My BEST Dentists Journal

All Journal Entries
Share

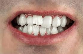
Crooked Teeth and Oral Health

Everyone’s smile is unique, and there is beauty to be found in all of them. However, sometimes the very thing that makes our smiles unique can be damaging to our oral health. For example, crooked teeth can add character to your smile. Yet, crooked teeth can cause several dental issues for some people. So, although you should never feel pressured into cosmetic fixes, you should always consider your oral health. 

HARDER TO CLEAN

Depending on how crooked your teeth are, it can be much harder to clean them properly. While you brush your teeth, it can be easy to miss certain spots because your teeth are twisted. Additionally, some crooked teeth can make it nearly impossible to floss. Crooked teeth can even cut the floss. If you can’t reach all the surfaces of your teeth, you cannot get rid of all the necessary plaque. 

Plaque is a damaging bacteria that can ruin your teeth and gums. It is a harmful bacteria that chemically erodes the enamel of your teeth. Without all of your enamel, your teeth can slowly decay, increasing sensitivity, infection, and tooth loss.

Additionally, plaque irritates your gums, causing them to become swollen or inflamed. This is the beginning stage of gum disease, an infection that deteriorates your gum tissues and bones. 

Straightening your teeth can make it easier to remove plaque and reduce your risk of tooth decay and gum disease. 

PROBLEMS WITH CHEWING AND SPEAKING

When you close your jaw, your teeth should meet together at the flat portions of the top of your teeth. However, crooked teeth can interfere with a good bite pattern. If your teeth are not straight, eating can become painful. Also, it may be difficult for you to chew your food properly, which can hinder your digestion.

With crooked teeth, you may also notice a speech impediment. This is because your speech depends on the location of your teeth. As you speak, your tongue hits different places in your mouth, including your teeth. If they are not aligned properly, the sound you are trying to make may not sound right. 

FASTER WEAR AND TEAR

If your teeth do not strike correctly, your teeth will wear down faster than average. This is because the points and ridges on your teeth will erode before the flat portions. Unfortunately, this does not just change the shape of your teeth. Crooked teeth can damage your enamel. As your teeth wear down, it removes the outer layer of your teeth—the enamel. 

The enamel is responsible for protecting your teeth from bacteria and other harmful substances. However, when erosion occurs, the enamel can no longer defend your teeth. This means that you are more likely to develop tooth decay. 

Straightening your teeth is not just a cosmetic issue. The alignment of your teeth is directly related to your oral health. Therefore, you should talk to your dentist about your options.

(02/12/2024)
by Fox Hall Smiles

More Information: N

Views: 474
Share


My BEST Dentists Journal Headlines