My BEST Dentists Journal

All Journal Entries
Share

Do I Need A Root Canal If My Tooth Is Dead?

Covid, global warming, and now you have a dead tooth. What else could go wrong? The happy news is that dead teeth can be treated. At Midtown Endodontist NYC the angst, discomfort from this malady is easily alleviated. In the hands of Drs. Steven Lipner  and Chiyoon Ahn and with the aid of an ultra-modern microscope dead teeth become beautiful, functional members of your smile.

What is a Dead Tooth?

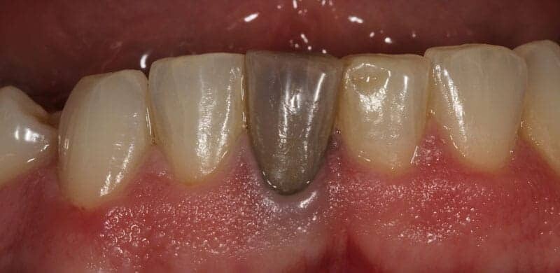
A tooth is considered dead when the living tissue in the center of the tooth is invaded by bacteria and causes the tissue to necrose (die). The living tissue is composed of an artery, a vein, and a nerve. We call this organic tissue the pulp. It lies in the center of the tooth. It goes from the crown of the tooth to the very tip of the roots. This chamber in the top part of the tooth is called the pulp chamber, as it goes down the root it is simply called the canal of the root.

Treatment Options for a Dead Tooth

When a cavity, crack, fracture or trauma broaches the integrity of the pulp chamber inflammation immediately results, with an increase of blood flow to the pulp. This inflammation can at times be reversible without treatment, however If the inflammation proceeds to infection bacteria will be present. At this point the condition is irreversible and cannot be solved with antibiotics alone. The patient then has two choices:

Root canal therapy which preserves the tooth 

Extraction-which may need an implant to restore the missing tooth

When the pulp is infected it will die. Gas and pus will form inside the teeth and, if left untreated,  the infection will spread to the jaw bone creating a dental abscess. This will cause patients to have pain and their gums are swollen. When they lie down there is a throbbing pain. Hot temperatures make the tooth worse. Cold temperatures give a little relief or they cannot feel the cold at all. There is pain upon percussion or chewing food. There can be a general feeling of malaise or fever. The sooner endodontic treatment is instituted the easier the course of treatment and the faster the recovery will be. 

What is Root Canal Therapy?

RCT is a conservative relatively non-invasive procedure that, contrary to popular belief, relieves pain, swelling and infection in one or two dental visits.

The Root Canal Therapy Process

Patient is diagnosed by using an x-ray, followed by a clinical exam and a review of their medical history.

Insurance: Out of pocket expenses are discussed. 

Local anesthetic is given right by the tooth (from now on the patient doesn’t feel anything at all). 

A rubber dam is applied to isolate the tooth from the rest of the mouth. 

A small hole is drilled into the top of the tooth exposing the pulp chamber. 

Endodontic files clean all of the infected organic material in the canals. 

Pus is drained through the tooth, alleviating a lot of the discomfort immediately. 

The tooth is reamed, prepped and sterilized. 

The canals are obliterated with gutta-percha to prevent reinfection. 

Once the tooth is asymptomatic a core and crown are placed to restore the tooth to its original form and function.

(01/06/2022)
by Midtown Endodontist NYC

More Information: N

Views: 562
Share


My BEST Dentists Journal Headlines