Dentists Journal

Top Ten Stories of the Week
6/12/2021

All Dentists Journal · Previous Week · This Week · All Time List · Headlines

Share

Sialolithiasis: What You Need to Know

Are you experiencing pain in your face, neck, or mouth? If that pain worsens right before or during meals, you might have sialolithiasis. Thankfully, sialolithiasis treatment is usually successful and can sometimes be resolved at home. Learn more about this condition, what causes it, and how to treat it.

What Is Sialolithiasis?

Sialoliths, more commonly known as salivary stones, are hardened mineral deposits in the salivary glands. Your salivary glands transport a liquid filled with minerals to your mouth. This saliva aids in digestion and lowers the acid levels in your mouth. Salivary stones are small deposits of calcium and other minerals that form in the ducts of the salivary gland. If these hardened deposits grow large enough, they can block the saliva flow and cause the glands to swell.

Of your three major salivary glands, 80 percent of stones form in your submandibular glands, which are located along your jawline. They can also form in your parotid and sublingual glands, as well, though it's uncommon. The size of salivary stones can vary from a few millimeters up to two centimeters, and they usually appear white or yellow in color.

What Are the Signs of Salivary Stones?

The main sign of a salivary stone includes pain in the face, neck, or mouth that increases around meals. Your salivary ducts secrete more saliva during these times to aid in digestion, and a salivary stone can block the flow and cause pain and swelling. Other secondary signs of sialolithiasis include:

Dry mouth

Difficulty swallowing

Difficulty opening your mouth

Redness in the area of the duct

Bad taste in your mouth

Fever (if the duct becomes infected)

What Causes Salivary Stones?

Although the cause of salivary stones is unknown, a few factors can increase your risk of getting one. These factors include:

Dehydration, which causes saliva to be more concentrated

Medications like blood pressure drugs and antihistamines that cause dry mouth

Poor diet or not eating enough food, which decreases saliva production

Chronic gum disease

What Is Sialolithiasis Treatment?

Your dentist or dental hygienist can sweep their fingers along your head and neck to detect swellings and other abnormalities like salivary stones. If your dental professional suspects you have sialolithiasis, they might prescribe imaging to provide a more definitive diagnosis. This can include X-rays, ultrasound, or computed tomography (CT) scan of the face and neck area.

At-Home Treatment for Salivary Stones

For smaller stones, your dentist might recommend some at-home remedies. These include:

Sucking on citrus fruits or sugar-free sour candies to increase saliva flow and dislodge the stone.

Drinking more fluids to fight dehydration and encourage saliva flow.

Taking over-the-counter medications such as acetaminophen or ibuprofen to reduce pain and swelling.

Sucking on a popsicle or ice cube to relieve pain and swelling.

Professional Treatment for Salivary Stones

If you are unable to remove the stone yourself, see your dental professional immediately. Salivary stones can sometimes cause infections or abscesses if not addressed. Your treatment will depend on the size and location of the stone:

For smaller stones, the dental professional might gently massage or push the stone out of the duct.

For larger stones that are easily seen, the dental professional might use a local anesthetic and make a tiny incision over the stone to remove it.

For larger stones that are difficult to see, you might require a relatively new surgery called a saliendoscopy. In this treatment, a surgeon inserts a tiny lighted scope inside the duct to locate the stone and then uses microinstruments to remove it.

In rare cases, a patient with recurrent salivary stones or severe damage to the salivary gland might need to have the gland completely removed.

A sialolithiasis diagnosis usually results in a positive outcome. While there is no way to prevent salivary stones completely, you can decrease your chances by staying hydrated and practicing proper oral care. If you think you might have a salivary stone, contact your dentist immediately for an exam and treatment.

(06/07/2021)
by Colgate

More Information: https://www.colgate.com/en-us/oral-health/adult-oral-care/all-about-sialolithiasis


Views: 926
Share
Share

5 Things You Need To Know About Dentinal Tubules

Your dentinal tubules can affect or cause tooth sensitivity and can play a part in cavity formation as well. Since 40% of Americans have tooth sensitivity and over 90% of American adults have cavities (treated or untreated), chances are you have at least one of these issues. You may even have both.

Here's what you need to know about your dentinal tubules and how they can affect your oral health.

