Dentists Journal

Top Ten Stories of the Week
9/18/2021

All Dentists Journal · Previous Week · This Week · All Time List · Headlines

Share

How to Get Rid of a Toothache at Night

If you have a toothache, chances are it’s getting in the way of your sleep. While you may not be able to get rid of it completely, there are some home treatments you can try to help with the pain.

Getting rid of a toothache at night

Treating a toothache at home usually involves pain management. Here are a few ways to dull your pain so you can get a good night’s sleep.

Use over-the-counter pain medication. Using medications such as ibuprofen (Advil, Motrin), acetaminophen (Tylenol), and aspirin can relieve minor pain from a toothache. Using numbing pastes or gels — often with benzocaine — can help to dull the pain long enough for you to fall asleep. Don’t use any products with benzocaine to treat infants or children under age 2.

Keep your head elevated. Propping your head higher than your body can keep the blood from rushing to your head. If blood pools in your head, it might intensify the toothache pain and possibly keep you awake.

Avoid eating acidic, cold, or hard foods right before bed. These foods can aggravate your teeth and any cavities that may have already formed. Try to avoid foods that trigger pain.

Rinse your teeth with mouthwash. Use a mouthwash that contains alcohol to both disinfect and numb your teeth.

Use an ice pack before bed. Wrap an ice pack in cloth and rest the painful side of your face on it. This can help to dull the pain so you can rest.

Therapeutic methods have been used by natural healers to treat oral diseases including toothaches at night. According to a 2015 studyTrusted Source, some natural remedies that have been used include:

clove

guava leaves

mango bark

pear seed and bark

sweet potato leaves

sunflower leaves

tobacco leaves

garlic

Talk to your doctor and dentist before using natural remedies. Be careful about any allergies or reactions to the plants or oils used.

What are the causes of toothaches?

Toothaches can be caused by something happening to your teeth or gums. They also can be caused by pain in other parts of your body. Common causes of toothaches include:

Mouth or jaw injury. These can occur from blunt force trauma to the facial area.

Sinus infection. Drainage from sinus infections may cause tooth pain.

Tooth decay. When bacteria causes tooth decay, the nerves in your teeth may be exposed, causing pain.

Losing a filling. If you lose a filling, the nerve inside the tooth may be exposed.

Abscessed or infected tooth. Sometimes called a dental abscess, this condition is described as a pocket of pus in the tooth.

Food or other debris wedged in your teeth. Organic and inorganic matter wedged in your teeth can cause pressure between the teeth.

Teething or wisdom teeth crowning. If you have wisdom teeth coming in, as well as breaking through the gums, they may be pressing against other teeth.

Temporomandibular joint disorders. TMJ is classified as pain in your jaw joint, but can also affect your teeth.

Gum disease. Gum diseases such as gingivitis or periodontal disease can cause toothaches or pain.

Grinding. You may grind or clench your teeth at night which can cause additional pain.

When should you go to the dentist?

Monitor your toothache over the next 24 hours. If it subsides, you may just have an irritation. Make an appointment with your dentist if:

the pain is severe

your toothache lasts longer than two days

you have a fever, headache, or pain when opening your mouth

you have trouble breathing or swallowing

Outlook

Depending on what caused your toothache, your dentist will determine a treatment that best fits your condition. If you have tooth decay, they may clean out and fill a cavity in your tooth.

If your tooth has split or cracked, your dentist may repair it or suggest replacement with a false tooth. If your toothache is due to a sinus infection, symptoms will typically subside once your sinus infection goes away, sometimes with the help of antibiotics.

Make sure to consult your dentist if your toothache lasts more than two days or causes you severe discomfort.

(09/10/2021)
by Healthline

More Information: https://www.healthline.com/health/how-to-get-rid-of-toothache-at-night


Views: 653
Share
Share

Five Signs of A Healthy Mouth

It’s no secret that a healthy mouth is often a sign of a healthy body, and that many health issues may first show up at a dental checkup.  Here are five key indicators your dentist will look for during an oral health exam.

