My BEST Dentists Journal

All Journal Entries
Share

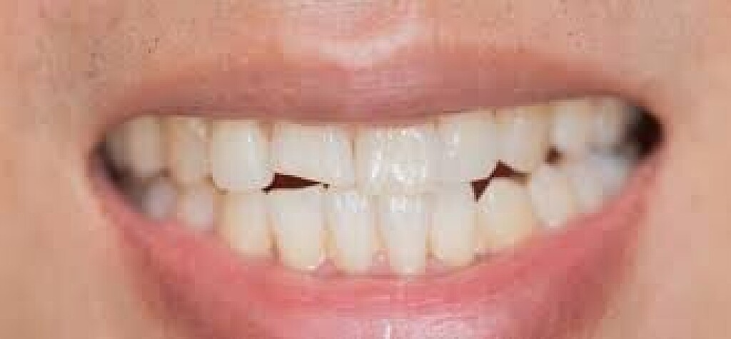
Common Causes of Cracked Teeth

Cracked teeth can be caused by a number of problems, such as a developing cavity or biting down on something hard the wrong way. Cracked teeth might not happen to everyone, but when they do happen, it is important that you consider ways that you can get the crack fixed.

Our office is knowledgeable in everything that has to do with a cracked tooth, so you never have to worry about not being able to smile with confidence, because you're able to do so with the help of our dentists in office.

What Causes Cracked Teeth

There are many reasons for cracked teeth. From grinding them while asleep (or even awake) or if you're biting down on hard foods that could cause the teeth issues, or if you have been hit in the mouth with something hard.

All of these things can cause the tooth to fracture. Fillings that are inside the tooth that are too large to hold the tooth together. This can cause the tooth's integrity to not be the same as it once was.

There are many things that can cause a cracked tooth. However, when you do have one, it is important that you speak with our office as soon as possible. This is because we need to make sure that we can fix the issue before it becomes worse. Sometimes when the crack is too bad the tooth might break apart and fall apart.

You don't want to lose your tooth because of a crack that could have been fixed.Speak with us today if you have a cracked tooth. It is important that you have the problem taken care of sooner, rather than later.

A cracked tooth is something that we can help you take care of, so you don't have to worry about an unsightly crack or a broken tooth. Call us today to get an appointment to have us take care of the issue.

(02/19/2022)
by Myers Dental

More Information: N

Views: 656
Share


My BEST Dentists Journal Headlines