1. Dentinal Tubules Are Tiny and Sit Under Your Enamel

First of all, you need to understand what dentinal tubules are. They're located in the dentin, which is the layer under your tooth enamel. Dentinal tubules are tiny tubules that run from the inside of the tooth (the pulp chamber) out through the hard dentin and end beneath the enamel. They're far too small to see, and if your teeth are healthy they're also covered by enamel.

2. Dentinal Tubules Carry Fluid and Nutrients

The pulp chamber of your tooth is fed by blood vessels, but the outer layers of your teeth are hard and don't contain any blood vessels or nerves or other soft tissue. So the dentinal tubules stand in for blood vessels, in that they carry whatever your dentin needs out from the pulp chamber through the dentin layer. This includes special immune cells, nutrients, and more.

The continuation and direction of the fluid flow is crucial. If the flow stops, it could allow bacteria and other microscopic contaminants inside your teeth. And the dentin won't get the nutrition it needs to stay healthy, making it doubly hard to fight off the decay caused by these bacteria.

3. Tubules Can Produce Sensitivity When Exposed

The tubules are meant to be covered, but if you have thinning enamel or exposed tooth roots, the open ends of your dentinal tubules may not have as much shielding as they ought to. Being exposed like this means they're more likely to react to triggers that cause tooth sensitivity. These triggers may include hot or cold foods and overly sweet foods.

If you've recently developed some sensitivity in your teeth and you're not sure why, talk to your dentist about it. You may have thinning or damaged enamel or receding gums that are exposing your tooth roots.

4. Several Toothpastes Can Reduce Sensitivity Issues by Occluding Tubules

Because tooth sensitivity is such a common and painful issue, many companies have developed products, such as toothpastes, that can reduce the sensitivity. Some of these work by depositing a substance (such as a mineral layer) onto the dentin surface, reducing the size of the tubule openings. This is called occluding the tubules.

Occlusion helps reduce the sensitive reaction to trigger foods, meaning you're less likely to experience pain when you sip a hot or cold beverage. The substance used to occlude dentinal tubules could be strontium acetate, calcium sodium phosphosilicate, stannous fluoride, arginine combined with calcium carbonate, or something else.

5. Problems Such As Poor Diet May Cause Malfunctions

Because stopping or reversing the dentinal fluid flow can allow bacteria to infiltrate your teeth, you should try to keep the fluid flow strong and healthy. Of course, keeping down the bacterial populations in your mouth through good oral hygiene is important, but the diet you eat may play a role as well.

Although more research is needed on how diet affects dentinal fluid flow, one study showed that a high-sugar diet causes suppression of parotid hormone, and thus dentinal fluid flow, in rats. So logically, avoiding a high-sugar diet may help avoid problems with dentinal tubules and their fluid flow.

These five basics can help you understand how your dentinal tubules function and what's going on when you experience tooth sensitivity. In addition to a low-sugar diet and great dental hygiene, you also need a great dentist to help you care for your dentin and the tubules inside it. 

(06/06/2021)
by Carlino & Paton, DDS

More Information: https://www.carlinopatondds.com/5-things-you-need-to-know-about-dentinal-tubules


Views: 1,098
Share
Share

What is a Melanotic Macule?

What is a labial melanotic macule?

A labial melanotic macule is a well-defined, oval, brown to black, flat patch on the central third of the lower lip. It is the name for a freckle arising on the lip. It is also sometimes called a labial lentigo and when multiple lesions are present, mucosal melanosis.

What are the clinical features of labial melanotic freckle?

Usually solitary, a labial melanotic macule is most commonly seen in adult women but it also occurs in males and in young people. Occasionally the lesion can be on the upper lip.

Size ranges from 1–8 mm. Once developed the lesions usually remain unchanged in size and colour. They can occasionally have an irregular edge and there may be a history of colour change which can cause confusion with other pigmented lesions, including melanoma. Luckily, melanoma is very rare on the lip (but it can occur).

Similar freckles may also occur in areas that are not exposed to the sun:

Inside the mouth (oral melanotic macules)

On the vulva in women (vulval labial melanotic macule, vulval melanosis)

On the penis in men (penile melanotic macule, a penile lentigo).