Five Signs of a Healthy Mouth

Healthy Gums

Take a good close look at your gums.  They should be pink and firm to the touch, not red or white, and not swollen or tender.  Teeth should be seated firmly and should not feel wiggly or loose.  Gums should sit flush with the teeth, with no flaps, pockets, or places where they appear to be receding from the tooth.  Flossing daily helps to keep gums healthy, and prevent pockets and places for bacteria to collect and cause damage, decay, and bad breath.  Your dentist will review your x-rays and probe your gums to check for pockets in the gums.  Healthy gums are a leading indicator of a healthy body.  

Strong Teeth & Dental Restorations

At each exam, your dentist will check your teeth for strength and condition, including teeth that have restorations such as fillings or teeth with crowns including dental implants. Grinding or clenching (bruxism) is a common issue that can increase the wear on teeth and restorations, including teeth with amalgam fillings. Decay, as well as tiny cracks or other issues with teeth and restorations may not always be visible to the naked eye.  Dental x-rays and a thorough exam may help detect issues before they become painful and often more difficult to treat.  If your doctor detects a potential issue, they will show you and explain what they see as well as recommend treatment options to help keep your teeth as strong and healthy as possible.

Pleasant or Neutral Breath

A healthy mouth means naturally pleasant or neutral breath.  You can test this easily at home.  Floss between a couple of your teeth, or scrape your tongue with a fingernail and take a sniff.  This is a more realistic sense of what your breath may smell like once toothpaste and mouthwash have faded for the day.  The presence of bacteria and food particles is directly related to persistent bad breath.  Bad breath can also be an indicator of other health issues such as diabetes, and even sinus issues.  Certain medications that cause dry mouth can also cause unpleasant breath.  Your dentist can discuss options to help relieve dry mouth symptoms.  The best possible way to keep your breath pleasant is with good brushing and flossing habits and regular dental checkups.

Proper Jaw Alignment & Tooth Spacing

Your dentist examines not just your teeth, but how they fit together in your mouth and jaw as a whole.  Teeth that are straight and aligned properly are much easier to brush and floss, meaning better breath and fewer places for cavities or gum disease to develop with proper home care.  Crowding, also known as a “malocclusion,” can impact chewing and normal digestion, and may be related to bruxism (clenching or grinding), gum disease, jaw disorders such as Temporomandibular Joint Disorder (TMJ), migraines or other neurological symptoms, and even the overall shape of your face. 

Healthy Oral Tissues

An oral health exam covers much more than just teeth!  Many whole-body health issues have symptoms that may manifest in the mouth, such as diabetes, cardiovascular diseases, and thyroid issues.  Your dentist is trained to examine the entire mouth, including the tongue, lips and cheeks.  Healthy oral tissues are often pink, firm and moist. Issues may appear in the form of dry mouth, infections such as thrush, painful sores, swelling, or tenderness. Your dentist is also trained to spot warning signs that may point to oral cancer and other serious issues.  If your dentist sees anything of concern in an exam, he or she will discuss this with you and recommend you see your regular physician for a follow up.

A healthy smile goes far beyond surface appearances.  Oral health has a direct impact on self-confidence, social and professional relationships, and is truly the mirror of the body.  

(09/13/2021)
by Smiles Unlimited

More Information: https://www.smilesunlimited.com.au/5-signs-of-a-healthy-mouth/


Views: 739
Share
Share

Never Ignore Sudden Tooth Pain

Sudden tooth pain can grab your attention quickly because it hits you out of nowhere. The pain may come when you are eating or drinking cold and hot drinks.

Luckily, there is a reason for the sudden pain and the sooner you have it figured out, the better it is for your oral and overall health. For you to understand the sensitivity of the tooth, we need to look at its anatomy. At the center of the teeth is pulp that is made up entirely of nerve bundles and blood vessels.

This layer of pulp is completely covered by dentin, which is the next layer. The dentin layer is made of soft tissue that usually transmits sensations to the pulp nerves. The sensations transmitted include temperature and pressure.

