My BEST Dentists Journal

All Journal Entries
Share

Can Gums Pull Away From Teeth?

What is gum recession?

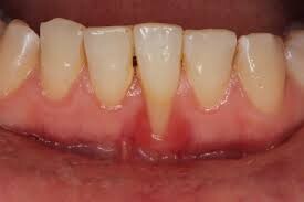
Gum recession, also known as gingival recession, refers to the progressive loss of gum tissue that covers the roots of the teeth. When the margin of gum tissue pulls away from the crown of the tooth, it exposes more of the tooth root and bone beneath the gumline.

As the gums recede, “pockets” or gaps form between the gumline and the tooth. These pockets allow more plaque and bacteria to build up, which can weaken gum tissue connections and underlying bone support for the teeth.

Gum recession is a common problem among adults, but it develops gradually over time. The early signs are often subtle changes in the position of the gumline relative to the teeth. Without treatment, moderate to severe gum recession can lead to problems like tooth sensitivity, decay, loose teeth, and eventual tooth loss.

How do healthy gums attach to teeth?

In a healthy mouth, the gums firmly attach to the teeth in a specialized connective tissue junction called the gingival sulcus. This attachment forms a tight seal or adhesion around each tooth.

The gingival sulcus contains dense collagen fibers that connect the tooth enamel to the gum tissue. This collagen-rich attachment apparatus is strong yet flexible, allowing the gums to tightly hug the teeth without detachment.

The gumline meets the tooth surface a few millimeters above the root junction, known as the cementoenamel junction. A slight variation in gumline height around different teeth is normal. As long as the gum completely covers and protects the bony sockets surrounding the tooth roots, periodontal health is maintained.

Why do gums recede from teeth?

There are several potential causes of gum recession:

Gum disease – Bacterial plaque accumulation inflames the gums and triggers chronic infection. This periodontal disease breaks down collagen fibers and supporting bone, leading to shrinking, weakened gum tissue.

Aggressive brushing – Habitual brushing with excessive force can traumatize the gums. Bristles gouging the gums overtime cause them to shrink away.

Misaligned teeth – Crooked teeth or poor bites make gums more prone to injury. Recessed gums may form due to excessive forces on gum tissue.

Grinding/Clenching – Chronic grinding and clenching puts severe pressure on teeth, pulling gums downward. This eventually loosens the gums.

Smoking – Chemical compounds in tobacco smoke impair gum blood flow. This leads to gum detachment and slowed healing.

Genetic factors – Some people are predisposed to thinner gum tissue or gum heights that make them more susceptible to recession. This is more prevalent in older individuals.

Medical conditions – Diseases like diabetes or autoimmune disorders increase vulnerability to gum infections and damage.

Certain medications – Drugs like blood pressure medications, oral contraceptives, anti-depressants, and more may reduce gum tissue resilience. Consult your dentist.

Why is gum recession problematic?

Receding gums cannot grow back or reattach once they detach past a certain critical point. The lost gum tissue leads to several oral health issues:

Tooth sensitivity – Gum recession exposes dentin tubules in the root surface. These allow hot/cold liquids to stimulate nerve endings, causing sharp pain.

Root decay – With the protective gum tissue layer gone, tooth roots are more vulnerable to cavities and decay.

Bone loss – The bony sockets around roots can deteriorate due to infection spreading from receded gums.

Tooth loosening – Advanced recession and bone loss undermine the support system for teeth, allowing them to loosen or fall out.

Poor aesthetics – Increased tooth length and visible roots due to gum recession are unsightly. It makes smiles appear “toothy” and unattractive.

Severe gum recession can lead to impaired chewing function, crooked teeth, and eventual tooth loss. Seeking treatment in the early stages is critical.

Risk factors for gum recession

Certain lifestyle habits, health factors, and medications raise your risk for receding gums:

Smoking/tobacco use – Nicotine and smoke compounds restrict blood flow to gums, causing tissue breakdown.

Aggressive brushing – Excessive scrubbing force erodes gums, as do stiff-bristled brushes.

Periodontal disease – Preexisting gum infection destroys connective tissue fibers that attach gums to teeth.

Grinding & Clenching – Chronic teeth grinding (bruxism) exerts extreme pressure on teeth, detaching gums over time.

Age – Gums weaken and recede more easily due to reduced blood supply as we age.

Hormones – Fluctuating hormones in puberty, menopause, and pregnancy increase gum sensitivity.

Diabetes – Poor blood sugar control impairs immunity and healing, increasing gum infection risks.

Genetics – Some people inherit thinner gum tissue or tooth positions prone to recession.

Misaligned teeth – Crooked, crowded, or gap teeth create areas that are hard to clean and maintain.

Toothbrush abrasion – Using stiff-bristled brushes or abrasive toothpaste erodes gums after repetitive brushing.

Bruxism nightguard – Ill-fitting nightguards that rub the gums can progressively damage the gumline after nightly wear.

Lip/tongue piercings – Oral jewelry that constantly rubs against gums can wear away gum tissue.

Clenching behaviors – Chronic teeth clenching due to stress or habits can traumatize gum attachments.

Nutrient deficiencies – Deficiencies in vitamin C and B12 may make gums more vulnerable to problems.

Stages and symptoms

Gum recession can range from mild to severe. Knowing the signs at each stage is important for getting timely treatment:

Stage 1: Early-stage recession

Symptoms:

Gums appear slightly lower on some teeth

Mild sensitivity from minimal root exposure

No obvious gaps between teeth

Slightly longer tooth appearance

Minor inflammation/bleeding when brushing

This early stage of recession is often invisible to the eye unless you look very closely. But dentists can detect subtle changes in gum height relative to past records. Taking action with improved oral hygiene can help stabilize gums at this point.