Labial melanotic macules do not cause any symptoms but their appearance can be a concern to the patient.

What is the cause of labial melanotic macule?

A labial melanotic macule is thought to be provoked by sun exposure, and it is more common in fair-skinned people. However it may also occur in dark-skinned individuals and, as described above, similar lesions can arise in sites that are never sun-exposed. Luckily, melanotic macules are harmless.

What other conditions cause lip pigmentation?

A labial melanotic macule may be confused with another pigmented skin lesion.

Freckle (ephelides)

Lentigo simplex

Solar lentigo

Venous haemangioma (venous lake)

Amalgam tattoo

Junctional melanocytic naevus (a flat mole)

Lentigo maligna (a form of melanoma in situ)

Superficial spreading melanoma.

These conditions can be differentiated from labial melanotic macule by a combination of clinical and histological features.

These conditions can be differentiated from labial melanotic macule by a combination of clinical and histological features.

Multiple lesions may be a sign of a widespread skin condition, such as:

Peutz Jeghers syndrome

Addison disease

Laugier-Hunziker syndrome

Multiple lentiginosis (various syndromes including Noonan syndrome with multiple lentigines).

What investigations should be done?

A labial melanotic macule has a characteristic pattern when examined with the magnifying glass or by dermoscopy. Lesions with a typical history and appearance need not be biopsied.

If a skin biopsy is done because the lesion is changing or looks irregular, a labial melanotic macule shows the following features on dermatopathology:

Increased melanin in the melanocytes and keratinocytes of the basal layer

Melanophages in the dermal papillae, indicating pigmentary incontinence

Mild acanthosis without elongation of the rete ridges.

Nuclear atypia is absent and the melanocyte count is normal.

What is the treatment of labial melanotic macule?

Typical lesions can just be observed. Suspicious lesions, including lesions showing progressive change, should be biopsied.

If treatment is requested the macules can be frozen (cryotherapy) or removed using a laser or intense pulsed light. Excision can also be performed but will leave a scar.

 

(06/10/2021)
by Dr Mark Duffill

More Information: https://dermnetnz.org/topics/labial-melanotic-macule/


Views: 1,466
Share
Share

Everything you need to know about hypersalivation

In hypersalivation, your salivary glands produce more saliva than usual. If the extra saliva begins to accumulate, it may begin to drip out of your mouth unintentionally.

Hypersalivation may be temporary or chronic depending on the cause. For example, if you’re dealing with an infection, your mouth may produce more saliva to help flush out the bacteria. Hypersalivation usually stops once the infection has been successfully treated.

Constant hypersalivation (sialorrhea) often relates back to an underlying condition that affects muscle control. This may be a sign preceding diagnosis or a symptom that develops later on.

Keep reading to learn more about potential causes, symptom management, and more.

What causes this?

Temporary hypersalivation is usually caused by: Cavities, infection, gastroesophageal reflux, pregnancy, certain tranquilizers and anticonvulsant drugs, exposure to toxins, such as mercury.

In these cases, hypersalivation typically goes away after treating the underlying condition.

Women who are pregnant typically see a decrease in symptoms after childbirth. Wondering what other symptoms you may experience during pregnancy? Look no further.

Constant hypersalivation is usually caused by chronic health conditions that affect muscle control. When you have impaired muscle control, it can affect your ability to swallow, leading to saliva buildup. This can result from: Malocclusion, enlarged tongue, intellectual disability, cerebral palsy, facial nerve palsy, Parkinson’s disease, amyotrophic lateral sclerosis (ALS), stroke.

When the cause is chronic, symptom management is key. If left untreated, hypersalivation can affect your ability to speak clearly or swallow food and drink without choking.

After going over your medical history, your doctor may examine the inside of your mouth to look for other symptoms. These include:Swelling, bleeding, inflammation, foul odor.

If you’ve already been diagnosed with a chronic condition, your doctor may use a scale system to assess how severe your sialorrhea is. This can help your doctor determine which treatment options may be right for you.

Medications

Certain medications can help decrease saliva production.

Glycopyrrolate (Cuvposa) is a common option. This medication blocks nerve impulses to the salivary glands so that they produce less saliva.