The enamel is the third layer, and it covers the crown completely which is the part of the tooth that is visible. The enamel serves as a protective layer for the two inner layers.

It protects these layers from disease, and it helps in muffling sensations. This way, the tooth nerves do not become too overwhelmed. The enamel layer stops below the gum line, and the rest is made up of gums. Gums also provide protection like the enamel and shield sensation as well. Problems usually occur when the dentin below the gum becomes exposed.

This is mostly caused by periodontal disease that is a bacterial infection, whose main cause is dental plaque. The plaque triggers inflammation, which in turn weakens the gums and causes them to detach and shrink over time. The gums can also recede from the teeth.

Once the gum has receded, it exposes the root area and leaves it vulnerable to environmental sensations and diseases, which travel to the pulp and affect the nerves.

Tooth decay is also another cause of tooth sensitivity. Decay is caused by bacteria that feds on leftover sugars in the mouth. This leads to the production of higher amounts of acid that dissolve the enamel layer and make it soft.

The soft enamel layer develops tooth cavities that expose the dentin layer. If not treated immediately, the infection can invade the pulp area and affect it as well. This puts your teeth at the danger of being lost unless you undergo a root canal treatment.

A root canal treatment is a procedure performed to remove the infection in the enamel and seal the tooth.

(09/11/2021)
by Abc News

More Information: https://abcnews.go.com/Health/weird-reasons-teeth-hurt/story?id=26114303


Views: 717
Share
Share

What is Oral Surgery & When Do You Need it?

When a dentist mentions “oral surgery,” many patients begin to panic. The patient may be thinking that there is something seriously wrong with them that they are going to be undergoing a dangerous, painful, and expensive procedure.

The truth is, however, that many oral surgery procedures are commonplace and address conditions that many people experience, such as impacted wisdom teeth, sleep apnea or tooth loss. While every case is different, many of these procedures are completed on an outpatient basis, and patients can resume work or normal activities within a few days.

It’s also true that many dentists will recommend that you see an oral surgeon because the dentist wants to ensure that you are getting the best care possible. In some cases, the surgeon may advise you in your dentist that there are other, nonsurgical, treatments available. If you are extremely apprehensive about a referral to an oral surgeon, talk to your dentist. He or she can provide reassurance and more information about why they’ve made this recommendation.

Below are some common questions regarding oral surgeons and oral surgery:

What is Oral and Maxillofacial Surgery?

Oral and maxillofacial surgery is surgery that is performed on the tissues of your mouth, including your teeth and gums, or, in the case of maxillofacial surgery, in your jaw, head, or face.

What are the Most Common Types of Oral Surgery?

Oral surgeons are called upon to perform a variety of procedures, as well as to provide consultations in situations where general dentists may be unsure as to whether surgical treatment is necessary. Here are some of the most common types of oral surgery:

Impacted Wisdom Tooth Removal

While some people have no problem with their wisdom teeth, it is not uncommon for these third molars to become impacted, or trapped, due to not fully erupting or misalignment. Over time, and impacted wisdom tooth can become painful and eventually lead to misalignment of the other teeth. In addition, food can easily become trapped around wisdom teeth, contributing to gum disease and tooth decay.

In some cases, your regular dentist can remove a wisdom tooth, but impacted teeth may require specialist care from an oral surgeon.

Sleep Apnea Treatment

Sleep apnea is a serious sleep disorder that requires treatment. While there are several options for treating this condition, including the use of a mouthguard or a special machine that helps keep the airway open at night, surgery is an option for some people. An oral surgeon can remove excess tissue from the back of your throat, clearing the airway and lessening symptoms significantly.

Reconstructive and Jaw Surgery

Maxillofacial surgeons are trained to diagnose problems with jaw alignment as well as injuries that may require surgical intervention. Reconstructive and jaw surgery can not only improve a patient’s appearance, it can also relieve pain and help the patient be able to chew food normally.

