My BEST Dentists Journal

All Journal Entries
Share

Differences Between Periodontal Disease and Gingivitis

You probably know that gingivitis and periodontal disease are two conditions that affect the gums, but what’s the difference between the two? Are they simply two different words for the same condition? In short, gingivitis is the precursor to periodontitis, or gum disease. Consider gingivitis your warning sign that treatment is needed to protect your oral health and prevent periodontal disease from developing. Here’s what you need to know about both of these conditions.

What Is Gingivitis?

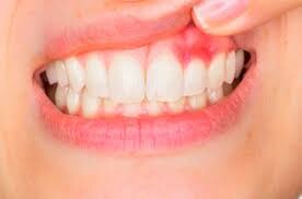
Gingivitis is the earliest stage of gum disease. Although no one wants to be diagnosed with gingivitis, the good news is that gingivitis can be reversed before any permanent damage occurs to your teeth and gums.

Gingivitis is caused by plaque and tartar that collects between the teeth. Plaque and tartar contain bacteria, which leads to infection. This infection creates inflammation in your gums, causing them to become red, swollen, and bleed easily when you floss and brush. Many patients overlook gingivitis because the symptoms are relatively mild. This is why regular comprehensive oral evaluations are important—while you may not realize that your gums are redder than usual, your dentist will. 

What Is Periodontitis?

If gingivitis isn’t treated promptly, it will eventually lead to periodontitis, or gum disease. Your gums start to pull away from the roots of the teeth and deep pockets form. Plaque and tartar start to build up in these pockets below the gumline, allowing bacteria to attack the bone and tissues that support your teeth. 

Periodontitis and gingivitis share many of the same symptoms—namely, red, swollen gums and bleeding. With periodontitis, you are also likely to have bad breath or a foul taste in your mouth. You may notice discharge from the gums and spaces between your teeth that weren’t there before. This occurs because, as the supporting bone structure breaks down, your teeth start to shift. Eventually, your teeth may fall out or need to be extracted.

While periodontal disease can be treated, by the time it gets to its advanced stages, it has usually caused lasting damage to the teeth, gums, and jaw. This damage will need to be addressed with additional dental and periodontal treatments. 

It’s also important to note that there is a growing body of research demonstrating a link between gum disease and other diseases elsewhere in the body, likely because it causes systemic inflammation. This is why getting prompt treatment is critical.

Preventing Gingivitis and Periodontal Disease

The best ways to prevent gingivitis and periodontal disease are to brush your teeth for two minutes twice a day, floss at least once a day, and see your dentist every six months for comprehensive oral evaluations and dental cleanings. If you have gingivitis or periodontitis, a simple, non-invasive treatment called scaling and root planing can effectively treat the infection and restore health to your gums.

(10/25/2022)
by Fabey Dental

More Information: N

Views: 679
Share


My BEST Dentists Journal Headlines