However, this medication can have some severe side effects, including: Dry mouth, constipation, trouble urinating, blurred vision, hyperactivity, irritability.

Scopolamine (Hyoscine) is another option. This is a skin patch that’s placed behind the ear. It works by blocking nerve impulses to the salivary glands. Its side effects include: Dizziness, rapid heartbeat, trouble urinating, blurred vision, drowsiness.

Injections

Your doctor may recommend botulinum toxin (Botox) injections if your hypersalivation is constant. Your doctor will inject the drug into one or more of the major salivary glands. The toxin paralyzes the nerves and muscles in the area, preventing the glands from producing saliva.

This effect will wear off after a couple of months, so you will likely need to return for repeat injections.

Surgery

In severe cases, this condition can be treated with surgery on the major salivary glands. Your doctor may recommend that the glands be removed completely or relocated so that the saliva is released in the back of the mouth where it can be easily swallowed.

Radiation therapy

If surgery isn’t an option, your doctor may recommend radiation therapy on the major salivary glands. The radiation causes dry mouth, relieving the hypersalivation.

Outlook

Your doctor is your best resource for information about your symptoms and how to manage them. Depending on the cause, hypersalivation may resolve with treatment or require close management over time.

In severe cases, a speech therapist may be beneficial. They can work with you to help reduce your risk for complications and minimize symptoms.

It’s important to remember that this condition is common, and that you aren’t alone in your experience. Talking to your loved ones about your condition and its impact can help those around you better understand what you’re experiencing and how they can support you.

(06/08/2021)
by Healthline

More Information: https://www.healthline.com/health/dental-and-oral-health/hypersalivation#treatment


Views: 995
Share
Share

Should I Put Toothpaste on a Cold Sore?

Many people can feel when a cold sore is coming on. They can feel an itching or tingling in the area the cold sore will appear.

People also use many different remedies, even some that aren’t clinically proven, to try to prevent the itchy tingling area from becoming a large and painful cold sore.

Popular remedies for cold sores that bounce around social media include:

aloe vera

lip balm

baking soda

petroleum jelly

salt

tea tree oil

The one that seems to come up most frequently is toothpaste.

Toothpaste on a cold sore. Does it work?

When you feel a cold sore coming on, chances are it’s the triggering of the herpes simplex virus 1 (HSV-1) that has been lying dormant in your body.

HSV-1 is responsible for cold sores, and there’s a possibility that it might be suppressed by a chemical in toothpaste. Many toothpaste brands include sodium lauryl sulfate (SLS). SLS can help dry out blisters like the ones found on a cold sore.

Unfortunately, the only evidence that supports the claim that toothpaste is effective for cold sore prevention or cure is anecdotal. Anecdotal means that claims are based on personal accounts as opposed to clinical research.

Home remedies for cold sores

Cold sores typically clear up on their own in a few weeks. Some home remedies you might consider to ease discomfort and promote healing include:

over-the-counter (OTC) cold sore ointment, such as docosanol (Abreva)

cold compress

OTC pain relievers, such as creams with benzocaine or lidocaine

lip balm with sunscreen

Other cold sore remedies

According to the Mayo Clinic, study results have been mixed for alternative medicine cold sore remedies such as:

propolis

lysine

rhubarb and sage cream

Standard cold sore treatment

To speed up the healing, your doctor might prescribe an antiviral drug such as:

Acyclovir (Zovirax)

Penciclovir (Denavir)

Famciclovir (Famvir)

Valacyclovir (Valtrex)

The takeaway

Rubbing toothpaste on an area you’re expecting a cold sore may or may not prevent the appearance of a cold sore. On the other hand, unless you have sensitive skin, it might not do any harm either.

Bounce the idea off your doctor and, with their approval, give it a try to see if it works for you.

(06/04/2021)
by Healthline

More Information: https://www.healthline.com/health/toothpaste-on-cold-sore


Views: 814
Share
Share

What causes a lump under the chin?

A lump can appear anywhere in the soft area under the chin and jawline. The lump may be large, small, firm, or soft, depending on the cause. The surrounding skin may feel tight and tender, or even painful.

Anyone concerned about symptoms or unsure about the cause of a lump should see a doctor.