Dental Implants

Dental implants are an option for treating tooth loss. During a dental implant procedure, small posts are placed in the patient’s tooth sockets and allowed to heal. Next, artificial teeth are screwed on to these posts, resulting in permanent replacements that look and feel like natural teeth.

Do Oral Surgeons Have Special Training?

Yes. In the United States, oral surgeons have, at minimum, completed a four-year residency in oral surgery after completing dental school. Some oral surgeons may have a medical degree instead of a dentistry degree.

What Should I Expect if I have Oral Surgery?

Your oral surgeon will provide you with information about what you need to do before having surgery, arrangements that you may need to make for your care after the procedure, and what kind of medications you may need to take.

If you undergo general anesthesia, your oral surgeon may ask you to not consume any food or beverages starting the night before your surgery. In such cases, your surgery will often be scheduled early in the morning to reduce discomfort from hunger and thirst.

You may also be instructed to have a friend or relative accompany you to the office, as it may not be safe for you to drive after your procedure.  When you enter the procedure room, feel free to ask your oral surgeon and hygienist any questions that you may have. They will explain to you what will happen next and, if you are not asleep during your procedure, may offer you pain medication or a sedative.

Your oral surgeon will let you know how much time will need to recover after your procedure. You may need to take a day or two off work, and avoid strenuous activity. You may also need to take antibiotics and pain relief medications for a period of time and may need to avoid certain types of foods and beverages while your mouth or jaw heals.

How Much Does Oral Surgery Cost?

The cost of oral surgery depends on the type of surgery that the patient undergoes, the complexity of the patient’s case, and the kind of anesthesia used. Talking to your dentist or oral surgeon about costs can be helpful in understanding what you will need to pay and whether you can make certain choices, such as undergoing local anesthesia versus general anesthesia, which can reduce the cost of the procedure.

In many cases, dental office staff may be able to assist in finding ways to afford oral surgery. For example, they may be able to work with your insurance company to maximize your benefits. If you don’t have dental insurance, you may be able to use a discount program or even obtain financing so that you can make monthly payments to get the care that you need.

(09/16/2021)
by Gentle Dental

More Information: https://www.interdent.com/gentle-dental/resources/oral-surgery-guide/


Views: 1,101
Share
Share

Understanding Mouth Inflammation

There is "no health without oral health." This message has been continuously echoed since the first Surgeon General's Report on Oral Health, and was the message of the 2017 World Dental Congress. Many systemic diseases first manifest themselves orally in the form of various types of mouth inflammation. Visiting a dental professional for proper assessment of oral inflammation is key to early prevention and treatment of disease.

What Is Inflammation?

Inflammation is the body's warning sign for problems such as infection or virus. According to the U.S. National Library of Medicine, inflammation includes five key symptoms:

Pain

Swelling

Heat

Redness

Limited Function

In the oral cavity, inflammation can appear in various forms. The mouth tissues may feel sore, swollen and hot. These areas may be painful and cause difficulty opening and closing your mouth, talking or eating. In addition, a person may experience other symptoms such as a fever, burning mouth or difficulty sleeping.

What Does Inflammation Look Like?

Mouth inflammation may appear as an elevated swelling, or it may look more like a crater or ulceration. It can also look or feel like a bruise or blister. Regardless of its appearance, you should make an appointment with your dental professional as soon as you notice oral inflammation.

Common Causes of Mouth Inflammation

Several conditions in the mouth may cause inflammation. Canker sores resulting from a lip or cheek abrasion, stress, nutritional deficiencies, an impaired immune system or localized mouth burns often contribute to general oral inflammation.

Viral conditions such as herpes simplex or herpes zoster (shingles) can also cause swelling and blisters, while fungal infections such as oral thrush can irritate mouth tissue as well. Even a rare but mild allergic reaction to toothpaste can cause redness and sores.

Patients undergoing chemotherapy and radiation, patients who smoke cigarettes or chew tobacco and patients with other systemic diseases or injuries to the mouth can also experience any or all of the five symptoms of inflammation. Vaping and using e-cigarettes, seen by some as a safer alternative to smoking, can still cause dry mouth and oral chemical burns, says Dentistry iQ.

