton balls and tissue.

Keep the cavity area dry.

Remove the soft decay in the tooth.

Mix the zinc oxide/clove oil into cement.

Push the cement into the cavity. 

Remove access from around the tooth.

Afterward, do not eat for an hour so the filling can get hard. If the tooth hurts more after the filling is put in, an abscess may have formed, and the tooth and filling should be removed.

How do I avoid cavities and the need for fillings?

The following steps can help to prevent cavities and maintain optimal oral health.

Avoid sugary foods and drinks.

Use fluoride-containing toothpaste and mouthwash.

Floss daily and brush thoroughly.

Make sure your dentist knows about medications you are taking or medical conditions that can affect your teeth.

Be aware of other factors that can affect tooth enamel, like tobacco use and alcohol. 

If you are having sensitivity or pain in your teeth, you should try to be seen by a dentist as soon as you can. Early detection of dental problems can help you to avoid oral diseases in the future.

(08/10/2024)
by Medicinet

More Information: N


Views: 344
Share
Share

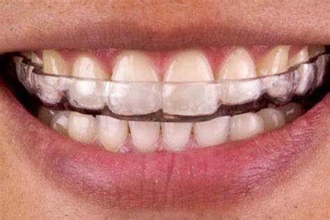
Prevent Broken Crowns and Bridges with an Occlusal Guard

We’re seeing more patients come in with broken crowns and bridges than we have in a long time. Maybe it’s the stress of social distancing. Or, it could be fear of the unknown as we all manuver through this pandemic. 

Enterprise Dental Care can help you prevent the inconvenience of repairing a broken tooth, crown or bridge. Just give us a call at 301-249-3333 or Contact Us to arrange an appointment for the fitting of a night guard, also known as an occlusal splint or stress guard. 

This custom-fitted appliance will keep your teeth slightly apart when you wear it. It will prevent clenching and minimize the pressure on your teeth and jaw. A night guard is also called an occlusal guard. It sure beats going through the process of repairing a broken tooth, crown or bridge because of overnight teeth grinding. 

You Are Likely Experiencing Bruxism 

Bruxism is excessive teeth grinding and jaw clenching but the cause remains unknown and not all patients with bruxism exhibit symptoms.  

If you have crowns or bridges and are experiencing: 

Headaches

Jaw pain

Hearing loss

Loose, fractured or worn teeth

Protect Your Crowns and Bridges With Properly Fitted Night Guard

If we recommend an occlusal guard it will likely be made of acrylic and vary in degrees of softness or hardness. Whether or not it covers all your teeth will depend on where the grinding occurs and how serious it is. This is all with the goal of letling your jaws move more easily against each other to reduce the muscle strain. You’ll feel better and reduce the chances of cracking a crown or destroying a bridge. 

Feeling the symptoms of stress? Protect your crowns and bridges with a small investment in a night guard.

(08/13/2024)
by Enterprise Dental Care

More Information: https://enterprisesmiles.com/blog/prevent-broken-crowns-and-bridges-with-an-occlusal-guard


Views: 344
Share
Share

Most Common Traumatic Mouth Injuries

When trauma occurs to your teeth, gums, or jaw, there is a chance that it may impact your ability to speak and chew properly. It may also change your appearance. Common oral injuries need to be treated quickly by the right professional.

Traumatic oral injuries are not caused by any sort of infection or other illness. Instead, they are caused by impact. Some of the most common sources of these injuries are falls, car accidents, and sports mishaps. However, less common, sometimes these injuries are caused by biting down on foods that are too hard.

If you’ve experienced mouth trauma, contact your dentist to determine if emergency dental services are needed.

Emergency Room or Emergency Dental Services

If you or a loved one has experienced an injury to your teeth or gums, your first instinct may be to seek out emergency dental services. Before you do, make sure you aren’t dealing with other injuries that need more immediate attention. Has the injured individual experienced any of the following:

Loss of consciousness

Memory issues

Severe bleeding

Difficulty swallowing

Trouble opening or closing mouth

Intense jaw pain

Any suspicion of spinal cord injury

Evidence of injury that could lead to permanent damage or worse

Most hospitals employ oral surgeons to ensure the patients with dental trauma receive the support they need. These surgeons treat many mouth injuries taking the appropriate steps to stabilize the patient.

Treating the Most Common Dental Injuries: Emergencies

When should you get emergency dental treatment? If you haven’t suffered any additional traumatic injuries but have serious dental trauma, you can seek emergency dental assistance. For example, you might do this if you have a broken tooth or one that’s been knocked out and you’re in excruciating pain.

You need emergency treatment if immediate action is needed to save or restore a tooth, or there is too much pain for you to function until a regular dental appointment. If your dentist doesn’t take emergency appointments, they may be able to refer you to somebody who does.

Teeth That Are Knocked Out or Broken in Half

A tooth that has been knocked out entirely is called an “avulsed” tooth. If this happens to you, remember that an endodontist can save your tooth. First, rinse it with milk, never touching it by the root. If possible, place it back into the socket gently. If not, hold the tooth in your mouth. You may also put it in a glass of milk. Don’t let it dry out.

An emergency dentist or endodontist may be able to set the tooth back into the mouth to have it reattached to the jawbone. There may be complications, which could prevent this from happening, for example:

It takes too long to get treatment

The tooth dries out

Your jaw bone is broken

Keep in mind that a broken tooth is a dead tooth. Therefore, it will require a root canal and likely a crown.

A tooth that has broken in half has had the pulp severed. However, it may be repairable. Dentists can use a process called bonding to make the tooth whole again. In most cases, an endodontist will need to perform a root canal.

Chips and Cracks: Non-Emergency Oral Injuries

Some injuries don’t need emergency treatment, but it is important to seek help soon. For example, if you suffer an injury that causes a minor chip or crack in your tooth, contact your dentist. They’ll want to get you in for an x-ray and to repair the tooth. In some instances, the crack or break may be more extensive than you realize. In these situations, you may need more intensive treatment.

(08/12/2024)
by Access Endodontics

More Information: https://www.accessendomd.com/dental-blog/most-common-traumatic-mouth-injuries/


Views: 415
Share