Symptoms and causes

Many conditions can cause a lump to form beneath the chin. Accompanying symptoms and the size and shape of the lump will likely differ, depending on the cause.

Below are common causes of a lump under the chin. Some are simple, while others require medical care to prevent complications.

Swollen lymph nodes

Lymph nodes are located throughout the body, but a person can only feel those close to the skin’s surface, such as the nodes in the armpits or close to the chin.

Infections can often cause lymph nodes to swell. This may lead to a noticeable lump to the left or right of the chin. The swelling is a typical response of the immune system.

A lump caused by a swollen lymph node will be soft or flexible. It may be tender to touch, but it is usually not painful. The swelling should go away within 2 to 3 weeks.

The following viral or bacterial infections often cause swollen lymph nodes:

a cold or flu

ear infections

sinus infections

measles or chickenpox

strep throat

mononucleosis

an abscessed tooth

syphilis

Lyme disease

HIV or AIDS

If an infection is to blame, the lump should disappear as the infection clears up. A trip to the doctor and antibiotics may be necessary.

Benign tumors

A benign growth or tumor may cause a lump to form under the chin. Types of benign growths include cysts, fibromas, and lipomas. These are usually harmless and treatable.

Cysts. A cyst is a sac filled with fluid or debris. Cysts can form during an infection, and may slowly fill over time. Those under the jaw may be sebaceous cysts, resulting from blockages in the sebaceous glands or ducts. Damage from acne in the area can also cause cysts to form.

Fibromas. A fibroma is a round lump that can be soft or hard. They are usually found around the mouth and are not common under the chin. They usually cause no other symptoms and may signal Cowden’s disease, an inherited illness that causes benign growths to form frequently.

Lipomas. Lipomas are growths of fat cells under the skin. A lipoma lump will be soft, move easily, and have no coloration. Lipomas tend to grow very slowly, are rarely cancerous, and will usually cause no other symptoms.

Certain cancers

Cancers of the salivary gland, skin, or lymph nodes can cause a lump to form under the chin.

Hodgkin disease and leukemia may also lead to swollen lymph nodes.

Cancerous lumps are typically hard to the touch and may have an odd shape. There may be pain in the area if the lump is touching any nerve cells. If this continues, a person may feel partial numbness or tingling in the area.

A doctor may suggest a biopsy to determine if the lump is benign or cancerous. They may recommend surgical removal.

If the lump is cancerous, doctors may also recommend radiation therapy or chemotherapy.

Treatment will vary, and a doctor will often present different options.

Other possible causes

A range of other factors can cause a lump to form under the chin. These may include:

a bug bite or sting, especially if the skin tends to have strong reactions

allergies to foods or products

acne

boils

salivary duct stones

tonsillitis

keloid scars

hematomas

goiters

medical conditions, such as rheumatoid arthritis or lupus

an injury, such as a cut or a broken bone

damage to the sebaceous glands in the chin.

Takeaway

A lump under the chin is usually not a sign of a severe condition. These lumps tend to disappear on their own.

Often, they are the result of lymph nodes swelling in response to infections, such as those that cause a cold or flu.

Some conditions that cause lumps to form under the chin require medical treatment. Contact a doctor for a diagnosis.

(06/08/2021)
by Medical News Today

More Information: https://www.medicalnewstoday.com/articles/321214


Views: 948
Share
Share

Dark or Black Spots on Tongue: Causes & Treatment Options

The spots, patches and discoloration that tongues can develop may be harmless, but occasionally they’re a sign of something serious. Black spots on tongue could range from tiny dots to conspicuous black areas, which look especially alarming. If you notice black dots, tell a dentist or physician about them and get a proper diagnosis.

Natural Appearance of Your Tongue 

Though it might be the first time you noticed the black spots on your tongue, they could be part of your tongue’s natural appearance. The human tongue is a muscle covered in taste buds. It moves food around the mouth as you chew, and the taste buds send the brain signals about flavor. Taste buds are visible to the human eye and they can stand out and look like dark spots when something like red wine or coffee stains them.

Alternatively, black spots on tongue could be a condition called hyperpigmentation. Pigmentation is what gives skin, hair and eyes their color, and excessive concentration of pigment in the tongue can result in harmless dark patches or spots, sometimes as a result of chemotherapy. In the case of hyperpigmentation and chemotherapy, the black spots usually clear up a few weeks after the treatment stops.