Treatment for Mouth Inflammation

During a thorough assessment, a dental professional can visually examine your mouth for sores and symptoms, and ask specific questions to determine if the inflammation is the result of a minor mouth injury (maybe a burn from hot pizza), or a more serious condition (like persistent canker sores). After determining the cause of the condition, your dental professional may recommend a cleansing mouth rinse to treat the inflammation and sores.

The key to successful treatment for mouth inflammation is early intervention. Talk to your dentist or dental hygienist about any changes in your mouth — not only to your teeth, but also to your gums, tongue and soft tissue. Your dental professionals are your best allies in protecting your oral health.

(09/10/2021)
by Colgate

More Information: https://www.colgate.com/en-us/oral-health/adult-oral-care/understanding-mouth-inflammation


Views: 741
Share
Share

What Your Mouth is Telling You – Symptoms & Warning Signs of Possible Diseases

Even when you feel physically well, your mouth could be telling a different story by revealing some warning signs of possible disease.

When the inside of your mouth becomes sore or painful, chances are, it’s trying to tell you something, and several conditions could be oral warning signs of bigger issues. Don’t ignore your symptoms—a serious illness could be brewing and delaying treatment could worsen it. It is not unusual for these early warning signs to be detected during your regular dental exam and is often the first opportunity for diagnosis and treatment.

1. Thrush

White streaks or lesions on the inside of your mouth or throat or on your tongue may indicate a case of thrush. This is an oral yeast infection that occurs in both adults and children. The environment in your mouth is receptive to this disease when the yeast that normally resides there goes off balance, and an infection develops. Thrush most often occurs when the immune system is weak from chemotherapy treatments or steroid drugs.

Thrush is normally treatable if you are in good health. If left untreated, patches of these lesions can affect your ability to eat and swallow. When thrush continues to reoccur, even after treatment, it can be a symptom of an undiagnosed disease like diabetes or AIDS and should be investigated by your family doctor.

2. Oral Cancer

Most oral cancers begin as thin, flat cells known as squamous cells. They can appear as red or white patches, or a combination of both, lining the throat, tongue, lips and other areas of the mouth. It can feel like a lump or an irritation or even cause numbness in the tongue. Other symptoms include difficulty chewing or swallowing, or feeling like something is stuck in your throat.

Oral cancer becomes increasingly more common as people get older, usually after the age of 40. Risk factors include tobacco use, heavy alcohol consumption, and exposure to sunlight. Part of your routine dental checkup includes a screening for oral cancer. Depending on the results, your dentist may refer you to your primary doctor or another specialist.

3. Hand, Foot, and Mouth Disease

Mouth blisters, fever, sore throat and loss of appetite are all signs of hand, foot, and mouth disease (HFMD). The disease originates from a virus and is common in children, but can quickly spread to adults through contact with saliva or blister fluid. Lesions are more common in the mouth but they can also develop on your hands and feet.

Your dentist can be the first to spot HFMD, as oral lesions are the first clinical signs that it exists. It can be treated with over-the-counter pain relievers like ibuprofen or acetaminophen.

4. Diabetes

Red, sore, and bleeding gums are signs of gingivitis (the first stage of gum disease), but did you know they also can be a symptom of diabetes? If sore gums are accompanied by chronic bad breath and oral fungal infections, it may signal that something else is going on.

The high blood glucose levels that accompany diabetes allow germs to build up, and can eventually lead to tooth loss. In this case, more than one disease could be at work. When gingivitis is left untreated, it leads to periodontitis, a gum infection that creates deep pockets of germs and pus between the teeth. Treatment depends on how much to the teeth, gums, or jawbone has already sustained. Your dentist will discuss both non-surgical and surgical treatment options. You may also need blood work and medication from your family’s physician.

Your mouth can speak volumes about you and your health. Visiting your dentist on a regular basis for preventative dental care will ensure that your mouth is being well taken care of.