Stage 2: Moderate recession

Symptoms are now more visible:

Gumline is clearly lower than normal

More noticeable gaps between some teeth

Yellowish root exposure is visible

Teeth appear longer

Sensitivity to hot/cold stimuli

Tenderness when chewing hard foods

At this point, loose teeth and bone loss may begin without treatment. Your dentist can determine how much supporting bone remains using dental X-rays.

Stage 3: Advanced recession

Severe symptoms:

Widespread gaps between most teeth

Extensive root exposure

Bone loss visible in X-rays

Loose or migrating teeth

Constant sensitivity and pain

Altered bite due to tooth positions changing

Aggressive periodontitis and rapid bone loss undermine the tooth roots. Seeking prompt treatment is critical to try and save teeth.

Diagnosing receding gums

Dentists diagnose receding gums using a combination of visual exams, physical tests, and dental imaging:

Visual inspection

The dentist will visually compare current gumlines to past photos/records for any recession. They check for signs like longer teeth, root exposure, and interdental gaps.

Physical examination

Probing – A periodontal probe is used to measure and record the depth of gum pockets. Deeper pockets indicate detached gums.

Mobility testing – Teeth are wiggled to detect any increased loosening or shifting.

Bite evaluation – Bite irregularities from changing tooth positions may develop.

Sensitivity testing – Specialized tests can reproduce sensitivity pain in problem areas.

Dental imaging

X-rays – Dental radiographs show bone loss patterns which reveal recession severity.

Cone beam CT scans – 3D scans provide detailed views of gum and bone levels.

Intraoral camera – Close-up mouth photos clearly show affected areas.

Your dentist will also ask about symptoms, oral hygiene habits, health conditions, medications, and risk factors. Together, these help determine the cause and how to treat receding gums.

Treating receding gums

The treatment options for receding gums include:

Nonsurgical treatments

Mild cases may be stabilized and reversed using:

Improved oral hygiene – Gentle flossing and brushing helps gum health when done consistently. Regular dental cleanings support this.

Desensitizing toothpaste – Special toothpastes relieve sensitivity pain from exposed roots. However, they do not restore lost gum tissue.

Mouthguards – Wearing nightguards protects against grinding forces during sleep which can damage gum attachments.

Dietary changes – Limiting acidic and sugary foods helps protect vulnerable areas where the root is exposed.

Quitting smoking – Smoking cessation allows gum tissues to rebound after the chemical irritants are removed.

Medication changes – Switching medications linked to gum problems may support gum stability on advice of your physician.

These help stabilize areas of mild recession, but moderate to severe recession requires surgical intervention.

Surgical treatments

A periodontist can perform procedures like:

Gum grafting – Soft tissue grafts taken from the roof of the mouth (palate) are sutured over exposed roots. Over time, they protect receding areas.

Bone grafting – Materials like donated bone or bovine bone are placed under detached gums to encourage reattachment.

Tissue regeneration – Special membranes are inserted between the gum and root to regrow lost tissue in that space via guided tissue regeneration (GTR).

Pinhole surgery – Small pinholes are made in the gum to gently loosen and slide it down over the exposed roots without sutures.

Dental implants – Implants can replace teeth lost from advanced recession and restore chewing function.

Complex cases may involve flap procedures to remove infected gum tissue before regenerative techniques are applied. Your periodontist will advise the most suitable surgical approach based on the degree of recession and your individual mouth anatomy.

Prevention

Preventing receding gums from worsening involves:

Using a soft-bristled toothbrush and brushing gently – no vigorous scrubbing

Choosing non-abrasive toothpaste to avoid gum irritation

Daily flossing to clear plaque, being careful not to snap floss against the gums

Getting professional cleanings at the dentist every 6 months

Not smoking and avoiding other tobacco products

Wearing a nightguard if you grind your teeth

Monitoring gums for any changes and reporting them quickly

Treating gum disease early if it develops to limit tissue damage

Managing health conditions like diabetes to optimize gum healing

Changing habits that strain gums like oral jewelry or teeth clenching when stressed

With diligent daily oral hygiene and regular dental visits, gum recession can often be caught early and treated successfully. However, advanced recession may still eventually require procedures to protect remaining gum health.

How quickly do receding gums progress?

When caused by periodontal disease, gum recession can progress rapidly in just years. Poor brushing habits can also lead to faster recession. However, factors like genetics and aging lead to gradual recession over many years. Proper dental care reduces the speed of further recession.

Can gum recession affect only one tooth?

Yes, it commonly begins by affecting just a single tooth or area. Certain teeth are more prone to gum recession like lower front teeth and molars. As time passes, more teeth often develop receding gums if the causes are not addressed.

Does gum recession require surgery to fix?

Non-surgical options can sometimes stabilize early gum recession. But in moderate to severe cases, surgery like grafting is needed to cover exposed tooth roots and halt further detachment. The stage of recession determines which procedures provide meaningful benefits.

Can receding gums regrow without treatment?

Spontaneous regrowth without any treatment only occurs in the very mildest cases caught extremely early. Once recession reaches the radicular dentin, active intervention is required to restore lost gum tissue. Severe recession won’t improve on its own.

What happens if receding gums are left untreated?

Untreated gum recession tends to steadily worsen over time. It can lead to severe gum disease, persistent tooth sensitivity, loose teeth, jawbone loss, and eventual tooth loss. The risks of damage extend to both the soft and hard tissues supporting the teeth.

Catching receding gums early and taking preventive steps offers the best chance of stabilizing areas affected by recession. Work closely with your dentist if you notice any suspicious gum changes before substantial damage occurs. Gum grafting and regeneration procedures depend on having sufficient remaining gum tissue to work with.

(02/02/2024)
by CDHP Dental Health

More Information: N

Views: 528
Share


My BEST Dentists Journal Headlines