Injury and your Tongue

Oral piercings and tongue injuries may result in black spots. If you’ve had an oral piercing recently or bitten, cut or otherwise injured your tongue, a black spot could be a lingering sign of damage.

Chemical Exposure to your Tongue

Certain chemicals react with acids on the surface of the tongue and turn it black. Exposure to the chemical bismuth, which is an ingredient in some medications, may cause the color change. Though it’s often the entire tongue that turns black, the change could initially occur in patches.

Tongue Cancer

Rarely, dark patches on the tongue are a sign of a serious condition like cancer. The dark spots may also appear as scabs or sores that don’t heal. Other signs of tongue cancer include lumps, swelling and problems with swallowing. If you have any of these symptoms, see a doctor immediately. Though tongue cancer is a serious disease, treatment is most effective when it begins in the early stages of the disease.

If the spots are gray/white, they could be a medical condition called leukoplakia, which is sometimes precancerous.

Treating Black Spots on Tongue

The first step in trying to remove black spots on the tongue is improving oral hygiene. Brush your tongue when you brush your teeth.

If the spots disappear after brushing, they may not need any further treatment. However, make note of these spots and discuss with your dentist at your next checkup. If the spots remain, we advise you to call and book an appointment at your dentist to get it assessed. They can determine the cause and the appropriate treatment.

Black spots on tongue can be worrying. Though the spots, marks or patches are harmless in some cases, only a dentist or physician can make an accurate diagnosis about their cause. 

(06/04/2021)
by Beddington Dental

More Information: https://beddingtondentalclinic.com/black-spots-on-tongue-causes-treatment-options/


Views: 805
Share
Share

What exercises can help relieve TMJ pain?

People experiencing pain due to a temporomandibular joint (TMJ) disorder can try a range of exercises to relieve it. These exercises can improve jaw strength and mobility.

TMJ disorders are a group of conditions affecting the muscles and bones of the jaw. They cause pain in the joint that connects the jaw to the skull and allows a person to open and close their mouth. The pain can stem from the muscles responsible for moving the joint or the joint itself.

Some people might find that certain exercises that stretch or strengthen the jaw reduce pain from TMJ disorders.

Below, we list six exercises that might help minimize symptoms and explain how to perform them.

However, it is best to discuss exercises with a doctor or physical therapist before starting. A person should always stop performing any exercise if it worsens the pain or discomfort.

1. Resisted mouth closing

Resisted mouth closing involves applying some pressure to the chin while closing the mouth. To perform the exercise:

Place the thumbs under the chin.

Place the index fingers between the ridge of the mouth and the bottom of the chin.

Use the fingers and thumbs to apply gentle downward pressure to the chin while closing the mouth.

2. Resisted mouth opening

A person can also apply gentle pressure to the chin while opening their mouth. To perform the exercise:

Place two fingers under the chin and open the mouth slowly while applying gentle pressure with the fingers.

Hold for 3–6 seconds.

Slowly close the mouth.

3. Side-to-side jaw movement

This exercise involves moving the jaw from side to side to strengthen the muscles:

Gently bite down with the front teeth on an object that is about one-quarter of an inch thick, such as two tongue depressors.

Slowly move the jaw from side to side.

Increase the thickness of the object once the exercise becomes easier.

4. Tongue up

The tongue up exercise involves slowly opening and closing the mouth while maintaining contact with the roof of the mouth.

A person should repeat this movement several times.

5. Forward jaw movement

This exercise also requires a thin object. A person can follow these steps:

Gently hold an object that is about one-quarter of an inch thick between the front teeth.

Move the jaw forward so that the bottom teeth are in front of the top teeth.

As the exercise becomes easier, replace the object with a thicker one.

6. Oxford University Hospitals Exercise

Oxford University Hospitals recommends the following routine to strengthen the jaw muscle and prevent clicking in the jaw joint.

A person can perform this exercise sequence for 5 minutes, twice a day:

Close the mouth and let the teeth touch without clenching them. Place the tip of the tongue on the palate right behind the upper front teeth.