(09/13/2021)
by Arkansas Family Dental

More Information: https://arkansasfamilydental.com/mouth-trying-tell-symptoms-warning-signs-possible-diseases/


Views: 892
Share
Share

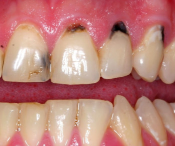
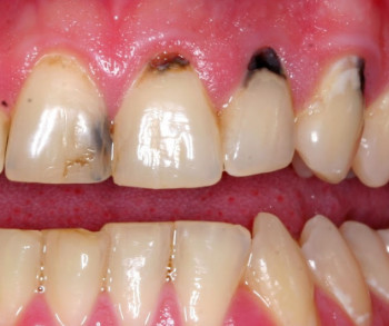
Why Do I Have Black Tartar?

Dental tartar is both unsightly and unhealthy and generally results from poor dental hygiene and neglect. Black dental tartar is often shocking; sometimes it appears out of nowhere and may leave you wondering what’s wrong with your teeth. While dental tartar is never a good thing, you can take some small comfort in knowing that black tartar isn’t much worse than the regular kind. So what causes black dental tartar, and what can you do about it?

Frank Talk About Tartar

Dental tartar, as we’ve said, is generally the result of neglect. In order to avoid tartar, especially the black kind, it’s important to understand what tartar is and where it comes from. Even with the best of care, the mouth is inhabited by a great many bacteria. These bacteria produce waste, which combines with debris in the mouth and saliva to form a sticky layer on the teeth and gums which we call dental plaque. Plaque is normally white or yellowish in color and provides a place for bacteria to grow and thrive. The good news is that plaque can be prevented by good brushing, flossing, and dietary habits. Regular dentist visits for exams and cleanings can also help keep plaque at bay.

The problem gets more serious if plaque is left untreated. If the neglect is ongoing, the plaque thickens and hardens into dental tartar. Also known as dental calculus, tartar is a hard, white, or yellowish substance that clings to teeth, often below the gumline. Tartar is rough and porous, giving bacteria fertile breeding ground and often causing receding gums, gum disease, and tooth damage. Tartar requires dental cleaning to be removed, performed by an oral health professional with special tools at a dentist’s office.

Why Do I Have Black Tartar?

Black tartar starts much the same way as regular tartar–plaque is neglected and grows/hardens into tartar. So what turns it black? Well that can be caused by a variety of things, including:

Smoking or other tobacco use may turn tartar black while making the gums more susceptible to gum disease

Dark-colored beverages like coffee and red wine may stain tartar a darker color, or even black

Damage to the enamel outer layer of the tooth may result in black-looking tartar

Tartar below the gum line, also known as subgingival tartar, may take on a black appearance as blood from sensitive or damaged gums combines with the tartar itself. This can be an indication of gum disease becoming serious.

What to Do About Black Tartar?

Black tartar is both an aesthetic issue and a medical one. Aesthetic in that no one wants a black-stained smile, and medical in that black tartar can lead to gum disease or even tooth loss. So what to do about it?

As always, an ounce of prevention is worth a pound of cure. Regular brushing and flossing, combined with a healthy diet, are your best line of defense against tartar of any kind. Likewise, regular visits to your dentist for cleanings and exams can help prevent the problem before it starts.

If tartar’s in place, you should consult your dentist and make them aware of the situation. They’ll guide you to the best course of action, which is likely to be a series of cleanings in order to correct the situation and then improved brushing and flossing habits to prevent it from recurring. They’ll be able to identify any other problems during this process and advise you accordingly.

Your smile should last a lifetime, and avoiding black tartar is a part of keeping your teeth and gums healthy and happy. By brushing, flossing, and making regular trips to the dentist, you’ll go a long way to the goal of healthy teeth.

(09/15/2021)
by Queen City Dental Arts

More Information: https://www.queencitydentist.com/blog/why-do-i-have-black-tartar/


Views: 734
Share
Share

What Is The Mouth-Body Connection

You know it’s important to take care of your oral health, but do you know how your oral health can impact the rest of your body? Dr. Caleb Robinson, a dentist in New Philadelphia, OH, explains the connection of your mouth to the health of your entire body.