Run the tip of the tongue back toward the soft palate until it cannot reach further while keeping the teeth together.

Hold the tongue here against the soft palate and slowly open the mouth until the tongue starts to pull away. Hold the position for 5 seconds, then close the mouth and relax.

Repeat the steps for 5 minutes.

When to contact a doctor

People experiencing pain from TMJ disorders should talk with a doctor about possible treatment options. A doctor can recommend a physical therapist, who can work with the person to develop a tailored exercise program for improving jaw strength and flexibility.

Some people will not find these exercises effective in relieving pain. In these cases, doctors may suggest medications or other therapies to alleviate the pain. In severe cases, they might recommend surgery, although they tend to view this as a last resort.

The NIDCR warns that the possible benefits of surgery might not outweigh the risks, which include permanent jaw damage and replacement joints breaking or not functioning properly.

Summary

Exercises for TMJ pain are generally safe and can reduce symptoms for some people. They are easy for a person to perform at home each day.

It is best to talk with a doctor or physical therapist for more guidance on what exercises are suitable. Doctors may also recommend medical treatments if the exercises do not reduce symptoms.

(06/10/2021)
by Medical News Today

More Information: https://www.medicalnewstoday.com/articles/exercises-for-tmj-pain


Views: 816
Share
Share

Tooth loss may affect ability to carry out everyday tasks

Older adults with more natural teeth are better able to perform everyday tasks such as cooking a meal, making a telephone call or going shopping, according to researchers from UCL and the Tokyo Medical and Dental University.

The study published in the Journal of American Geriatrics Society, analyzed data from 5,631 adults from the English Longitudinal Study of Aging (ELSA) aged between 50 and 70.

Previous studies have shown the link between tooth loss and reduced functional capacity but did not establish a causal link. In this study the research team wanted to investigate the causal effect of tooth loss on someone's ability to carry out daily activities. After considering factors such as participants' socioeconomic status and poor general health, they still found there was an independent link between tooth loss and the ability to carry out everyday tasks.

For the study, participants were asked how many natural teeth they had, with older adults usually having up to 32 natural teeth that are lost over time. Then, using data collected in 2014-2015, the researchers measured the effect of tooth loss on people's ability to carry out key instrumental activities of daily living (IADL). The activities included preparing a hot meal, shopping for groceries, making telephone calls, taking medications, doing work around the house or garden, or managing money.

Senior author, Professor Georgios Tsakos (UCL Institute of Epidemiology and Health), explained: "We know from previous studies that tooth loss is associated with reduced functional capacity, but this study is the first to provide evidence about the causal effect of tooth loss on the instrumental activities of daily living (IADL) among older adults in England. And this effect is considerable.

"For example, older adults with 10 natural teeth are 30% more likely to have difficulties with key activities of daily living such as shopping for groceries or working around the house or garden compared to those with 20 natural teeth.

"Even after taking in factors such as participant's education qualification, self-rated health and their parent's education level for example, we still found a positive association between the number of natural teeth a person had and their functional ability."

The team of researchers note that having more natural teeth is associated with delaying the onset of disability and death and that tooth loss can also hamper social interactions, which is linked to poorer quality of life. They also suggest tooth loss could be linked to having a poorer diet with less nutrients.

The researchers say the results must be interpreted with caution because of the complex design and further studies are needed to investigate the casual relationship between tooth loss and functional ability.

First author, Dr. Yusuke Matsuyama (Tokyo Medical and Dental University) said: "Preventing tooth loss is important for maintaining functional capacity among older adults in England. Given the high prevalence of tooth loss, this effect is considerable and maintaining good oral health throughout the life course could be one strategy to prevent or delay loss of functional competence.

"The health gain from retaining natural teeth may not be limited to oral health outcomes but have wider relevance for promoting functional capacity and improving overall quality of life."

(06/05/2021)
by UCL

More Information: https://www.mybestdentists.com/dental-schools/UCLEastmanDentalInstitute


Views: 2,841
Share
Share

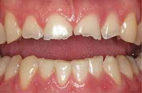
Bruxism: monitoring and treatment to avoid dental issues

If your dentist suspects that you have bruxism, he or she tries to determine its cause by asking questions about your general dental health, medications, daily routines and sleep habits.

To evaluate the extent of bruxism, your dentist may check for:

Tenderness in your jaw muscles

Obvious dental abnormalities, such as broken or missing teeth

Other damage to your teeth, the underlying bone and the inside of your cheeks, usually with the help of X-rays

A dental exam may detect other disorders that can cause similar jaw or ear pain, such as temporomandibular joint (TMJ) disorders, other dental problems or health conditions.

Referral

If your bruxism seems to be related to major sleep issues, your doctor may recommend a sleep medicine specialist. A sleep medicine specialist can conduct more tests, such as a sleep study that will assess for episodes of teeth grinding and determine if you have sleep apnea or other sleep disorders.

If anxiety or other psychological issues seem related to your teeth grinding, you may be referred to a licensed therapist or counselor.

Treatment

In many cases, treatment isn't necessary. Many kids outgrow bruxism without treatment, and many adults don't grind or clench their teeth badly enough to require therapy. However, if the problem is severe, options include certain dental approaches, therapies and medications to prevent more tooth damage and relieve jaw pain or discomfort.

Talk with your dentist or doctor to find out which option may work best for you.

Dental approaches

If you or your child has bruxism, your doctor may suggest ways to preserve or improve your teeth. Although these methods may prevent or correct the wear to your teeth, they may not stop the bruxism:

Splints and mouth guards. These are designed to keep teeth separated to avoid the damage caused by clenching and grinding. They can be constructed of hard acrylic or soft materials and fit over your upper or lower teeth.

Dental correction. In severe cases — when tooth wear has led to sensitivity or the inability to chew properly — your dentist may need to reshape the chewing surfaces of your teeth or use crowns to repair the damage.

Other approaches

One or more of these approaches may help relieve bruxism:

Stress or anxiety management. If you grind your teeth because of stress, you may be able to prevent the problem by learning strategies that promote relaxation, such as meditation. If the bruxism is related to anxiety, advice from a licensed therapist or counselor may help.

Behavior change. Once you discover that you have bruxism, you may be able to change the behavior by practicing proper mouth and jaw position. Ask your dentist to show you the best position for your mouth and jaw.

Biofeedback. If you're having a hard time changing your habits, you may benefit from biofeedback, a method that uses monitoring procedures and equipment to teach you to control muscle activity in your jaw.

Medications

In general, medications aren't very effective for treatment of bruxism, and more research is needed to determine their effectiveness. Examples of medications that may be used for bruxism include:

Muscle relaxants. In some cases, your doctor may suggest taking a muscle relaxant before bedtime, for a short period of time.

Botox injections. Injections of Botox, a form of botulinum toxin, may help some people with severe bruxism who don't respond to other treatments.

Medication for anxiety or stress. Your doctor may recommend short-term use of antidepressants or anti-anxiety medications to help you deal with stress or other emotional issues that may be causing your bruxism.

Treating associated disorders

Treatment for associated disorders may include:

Medications. If you develop bruxism as a side effect of a drug, your doctor may change your medication or prescribe a different one.

Sleep-related disorders. Addressing sleep-related disorders such as sleep apnea may improve sleep bruxism.

Medical conditions. If an underlying medical condition, such as gastroesophageal reflux disease (GERD), is identified as the cause, treating this condition may improve bruxism.

These self-care steps may prevent or help treat bruxism:

Reduce stress. Listening to music, taking a warm bath or exercising can help you relax and may reduce your risk of developing bruxism.

Avoid stimulating substances in the evening. Don't drink caffeinated coffee or caffeinated tea after dinner and avoid alcohol during the evening, as they may worsen bruxism.

Practice good sleep habits. Getting a good night's sleep, which may include treatment for sleep problems, may help reduce bruxism.

Talk to your sleep partner. If you have a sleeping partner, ask him or her to be aware of any grinding or clicking sounds that you might make while sleeping so you can report this to your dentist or doctor.

Schedule regular dental exams. Dental exams are the best way to identify bruxism. Your dentist can spot signs of bruxism in your mouth and jaw during regular visits and exams.

(06/09/2021)
by Mayo Clinic

More Information: https://www.mayoclinic.org/diseases-conditions/bruxism/diagnosis-treatment/drc-20356100


Views: 920
Share