WHAT IS YOUR ORAL-SYSTEMIC HEALTH?

Multiple studies have been done that connect the health of your mouth with the health of the rest of your body. Your mouth is the gateway to your entire body. While the bacteria in the mouth ordinarily shouldn’t spread throughout the body, it can in certain instances.

When you have even early-stage periodontal disease, one of the biggest side effects is bleeding gums. Bleeding comes from openings that are in the gums, allowing bacteria to get into them and into your bloodstream. With normal blood circulation, this means the bacteria can travel to the entirety of the rest of your body, causing inflammation and infection in other areas.

PERIODONTAL DISEASE AND CARDIOVASCULAR DISEASE

One of the most prominent connections is that of gum disease and heart problems. The bacteria that are present with gum disease contribute to worsening the problems with cardiovascular disease.

When you have gum disease, you produce more of what’s called LDL cholesterol. This is the most dangerous kind, being small and dense and easy to pack into your arteries. These denser particles are also more likely to be able to penetrate the walls of your artery, whereas bigger, lighter particles could bounce right off.

Certain high-risk bacteria can also cause the walls of your arteries to be thinner. Because your arteries are already getting packed with small, dense LDL cholesterol, it makes it doubly likely that your arteries can get penetrated.

Lastly, these bacteria produce various substances that make the inner walls of the arteries sticky and more like Velcro. The inner arteries are where clogs form, and the oral bacteria make the walls even more attractive for cholesterol buildup. Plaque deposits are formed and cause even more problems with your arteries.

ORAL HEALTH AND OTHER ISSUES

Cardiovascular disease isn’t the only thing that can be worsened by having gum disease. Periodontal disease causes inflammation throughout the entire body if it gets in the bloodstream. It can contribute to conditions like stroke, diabetes, Alzheimer’s, rheumatoid arthritis, certain cancers, and problems during pregnancy and birth.

When you take risks with your oral health, your entire body can suffer. It’s crucial to keep up a routine that involves brushing, flossing, and visiting your dentist regularly. If Dr. Robinson pinpoints early warning size of gum disease, periodontal treatment can be performed to take care of symptoms as soon as possible.

(09/11/2021)
by Caleb A Robinson, DDS

More Information: https://www.calebarobinsondds.com/2020/09/what-is-the-mouth-body-connection/


Views: 728
Share
Share

Six Good Reasons To Visit Your Dentist More Often

Most people visit the dentist about once each year. As many as forty percent of Americans see their dentist less often. Some go for five years without seeing their dentist. At the Mt. Vernon Center for Dentistry in Alexandria, we like to see our patients at least every six months.

There are a lot of reasons to visit the dentist. Some better than others. We searched around and found six good reasons to visit more often. Here they are…

1. Oral Cancer Detection

That’s right: cancer detection. Not many people realize the risk of getting cancer in their mouth or throat. Oral cancer is a serious problem. The risk of getting oral cancer is increased significantly for tobacco users, but the risk is there for everyone.

Dentists are trained to spot the signs of oral cancer, and regular checkups can mitigate the risk. Oral cancer is very treatable, but you have to catch it early. Frequent visits to Mt. Vernon Center For Dentistry can help you avoid this problem.

2. Cavity Damage

Everyone gets cavities. They are a fact of life.

The problem comes when they aren’t discovered early enough and the damage requires a significant fix. Cavities are one of the reasons by most people avoid the dentist because they are associated with pain.

However, the fact is the opposite. People who visit the dentist more frequently have fewer cavities. Early treatment of cavities can be less invasive, and even cosmetically favorable. Catching cavities early offers tremendous advantages.

Visiting Mt. Vernon Center For Dentistry can help you avoid cavities all together with regular checkups and cleaning.

3. Gum disease

Like cavities, gum disease is associated with discomfort. But it doesn’t have to be that way.

Visiting your dentist more often means keeping an eye on the health of your gums. Your dentist can help you track the health of your gums and can prescribe healthful procedures to avoid or cure gum disease.

4. Bad Habits

Bad habits can have a negative impact on your oral health. Smoking, poor diet, biting nails and clenching teeth are among the more common.

Frequent visits to Mt. Vernon Center For Dentistry can help you track any potential harm you may be causing with bad habits. Your dentist can help you identify harmful habits and can prescribe procedures or treatments to help you recover.

Don’t let bad habits get in the way of your oral health. It helps to have an experienced professional to help you manage habits so they don’t become destructive.

5. Deeper Problems

Most of the reasons we have discussed so far involve oral inspection. However, has the ability to look deeper with x-rays.

X-ray technology has come a long way and can be a great way to spot potential problems before they become visible. Your dentist is trained to look at x-rays to find common problems. Many of the problems can be fixed before damage occurs,

Frequent visits to Mt. Vernon Center For Dentistry can help you see below the surface and catch problems before they arrive.

6. More Than Just Teeth

The professionals at Mt. Vernon Center For Dentistry are concerned about more than just your teeth. We care about your overall health.

Dentists are trained in the anatomy around your mouth and that includes your neck, throat, lymph nodes and head. Dentists know a lot about these areas and look for signs of trouble.

A regular visit to your dentist can help you avoid health issues that can affect your overall health.

Visiting your dentist every six months can help you maintain a healthy mouth and a positive outlook on life.

(09/12/2021)
by Mt. Vernon Center For Dentistry

More Information: https://www.cosmeticdentistalexandria.com/blog/6-good-reasons-to-visit-your-dentist-more-often/


Views: 684
Share
Share

What To Expect When Getting Braces On Top Teeth Only

It’s not unusual for adults and children to request braces on top teeth only. It makes sense: if you’re happy with the way your bottom teeth look, or couldn’t be bothered to straighten them since they’re not as visible, it’s easier to just focus on the top teeth, right?

Well, it is a little more complicated than that and several factors come into play with just treating one row of teeth.

BRACES ON TOP TEETH ONLY

Depending on what your issues are, you can get braces on just your upper teeth. This treatment is called single arch orthodontic treatment.

Some orthodontists will put braces on just the top teeth before concentrating on your bottom teeth. When that happens, the orthodontist carefully assesses your bite and the relationship between your top and bottom teeth, since changing just one set of teeth can affect your bite.

Factors to Consider

Your smile doesn’t just depend on the position of your teeth. Your bite is a complicated relationship that also involves your jaws. If your jaws aren’t balanced, that can affect how your teeth fit together (your bite).

There may be times when a single arch treatment leaves you with a worse bite. It’s important to achieve an even bite to help distribute even forces on your teeth and prevent wearing and trauma.

Another thing to consider is the way your teeth move. For instance, crowded teeth tend to move forward when straightened whereas teeth with spaces between them move backward. So, while getting braces on top teeth only will straighten those top teeth, your bite will be off. If your top teeth are crowded, for example, addressing just the upper teeth can cause your overbite to grow larger.

In the case of both rows of teeth needing treatment, it is also worth considering the fact that as we age, we show more and more of our bottom teeth!  Straightening just the top of aesthetics won’t cut it in the long-term (usually).

What to Expect

If you do opt for getting braces on top teeth only, you’ll need to stick to soft, easy to eat foods until the initial discomfort goes away. You will also be expected to continue practicing good oral hygiene and visit your orthodontist regularly for check-ups and adjustments. And if you are travelling with braces, make sure you are prepared to care for them.

While some people do opt for braces on their upper teeth only, in the majority of cases it will be better to address your bite as a whole to create a beautiful, symmetrical smile.  Your own situation is unique.  A full assessment with an orthodontist will let you know if braces for top teeth only could be an option for you.

(09/14/2021)
by Fine Orthodontics

More Information: https://www.fineorthodontics.com.au/blog/what-to-expect-when-getting-braces-on-top-teeth-only/


Views: 772
Share